Objectifs pédagogiques
- Quand évoquer et comment confirmer le diagnostic d’HNR ?
- Connaître l’évolution de l’HNR
- Connaître l’attitude thérapeutique devant une HNR
Abbvie (congrès), Behring (orateur), Exalenz (essai clinique), Gilead (orateur).
Mots-clés : hypertension portale noncirrhotique, veinopathie portale oblitérante, thrombose de la veineporte.
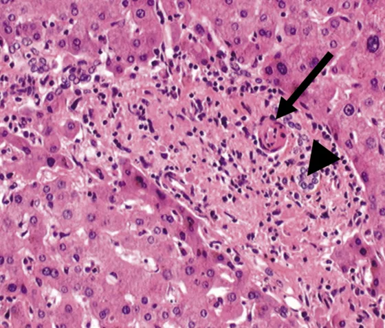
L’hyperplasie nodulaire régénérative (HNR) est une entité histologique définie par un remaniement nodulaire du parenchyme hépatique. Les nodules vus à l’étage microscopique sont séparés par des travées d’hépatocytes atrophiés, et non par des bandes fibreuses comme on l’observe dans la cirrhose (Fig. 1) [1, 2]. L’HNR est volontiers associée à d’autres entités histologiques proches telles que la veinopathie portale oblitérante (VPO), qui est définie par la présence d’une obstruction des veinules portales visible sous forme d’une diminution de calibre, d’anomalies pariétales ou d’une disparition des petites branches de la veine porte (Fig. 2). Une hyperplasie de l’intima de la veinule porte est fréquemment présente, d’où l’utilisation parfois du terme phlébosclérose ou sclérose hépatoportale. Cette diversité de nomenclature est source de confusion et il n’y a actuellement pas d’intérêt pratique à discriminer ces différentes entités histologiques. Aussi, le groupe Européen des maladies vasculaires du foie (VALDIG) a récemment proposé de regrouper ces atteintes des petits vaisseaux du foie liées à une perturbation du flux portal sous le nom de « maladie porto-sinusoïdale » (MPS).

Les flèches indiquent les travées hépatocytaires atrophiées entourant un nodule de régénération (N). La coloration à la réticuline met mieux en évidence le remaniement de l’architecture hépatique que la coloration classique à l’hématéine-éosine. Remerciements au Pr P Bedossa.

Au sein de l’espace porte, on distingue l’artériole (flèche), le canal biliaire interlobulaire (tête de flèche), mais il n’y a pas de veinule porte. Remerciements au Pr P Bedossa.
Il est en revanche utile de bien différencier la MPS du syndrome d’obstruction sinusoïdal (SOS) et d’une entité proche qu’est la maladie veino-occlusive (MVO) (Fig. 3). Ces lésions sont primitivement sinusoïdales avec des conséquences vers la veine centrolobulaire. Elles ont des causes différentes (greffe de moelle ou chimiothérapie à l’oxaliplatine) et une présentation clinique distincte avec notamment une plus grande fréquence de l’insuffisance hépatique. Le syndrome d’obstruction sinusoïdale et la maladie veino-occlusive ne seront pas abordées ici.

Les deux modes de découvertes principaux de la MPS sont des anomalies inexpliquées des tests hépatiques et une hypertension portale sans cirrhose. Dans les deux cas, l’attention doit être attirée par l’absence de cause reconnue d’hépatopathie chronique, telles qu’une consommation excessive de boissons alcoolisées, un syndrome métabolique, une infection par le virus de l’hépatite B ou de l’hépatite C, une hépatite auto-immune ou une obstruction des veines hépatiques (Fig. 4).

Les altérations des tests hépatiques associées à la MPS sont variées. Il s’agit chez 2/3 des malades d’élévation des transaminases, le plus souvent modérées, chez la moitié des malades d’élévation des phosphatases alcalines, parfois supérieure à 2 fois la limite supérieure de la normale, et chez X des malades d’élévation des g-GT [3-5]. Dans une étude récente ayant inclus près de 500 malades avec anomalies inexpliquées du bilan hépatique, des lésions de MPS étaient présentes dans 20 % des cas. Ces lésions de MPS étaient fréquemment isolées, sans hypertension portale.
