Objectifs pédagogiques
- Connaître la définition et l’évaluation d’une iléite sténosante
- Connaître les indications d’un traitement chirurgical ou endoscopique
- Connaître les différents types de chirurgie
– Honoraires pour conférences:Takeda
– Invitationcongrès :Nestlé,Eumédica, Hospira
Mots-clés : iléite sténosante, anti‑TNF, chirurgie
L’atteinte iléale est la localisation la plus fréquente de la maladie de Crohn ; elle est associée au risque le plus élevé de sténose et de fistule. Au cours des deux dernières décennies, le traitement médical de la maladie de Crohn iléocolique a évolué vers l’utilisation plus large des traitements immunosuppresseurs et l’introduction des biothérapies [1, 2]. Malgré les progrès accomplis, 60 à 70 % des malades ont une intervention chirurgicale au cours de l’évolution de la maladie [3]. L’atteinte iléale sténosante est une indication admise du traitement chirurgical de la maladie de Crohn. Selon les recommandations européennes publiées en 2010, le traitement chirurgical peut être proposé à différents stades de la maladie [4]. Le traitement chirurgical est discuté devant l’inefficacité du traitement médical, l’existence de complications (obstruction intestinale complète, atteinte perforante associée) ou encore en cas de contre-indication à certaines thérapeutiques. Le traitement chirurgical peut également être proposé à un stade plus précoce de la maladie, comme une alternative à l’intensification de la prise en charge médicale. Les deux principaux inconvénients de la prise en charge chirurgicale sont d’une part le risque de morbidité postopératoire qui peut concerner jusqu’à 30 % des patients opérés [5] et la nécessité d’une stomie temporaire dans certains cas et d’autre part le risque de récidive postopératoire de la maladie de Crohn notamment. L’objectif de cette mise au point est de rappeler les éléments de l’évaluation préthérapeutique d’une iléite sténosante, les indications du traitement chirurgical ou endoscopique, et enfin les différentes modalités du traitement chirurgical.
L’iléite sténosante se traduit cliniquement par un syndrome de König qui associe des douleurs abdominales post-prandiales à une distension abdominale et des borgorymes, le tout cédant avec l’émission de gaz et de selles. En entéro-scanner ou en entéro-IRM, en plus des signes habituels caractéristiques de la maladie de Crohn (épaississement pariétal, infiltration de la graisse péri iléale), l’existence d’une sténose se traduit par une diminution du calibre de la lumière intestinale en regard de l’atteinte et parfois par une rétrodilatation de l’intestin grêle d’amont. Néanmoins, il n’existe là encore pas de définition précise de l’atteinte sténosante. L’objectif de l’évaluation préthérapeutique est d’établir un bilan précis de l’atteinte sténosante, d’éventuelles lésions associées et d’identifier les éléments qui vont permettre de définir la stratégie thérapeutique.
À la phase initiale de la maladie, elle permet la réalisation de biopsies pour confirmer le diagnostic. L’examen permet également d’évaluer le degré de sténose de l’atteinte et de déterminer le caractère franchissable et la longueur de la sténose en vue d’une éventuelle dilatation endoscopique. La principale limite de l’évaluation endoscopique est l’accessibilité de l’atteinte iléale. En effet, la coloscopie ne permet l’évaluation que des atteintes de la jonction iléocolique et de la portion terminale de l’iléon. Plusieurs études ont tenté de déterminer l’intérêt de l’évaluation des données de l’endoscopie pour prédire l’évolution de la maladie et la réponse aux traitements. Une étude française avait notamment montré que l’évaluation endoscopique de la sévérité des lésions permettait de prédire un éventuel recours à un traitement chirurgical [6] mais ces données n’ont pas été confirmées par une série indépendante. De plus, il a récemment été rapporté, sur une série de 112 malades atteints d’une maladie de Crohn, que le caractère sténosant de l’atteinte en endoscopie ne permettait pas de prédire de manière fiable le recours à un traitement chirurgical [7]. Dans cette étude, au cours du suivi, 78 % des malades avaient reçu un traitement immunomodulateur et 71 % des malades un traitement par anti-TNF. Ces résultats discordants peuvent être liés à l’utilisation plus large des anti-TNF dans les séries les plus récentes.
