Pancréatite auto-immune (PAI)

Objectifs pédagogiques

  • Connaître les différents sous-types de pancréatite auto-immune
  • Connaître les critères diagnostiques des pancréatites auto-immunes et leurs limites.
  • Connaître les indications et résultats de l’écho-endoscopie +/– ponction
  • Connaître les indications et les modalités thérapeutiques

Vidéo

Conflit d’intérêt
Aucun

Introduction

Il existe deux types de pancréatite auto-immune (PAI) identifiés à ce jour [1] :

  • La pancréatite auto-immune de type I qui correspond à la localisation pancréatique d’une maladie inflammatoire systémique auto-immune reconnue au début des années 2000, intitulée IgG4-related disease que nous appelons pour notre part la maladie à IgG4. Elle représente au moins 80 % des cas de PAI. C’est en 2001 que Hamano et al. [2] ont pour la première fois décrit des pancréatites sclérosantes associées à une élévation du taux sérique des IgG4 et c’est en 2003 que Kamisawa et al. [3] ont suggéré l’existence d’une nouvelle maladie auto-immune systémique et proposé le concept de maladie sclérosante à IgG4.

Finalement, c’est en 2012, que la dénomination IgG4-related disease a été reprise par le 1er consensus international sur cette maladie systémique [4].

La pancréatite auto-immune de type II, moins fréquente, de découverte plus récente, qui est une maladie auto-immune plus classique dans sa physiopathogénie et qui est associée dans 20 à 30 % des cas à une maladie inflammatoire chronique de l’intestin (MICI), le plus souvent une recto-colite hémorragique, de présentation synchrone ou métachrone.

Ces deux types de pancréatite auto-immune ont en commun d’être toutes les deux une entité précisément définie à la fois sur le plan histo-pathologique et sur le plan thérapeutique :

Histopathologie

Il s’agit d’une pancréatite chronique inflammatoire avec des critères précis qui doivent tous être observés pour affirmer le diagnostic :

  1. Quatre critères pour la PAI de type I :
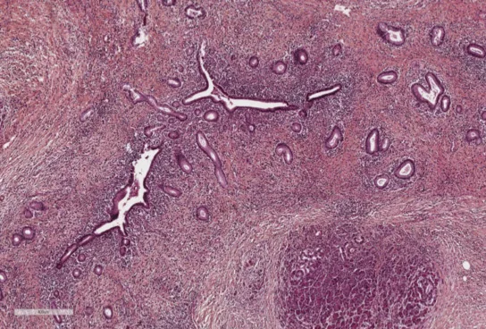
  2. Infiltration lympho-plasmocytaire marquée sans infiltration à poly­nucléaires neutrophiles (Fig. 1).
  3. Fibrose « storiform » (arciforme).
  4. Phlébite oblitérante.
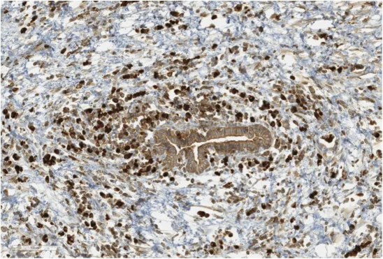
  5. Abondance de plasmocytes à IgG4 (> 10 plasmocytes à IgG4 par grand champ). Cette lésion dénommée LPSP pour Lympho-Plasmocytic Sclerosing Pancreatitis est la signature de la PAI de type I (Fig. 2).
Figure 1. LPSP sur une pancréatectomie. Infiltration lymphoplasmocytaire péri-canalaire, fibrose storiform et phlébite oblitérante
Figure 1. LPSP sur une pancréatectomie. Infiltration lymphoplasmocytaire péri-canalaire, fibrose storiform et phlébite oblitérante
Figure 2. LPSP : Intense marquage des plasmocytes IgG4+ en position péri-canalaire
Figure 2. LPSP : Intense marquage des plasmocytes IgG4+ en position péri-canalaire

La société japonaise de pancréatologie a rajouté un critère mineur qui peut remplacer l’abondance de cellules marquées aux IgG4 : c’est le rapport cellules marquées par les IgG4 / cellules marquées par les IgG supérieur à 40%.