L’autre manifestation de la MPS est l’hypertension portale, tableau jusqu’ici nommé hypertension portale intrahépatique non cirrhotique ou hypertension portale idiopathique. Il y a ainsi un fort chevauchement entre ces entités cliniques et les entités histologiques HNR/VPO (Fig. 5). Les signes d’hypertension portale peuvent être une thrombopénie, une splénomégalie, des varices œsophagiennes, et/ou des voies de dérivations veineuses porto-systémiques. Il peut aussi s’agir de complication de l’hypertension portale telle une rupture de varices œsophagiennes. L’ascite et l’encéphalopathie hépatique sont plus rares. Outre l’absence de cause d’hépatopathie, les autres signes qui doivent alerter et pousser les investigations sont le contraste entre une hypertension portale franche et l’absence de signe d’insuffisance hépatocellulaire. Ainsi, le TP est généralement supérieur à 50 % chez les malades avec MPS. L’autre tableau qui doit alerter est le contraste entre les signes d’hypertension portale et une élasticité hépatique basse (Fibroscan® < 14 kPa) [6].

En imagerie, certains éléments sémiologiques fins permettent d’orienter vers un diagnostic de MPS. Il s’agit d’une augmentation du volume du lobe caudé et du segment IV, alors qu’en cas de cirrhose le segment IV est atrophié. L’autre élément radiologique orientant vers une MPS est l’existence d’anomalies des branches portes intrahépatiques qui ont un calibre réduit ou sont obstruées [7].
Il faut noter que la thrombose de la veine porte est une conséquence de MPS possiblement en raison du ralentissement du flux porte induit par le bloc intrahépatique. Cependant, une obstruction porte chronique peut aussi causer des remaniements du parenchyme hépatique proche d’une MPS. Ainsi, en pratique, devant un malade ayant une thrombose porte ancienne, il n’est pas possible de déterminer si la MPS est la cause ou la conséquence de la thrombose porte.
Le diagnostic de MPS est histologique. Il est primordial que la biopsie hépatique soit de bonne taille (20 mm) afin de détecter les anomalies veineuses portales et afin d’exclure la présence d’une fibrose avancée. La présence de 10 espaces porte est considérée comme un minimum. L’analyse de foies explantés a montré qu’il existe volontiers une hétérogénéité des anomalies histologiques chez un même malade selon le secteur observé [8]. Cette hétérogénéité peut rendre le diagnostic plus difficile, surtout si la biopsie est de moins bonne qualité. Dans une série française, au moins 2 biopsies ont été requises chez plus de 30 % des malades pour pouvoir établir le diagnostic [4]. La coloration par la réticuline permet de bien mettre en évidence les remaniements architecturaux, typique de l’HNR et doit donc être effectuée en cas de suspicion de MPS (Fig. 1).
Si la biopsie est effectuée par voie transjugulaire, le gradient de pressions hépatiques peut être mesuré. Il s’agit de la différence entre la pression de la veine hépatique occluse ou bloquée, soit une estimation indirecte de la pression dans la veine porte, et celle de la veine hépatique libre. En raison du bloc présinusoïdal, en cas de MPS, le gradient de pressions hépatiques mesuré par voie transjugulaire n’est pas corrélé au gradient porto-systémique [9]. Ainsi, un gradient de pressions hépatiques à moins de 10 mm Hg chez un malade ayant des signes évidents d’hypertension portale constitue un argument de plus en faveur d’une MPS. Des voies de dérivations veino-veineuses hépatiques doivent être systématiquement recherchées, puisqu’elles sont souvent présentes et qu’elles faussent l’interprétation de la mesure de pression de la veine hépatique bloquée.
De nombreuses affections ont été rapportées associées à l’existence d’une MPS (Tableau I).
Tableau 1. Etats associés aux MPS tiré de [2, 4, 5]
| Infection – VIH – Angiocholites à répétition (anastomose bilio-digestive) |
| Maladies dysimmunitaires ou de système – Déficit immunitaire commun variable – Maladie de Basedow – Polyarthrite rhumatoïde – Syndrome POEMS – Lupus érythémateux disséminé – Maladie de Wegener – Syndrome de Sharp |
| Maladie hématologique – Myélome multiple – Maladie de Waldenström – Syndrome myélodysplasique – Syndrome myéloprolifératif – Maladie de Hodgkin – Lymphome B marginal – Purpura indiopathique thrombocytopénique |
| États prothrombotiques – Mutation du gène du facteur II – Mutation du gène du facteur V – Syndrome des anticorps antiphospholipdes – Déficit en protéine S – Déficit en protéine C |
| Médicaments (tous débattus) – Didanosine – azathioprine, – 6-thioguanine, – Arsenic |
| Maladies génétiques – Syndrome d’Adams-Oliver – Syndrome de Turner – Mutation des gènes des télomérases (TERT/TERC) – Formes familiales |
Dans certaines séries, un facteur prothrombotique général, acquis ou héréditaire a pu être détecté chez près de la moitié des malades avec MPS [4]. Cet état prothrombotique favoriserait la formation de microthrombi menant à une obstruction du flux portal.
