Introduction
L’objectif de cet article est d’expliquer les critères actuels de qualité d’un examen tomodensitométrique abdominal (ou scanner pour les Anglo-Saxons), d’expliquer les moyens pour limiter l’exposition aux rayonnements ionisants liée à ces examens et d’aborder les perspectives d’améliorations techniques de cette technologie et l’avenir de celle-ci par rapport aux autres méthodes d’imagerie.
Les critères actuels de qualité d’un scanner abdominal
Contrairement à la radiographie standard où il existe des critères de qualité clairement définis, en tomodensitométrie, ces critères n’existent pas. En effet, la qualité d’une image tomodensitométrique dépend des habitudes, de la sensibilité de l’observateur et de l’expertise de celui qui la regarde ; elle est donc très subjective. La qualité intrinsèque d’une image est en réalité multiparamétrique : celle-ci dépend en particulier du couple KVolt (kilovolts) mAS (milliampère par seconde) appliqué au tube, de la technique d’acquisition, des processus complexes de reconstructions et de filtrages. La Figure 1 résume les différents paramètres jouant sur la qualité de l’image [1]. Il faut savoir que le nombre de barrettes ne participe pas directement à la qualité de l’image contrairement à l’adage communément accepté ; en réalité, plus la machine dispose de barrettes de détection, plus le volume acquis est grand pour un temps donné. La technique est donc intéressante pour couvrir de très grands champs ou aller vite (imagerie cardiaque principalement).
Il n’existe donc pas d’image « parfaite ». Pour être plus concret, on pourrait dire qu’un examen tomodensitométrique de qualité est celui qui répond à la question du clinicien : il faut donc que cette question soit bien posée et que le protocole réalisé par le technicien en radiologie et le radiologue soit adapté à la recherche de la réponse posée. Si l’examen répond à cet impératif, il doit également, pour être considéré comme de bonne qualité, exposer le moins possible le patient aux rayonnements ionisants. Il existe en effet une balance entre une image de bonne qualité, c’est-à-dire avec beaucoup de signal, nécessaire à un diagnostic précis, et la dose reçue par le patient. Schématiquement, plus la dose est importante et moins l’examen sera bruité [2].
Le code de santé publique a transposé, par le décret du 24 mars 2003, la directive européenne 97/43 EURATOM sur la dose maximale admissible par type d’examen ; pour un examen abdominal, celle-ci est de 650 mGy/cm (milli Gray par centimètre) et pour un examen du pelvis de 450 mGy/cm [3]. Toutes les machines actuellement disponibles sur le marché permettent de rester très en-deçà de ces seuils maximaux. Ces seuils s’entendent par passage et il faut donc additionner, en cas d’examen réalisé au temps portal et tardif par exemple, deux passages.
Pour clore ce chapitre, on peut dire qu’actuellement il n’y a pas de mauvaise machine sur le marché. Il y a par contre parfois des défaillances au niveau de la chaîne qui va du clinicien au radiologue en passant par le technicien, aboutissant à un examen de mauvaise qualité.

Figure 1. Différents facteurs intervenant dans la qualité d’une image tomodensitométrique
Comment limiter l’irradiation liée aux scanners itératifs ?
Pour répondre à cette question, il est tout d’abord nécessaire d’introduire quelques notions importantes :
- En imagerie médicale, on parle d’exposition à un rayonnement ionisant et non d’irradiation, la première étant volontaire alors que la seconde est involontaire ! Ainsi le rayonnement cosmique est une irradiation alors qu’une radiographie expose un patient à un rayonnement ionisant.
- Deux phénomènes biologiques sont associés aux rayonnements ionisants : un effet tissulaire certain à partir d’un seuil de dose (c’est Hiroshima par exemple), et des effets dits probabilistes ou stochastiques, aléatoires. Pour des doses faibles, comme en imagerie, seule une probabilité de lésions radio-induites peut être énoncée pour un individu donné (si on écarte les exceptionnels cas d’exposition massive récemment décrits en radiothérapie ou en procédures endovasculaires).