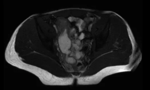
L’entéro-IRM est l’examen de référence pour l’évaluation et le suivi de l’évolution de l’atteinte iléale de la maladie de Crohn (Fig. 1).

L’entéro-IRM a l’avantage par rapport à l’entéroscanner d’être un examen non irradiant pour des patients souvent jeunes qui vont nécessiter des examens répétés. L’examen est habituellement pratiqué 50-60 min après l’ingestion de 1 000 mL de Mannitol et l’administration d’un traitement limitant le péristaltisme intestinal. L’utilisation d’une sonde nasogastrique ou duodénale est actuellement abandonnée afin d’améliorer la tolérance de l’examen. L’entéro-IRM permet d’évaluer la topographie des lésions [8], l’activité inflammatoire de la maladie [9, 10], le caractère plus ou moins sténosant et le retentissement d’amont de la sténose [8], la longueur de l’atteinte [11], l’existence de lésions associées à distance et de complications [8, 12] en cas de maladie perforante. Enfin, l’entéro-IRM peut également évaluer l’efficacité des traitements avec une précision proche de l’examen endoscopique [13]. En ce qui concerne le choix de la stratégie thérapeutique, plusieurs études ont tenté de déterminer s’il existait des facteurs prédictifs en imagerie de succès ou d’échec du traitement médical et notamment des anti-TNF. Une étude récente portant sur 112 malades ayant une maladie de Crohn a montré que l’évaluation en entéro-IRM permettait de prédire le recours à une chirurgie. En effet dans cette étude, le caractère sténosant de l’atteinte en IRM et l’existence d’une fistule interne étaient associées à une augmentation du risque de recours à une intervention chirurgicale. Ces résultats semblent confirmés par l’étude CREOLE effectuée par le GETAID [14] dont un des objectifs était de déterminer les facteurs prédictifs de réponse aux anti-TNF en cas de maladie de Crohn iléale sténosante. Dans cette étude, l’existence d’une rétrodilatation de plus de 29 mm, l’absence de prise de contraste intense et tardive sur les séquences pondérées en T1 et l’existence d’une fistule sur l’entéro-IRM étaient associées à une moins bonne efficacité des anti-TNF.
L’entéro-scanner permet d’obtenir des informations comparables à celles fournies par l’entéro-IRM. Il est idéalement réalisé avec un produit de contraste entérique neutre (Mannitol le plus souvent) à la préférence de l’eau, absorbée trop rapidement à l’exception des examens effectué avec un enteroclyseur, ce qui tend à représenter une minorité des patients. L’entéroscanner a une excellente résolution spatiale, potentiellement supérieure à celle de l’IRM. Il existe peu de données robustes ayant comparé l’entéroscanner et l’entéroIRM chez les malades ayant une maladie de Crohn iléocolique. Une étude prospective portant sur 44 malades [8] ayant une maladie de Crohn a montré que les deux modalités d’imagerie étaient équivalentes en termes de sensibilité et de spécificité pour l’évaluation de la topographie de lésions, l’importance de l’épaississement pariétal, l’infiltration du mésentère et le diagnostic de fistule interne. En revanche, l’entéro-IRM était significativement supérieure à l’entéro-scanner pour le diagnostic de maladie sténosante (p = 0.04). Actuellement, l’entéro-scanner est réservé aux patients ne pouvant avoir une entéro-IRM (claustrophobie, matériel implantable).
