Connaître les critères qualité d’une élastométrie par échographie
Connaître l’apport et les limites de l’élastométrie par échographie abdominale en pathologie hépatique et non hépatique
Vidéo
Introduction
L’élastographie impulsionnelle, largement répandue par le Fibroscan a pris une place importante dans le diagnostic non invasif de la fibrose hépatique. L’apparition de modules d’élastrographie associés à des échographes permet d’envisager l’usage des mesures d’élastométrie dans de nouvelles indications.
Principes
Quelle que soit la technique utilisée, le principe de l’élastométrie ultrasonore est toujours le même. Il consiste en la mesure de la vitesse de déplacement d’une onde de cisaillement créée dans le parenchyme hépatique. La vitesse de déplacement de cette onde est proportionnelle à la dureté du parenchyme. Pour le Fibroscan la technique de création de l’onde est mécanique. Un impact est provoqué sur la paroi cutanée dans un espace intercostal, créant une onde de cisaillement qui se propage de la peau vers la profondeur du foie. Pour les modules associés à des échographes, la génération de l’onde de cisaillement se fait par une onde ultrasonore à haut impact mécanique. En effet les ultrasons, en fonction de leur fréquence, ont une pénétration plus ou moins grande dans les structures (les ultrasons à basse fréquence peuvent pénétrer très loin, c’est le principe des sonars utilisés en milieu marin) et un impact mécanique différent (en focalisant des ultrasons à basse fréquence, on obtient un impact mécanique important ; c’est le principe des destructions de calculs urinaires par lithotritie). Cette onde de compression va générer une onde de cisaillement (perpendiculairement à l’onde de compression). Quel que soit le système, la mesure de la vitesse de propagation de l’onde de cisaillement est ensuite faite par des tirs d’ultrasons répétés. La mesure peut être ponctuelle ou intéresser un volume limité comme dans la technique ARFI de Siemens où la fenêtre de mesure est de 10 × 5 mm, ou dans une fenêtre plus large en utilisant des techniques de génération et de mesure de vitesse de l’onde de cisaillement plus sophistiquées, comme la technique utilisée par Supersonic Imagine (SSI) qui permet dans une plus large fenêtre d’obtenir une cartographie couleur de la dureté hépatique, et une mesure quantitative de la dureté dans une région d’intérêt. [1]
Deux techniques d’élastométrie ultrasonore associées à des échographes ont été largement évaluées dans la littérature. Ce sont les deux techniques précédemment citées : ARFI de Siemens et SWE de Supersonic Imagine. Actuellement, pratiquement tous les autres constructeurs d’échographe proposent des modules d’élastométrie, mais ceux-ci n’ont pas encore été évalués. Malheureusement toutes ces techniques ne sont pas standardisées et les mesures fournies dépendent de facteurs techniques propres à chaque fabricant. Entre autre l’amplitude de l’onde de cisaillement générée varie suivant les constructeurs et influence les valeurs obtenues. Les valeurs seuil proposées pour différentes pathologies dépendent donc de la technique utilisée. Cette différence induite est vraisemblablement faible mais il faudrait en théorie refaire une validation pour chaque nouvelle technique proposée par un constructeur. À moins que ceux-ci standardisent leur technique d’émission des ondes de cisaillement. [2]
L’information fournie par la mesure est en fait une vitesse (en m/sec) puis elle est transformée en KPa pour donner une information en dureté suivant la formule suivante : E = 3 r V2 où E est la dureté, V la vitesse mesurée et r la masse volumique du foie. La masse volumique est considérée dans la transformation comme une constante (1060 K/m3). Or celle-ci varie en fonction de la pathologie que l’on cherche à déterminer. Par exemple, dans le gras la masse volumique est de 970 K/m3 et dans une fibre de collagène elle est de 1350 K/m3. La transformation de la mesure de vitesse en dureté, si elle donne une mesure plus simple avec une plus large échelle de valeurs, et surtout si elle suit l’habitude prise par l’utilisation du Fibroscan, n’en induit pas moins une erreur de mesure.
Enfin, en pratique l’apprentissage des techniques d’élastométrie des modules associés aux échographes a été peu évaluée, mais elle a été rapportée avec l’ARFI [3] et semble très bonne.