À ce jour, les études épidémiologiques n’ont pas pu mettre en évidence un lien entre examens tomodensitométriques et une pathologie radio-induite. Néanmoins, il a été démontré qu’un lien existe entre précocité du cancer du sein et surveillance répétée par mammographies si celle-ci est débutée très tôt dans la vie de femmes à hauts risques de cancers [4]. Le risque de cancer radio-induit n’est donc probablement pas nul.
Actuellement, on admet qu’il n’existe pas de seuil de dose en dessous duquel il n’y a pas d’effet des rayonnements ionisants. Sur ces bases (peu solides sur le plan scientifique, il faut bien le dire), la CIPR (Commission Internationale de Protection Radiobiologique) a publié des coefficients de risque de décès par cancer ; 5 % par sievert (S) reçu pour la population générale avec une dose maximum tolérable sur la vie de 70 mSv (ou encore 20mSV par an) [5]. Si l’on considère la dose d’un examen tomodensitométrique comme proche de 10 mS, et que 7,5 millions d’examens tomodensitométriques ont été réalisés en France en 2007, ces données sont évidemment très inquiétantes. Néanmoins, les calculs sont effectués sans tenir compte de l’âge du patient, le risque n’étant évidemment pas le même chez un enfant que chez une personne âgée, sans connaître réellement la pertinence des 5 % avancés et sans pondération entre risques et bénéfices [6].
Quoi qu’il en soit, notre objectif, comme médecins et acteurs de santé publique, doit être évidemment de protéger la population d’une exposition excessive. La diminution de la dose délivrée est également au centre des évolutions technologiques proposées par les constructeurs. Des techniques mécaniques ont tout d’abord été utilisées, avec des boucliers adaptatifs dont la forme et la taille se modulent en fonction de la morphologie du patient. Il existe également des systèmes permettant de diminuer la dose d’environ 30 %, quand le tube passe en face des régions mammaires, ce qui permet de diminuer l’exposition de cette région très sensible au rayonnement ionisant.
L’avancée la plus récente mais également la plus significative est l’introduction d’un nouveau type de reconstruction des images, la reconstruction itérative [7] : depuis la découverte de la technique du scanner par Sir Hounsfield, les images étaient reconstruites par rétroprojection filtrée. La reconstruction itérative est plus complexe sur le plan mathématique et était impossible à mettre en œuvre avant les progrès récents de l’informatique. La méthode consiste à reconstruire l’image par hypothèses successives appelées itérations. Il existe plusieurs techniques différentes selon les constructeurs. Toutes ces méthodes permettent de diminuer très significativement la dose délivrée au patient, puisqu’elles améliorent le rapport signal/bruit des images même celles initialement bruitées. L’ensemble des machines actuellement disponibles sur le marché proposent cette méthode et elle est donc utilisée de façon routinière sur les examens abdominaux. Ces méthodes permettent également de limiter les artéfacts métalliques (dit de renforcement de faisceaux) que l’on observait avec la reconstruction filtrée (Fig. 2) [8].
L’avenir, déjà présent sur les machines de dernière génération, est la reconstruction itérative dans les 3 directions de l’espace ; encore un peu longue en temps de calcul compte tenu de la complexité des algorithmes utilisés (40 à 1 heure par examen en 2014), cette technique permet de diminuer la dose à un niveau tel que la dose d’un scanner abdominal devient équivalent à celle d’un ASP de face (Radiographie de l’Abdomen sans préparation) soit environ 1 mS pour un passage (Fig. 3).