L’infection par le VIH est aussi fréquemment associée à l’HNR [10, 11]. La première hypothèse pour expliquer cette association est l’exposition à la didanosine, un antirétroviral pour lequel une utilisation prolongée a été associée au développement d’une MPS via une possible toxicité mitochondriale. La deuxième hypothèse physiopathologique est une diminution acquise de l’activité de la protéine S, ciblée par des auto-anticorps, qui contribuerait à la MPS [11].
En plus de la didanosine, l’exposition à certains agents, tels que la 6-mercaptopurine, l’azathioprine, l’oxaliplatine et l’arsenic a été associée au développement d’une MPS. En ce qui concerne les analogues des purines, le plus souvent administrées lors du traitement d’une maladie inflammatoire chronique de l’intestin, l’association causale n’a pas été bien démontrée, surtout lorsque l’on considère la faible proportion de malades développant une MPS parmi tous ceux exposés à ces médicaments. Néanmoins, des travaux récents sur le polymorphisme génétique de la xanthine oxidase et le métabolisme des purines ont proposé une piste de solution à cette question [12].
Outre l’infection par le VIH, certains problèmes immunitaires dont le déficit immunitaire commun variable (DICV) et diverses maladies auto-immunes ont aussi été associés à la MPS.
L’histoire naturelle des formes de MPS sans hypertension portale n’est pas connue. Il est possible qu’une proportion importante de ces malades ne développe jamais de signes d’hypertension portale. Ainsi, deux séries autopsiques ont trouvé une prévalence de l’HNR de 2 à 3 % en population générale et la grande majorité de ces malades n’avaient pas de signes d’hypertension portale [13].
L’histoire naturelle des formes avec hypertension portale est mieux connue. L’hémorragie digestive par rupture de varices est l’évènement clinique le plus fréquent au cours de l’hypertension portale non cirrhotique, touchant près de la moitié des malades qui ne reçoivent pas de prophylaxie. Même lorsqu’une prophylaxie de la rupture de varices œsophagiennes est mise en place, le risque à 5 ans d’hémorragie digestive est de 25 %. Les facteurs associés à la survenue d’hémorragie sont un âge plus avancé, la présence de signes rouges à la surface des varices œsophagiennes et la présence d’une thrombose de la veine porte. La mortalité causée par une hémorragie digestive par rupture de varices demeure faible, soit 3 % à 6 semaines [5, 14].
L’ascite n’est habituellement pas présente et survient le plus souvent au cours d’évènements intercurrents tels qu’une infection ou une hémorragie digestive. Sa présence témoigne d’un stade plus avancé de la maladie puisqu’elle est associée à un risque accru de décès [14].
L’encéphalopathie hépatique est une manifestation encore plus rare et elle est habituellement causée par des dérivations porto-systémiques de fort calibre.
Le syndrome hépato-pulmonaire pourrait toucher jusqu’à 10 % des malades avec hypertension portale non cirrhotique.
L’évolution vers une insuffisance hépatique avancée n’est pas habituelle, mais est possible.
La thrombose porte est fréquente en cas de MPS avec hypertension portale, touchant un tiers des malades à 5 ans. Ceux qui ont une infection VIH ou dont le diagnostic de maladie du foie a été révélé par une rupture de varices sont particulièrement à risque [5]. La survenue d’une thrombose porte est associée à une évolution défavorable et à un risque accru d’hémorragie digestive par rupture de varices [15]. Une surveillance radiologique de la perméabilité de la veine porte peut être proposée même s’il n’existe pas de littérature appuyant directement cette pratique.
Contrairement à la cirrhose, la survenue d’un carcinome hépato-cellulaire est exceptionnelle en cas de MPS.
Au long terme, la survie à 10 ans des malades avec MPS et hypertension portale va de 56 à 82 %. La mortalité est liée aux maladies extra-hépatiques associées plutôt qu’aux complications de la maladie hépatique [14]. Les facteurs prédictifs de décès sont un âge plus avancé, la présence d’une ascite, d’une thrombose porte, d’une thrombophilie ou d’un état dysimmunitaire [5, 14].
Dans les formes de MPS sans hypertension portale, une simple surveillance peut être recommandée. Cette surveillance biologique, par imagerie, voire par endoscopie, a pour but de dépister la survenue de signes d’hypertension portale qui modifieraient alors le suivi et la prise en charge.