Actuellement, la majorité des malades ayant une symptomatologie évoquant une sténose aura un examen d’imagerie, scanner abdominal conventionnel ou échographie abdominale, en première intention. Ces examens permettent de confirmer le diagnostic mais auront un intérêt limité quant à la caractérisation de la sténose. Dans cette situation, le bilan doit être complété à la fois par une iléocoloscopie et par une entéro-IRM ou un enteroscanner. L’iléocoloscopie permettra d’obtenir des éléments en faveur du diagnostic étiologique par la réalisation de biopsies, de confirmer le caractère sténosant de l’atteinte et éventuellement de mesurer la longueur de l’atteinte en cas d’atteinte courte. L’entéro-IRM ou l’entéroscanner doivent également être prescrits car ils fournissent des informations complémentaires : longueur de l’atteinte en cas d’atteinte plus longue, l’existence d’un retentissement sur le grêle d’amont (rétrodilatation) et de complications d’une maladie de Crohn perforante (abcès, fistule interne). Ces informations sont essentielles pour définir la stratégie thérapeutique.
La prise en charge thérapeutique de la maladie de Crohn iléale sténosante fait appel à plusieurs options. Afin de définir les bonnes indications des différentes modalités thérapeutiques, la stratégie de prise en charge des malades ayant une maladie de Crohn a fait l’objet d’un consensus européen en 2010 [4]. Le traitement chirurgical et le traitement endoscopique font partie de ces options et peuvent être proposés à différents stades de la maladie. Dans un nombre limité de cas, l’indication d’un traitement chirurgical est incontournable. À l’inverse dans la grande majorité des cas, la décision d’un traitement opératoire repose sur une discussion qui prend en compte l’état général du malade, la durée d’évolution de la maladie et la réponse aux traitements déjà entrepris, la présence de complications notamment d’une maladie perforante, et la présence de facteurs de risque de récidive de la maladie après chirurgie.
Il s’agit essentiellement des situations d’urgence comprenant la péritonite en cas de perforation intestinale sur une maladie de Crohn perforante et l’occlusion intestinale complète liée à une sténose serrée. Ces indications représentent jusqu’à 10 % des malades opérés d’une maladie de Crohn selon les données présentées par le GETAID chirurgical sur la cohorte prospective RICCO [15].
En dehors de l’urgence, une chirurgie d’exérèse est formellement indiquée devant la présence de lésions de dysplasie ou encore en cas d’adénocarcinome du grêle.
Enfin, l’intérêt d’un traitement chirurgical est largement admis en cas d’échec de plusieurs lignes de traitement comprenant des anti-TNF.
Selon les recommandations ECCO [4], un traitement chirurgical devrait être proposé en cas de maladie de Crohn iléocolique sténosante associée à des symptômes obstructifs et en l’absence d’activité inflammatoire marquée (Statement 7A). Toutefois le niveau de preuve de cette recommandation est faible et, par conséquent, il s’agit d’une recommandation de grade C. De plus, il apparaît difficile de mesurer de manière fiable l’activité inflammatoire au niveau de l’atteinte. Une étude rapportée par l’équipe de Beaujon portant sur 53 malades ayant une maladie de Crohn iléocolique a montré que l’activité inflammatoire histologique était corrélée l’hypersignal spontané en T2 et au rehaussement tardif de l’atteinte en IRM après injection. Néanmoins dans cette même étude, le degré de fibrose au niveau de l’atteinte était également corrélé à l’importance de l’activité inflammatoire [9]. Toujours selon les recommandations ECCO [4], une chirurgie peut être discutée en cas d’atteinte ileocaecale localisée et sévère comme une alternative au traitement immunosuppresseur ou aux anti-TNF (Statement 5C). Il s’agit là encore d’une recommandation fondée sur un niveau de preuve faible (grade D) et pourtant, c’est la situation la plus fréquente. Chez la majorité des malades ayant une maladie de Crohn iléocolique sténosante, la chirurgie sera donc proposée comme une alternative à l’intensification du traitement médical et notamment l’introduction d’un traitement par anti-TNF. Le principal avantage de la chirurgie est de traiter efficacement les symptômes liés à la sténose dans 100 % des cas et de blanchir la maladie en cas de résection des segments intestinaux atteints. Les deux principaux inconvénients du traitement chirurgical sont, d’une part, le risque de morbidité postopératoire ou de stomie temporaire qui peut concerner jusqu’à un tiers des malades opérés [5, 16] et, d’autre part, le risque de récidive postopératoire de la maladie. Ce risque varie de manière importante en fonction de la définition qui est utilisée, clinique, endoscopique, ou chirurgicale. Le risque de récidive postopératoire était de 33 % à 5 ans et de 44 % à 10 ans dans une étude de cohorte suédoise utilisant une définition chirurgicale de la récidive [17]. Dans l’étude rapportée par l’équipe de P Rutgeerts[18], 73 % des malades présentaient des signes de récidives endoscopiques à 1 an de la chirurgie alors que seulement 20 % des malades présentaient des symptômes de récidive clinique [18]. Toutefois, la survenue d’une récidive endoscopique était étroitement corrélée au risque de récidive clinique. Au cours des 10 dernières années, plusieurs études ont montré que l’administration d’un traitement postopératoire [19,20] était susceptible de diminuer ce risque, traitement qui est le plus souvent celui qui aurait été administré si le malade n’avait pas été opéré.