Malgré toutes les solutions technologiques proposées, le principal facteur d’exposition reste directement lié à la facilité et à la rapidité d’acquisition des scanners modernes. La répétition des acquisitions, leur enchaînement pour un même patient, peut très nettement augmenter la dose reçue : quand l’exploration de la totalité de l’abdomen dure quelques secondes, il apparaît simple de répéter les séries, sans réel apport diagnostique supplémentaire. C’est au radiologue et à son technicien de contrôler cette tentation, contrôle qu’il fera d’autant plus aisément qu’il aura compris l’objectif recherché par l’examen réalisé. S’il est coupable de faire réaliser par défaut un maximum d’acquisitions pour pouvoir interpréter l’examen a posteriori sans risquer d’avoir manqué un temps de l’examen, il est également coupable de ne pas expliquer clairement ce que l’on cherche car, dans ce cas, une exploration la plus complète possible peut être proposée. Il est donc indispensable que chaque examen soit programmé de façon rationnelle, en fonction de l’indication clinique : faut-il injecter ? Faut-il faire des coupes avant injection ? Si oui, sur quelle partie de la région à explorer ? Sur toute la région à explorer ? Des coupes tardives sont-elles réellement utiles ? Etc.
Par ailleurs, il faut rappeler ici que le meilleur moyen de limiter la dose délivrée au patient est de limiter le nombre d’examens tomodensitométriques car un examen non réalisé est évidemment associé à une dose nulle. Pour celas nous disposons maintenant de techniques de substitution que peut être l’IRM ou l’échographie de contraste, deux techniques non irradiantes et d’accès de plus en plus aisé.
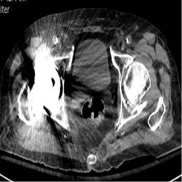
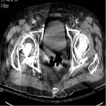
A
B
Figure 2. Comparaison de la même image reconstruite par rétroprojection filtrée (A) et par reconstruction itérative (B).
Les artéfacts liés à la prothèse de hanche sont diminués sur le mode itératif
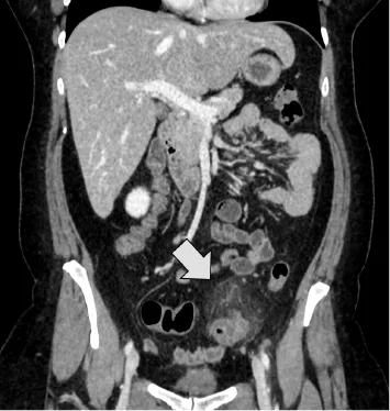
A
B
C 
Figure 3. Reconstruction coronale de 2 images acquises chez le même patient atteint d’une sigmoïdite diverticulaire (flèche). A. Examen réalisé à plein dose soit 10 mSv. Images du Pr Pierre Alexandre Poletti, HUG
B. Examen réalisé à 1,2mSV (30 mAs, reconstruction itérative de type ASIR 40 %).
C. Même image mais reconstruite avec une itération appelée VEO (40 minutes de calculs nécessaire).
Quelles perspectives d’amélioration du scanner et quel avenir par rapport aux autres techniques d’imagerie
Les progrès technologiques en tomodensitométrie sont très rapides et cette évolution a particulièrement été observée ces dernières années. Deux grands types d’orientations ont été développés par les constructeurs [9], si on oublie les avancées en termes d’exposition aux radiations ionisantes déjà abordées :
- aller encore plus vite, pour limiter les artéfacts de mouvements ;
- obtenir plus d’informations pour un meilleur diagnostic.
Aller plus vite
Aller plus vite permet de limiter les artéfacts de mouvements, ce qui est important évidemment en imagerie cardiaque mais également en imagerie abdominale ou en imagerie pédiatrique.
Plusieurs technologies ont été proposées selon les constructeurs. Certains scanners possèdent ainsi deux tubes avec deux rangées de détecteurs, ce qui permet d’aller plus vite puisque chaque tube parcourt une demi-circonférence pour obtenir une image et non plus une circonférence en entier (Fig. 4). Chez un autre constructeur, le statif est placé sur coussin d’air, ce qui limite les frottements et permet d’obtenir des temps de rotation de 0,27 seconde/tour. Enfin, un constructeur propose une barrette très large de 320 détecteurs permettant de couvrir une large zone anatomique en une rotation. Ces applications ont principalement été développées pour l’imagerie cardiaque mais permettent au niveau abdominal de réaliser des examens en respiration libre, sans artéfact de mouvements [9].