Physiopathologie
Il est important de se rappeler que ces techniques mesurent la dureté du parenchyme hépatique dans une zone définie. Ce n’est pas une structure hépatique particulière et notamment la fibrose qui est mesurée directement. Ainsi, tout ce qui va augmenter la pression à l’intérieur du parenchyme hépatique va aussi augmenter la dureté. C’est le cas de la cholestase intra hépatique, de l’augmentation de la pression veineuse par congestion, de l’augmentation de la pression intra abdominale, etc.
Enfin, toutes les modifications cellulaires ou les infiltrations interstitielles du parenchyme vont aussi modifier la dureté hépatique comme par exemple la pression osmotique, l’inflammation, la nécrose, etc.
Il existe donc de nombreux facteurs influençant la dureté hépatique. Le raccourci dureté/fibrose ou plus généralement dureté/pathologie donnée ne peut donc être employé qu’en connaissance de cause.
Indications – Résultats
Hépatopathie diffuse
Le diagnostic non invasif de fibrose et de cirrhose est possible par ces techniques d’élastométrie ultrasonore, de façon équivalente à celles du Fibroscan. Les performances rapportées dans la littérature [4-6] montrent des sensibilités et spécificités très proches du Fibroscan. La sensibilité pour le diagnostic de fibrose sévère et de cirrhose des deux techniques actuellement évaluées varie de 79 % à 97 % et 81 % à 95 %, respectivement, et la spécificité de 81 % à 87 % et 77 % à 96 % respectivement, en fonction des différentes études.
Les seuils rapportés pour le diagnostic de fibrose significative, fibrose sévère et cirrhose sont pour le SWE respectivement de 7 à 8 KPa, 8,5 à 9 KPa et 10,5 à 11 KPa, et pour l’ARFI respectivement de 1,2 à 1,4 m/s ; 1,5 à 1,6 m/s et 1,6 à 1,9 m/s suivant les séries et les étiologies.
Il faut rappeler que les recommandations de la HAS pour l’utilisation de l’élastométrie ne concernent que les hépatopathies virales C. Toutefois de nombreuses études ont montré la faisabilité et les bonnes performances de l’élastométrie dans les hépatopathies stéatosiques (NAFLD) [7] et l’élastométrie est largement utilisée dans cette étiologie. Il est important de savoir qu’il existe une influence de la stéatose pour l’évaluation de la fibrose hépatique par élastométrie [8]. La stéatose influence les résultats du Fibroscan en surestimant la fibrose pour les faibles surcharges de fibrose (fibrose < F3), correspondant à des fibroses significatives mais pas des fibroses sévères.
Par contre la stéatose n’influence pas les résultats du Fibroscan lorsque la fibrose est importante. Ce type d’étude a été rapporté avec moins de précisions pour l’ARFI [9], mais il est certain que ces résultats doivent être applicables à toutes les techniques d’élastométrie.
Enfin, il n’y a que peu d’études portant spécifiquement sur l’évaluation de la fibrose par élastométrie (ARFI) dans les étiologies alcooliques [10] ; étiologie qui demeure importante en France.
Dans tous les cas, les performances des différentes techniques évaluées (Fibroscan, ARFI, SWE SSI) apparaissent très proches. Le SWE SSI apparaît un peu plus performant, notamment dans les étiologies virales [4]. Toutefois compte tenu de l’utilisation en pratique clinique, ces différences de performances n’apparaissent pas forcément très pertinentes.
Par contre, la faisabilité des techniques est différente. Il n’existe pratiquement aucun échec de mesure avec l’ARFI. Les taux d’échec avec le Fibroscan dépendent de la sonde utilisée. Il est supérieur avec la sonde M comparativement à la sonde XL. Dans une récente étude sur des patients avec une NAFLD [6, 7] le taux d’échec était de 14.4 % avec le Fibroscan, 13 % avec le SSI et 0.7 % avec l’ARFI. En pratique quotidienne, la mesure est plus aisée à obtenir en ARFI, mais avec une dispersion des mesures plus grandes.
Enfin, les critères de qualité nécessaire sont connus et définis par le fabricant pour le Fibroscan. Ils le sont beaucoup moins pour les autres techniques. Toutefois pour l’ARFI les études [3, 11] ont montré qu’un IQR < 30 % et/ou un pourcentage de succès > 60 % dans l’obtention des mesures améliorerait très nettement les corrélations entre les mesures d’élastométrie et la quantité de fibrose.