S’agissant des résultats de la chirurgie, plusieurs études ont évalué les résultats immédiats et ont tenté d’identifier les facteurs de risque de complications postopératoires après chirurgie. La plupart de ces études sont rétrospectives et les facteurs de risque qu’elles ont permis d’identifier n’ont jamais été validés de manière prospective. Néanmoins, l’altération du statut nutritionnel quelle qu’en soit la définition (perte de poids, hypoalbuminémie), la découverte peropératoire d’une maladie perforante ou le traitement préopératoire par corticoides ont été constamment identifiés comme des facteurs de risque de complications postopératoires [5, 16]. L’effet de l’administration préopératoire d’un traitement par anti-TNF sur le risque de complication postopératoire est controversé. Une étude prospective de cohorte [15] portant sur 592 patients menée par le GETAID chirurgical (cohorte RICCO), dont l’objectif était d’identifier les facteurs de risque de complications postopératoires chez les malades opérés d’une maladie de Crohn iléocolique, a montré que l’administration d’un traitement par anti-TNF dans les trois mois précédant l’intervention chirurgicale augmentait le risque de complications postopératoires, de même que le caractère récidivant de la maladie, l’anémie préopératoire et la durée opératoire de plus de 3 heures. Le fait que le traitement préopératoire par anti-TNF augmente le risque de complications postopératoires chez les malades opérés d’une maladie de Crohn iléocolique, souligne l’importance de la discussion de la stratégie de traitement des malades ayant une iléite sténosante. S’agissant des résultats à long terme, de nombreuses études ont tenté d’identifier les facteurs de risque de récidive postopératoire après chirurgie d’exérèse pour maladie de Crohn iléocolique. La plupart de ces séries sont, là encore, rétrospectives et les facteurs de risque qui ont été identifiés jusque-là n’ont jamais été validés sur des séries indépendantes. De plus, la plupart de ces études ont été menées avant l’utilisation large des anti-TNF. Néanmoins, le tabac, le phénotype perforant de la maladie (incluant les manifestations anopérinéales), et la récidive postopératoire sont les facteurs de risque de récidive postopératoire les plus communément admis [21]. Chez les malades présentant au moins deux de ces facteurs, le traitement chirurgical reste une option, mais un traitement médical postopératoire sera systématiquement discuté pour prévenir la récidive postopératoire. Une analyse des données des malades inclus dans le registre RICCO [15] est actuellement en cours pour identifier d’autres facteurs susceptibles d’influencer le risque de récidive postopératoire de maladie de Crohn.