  1. Deux critères pour la PAI de type II :
  2. Destruction des canaux inter­lobulaires et intralobulaires par des polynucléaires neutrophiles (intitulée GEL pour granulocytic epithelial lesions), avec ou sans présence d’une infiltration acinaire par des polynucléaires neutrophiles, lésions qui sont entourées par une infiltration lymphoplasmocytaire et une fibrose moins abondante que dans la LPSP.
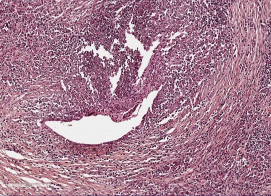
  3. Pas ou peu de plasmocytes à IgG4 (< 10 plasmocytes à IgG4 par grand champ). Cette lésion dénommée IDCP pour Idiopathic Duct-centric Chronic Pancreatitis est la signature de la pancréatite auto-immune de type II (Fig. 3).
Figure 3. IDCP sur une pièce de pancréatectomie pour adénocarcinome développé sur PAI de type II associée à une RCH ancienne. Infiltration à polynucléaires neutrophiles réalisant une GEL qui détruit et ulcère un canal interlobulaire
Figure 3. IDCP sur une pièce de pancréatectomie pour adénocarcinome développé sur PAI de type II associée à une RCH ancienne. Infiltration à polynucléaires neutrophiles réalisant une GEL qui détruit et ulcère un canal interlobulaire

Thérapeutique

Cette pancréatite chronique inflam­matoire est améliorée dans la quasi-totalité des cas par la corticothérapie.

Généralités sur la pancréatite auto-immune de type I

Elle est la localisation pancréatique d’une maladie systémique auto-immune fibro-inflammatoire, la maladie à IgG4 qui peut affecter de multiples organes (rarement nombreux chez un même patient) et qui conduit à une volumineuse tuméfaction puis à une destruction par la fibrose du ou des organes impliqués [5].

Presque tous les organes du corps humain peuvent être touchés par la maladie. Les localisations les plus fréquentes sont le pancréas (Fig. 4), les voies biliaires, les glandes salivaires majeures (parotide, glande sous-maxillaire), les glandes lacrymales, le rétro péritoine et les ganglions lymphatiques [5].

Figure 4. Aspect macroscopique d’une pancréatectomie gauche effectuée à tort pour une PAI de type I. Noter l’importance de la tuméfaction de la glande et les multiples sténoses du CPP au centre de la pièce opératoire
Figure 4. Aspect macroscopique d’une pancréatectomie gauche effectuée à tort pour une PAI de type I. Noter l’importance de la tuméfaction de la glande et les multiples sténoses du CPP au centre de la pièce opératoire

L’épidémiologie de la maladie à IgG4 est peu connue en raison de sa récente découverte mais cette maladie fait actuellement l’objet d’innombrables publications (près de 800 en 2013) et sa physio pathogénie s’éclaire progressivement.

L’épidémiologie de la PAI de type I est mieux connue : au Japon, sa prévalence est estimée à 2,2/100 000 et son incidence annuelle à 0,9/100 000. Elle représente 96 % des cas de PAI au Japon et au moins 80 % en Occident.

Physiopathogénie de la pancréatite auto-immune de type I

La maladie à IgG4 est une entité fibro-inflammatoire caractérisée par une infiltration lymphoplasmocytaire, parfois éosinophile, une fibrose très particulière dite « storiform » (arciforme) et une phlébite oblitérante. La connaissance de la physiopathologie a beaucoup évolué au cours des dernières années grâce à l’étude des populations lymphocytaires dans les tissus et le sang. Les lymphocytes TH2 et les Treg qui étaient au 1er plan sont supplantés par les lymphocytes T CD4+ cytotoxiques GMZA+ et les plasmablastes (formes jeunes des plasmocytes). Les lymphocytes T CD4+ cytotoxiques qui expriment SLAMF 7, GZMA (granzyme A), INFgamma, IL1béta et le TGFbéta1 prédominent dans l’infiltrat [6]. Ils participent à la constitution des lésions tissulaires et de la fibrose [7] (Fig. 5).