Figure 1. Principe de mesure de l’élasticité hépatique par les techniques ARFFI et SSI. Une onde de compression créait une onde de cisaillement. L’onde de cisaillement se propage perpendiculairement à l’onde de compression. La vitesse de propagation est mesurée par des tirs ultrasonores. La vitesse de propagation de l’onde de cisaillement est proportionnelle à la dureté (l’élasticité) hépatique.
Hypertension portale
L’évaluation de l’hypertension portale a été fait à travers les mesures de dureté hépatique et splénique : La dureté hépatique parce qu’elle est le reflet de la fibrose, elle-même cause de l’hypertension portale, et la dureté splénique parce qu’elle mesure la congestion splénique induite par l’hypertension portale.
Des corrélations ont été rapportées avec l’existence de varices œsophagiennes de grade ≥ 2, et avec le gradient porto-cave.
La corrélation des mesures d’élastographie hépatique au gradient veineux porto-cave a des bonnes performances (sensibilité et spécificité > 85 %) mais des cut off très discordants (13 à 21 KPa) [12-15].
Plus pratique, la corrélation de la dureté splénique à l’existence de varices œsophagiennes à haut risque de saignement (≥G2) a été étudiée et a montré des résultats encourageants [16].
Une méta-analyse récente [17] rapporte des sensibilité et spécificité pour le diagnostic de varice ≥G2 de 81 % et 65 % respectivement.
Des scores associant mesures de la dureté splénique à des paramètres biologiques permettent d’améliorer ces performances. [18]. Et l’association de la dureté splénique à des signes échographiques et biologiques telle que proposée par le score LSPS [19, 20] obtient des performances diagnostiques supérieures à 80 % pour le diagnostic de varices œsophagiennes à risque.
Élastométrie des lésions focales
Peu d’études ont évalué l’élastométrie dans les lésions focales. Les résultats sont globalement décevants. On définit des tumeurs à dureté globalement élevée (hyperplasie nodulaire focale, cholangiocarcinome) et à dureté plus faible (carcinome hépatocellulaire, métastase, hémangiome). Toutefois la disparité au sein d’une même tumeur est extrêmement grande et les zones de recouvrement entre différentes tumeurs rendent peu utilisable la dureté hépatique pour caractériser une lésion tumorale, ou même pour différencier tumeur maligne de tumeur bénigne en pratique quotidienne [21-23].
Figure 2. Écran de mesure de la dureté hépatique avec la technique ARFI. La mesure est ponctuelle. La fenêtre de mesure a une taille de 5 x 10 mm. La valeur est donnée en m/s (dans les prochain mois elle sera aussi donnée en KPa).
Place de l’élastométrie dans la pratique clinique
Diagnostic non invasif dans le cadre d’une consultation hépato-gastro-entérologique
Les nouveaux modules d’élastométrie (ceux qui ont été évalués et ceux qui seront évalués) peuvent être substitués à la réalisation d’un Fibroscan au vu des résultats de la littérature qui sont très proches. Ils peuvent être associés à un bilan échographique si nécessaire. Les recommandations de la HAS sont l’utilisation des techniques d’élastométrie uniquement dans le cadre des hépatopathies virales C. Toutefois comme précisé plus haut, de nombreuses études ont montré la possibilité d’utiliser cette technique dans d’autres étiologies, notamment les NAFLD.
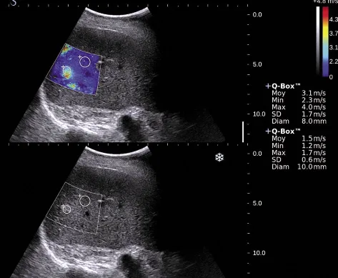
Figure 3. Écran de mesure de la dureté hépatique avec la technique SSI. Tous les pixels d’un cadre donné ont une valeur de dureté. On obtient ainsi une carte paramétrique de la dureté tissulaire. Une valeur quantitative moyenne peut être obtenue dans un ROI (region of interest). La valeur est donnée en m/s ou en KPa.
En amont du diagnostic de spécialité
La limite principale du Fibroscan est qu’il s’agit d’un appareil dédié, utilisé lors d’une consultation hépato-gastro-entérologique, pour un patient qui a déjà été adressé à cette consultation sur la suspicion d’une hépatopathie diffuse. Il faut donc que le patient soit déjà ciblé.