S’agissant des résultats de l’intensification du traitement médical chez les malades ayant une iléite sténosante, plusieurs études ont évalué l’intérêt d’un traitement par anti-TNF chez les malades ayant une atteinte iléale sténosante. Une étude rétrospective a évalué l’intérêt du traitement par anti-TNF chez 18 malades ayant une atteinte iléale sténosante [22]. Dans cette étude, 17 malades avaient une réponse complète (10 malades) ou partielle (n = 7) à la 8e semaine alors que 4 malades nécessitaient une intervention chirurgicale après un suivi médian de 18 mois. Cette étude a suggéré l’intérêt des anti-TNF y compris chez les malades ayant une atteinte sténosante, mais ne permettait pas de définir les critères permettant de sélectionner les bons candidats à ce traitement. Dans cette perspective, une étude portant sur 112 malades a testé la valeur des données endoscopiques et en entéro-IRM [7] pour prédire le risque d’intervention chirurgicale chez les malades traités médicalement. Dans cette étude, 28 malades (25 %) avaient une atteinte sténosante et 25 % des malades avaient reçu un traitement par anti-TNF au moment de leur inclusion. Au cours du suivi, 71 % des malades ont été traités par anti-TNF et 26 % des malades ont nécessité une intervention chirurgicale. L’analyse multivariée a montré que l’existence de manifestations anopérinéales, l’existence d’une sténose en entéro-IRM, et l’existence d’une fistule interne en entéro-IRM étaient des facteurs associés à l’intervention chirurgicale. Enfin, l’étude prospective CREOLE [14] coordonnée par le GETAID a spécifiquement étudié les facteurs de risque d’échec du traitement par adalimumab sur une série 94 malades ayant une sténose iléale symptomatique. Dans cette étude, l’échec du traitement était définie à la 24e semaine par la nécessité de réintroduire une corticothérapie, la nécessité d’une dilatation endoscopique, d’une intervention chirurgicale, ou l’interruption du traitement pour des effets indésirables liés au traitement. Cette étude est particulièrement importante, puisqu’elle évalue spécifiquement l’intérêt du traitement par anti-TNF chez les malades ayant une sténose iléale. Les données de cette étude [14] non encore publiée ont été présentées au congrès de l’UEGW en 2014 et montrent que le traitement par anti-TNF est efficace chez les malades ayant une maladie de Crohn sténosante dans plus de 60 % des cas. La durée des symptômes obstructifs de plus de 5 semaines, la longueur de la sténose de plus de 12 cm, l’existence d’une fistule complexe associée, l’existence d’une dilatation d’amont de plus de 29 mm, l’absence du rehaussement tardif de la sténose sur les séquences pondérées en T1 en IRM et l’absence de traitement immunosuppresseur associé étaient des facteurs de risque d’échec du traitement par adalimumab. Les auteurs proposent un score permettant de prédire les chances de succès du traitement par anti-TNF en cas de maladie de Crohn iléale sténosante. Au total, cette étude permet d’identifier un sous-groupe de malades ayant une maladie de Crohn iléale sténosante pour lesquels le traitement par anti-TNF ne présente aucun intérêt. L’application de ces critères permettrait par conséquent d’éviter un traitement inutile et coûteux à ces patients. La principale limite de l’étude est l’absence de cohorte indépendante de validation des critères qui ont été identifiés [14].
Il apparaît essentiel d’identifier pour chaque modalité thérapeutique, traitement chirurgical ou traitement médical, les facteurs de risque d’échec. Ces facteurs vont conduire, pour les malades opérés, à l’introduction d’un traitement médical de la récidive et pour les malades traités médicalement par anti-TNF, à une intervention chirurgicale pratiquée avec un risque accru de complications postopératoires, voire même à la réalisation d’une chirurgie en urgence susceptible d’être associée à une mortalité postopératoire plus élevée [23]. L’ensemble des données actuellement disponibles ne permet pas d’établir une recommandation formelle pour le choix entre anti-TNF et chirurgie en cas de sténose iléale. De plus, il est difficile de modéliser les nombreuses situations rencontrées. Il est néanmoins possible de proposer certaines pistes (Fig. 2). Le traitement chirurgical est une option privilégiée en cas de sténose iléale limitée symptomatique, mais certains malades peuvent tirer bénéfice d’une intensification du traitement médical. Chez les malades à haut risque de récidive (tabac, récidive postopératoire, maladie perforante) et devant l’apparition récente de symptômes obstructifs, l’intensification du traitement médical apparaît légitime. Ce traitement sera d’autant plus efficace qu’il n’existe pas de fistule complexe, la sténose est courte et qu’il n’existe pas de retrodilatation marquée sur l’imagerie préthérapeutique. Les malades qui ne présentent pas ou peu de facteurs de risque de récidive postopératoire représentent les meilleurs candidats à un traitement chirurgical, ce d’autant que les symptômes obstructifs sont anciens et que la dilatation d’amont est marquée. Entre ces deux situations extrêmes, chacune des options doit être évaluée et discutée. Compte tenu de la variabilité de la présentation clinique et du nombre d’éléments qui entrent en jeu dans la décision de la stratégie, ce choix sera idéalement effectué en unité de concertation pluridisciplinaire (Fig. 2).