Figure 5. Schéma simplifié de la physiopathogénie de la PAI de type I. Noter que la cellule au centre du processus inflammatoire et fibrosant est ce nouveau lymphocyte T cytotoxique CD4+, qui agit par l’intermédiaire des secrétions de Granzyme A et B, de perforin et d’interferon gamma, de TGF– béta1 et d’interleukine 1béta ainsi que de l’activation du système macrophagique. Ce lymphocyte T cytotoxique est activé par des plasmablastes qui sont à l’origine de la production de plasmocytes IgG4+ qui n’ont quant à eux aucun rôle pathogène
Figure 5. Schéma simplifié de la physiopathogénie de la PAI de type I. Noter que la cellule au centre du processus inflammatoire et fibrosant est ce nouveau lymphocyte T cytotoxique CD4+, qui agit par l’intermédiaire des secrétions de Granzyme A et B, de perforin et d’interferon gamma, de TGF– béta1 et d’interleukine 1béta ainsi que de l’activation du système macrophagique. Ce lymphocyte T cytotoxique est activé par des plasmablastes qui sont à l’origine de la production de plasmocytes IgG4+ qui n’ont quant à eux aucun rôle pathogène

L’infiltrat plasmocytaire comporte des plasmocytes exprimant IgG4 et des plasmablastes CD19low CD20–, CD38hi, CD27+. Les plasmablastes interagissent avec les cellules T cytotoxiques et ­participent à l’entretien de la réponse immunitaire. Ils sont également retrouvés dans le sang à un taux d’autant plus élevé que la maladie est active et diminuent lors du traitement déplétif cellulaire par le Rituximab. Les plasmablastes circulants sont vraisemblablement un meilleur biomarqueur de la maladie que les IgG4 sériques car ils sont retrouvés en forte concentration indépendamment du taux d’IgG 4 sérique.

Les lymphocytes T CD4 + GATA3+ ou TH2 sont plus rarement détectés et sont principalement observés dans le sang en cas de signes d’atopie qui ­comportent l’éosinophilie. Les lymphocytes T CD4 + GZMA– INF gamma + ou TH1 sont peu nombreux.

La réaction immunitaire est probablement favorisée par un terrain génétique prédisposant en réponse à un « signal danger ». L’origine du « signal danger » n’a pas été mise en évidence. L’hypothèse de lésions induites par un germe intestinal ou la modification du microbiote intestinal est évoquée. Le rôle d’Helicobacter pylori n’a pas été confirmé. Le rôle d’une protéine de la membrane externe d’E. Coli est suspecté.

En ce qui concerne l’hypocomplémentémie observée parfois comme au cours d’autres maladies auto-immunes, elle n’est pas liée à la présence des IgG4 qui n’ont pas la capacité de se fixer sur les cellules NK par leur fragment Fc ni d’activer le complément mais probablement à la présence d’autres IgG(1 et 2) qui sont associées à la présence des IgG4. Quoi qu’il en soit, les IgG4 n’ont aucune activité d’auto-anticorps et probablement aucun rôle dans la constitution des lésions observées dans cette maladie.

Généralités sur la pancréatite auto-immune de type II

En 2003, Notohara et al. ont proposé le concept de Idiopathic Duct-centric Chronic Pancreatitis (IDCP) caractérisé par une infiltration à polynucléaires neutrophiles destructive des canaux pancréatiques interlobulaires sans élévation du taux sérique des IgG4 [8).

En 2004, le groupe de Vérone [9] a réalisé une étude anatomo-pathologique de 53 pièces opératoires et de 9 biopsies pancréatiques qui a démembré les deux types histopathologiques de PAI et décrit la signature de la pancréatite auto-immune de type II : la GEL pour Granulocytic Epithelial Lesion qui correspond à l’atteinte de l’épithélium des canaux pancréatiques par des poly­nucléaires neutrophiles réalisant des abcès et des ulcérations de la paroi canalaire.

En 2011, le consensus international pour les critères diagnostiques de la pancréatite auto-immune a repris cette définition histopathologique [1] décrivant une maladie purement pancréatique associée dans 20 à 30 % des cas à une MICI principalement une rectocolite hémorragique. Ce consensus international a établi des critères diagnostiques pour les 2 types de PAI.

La prévalence et l’incidence de la pancréatite auto-immune de type II ne sont pas connues. Elle représente 4 % des pancréatites auto-immunes au Japon et 14 à 20 % en Occident.

La physiopathogénie n’est pas connue, mais est probablement proche des maladies auto-immunes classiques.

Caractéristiques cliniques et biologiques des deux types de pancréatite auto-immune [10- 12]

Pancréatite auto-immune de type I

Signes cliniques

Il s’agit d’une maladie touchant le plus souvent des hommes d’âge moyen 65 ans au Japon, 61 ans en Occident, mais des cas touchant des enfants et des adolescents ont été observés. C’est l’ictère nu pseudo-néoplasique qui est le mode de révélation numéro 1 retrouvé dans 65 % des cas. Il est lié dans la plupart des cas à une cholangite sclérosante à IgG4. Le mode de révélation est rarement une pancréatite aiguë (jamais plus qu’œdémateuse et jamais sévère), et la survenue de douleurs pancréatiques chroniques invalidantes, morphino-dépendantes est possible mais rare. Un amaigrissement est parfois observé, lié à l’insuffisance pancréatique exocrine et/ou au diabète présent dans 65 % des cas.