Or, un grand nombre de patients est adressé dans les services d’imagerie pour perturbation d’un bilan biologique hépatique ou suspicion de symptomatologie hépatique. Dans ce cadre, les modules d’élastométrie ultrasonore permettent de faire un diagnostic de suspicion d’hépatopathie chez des patients qui ne sont pas encore adressée à un médecin spécialiste pour une suspicion d’hépatopathie. Ils permettent de faire un premier filtre, possiblement plus performant que les signes morphologiques et Doppler habituels, et vraisemblablement plus standardisé que ceux-ci.
Détection en population non ciblée
La réalisation d’échographies abdominales est très large pour des symptômes ou des pathologies variées.
Parallèlement, on estime qu’environ 0,8 à 2 % de la population a une fibrose hépatique non diagnostiquée, qui sera révélée tardivement, souvent au stade de complication [24, 25].
La recherche systématique, chez un patient adressé pour échographie abdominale non ciblée hépatique, de quelques signes morphologiques échographiques simples et en cas de présence d’un de ces signes de mesure d’élastométrie, permettrait possiblement de découvrir une part de ces patients asymptomatiques. Ils pourraient ainsi être adressés en consultation spécialisée afin de confirmer ou d’infirmer la suspicion d’hépatopathie et d’en assurer la prise en charge précoce [26]. Cette hypothèse sera étudiée en 2017 à travers une étude de recherche clinique sponsorisée par la société d’imagerie abdominale et digestive française (SIAD).
Hypertension portale
Actuellement les recommandations de Baveno VI permettent de surseoir à une fibroscopie pour des valeurs de dureté hépatique < 20 KPa associées à un taux de plaquettes supérieur à 150 G/L. Mais dans la pratique, la part de l’élastométrie dans la prise en charge de l’hypertension portale reste modérée en dehors des études de recherche clinique.
Plusieurs applications potentielles peuvent être évoquées :
le dépistage des patients à risque de varices œsophagiennes en filtre avant un examen endoscopique. Par exemple l’application du score LSPS permettrait d’éviter 67 % de gastroscopies (gastroscopies faites sans VO G≥2 découvertes) au prix de 6 % de VO G≥2 manquées (fibroscopie non faites d’après le score LSPS alors que des VO G≥2 existent) [19].
l’évaluation du traitement en prophylaxie primaire par bêta bloquant des varices œsophagiennes.
Toutefois, si les résultats sont encourageants, l’utilisation n’est pas encore de pratique quotidienne.
Lésions focales hépatiques
L’élastométrie ne peut être seule une technique de caractérisation des nodules hépatiques. Elle ne permet pas non plus de dégager de cut-off clair entre lésions bénignes et malignes. Elle peut toutefois donner des arguments supplémentaires en faveur de la nature histologique d’une tumeur dans des situations données ; par exemple en montrant la dureté supérieure d’un cholangocarcinome comparativement à un carcinome hépatocellulaire, dans le cas de la découverte d’une lésion atypique après injection de produit de contraste sur un foie de cirrhose. Ou, situation plus fréquente, donner un argument en faveur d’une hyperplasie nodulaire focale (HNF) (plus dure) dans la parfois difficile discussion entre Adénome hépatique et HNF. L’élastométrie est donc un outil additionnel dans la prise en charge des lésions nodulaires hépatiques mais son rôle demeure modéré [23].
Conclusion
Les nouveaux modules d’élastométrie associés aux échographes sont d’utilisation simple. Les premiers qui ont été évalués dans la littérature ont des performances proches ou supérieures à celles du Fibroscan. Ils permettent de disposer d’un outil plus polyvalent permettant d’utiliser l’élastométrie en amont de la consultation spécialisée et dans des circonstances plus variées, notamment dans le cadre de l’hypertension portale ou des lésions focales hépatiques. Il faut toutefois se rappeler qu’ils sont, comme le Fibroscan, imparfaits et influencés par de nombreux phénomènes physiopathologiques modifiant la dureté hépatique ou splénique.
Références
Tang A, Cloutier G, Szeverenyi NM, Sirlin CB. Ultrasound Elastography and MR Elastography for Assessing Liver Fibrosis: Part 1, Principles and Techniques. AJR Am J Roentgenol. 2015;205(1):22-32.
Tang A, Cloutier G, Szeverenyi NM, Sirlin CB. Ultrasound Elastography and MR Elastography for Assessing Liver Fibrosis: Part 2, Diagnostic Performance, Confounders, and Future Directions. AJR Am J Roentgenol. 2015;205(1):33-40.