Chez les malades avec hypertension portale, en l’absence d’études concernant spécifiquement cette maladie, on propose que les complications de l’hypertension portale soient prises en charge comme chez les malades avec cirrhose [16, 17]. Les varices œsophagiennes doivent être dépistées systématiquement et une prévention primaire ou secondaire de l’hémorragie digestive doit être mise en place, lorsqu’on juge que le risque de saignement est augmenté. Ceci concerne les malades avec des varices de taille moyenne ou grande et les malades avec varices de petite taille, en présence de signes rouges ou d’insuffisance hépatique importante (score de Child-Pugh C). En prévention primaire, les deux options sont les bêta-bloquants non cardio-sélectifs et les ligatures élastiques. Le choix est laissé au médecin selon les préférences locales, la facilité d’accès à l’endoscopie et l’observance attendue du malade. En pré-
vention secondaire, une étude randomisée a démontré une efficacité comparable du propranolol et des ligatures élastiques chez des malades avec hypertension portale non cirrhotique [18]. Il semble toutefois prudent de combiner les traitements endoscopique et pharmacologique après un premier épisode d’hémorragie variqueuse comme dans la cirrhose.
La mise en place d’une prothèse de dérivation porto-cave par voie trans-jugulaire (TIPS) peut être envisagée pour les malades avec hémorragie digestive non contrôlée par les traitements médicaux et endoscopiques. Les résultats sont alors favorables [9]. Lorsqu’il existe une ascite réfractaire, les résultats du TIPS sont moins bons, surtout lorsque la créatininémie est supérieure à 100 µmol/L et/ou qu’il y a des comorbidités importantes [9].
Finalement, la transplantation hépatique est une option pour les malades avec ascite réfractaire ou insuffisance hépato-cellulaire avancée en l’absence de contre-indication. La survie à long terme rapportée après transplantation hépatique est bonne [19].
Étant données la présence fréquente d’un état prothrombotique et la survenue d’une thrombose porte dans l’histoire naturelle de la maladie, un traitement systématique par anticoagulation a été évoqué dans la prise en charge de la MPS avec hypertension portale, surtout lorsqu’un état procoagulant est mis en évidence. Toutefois, dans l’attente d’études permettant de répondre fermement à cette question, ce traitement est pour l’instant réservé aux malades avec thrombose porte documentée. Il va de soi qu’une prévention adéquate de l’hémorragie par rupture de varices œsophagiennes doit être instaurée avant la mise en route du traitement anticoagulant.
La maladie extra-hépatique qui s’associe à la MPS doit être diagnostiquée et prise en charge adéquatement, bien qu’il n’existe pas de démonstration que ceci puisse influencer l’histoire naturelle de la maladie hépatique.
En conclusion, la MPS est une cause de perturbations des tests hépatiques et d’hypertension portale dont on sous-estime la fréquence. Elle doit être recherchée devant des altérations du bilan hépatique et/ou une hypertension portale en l’absence de cause habituelle de maladie hépatique chronique. Le pronostic à long terme est bon et semble dicté par la présence de maladies extra-hépatiques. L’hyper-
tension portale se complique le plus souvent d’hémorragie digestive par rupture de varices. Plus rarement, la maladie évolue vers l’insuffisance hépatique. La prise en charge comprend principalement la prévention primaire ou secondaire de l’hémorragie digestive par rupture de varices œsophagiennes.
La maladie porto-sinusoïdale (MPS) est un terme recouvrant différentes entités proches et volontiers associées : hyperplasie nodulaire régénérative (HNR), la veinopathie portale oblitérante, l’hypertension portale intrahépatique non cirrhotique, l’hypertension portale idiopathique.
La MPS doit être évoquée lorsqu’il existe une hypertension portale (HTP) sans insuffisance hépatique, ou une HTP avec élasticité hépatique basse, ou une anomalie inexpliquée des tests hépatiques même sans HTP.
Les causes les plus fréquentes de MPS sont l’infection par le VIH, les états prothrombotiques, les maladies de système. Il n’est pas rare de ne pas mettre en évidence de facteur de risque.
Une biopsie hépatique de bonne qualité est essentielle pour le diagnostic.
Les complications principales sont la thrombose porte et l’hémorragie digestive.
Toute reproduction ou réécriture, totale ou partielle, sans l’accord préalable écrit de la FMC HGE est interdite.
FMC HGE : Organisme certifié Qualiopi pour la catégorie ACTIONS DE FORMATION.