La pancréatite auto-immune de type I est la localisation la plus fréquente de la maladie à IgG4 (présente dans 80 % des cas) mais d’autres localisations peuvent lui être associées de manière synchrone ou métachrone. Par ordre de fréquence, on peut observer [13] (Fig. 6) :

  • Une cholangite sclérosante à IgG4 dans 65 à 85 % des cas. Celle-ci peut toucher exclusivement la voie biliaire principale distale mais est parfois diffuse extra et intra-hépatique.
  • Un syndrome de Mikulicz avec sialadénite hypertrophique et atteinte des glandes lacrymales dans 14 % des cas.
  • Une fibrose rétro péritonéale dans 10 % des cas.
  • Une thyroïdite de Riedel dans 8 % des cas.
  • Une pneumopathie interstitielle avec hypertrophie ganglionnaire médiatisnale postérieure qui peut mimer une sarcoïdose dans 8 % des cas.
  • Une néphrite tubulo-interstitielle dans 8 % des cas.
  • Des pseudotumeurs de l’orbite, du foie, de l’ampoule de Vater dans 2 % des cas.
Figure 6. Rappel des principales localisations de la maladie à IgG4 qui peuvent être associées à la PAI de type I
Figure 6. Rappel des principales localisations de la maladie à IgG4 qui peuvent être associées à la PAI de type I

En réalité, tous les organes du corps humain peuvent être touchés par la maladie incluant le système nerveux central avec hypophysite, et pachyméningite, le système génital avec de rares cas de prostatite hypertrophiante symptomatique et des cas plus fréquents de fixation au PET-FDG résolutifs après corticothérapie. Citons enfin des cas de mastopathie et l’aortite qui est une urgence thérapeutique.

15 % des patients sont asymptomatiques et la maladie est alors découverte sur une imagerie abdominale incidente.

En cas d’ictère ou de douleurs pancréatiques invalidantes, l’évolution spontanée est rarement favorable et la corticothérapie le plus souvent indiquée.

Biologiquement

La lipasémie est modérément ou très modérément élevée dans 50 % des cas. Elle est très rarement > 3N.

La cholestase (parfois fluctuante, ce qui doit alors attirer l’attention) est au premier plan, observée dans 60 à 85 % des cas. Elle très rarement due à la maladie pancréatique elle-même (par compression biliaire). Elle témoigne presque toujours de la cholangite sclérosante à IgG4 associée. Ce point est crucial car il explique d’une part que des PAI de type I puissent être diagnostiquées au stade de maladie calcifiée, ou au stade d’atrophie, témoignant de l’ancienneté du processus qui est révélé par la survenue de l’ictère lié à la cholangite, et d’autre part les 15 % de patients asymptomatiques tous indemnes de cholestase.

Un diabète est observé dans 65 % des cas. Il précède le diagnostic de pancréatite auto-immune dans 1/3 des cas, est synchrone une fois sur deux et apparait sous corticothérapie dans 15 % des cas. Le diabète est insulino-réquérant dans 20 % des cas [14]. Parmi les patients ayant une pancréatite auto-immune, l’insuffisance pancréatique exocrine est plus rare que dans la pancréatite chronique calcifiante. Elle est estimée à 40 %. En cas de « vieille » PAI de type I (présence de calcifications intra-parenchymateuses ou de calculs intra-canalaires dans 7 % des cas), elle est retrouvée dans 60 % des cas [15].

L’élévation du taux d’IgG4 sérique

C’est la clé du diagnostic. Lorsque le taux est élevé > 1,35 g/l, la sensibilité de cette anomalie est de 75 % (25 % des pancréatites auto-immunes de type I sont dites séronégatives) et sa spécificité est de 93 % pour la différencier du cancer du pancréas [16].

Au seuil de 2,70 g/l, critère retenu par le consensus international, la spécificité est de 99 % mais la sensibilité n’est plus que de 53 % (Fig. 7).