Figure 4. Schéma d’un scanner bitube
Encore plus d’informations
Le scanner conventionnel utilise un tube à rayons X émettant un faisceau de photons ayant une énergie de 100 ou de 120 kilovolts. L’atténuation de ce faisceau de photons X dépend de la matière que ce faisceau va traverser. Avec l’imagerie spectrale, les constructeurs proposent une modalité d’imagerie utilisant non plus un mais deux niveaux d’énergie, 50-80 kilovolts et 140 kilovolts. À partir de ces deux niveaux d’énergie, la machine reconstruit des images à 50-80 et à 140 kilovolts [10]. Puisque l’absorption du faisceau de rayons X est différente en fonction de l’énergie du faisceau incident, on obtient donc des informations différentes sur le tissu traversé selon le kilovoltage appliqué. La machine calcule également une image qui fusionne les deux informations. Trois images différentes sont donc obtenues, une image dite monochromatique combinant les deux énergies de photons et deux images de décomposition qui permettent par exemple, d’obtenir une image avant injection, c’est-à-dire sans iode et une image après injection avec iode alors qu’une seule acquisition a été réalisée. Les applications de cette technique sont nombreuses mais restent encore pour la plupart au niveau d’études et ou protocoles de recherche : comme cela a été précisé auparavant, on peut obtenir des images non injectées à partir d’un seul passage, ce qui permet évidemment de diminuer la dose reçue par le patient. Cette technique est appelée couramment « virtual non-enhance CT ». La visualisation des faibles prises de contraste semble améliorée avec cette technique, en particulier au niveau du foie où de petites métastases pourraient être mieux caractérisées qu’avec un scanner standard (Fig. 5). La technique permet également d’extraire les plaques calcifiées et de soustraire l’os de façon très aisée, ce qui permet de faciliter la reconstruction vasculaire des vaisseaux digestifs ou autres. Cette technique permet également de déterminer la nature des calculs à partir de leurs propriétés chimiques d’absorption du faisceau X. Elle permet également la détection et le suivi des hémochromatoses en mesurant le fer intrahépatique [11].
Si ces techniques semblent prometteuses, elles n’apparaissent toutefois pas encore totalement validées et restent en évaluation [12].

Figure 5. Comparaison de 2 images, l’une standard (A), l’autre reconstruite
en utilisant l’imagerie spectrale
avec un faisceau de rayon X utilisant une tension de 55 KeV (B). La prise
de contraste périphérique de cette métastase (flèche blanche) est nettement mieux visible sur l’image
à 55 KeV que sur l’image standard. Images du Dr Vaudano, Ospedale San Giovanni Bosco, Torino
Quel avenir par rapport aux autres techniques d’imagerie ?
Le scanner a pris une place centrale dans l’exploration de l’abdomen, car peu sensible aux artéfacts de mouvements, permettant une exploration quasiment corps entier dans des délais courts, avec une accessibilité simple. Sa place devait être logiquement grignotée par l’IRM qui permet une exploration maintenant corps entier, ou une exploration centrée (IRM du pelvis, du foie ou du pancréas…), avec des performances diagnostiques au moins équivalentes à celles du scanner. Il se trouve que l’accessibilité en France reste néanmoins limitée à cette technique et que, pour la partie oncologie, l’IRM ne permet pas encore une exploration satisfaisante du poumon. Le scanner reste donc l’examen de prédilection en oncologie pour le suivi des patients. Par contre, pour l’exploration du foie ou du pancréas ou encore du tube en dehors de l’urgence, l’IRM devrait être privilégiée car à ce jour, et même si la technologie progresse, le scanner reste un examen irradiant dont les performances diagnostiques sont identiques ou inférieures à l’IRM. L’échographie de contraste peut être une technique d’appoint en cas de difficulté d’accès à l’IRM, en particulier pour l’exploration du foie où sa performance pour la caractérisation des lésions hépatiques est maintenant bien démontrée.