Chez les malades à risque de récidive postopératoire, le traitement chirurgical peut toutefois être discuté, ce d’autant que certaines complications de la maladie de Crohn perforante, notamment l’existence d’un abcès, sont susceptibles d’empêcher l’introduction d’un traitement par anti-TNF. Dans cette situation de malades à haut risque de récidive, le traitement chirurgical sera suivi d’un traitement postopératoire préventif de la récidive. L’étude POCER est une étude contrôlée de stratégie comparant plusieurs schémas postopératoires après chirurgie pour maladie de Crohn iléale à haut risque de récidive. Une analyse du sous groupe des malades traités par thiopurines ou par adalimumab inclus dans l’étude a récemment été rapportée [24]. Cette analyse portant sur 101 malades traités par thiopurines (n = 73) ou par adalimumab (n = 28) montre que les anti-TNF permettent de limiter le risque de récidive endoscopique (Rutgeerts i2-i4) en intention de traitement (33/73 vs 6/28, p = 0.020). Ces données sont en accord avec une revue récente de la littérature qui suggère également que le traitement par anti-TNF postopératoire est le traitement le plus efficace pour réduire le risque de récidive postopératoire chez les malades opérés [25].
La dilatation endoscopique au ballon est une option qui est utilisée depuis le début des années 90 chez les malades ayant une maladie de Crohn iléocolique sténosante [26]. Les principaux avantages théoriques de la dilatation endoscopique sont de traiter efficacement les symptômes obstructifs tout en évitant le recours à une exérèse chirurgicale, de favoriser et faciliter la prise en charge des malades candidats à un traitement non opératoire, et d’être associée à un risque de morbimortalité supposé moindre qu’une intervention chirurgicale. Les principaux inconvénients sont le risque d’échec et de complications au cours de la procédure, l’incertitude sur les résultats à long terme de la dilatation et par conséquent la nécessité de réintroduire un traitement médical au décours de la dilatation pour limiter le risque de resténose. La dilatation endoscopique représente par conséquent une alternative à la chirurgie, mais davantage à la stricturoplastie qu’à la chirurgie d’exérèse. La technique s’est largement développée depuis la description initiale et plusieurs études ont évalué la faisabilité de la dilatation endoscopique chez les malades ayant une maladie de Crohn iléocolique sténosante ainsi que les facteurs de risque de succès ou d’échec de la procédure. Ces études ont permis d’identifier les bonnes indications d’une dilatation endoscopique : sténose intéressant l’iléon terminal accessible en endoscopie, sténose courte de moins de 4-5 cm [27], sténose d’une anastomose iléocolique ou de l’iléon néoterminal chez les malades opérés [28], absence de fistule interne ou d’abcès, l’absence de dysplasie ou de tumeur. Toutefois les résultats de la dilatation endoscopique sont parfois discordants. Une étude monocentrique de l’équipe de Louvain portant sur 138 malades a rapporté les résultats et à long terme de la dilatation endoscopique d’une maladie de Crohn iléocolique sténosante avec une sténose d’une longueur de moins de 5 