Figure 7. Valeurs du dosage sérique des IgG4 dans les différentes maladies pancréatiques bénignes et malignes (seuil : 280 mg/dL(2,8 g/L) : spécificité > 90 %, sensibilité = 50 %)
Figure 7. Valeurs du dosage sérique des IgG4 dans les différentes maladies pancréatiques bénignes et malignes (seuil : 280 mg/dL(2,8 g/L) : spécificité > 90 %, sensibilité = 50 %)

Autrement dit, la moitié des PAI de type I sont séronégatives ou ne sont pas associées à un taux d’IgG 4 suffisamment élevé pour permettre d’écarter le principal diagnostic différentiel qu’est l’adénocarcinome pancréatique.

Pancréatite auto-immune de type II

Signes cliniques

Le sex ratio est proche de 1 en Occident. Elle touche des sujets plus jeunes que la PAI de type I : l’âge moyen varie de 30 à 40 ans selon les séries. C’est une maladie purement pancréatique révélée dans 80 % des cas par une pancréatite aiguë (jamais plus qu’œdémateuse et jamais sévère) apparemment idiopathique. Parfois, cette pancréatite aiguë évolue sur un mode subaigu sur plusieurs semaines, motivant de courtes hospitalisations répétées et conduisant à un amaigrissement significatif. L’ictère et la choléstase non ictérique sont plus rares (15 % et 30 % respectivement) que dans la pancréatite auto-immune de type I.

L’évolution spontanée est dans 80 % des cas favorable même en cas d’évolution subaiguë et la corticothérapie rarement indispensable.

La pancréatite auto-immune de type II est une cause fréquemment méconnue des pancréatites aiguës survenant chez les patients atteints de MICI, situation où elle est souvent prise à tort pour une pancréatite aiguë d’origine médicamenteuse (aminosalicylate, azathioprine)

La pancréatite auto-immune de type II peut être associée à d’autres maladies auto-immunes comme le lupus, la CBP, le syndrome de Sjögren.

Biologiquement

La lipasémie est très souvent élevée le plus souvent > 3 N au moment des crises douloureuses. Le diabète et l’insuffisance pancréatique exocrine sont rares. Il n’y a aucun marqueur bio­logique ou auto-anticorps circulant spécifique.

Le Tableau I résume les différences entre PAI de type I et PAI de type II.

Tableau I. Tableau récapitulatif des principales différences entre la PAI à IgG4 et la PAI de type II. LPSP : lymphoplasmocytic sclerosing pancreatitis. IDCP : idiopathic duct-centric chronic pancreatitis
Tableau I. Tableau récapitulatif des principales différences entre la PAI à IgG4 et la PAI de type II. LPSP : lymphoplasmocytic sclerosing pancreatitis. IDCP : idiopathic duct-centric chronic pancreatitis

Critères diagnostiques
de la PAI

Introduction

Le diagnostic formel de PAI est un diagnostic histopathologique. Il est difficile et exige la présence de critères précis que j’ai déjà détaillés. Toute la problématique réside dans le fait que ce diagnostic histo-pathologique nécessite à la fois, une expertise anatomo-pathologique et des macro-fragments, si bien que théoriquement, il n’est affirmé qu’après qu’un anatomo-pathologiste expert ait étudié une pièce opératoire de résection pancréatique ce qui signifie qu’il y a eu une erreur de diagnostic par les cliniciens et chirurgiens en charge du patient. Cette erreur de diagnostic qui conduit à opérer des patients suspects à tort d’être atteints d’un cancer du pancréas n’est pas exceptionnelle puisque toutes les équipes chirurgicales expertes ont publié un taux de résection pancréatique blanche (pas de tumeur ni de cancer) de 6 à 10 % [17]. Les PAI pseudo-tumorales représentent 25 % de ces pancréatectomies erronées.

Éviter cette erreur diagnostique est au cœur de la prise en charge de la PAI et de nombreux algorithmes de critères diagnostiques ont été publiés depuis qu’en 2002, la Société Japonaise de Pancréatologie a élaboré les siens. Les critères japonais ont été ensuite révisés en 2006, 2011 et 2013, les critères HISORts de la Mayo Clinic ont été publiés en 2006, révisés en 2009 puis les critères coréens, italiens, asiatiques et allemands ont également été publiés [13].

Ces différents critères et notamment les critères HISORts de la Mayo Clinic qui étaient les plus utilisés avaient comme inconvénient d’exiger une preuve histologique pour les PAI de type I séronégatives et toutes les PAI de type II, preuve histologique qu’il était très difficile d’obtenir avec une aiguille fine de prélèvement percutané ou écho-endoscopiquement guidé.