Conclusion
L’examen tomodensitométrique reste un examen de base dans l’exploration de l’abdomen et en oncologie digestive. Il doit s’intégrer dans le panel des possibilités techniques actuelles, et en particulier avec l’IRM et l’échographie de contraste, techniques qui ne sont pas, elles, irradiantes.
Les progrès techniques sont incessants et justifient à eux seuls une veille technologique et un programme d’investissements techniques et scientifiques pour les structures de soins.
Références
- Cook TS, Hilton S, Papanicolaou N. Perspectives on radiation dose in abdominal imaging. Abdominal imaging 2013;38(6): 1190-6.
- Fuentes-Orrego JM, Sahani DV. Low-dose CT in clinical diagnostics. Expert opinion on medical diagnostics 2013;7(5):501-10.
- Dixon AK, Goldstone KE. Abdominal CT and the Euratom Directive. European Radiology 2002;12(6):1567-70.
- Giannakeas V, Lubinski J, Gronwald J, Moller P, Armel S, Lynch HT, et al. Mammography screening and the risk of breast cancer in BRCA1 and BRCA2 mutation carriers: a prospective study. Breast Cancer Research and Treatment 2014;147(1):113-8.
- CIPR. Publication 60 (traduction). Oxford, UK; Pergamon Press: 1991: paragraph 15.
- Ivanov VK, Kashcheev VV, Chekin SY, Menyaylo AN, Pryakhin EA, Tsyb AF, et al. Estimating the lifetime risk of cancer associated with multiple CT scans. J Radiological Protection (official journal of the Society for Radiological Protection) 2014;34(4):825-41.
- Andersen HK, Jensen K, Berstad AE, Aalokken TM, Kristiansen J, von Gohren Edwin B, et al. Choosing the Best Reconstruction Technique in Abdominal Computed Tomography: A Systematic Approach. J Computer assisted Tomography 2014.
- Brook OR, Gourtsoyianni S, Brook A, Mahadevan A, Wilcox C, Raptopoulos V. Spectral CT with metal artifacts reduction software for improvement of tumor visibility in the vicinity of gold fiducial markers. Radiology 2012;263(3):696-705.
- Pelc NJ. Recent and future directions in CT imaging. Ann Biomedical Engineering 2014; 42(2):260-8.
- Cui Y, Gao SY, Wang ZL, Li XT, Sun YS, Tang L, et al. Which should be the routine cross-sectional reconstruction mode in spectral CT imaging: monochromatic or polychromatic? Br J Radiol 2012;85(1018):e887-90.
- Marin D, Boll DT, Mileto A, Nelson RC. State of the art: dual-energy CT of the abdomen. Radiology 2014;271(2):327-42.
- Yamada Y, Jinzaki M, Hosokawa T, Tanami Y, Abe T, Kuribayashi S. Abdominal CT: an intra-individual comparison between virtual monochromatic spectral and polychromatic 120-kVp images obtained during the same examination. Eur J Radiol 2014;83(10): 1715-22.
Les Six points forts
- Il n’existe pas de critère de qualité d’une image tomodensitométrique mais un examen de qualité est celui qui répond à la question posée tout en étant le moins irradiant possible.
- La dose reçue ne doit pas dépasser 650 mGy par centimètre pour un scanner abdominal (par passage).
- Le meilleur moyen de diminuer la dose reçue par le patient est de ne pas réaliser d’examen inutile.
- L’apport de l’imagerie spectrale en tomodensitométrie permet de mieux caractériser les prises de contraste et de limiter le nombre de passages.
- Le scanner thoraco-abdomino-pelvien reste l’examen central pour la prise en charge des patients en oncologie digestive.
- L’IRM corps entier, hépatique, colique ou du grêle ou encore pelvienne et l’échographie de contraste (foie principalement) sont des méthodes substitutives à l’examen tomodensitométrique.