Boursier J, Isselin G, Fouchard-Hubert I, Oberti F, Dib N, Lebigot J, Bertrais S, Gallois Y, Calès P, Aubé C. Acoustic radiation force impulse: a new ultrasonographic technology for the widespread noninvasive diagnosis of liver fibrosis. Eur J Gastroenterol Hepatol. 2010;22(9):1074-84.
Ferraioli G, Tinelli C, Dal Bello B, Zicchetti M, Filice G, Filice C; Liver Fibrosis Study Group. Accuracy of real-time shear wave elastography for assessing liver fibrosis in chronic hepatitis C: a pilot study. Hepatology. 2012;56(6):2125-33.
Friedrich-Rust M, Nierhoff J, Lupsor M, Sporea I, Fierbinteanu-Braticevici C, Strobel D, Takahashi H, Yoneda M, Suda T, Zeuzem S, Herrmann E. Performance of Acoustic Radiation Force Impulse imaging for the staging of liver fibrosis: a pooled meta-analysis. J Viral Hepat. 2012;19(2):e212-9.
Cassinotto C, Lapuyade B, Mouries A, Hiriart JB, Vergniol J, Gaye D, Castain C, Le Bail B, Chermak F, Foucher J, Laurent F, Montaudon M, De Ledinghen V. Non-invasive assessment of liver fibrosis with impulse elastography: comparison of Supersonic Shear Imaging with ARFI and FibroScan®. J Hepatol. 2014;61(3):550-7.
Cassinotto C, Boursier J, de Lédinghen V, Lebigot J, Lapuyade B, Cales P, Hiriart JB, Michalak S, Bail BL, Cartier V, Mouries A, Oberti F, Fouchard-Hubert I, Vergniol J, Aubé C. Liver stiffness in nonalcoholic fatty liver disease: A comparison of supersonic shear imaging, FibroScan, and ARFI with liver biopsy. Hepatology. 2016;63(6):1817-27.
Boursier J, de Ledinghen V, Sturm N, Amrani L, Bacq Y, Sandrini J, Le Bail B, Chaigneau J, Zarski JP, Gallois Y, Leroy V, Al Hamany Z, Oberti F, Fouchard-Hubert I, Dib N, Bertrais S, Rousselet MC, Calès P; Multicentre group ANRS HC EP23 FIBROSTAR. J Gastroenterol. 2014;49(3):527-37.
Palmeri ML, Wang MH, Rouze NC, Abdelmalek MF, Guy CD, Moser B, Diehl AM, Nightingale KR. Noninvasive evaluation of hepatic fibrosis using acoustic radiation force-based shear stiffness in patients with nonalcoholic fatty liver disease. J Hepatol. 2011;55(3):666-72.
Kiani A, Brun V, Lainé F, Turlin B, Morcet J, Michalak S, Le Gruyer A, Legros L, Bardou-Jacquet E, Gandon Y, Moirand R. Acoustic radiation force impulse imaging for assessing liver fibrosis in alcoholic liver disease. World J Gastroenterol. 2016 28;22(20):4926-35.
Bota S, Sporea I, Sirli R, Popescu A, Dănilă M, Sendroiu M. Factors that influence the correlation of acoustic radiation force impulse (ARFI), elastography with liver fibrosis. Med Ultrason. 2011;13(2):135-40.
Vizzutti F, Arena U, Romanelli RG, Rega L, Foschi M, Colagrande S, Petrarca A, Moscarella S, Belli G, Zignego AL, Marra F, Laffi G, Pinzani M. Liver stiffness measurement predicts severe portal hypertension in patients with HCV-related cirrhosis. Hepatology. 2007;45(5):1290-7.
Bureau C, Metivier S, Peron JM, Selves J, Robic MA, Gourraud PA, Rouquet O, Dupuis E, Alric L, Vinel JP. Transient elastography accurately predicts presence of significant portal hypertension in patients with chronic liver disease. Aliment Pharmacol Ther. 2008;27(12):1261-8.
Salzl P, Reiberger T, Ferlitsch M, Payer BA, Schwengerer B, Trauner M, Peck-Radosavljevic M, Ferlitsch A. Evaluation of portal hypertension and varices by acoustic radiation force impulse imaging of the liver compared to transient elastography and AST to platelet ratio index. Ultraschall Med. 2014 Dec;35(6):528-33.
