Objectifs pédagogiques
- Sémiologie de l’imagerie de la maladie de Crohn non compliquée
- Apport de ces examens dans le diagnostic de la maladie et de ses complications
- Intérêt dans le suivi
L’imagerie a, à l’heure actuelle, une place majeure dans l’exploration et la prise en charge de la maladie de Crohn de l’intestin grêle. Le transit du grêle étant quasiment abandonné, principalement pour son incapacité à analyser l’ensemble de la paroi intestinale et les espaces péri-digestifs, les examens d’imagerie dont nous disposons sont l’échographie, la tomodensitométrie (TDM) et l’imagerie par résonance magnétique (IRM). Compte tenu de son caractère irradiant (limite importante en raison de l’âge souvent jeune des patients et de la durée de la maladie), la tomodensitométrie ne devrait plus être utilisée qu’en cas d’urgence [1]. Seul seront donc abordés l’apport de l’échographie, et surtout de l’entéro-IRM, dans la prise en charge de la maladie de Crohn, pour l’évaluation de la maladie (cartographie, activité, complications), mais aussi dans le suivi et l’évaluation des traitements médicaux.
L’échographie du tube digestif est réalisée avec une sonde haute fréquence, chez un patient à jeun depuis au moins 4 heures. C’est un examen long et minutieux, nécessitant un bon entraînement, mais avec une bonne sensibilité pour détecter les anses pathologiques.
Le signe le plus important et le plus facile à rechercher est l’épaississement pariétal d’une anse digestive, mesurant plus de 3 à 4 mm. L’aspect en couche de l’anse normale disparaît et est remplacé par un aspect globalement hypoéchogène, avec perte de la compressibilité et aspect rigide (Fig. 1a). Les ulcères profonds peuvent être visibles sous forme de lignes hyperéchogènes perpendiculaires à la lumière traversant la paroi. Les fistules présentent un aspect hypoéchogène, les abcès sont visibles sous forme de collections hypoéchogènes à paroi épaisse [2].
Le Doppler couleur doit être utilisé pour mettre en évidence l’hypervascularisation de la paroi pathologique, traduisant l’inflammation (Fig. 1b) [2].
L’injection d’un produit de contraste en échographie (microbulles) n’est pas réalisée en pratique courante, mais semble efficace pour analyser la vascularisation de l’anse digestive, permettant une évaluation plus précise de l’inflammation [3].

Figure 1. Patient de 19 ans présentant une poussée aiguë de maladie de Crohn.
A. Échographie en coupe axiale de l’anse montrant un épaississement pariétal de la dernière anse iléale avec perte des couches et aspect globalement hypoéchogène.
B. Échographie Doppler en coupe longitudinale montrant une hypervascularisation de la paroi digestive
Les avantages de l’échographie sont nombreux : c’est un examen facile d’accès, facile à répéter, non irradiant, généralement bien toléré. Son utilisation est cependant limitée par les gaz et le surpoids. De plus, elle nécessite un opérateur entraîné, sans possibilité de relecture a posteriori.
Elle n’est pas utilisée dans le diagnostic positif et ne permet pas de faire une cartographie complète ; en effet, certaines zones de l’intestin ne sont pas accessibles à l’examen.
Elle présente en pratique deux intérêts principaux : recherche d’une complication lors d’un épisode aigu (visualisation d’un abcès avec possibilité, si nécessaire, de drainage immédiat par exemple) et monitorage des traitements médicaux, souvent dans le prolongement de l’examen clinique avec examen focalisé sur l’anse pathologique.
La réalisation d’une entéro-IRM comprend d’abord le remplissage du tube digestif par voie orale le plus souvent, avec un liquide de préférence hyperosmolaire tel que le PEG ou le mannitol pour éviter une réabsorption trop importante et donc une distension insuffisante des anses. Les séquences réalisées sont des séquences classiques en pondération T2 (de préférence des séquences courtes en apnée) et en pondération T1 avec injection de gadolinium, et très souvent des séquences en diffusion [4, 5].
La sémiologie classique de la maladie comporte des signes pariétaux et des signes péridigestifs.
Les signes pariétaux sont :
Les signes péridigestifs sont :
Il faut rajouter à cette sémiologie de base les complications : fistules, abcès, sténoses.
L’entéro-IRM a de nombreux avantages : évaluation de l’ensemble de l’intestin grêle et éventuellement du colon (particulièrement quand un lavement est rajouté à la préparation), diagnostic des complications et évaluation de l’activité de la maladie. Les limites principales à son utilisation en sont le prix et la disponibilité.
Si l’entéro-IRM n’a qu’une place limitée dans le diagnostic positif de la maladie, elle est capitale dans le bilan dès que le diagnostic est posé, particulièrement pour le choix de la stratégie thérapeutique.
Elle permet tout d’abord de réaliser une cartographie de l’atteinte : atteinte courte et limitée à la dernière anse ou atteinte multifocale de l’ensemble du jéjunum et de l’iléon par exemple (Fig. 2).