cm. Au total, les 138 malades ont eu 237 procédures avec dilatation endoscopique. Douze procédures ont été suivies d’une complication sévère (5,1 %) dont six perforations nécessitant une résection intestinale. Dans cette étude, la très grande majorité des malades (94,8 %) avaient déjà eu une exérèse chirurgicale et par conséquent la dilatation était réalisée pour une sténose iléale ou iléocolique postopératoire. Dans cette étude, le taux de succès immédiats de la dilatation était de 97,1 % (134/138) et 44,2 % des malades avaient une résolution durable des symptômes obstructifs ne nécessitant ni dilatation supplémentaire ou chirurgie d’exérèse après un suivi médical de 5,8 ans. Une ou plusieurs dilatations supplémentaires ont été nécessaires chez 46 % des malades et 24 % des malades ont été opérés. En analyse multivariée, ni l’activité de la maladie mesurée par le taux de CRP ou en endoscopie ne permettaient de prédire la nécessité de réaliser des procédures supplémentaires après une première dilatation. De la même manière, le type de prise en charge médicale associée, surveillance simple ou intensification thérapeutique, ne permettait pas de prédire le risque de recours à une nouvelle intervention. Dans une métaanalyse récente [29] portant sur 1 089 malades ayant eu 2 664 dilatations endoscopiques, les résultats notamment à long terme semblaient moins bons. En effet dans cette étude, alors que le risque de complications graves était de 6.4 % (95 % CI : 5.0-8.2) et donc proche de celui observé dans la série de Louvain, le risque de recours à une chirurgie d’exérèse était de 75 % à 5 ans de la procédure. Ces résultats suggèrent tout d’abord que la sélection des malades pour une dilatation endoscopique devrait être améliorée. En effet, actuellement les facteurs de risque de recours à une chirurgie chez les malades ayant eu une dilatation endoscopique ne sont pas bien connus. Ces résultats suggèrent également que la majorité des malades ayant eu une dilatation endoscopique devraient recevoir un traitement médical pour limiter l’évolution de la maladie et le recours ultérieur à une intervention.
Actuellement, aucune étude contrôlée n’a comparé l’intérêt de la dilatation endoscopique par rapport à une intervention chirurgicale ou encore par rapport à l’intensification du traitement médical. Une étude rétrospective monocentrique portant sur 79 malades traités par dilatation endoscopique (n = 39) ou par chirurgie (n = 40) pour une sténose iléale a récemment été rapportée[30]. Cette étude montre que la dialation endoscopique est associée à un taux de réintervention significativement plus élevé par rapport à la chirurgie (OR = 5,62 [95 % IC = , 1,66-19,01] ; p = 0,005) alors que le taux de complications sévères n’est pas différent dans les deux groupes (7,6 % versus 7,5 % ; p = 0.7).
Plusieurs types de procédures peuvent être proposés. La résection permet à la fois de traiter la sténose et de « blanchir » la maladie. Afin de limiter le sacrifice intestinal chez ces malades souvent candidats à des chirurgies répétées, d’autres options ont été proposées, visant à ne traiter que les conséquences de la maladie et donc la sténose sans faire d’exérèse intestinale.