Elkrief L, Rautou PE, Ronot M, Lambert S, Dioguardi Burgio M, Francoz C, Plessier A, Durand F, Valla D, Lebrec D, Vilgrain V, Castéra L. Prospective comparison of spleen and liver stiffness by using shear-wave and transient elastography for detection of portal hypertension in cirrhosis. Radiology. 2015;275(2):589-98.
Takuma Y, Nouso K, Morimoto Y, Tomokuni J, Sahara A, Takabatake H, Matsueda K, Yamamoto H. Portal Hypertension in Patients with Liver Cirrhosis: Diagnostic Accuracy of Spleen Stiffness. Radiology. 2016;279(2):609-19.
Singh S, Eaton JE, Murad MH, Tanaka H, Iijima H, Talwalkar JA. Accuracy of Spleen Stiffness Measurement in Detection of Esophageal Varices in Patients With Chronic Liver Disease: Systematic Review and Meta-analysis. Clin Gastroenterol Hepatol. 2014;12(6):935-45.
Ding NS, Nguyen T, Iser DM, Hong T, Flanagan E, Wong A, Luiz L, Tan JY, Fulforth J, Holmes J, Ryan M, Bell SJ, Desmond PV, Roberts SK, Lubel J, Kemp W, Thompson AJ. Liver stiffness plus platelet count can be used to exclude high-risk oesophageal varices. Liver Int Off J Int Assoc Study Liver. 2016;36(2):240-5.
Kim BK, Han K-H, Park JY, Ahn SH, Kim JK, Paik YH, Lee KS, Chon CY, Kim DY. A liver stiffness measurement-based, noninvasive prediction model for high-risk esophageal varices in B-viral liver cirrhosis. Am J Gastroenterol. 2010;105(6):1382-90.
Stefanescu H, Radu C, Procopet B, Lupsor-Platon M, Habic A, Tantau M, Grigorescu M.. Non-invasive ménage à trois for the prediction of high-risk varices: stepwise algorithm using lok score, liver and spleen stiffness. Liver Int. 2015;35(2):317-25.
Guibal A, Bertin C, Egels S, Savier E, Grenier PA, Lucidarme O. Contrast-enhanced ultrasound (CEUS) follow-up after radiofrequency ablation or cryoablation of focal liver lesions: treated-area patterns and their changes over time. Eur Radiol. 2013;23(5):1392-400.
Gallotti A, D’Onofrio M, Romanini L, Cantisani V, Pozzi Mucelli R. Acoustic radiation force impulse (ARFI) ultrasound imaging of solid focal liver lesions. Eur J Radiol 2012;81(3):451-5.
Ronot M, Di Renzo S, Gregoli B, Duran R, Castera L, Van Beers BE, Vilgrain V. Characterization of fortuitously discovered focal liver lesions: additional information provided by shearwave elastography. Ronot M, Di Renzo S, Gregoli B, Duran R, Castera L, Van Beers BE, Vilgrain V. Eur Radiol. 2015;25(2):346-58.
Poynard T, Lebray P, Ingiliz P, Varaut A, Varsat B, Ngo Y, et al. Prevalence of liver fibrosis and risk factors in a general population using non-invasive biomarkers (FibroTest). BMC Gastroenterol 2010; 10:40.
Roulot D, Costes JL, Buyck JF, Warzocha U, Gambier N, Czernichow S, Le Clesiau H, Beaugrand M. Transient elastography as a screening tool for liver fibrosis and cirrhosis in a community-based population aged over 45 years. Gut. 2011;60(7):977-84
Lignon G, Boursier J, Delumeau S, Michalak-Provost S, Lebigot J, Oberti F, Aubé C. Screening for significant chronic liver disease by using three simple ultrasound parameters. Eur J Radiol. 2015;84(8):1466-72
Les Cinq points forts
Les mesures de dureté sont influencées par de nombreux facteurs physiologiques et ne sont pas le reflet d’une seule anomalie.
Les nouveaux outils d’élastométrie ultrasonore couplés à un échographe sont performants.
Les nouveaux modules d’élastométrie sont en cours de validation pour préciser leur place par rapport au fibroscan.
L’évaluation de l’hypertension portale est une utilisation très prometteuse de l’élastométrie.
Il existe une place limitée pour les nouveaux modules d’élastométrie dans la caractérisation des lésions focales hépatiques.
Toute reproduction ou réécriture, totale ou partielle, sans l’accord préalable écrit de la FMC HGE est interdite.
FMC HGE : Organisme certifié Qualiopi pour la catégorie ACTIONS DE FORMATION.