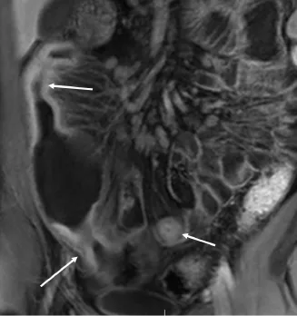
Figure 2. Patient de 32 ans ayant une maladie de Crohn connue. Séquence d’entéro-IRM en pondération T1 après injection de gadolinium dans le plan coronal montrant une atteinte multifocale de l’iléon avec sténoses et dilatations présténotiques entre les atteintes successives
Son efficacité dans l’évaluation de l’inflammation est désormais bien explorée. Il est classiquement reconnu que les signes suivants témoignent de la présence d’une inflammation : l’épaississement de la paroi (supérieur à 6 mm), la prise de contraste marquée et en cocarde au temps parenchymateux, l’hypersignal en pondération T2, les ulcères et l’hyperhémie mésentérique [6-8]. Une restriction de la diffusion (hypersignal en diffusion et diminution de l’ADC) serait également un bon signe d’inflammation (Fig. 3) [9].



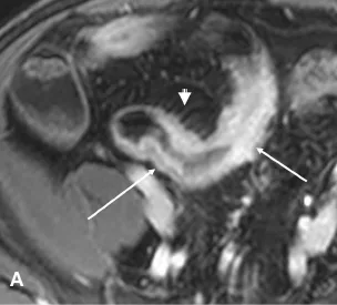
Figure 3. Patiente de 23 ans ayant une maladie de Crohn. Entéro-IRM montrant une atteinte iléale unique étendue sur 20 cm.
A. Séquence en pondération T1 après injection de gadolinium dans le plan axial montrant l’épaississement et la prise de contraste marquée avec aspect en cocarde de la paroi (flèches) ; signe du peigne en regard de l’anse pathologique (tête de flèche).
B. Coupe en pondération T2 dans le plan axial montrant l’hypersignal de la paroi (flèche) associé à un signe du peigne (tête de flèche).
C. Séquence en diffusion à b élevé montrant un hypersignal de la paroi de l’anse pathologique traduisant une restriction de la diffusion
La combinaison de ces différents signes pour en faire un score d’inflammation serait la meilleure façon de l’évaluer de façon reproductible. Les principaux scores publiés sont le MaRIA (Barcelone), le CDAS (Londres), le score de Clermont-Ferrand et le CDMRIS (GETAID) [10, 7, 11]. Le MaRIA, qui est le plus connu et le plus utilisé actuellement, construit par l’équipe de Barcelone, a été validé surtout pour le côlon avec la coloscopie comme référence ; de plus, la nécessité de réaliser un lavement au cours de l’IRM représente une limite technique majeure. L’inconvénient des trois premiers est de reposer sur la corrélation à un gold standard dont la fiabilité n’est pas absolue. Le CDMRIS a l’avantage de reposer sur une construction statistique pure qui permet de limiter les biais.
L’entéro-IRM permet aussi, avec une sensibilité d’environ 80 % et une spécificité de plus de 90 %, de détecter les complications liées à la progression transmurale de la maladie : les fistules, qu’elles soient borgnes ou avec un autre organe, et les abcès [12].
Enfin, l’entéro-IRM a une place potentiellement importante dans l’évaluation de l’efficacité des traitements médicaux. Quelques études ont évalué l’évolution de l’imagerie après traitement et ont montré que les bons répondeurs cliniques et endoscopiques présentaient également une diminution des signes d’inflammation en imagerie [13, 14]. Une étude récente menée par le Getaid pour évaluer l’efficacité de l’adalimumab chez les patients présentant une symptomatologie de sténose et ayant une atteinte confirmée en IRM (étude CREOLE) a montré que certains signes IRM pourraient être des facteurs pronostiques indépendants de la réponse au traitement (prise de contraste intense au temps tardif, absence de fistule, dilatation d’amont modérée).
Si l’échographie reste un examen très important à réaliser, plutôt en continuité de l’examen clinique pour évaluer la maladie ou monitorer un traitement, ou bien en urgence pour rechercher une complication, l’entéroIRM a sa place à toutes les étapes de la maladie : pour faire un bilan de la maladie et décider du meilleur traitement (cartographie, évaluation de l’activité), pour rechercher des complications et de plus en plus pour évaluer l’efficacité d’un traitement médical.
Toute reproduction ou réécriture, totale ou partielle, sans l’accord préalable écrit de la FMC HGE est interdite.
FMC HGE : Organisme certifié Qualiopi pour la catégorie ACTIONS DE FORMATION.