L’atteinte de la maladie de Crohn et par conséquent les lésions sténosantes intéressent dans la très grande majorité des cas la jonction iléocolique et l’iléon préterminal. Les avantages de la chirurgie d’exérèse sont de traiter efficacement les symptômes et de « blanchir » c’est-à-dire de ralentir l’évolution de la maladie. Les principaux inconvénients sont d’une part le risque de complications postopératoires et d’autre part le risque de récidive postopératoire (cf. chapitre). Enfin, la chirurgie d’exérèse conduit à un sacrifice intestinal dont l’importance dépend de la longueur de la sténose et l’atteinte. La chirurgie d’exérèse est par conséquent proposée chez les malades ayant une atteinte limitée (moins de 30-40 cm selon les critères ECCO). Néanmoins, la résection iléocaecale est l’intervention qui est le plus souvent pratiquée. Cette intervention est faisable par voie laparoscopique et plusieurs essais contrôlés ont comparé la chirurgie conventionnelle ouverte à la voie d’abord laparoscopique dans cette indication. Un premier essai contrôlé nord-américain [31] a comparé la voie d’abord laparoscopique à la chirurgie conventionnelle chez 60 malades ayant une maladie de Crohn iléocolique. Un autre essai contrôlé hollandais [32] portant sur les mêmes effectifs a comparé les deux voies d’abord dans cette indication. Les résultats de ces deux essais sont concordants en ceci qu’ils montrent une supériorité de la laparoscopie en terme de délai de récupération postopératoire, de durée de l’iléus postopératoire et de morbidité mineure postopératoire. Un autre intérêt de la voie d’abord laparoscopique est l’avantage cosmétique qu’il ne faut pas négliger chez des malades jeunes potentiellement candidats à des chirurgies répétées. Actuellement, d’autres procédures incluant la chirurgie par monotrocart sont en cours d’évaluation pour déterminer s’il est possible de limiter davantage le traumatisme chirurgical dans cette situation.
Chez les malades ayant une maladie multifocale ou en cas de maladie de Crohn récidivante, l’inconvénient des résections étendues, multiples ou itératives est le risque de grêle court. En cas de sténoses multiples ou chez les malades ayant une atteinte sténosante mais ayant plusieurs antécédents de résection, la réalisation de stricturoplasties, qui consiste en une plastie d’élargissement de la sténose, représente une alternative à la résection de l’atteinte. Plusieurs types de stricturoplasties [33] ont été décrites et peuvent être proposées, en fonction de la longueur de la sténose digestive : la stricturoplastie de Heineke-Mikulicz, la plus courante, en cas de sténose courte de moins de 10 cm, la stricturoplastie de Finney pour les sténoses plus longues de 10-20 cm et la stricturoplastie isopéristaltique latérolatérale pour les sténoses de plus de 20 cm. Le principal avantage de ces techniques de stricturoplastie est de limiter le sacrifice intestinal associé à la résection et par conséquent le risque de grêle court. Les inconvénients sont, d’une part, d’un point de vue technique la nécessité de réaliser une suture intestinale sur une zone pathologique, mais d’autre part de laisser la maladie en place susceptible d’évoluer sur plan inflammatoire et par conséquent un risque théorique de récidive plus élevé. Enfin, les lésions de la maladie de Crohn, laissées en place en cas de stricturoplastie peuvent évoluer vers la dysplasie et expose au risque théorique de cancer. En ce qui concerne les résultats postopératoires immédiats, dans une métaanalyse [34] portant sur 3 259 stricturoplasties jéjunoiléale ou iléocolique en cas de maladie de Crohn récidivante effectuées chez 1 112 patients, le taux de complications septiques intraabdominales était de 4 %, soit un risque assez proche du risque de complications septiques après résection. S’agissant des résultats à long terme, le taux de récidive à 5 ans était de 28 % et dans la majorité des cas, la récidive ne survenait pas sur le site de la stricturoplastie. Au total, deux patients ont développé un adénocarcinome dur grêle sur le site de la stricturoplastie. Alors que ces techniques ont été rapportées dans les années 80-90 et que les résultats rapportés dans cette métaanalyse [34] paraissent assez favorables, actuellement, l’utilisation de stricturoplastie est réservée à un nombre limité de malades en échec de plusieurs lignes de traitement.
L’iléite sténosante est une des formes les plus fréquentes de la maladie de Crohn iléocolique. Actuellement, il existe de nombreuses options thérapeutiques qui seront plus ou moins appropriées en fonction de la présentation clinique et du risque évolutif de la maladie. La stratégie de prise en charge des malades ayant une iléite sténosante doit idéalement être définie dans le cadre d’une discussion pluridisciplinaire permettant d’établir les avantages et les inconvénients des différentes options.
Toute reproduction ou réécriture, totale ou partielle, sans l’accord préalable écrit de la FMC HGE est interdite.
FMC HGE : Organisme certifié Qualiopi pour la catégorie ACTIONS DE FORMATION.