Pour unifier ces différents algorithmes, et proposer des critères diagnostiques où l’histologie complète de la PAI ne serait pas indispensable, l’association internationale de pancréatologie a publié en 2011 dans le journal Pancreas, les critères diagnostiques de la PAI, élaborés par une réunion de consensus international qui s’est tenue en 2010 [1]. On les dénomme les ­critères ICDC de la PAI. Une étude a ­comparé la pertinence des principaux critères (HISORts, japonais, coréens, asiatiques et ICDC) sur une série de PAI de type I et montré que les critères ICDC sont les meilleurs pour diagnostiquer une PAI de type I [18].

Critères diagnostiques ICDC de la pai de type I [1]

On distingue 5 critères :

1) Les critères d’imagerie pancréatique

a) Parenchymateux (P)

b) Canalaires (D)

2) Les critères sérologiques (S)

3) L’atteinte d’autres organes (OOI)

a) Histologiques

b) Radiologiques

4) Les critères histologiques pancréatiques (H)

5) La réponse à la corticothérapie (Rt)

On distingue deux niveaux de preuve : le niveau 1 et le niveau 2 :

Par exemple, le critère 1P désigne ­l’aspect typique parenchymateux de l’imagerie en coupe, et 1S le taux sérique d’IgG4 > à 2,70 g/l, alors que le critère 2S désigne un taux sérique d’IgG4 > à 1,35 g/l , mais < à 2,70 g/l.

Ceci permet de classifier le diagnostic de PAI de type I en diagnostic certain ou en diagnostic vraisemblable. Ces critères et les modalités du diagnostic sont résumés dans les Tableaux II et III.

Tableau II. Critères ICDC de la PAI de type I
Tableau II. Critères ICDC de la PAI de type I
Tableau III. Diagnostic de la PAI de type I
Tableau III. Diagnostic de la PAI de type I

L’utilisation pratique des critères ICDC pour le diagnostic de PAI de type I reste très difficile. Un de leurs intérêts, mais il n’est pas négligeable, est de permettre l’inclusion de plus de patients satisfaisant aux mêmes critères diagnostiques dans des études, de les comparer entre elles, et ainsi de progresser sur cette maladie rare pour laquelle de nombreuses inconnues à la fois physiopathogéniques mais également diagnostiques et thérapeutiques demeurent.

Critères diagnostiques ICDC de la PAI de type II

On distingue comme dans la PAI de type I :

1) Des critères d’imagerie pancréatique (P et D)

2) L’atteinte d’autres organes : association à une MICI (OOI)

3) Les critères histologiques (H)

4) La réponse à la corticothérapie (Rt)

5) Il n’y a pas de critère sérologique

Il y a deux niveaux de preuve 1 et 2 comme dans la PAI de type I.

Ces critères et les modalités du diagnostic sont résumés dans les Tableaux IV et V.

Tableau IV. Critères ICDC de la PAI de type II
Tableau IV. Critères ICDC de la PAI de type II
Tableau V. Diagnostic de la PAI de type II
Tableau V. Diagnostic de la PAI de type II

L’imagerie

L’imagerie pancréatique

Il faut connaître l’imagerie pancréatique en coupe de la PAI (TDM et IRM) et interpréter des examens techniquement parfaits, incluant pour l’IRM une séquence de cholangio-IRM mais ­également de wirsungographie par IRM, visualisant la totalité du trajet canalaire, et pas seulement la tête, l’isthme et la moitié du corps : ces signes ­parenchymateux et canalaires sont ­communs aux 2 types de PAI.

Les signes parenchymateux

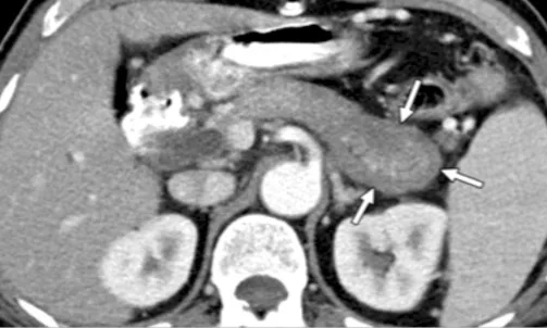
1) Typiques : c’est le gros pancréas « saucisse » (tête du pancréas > 3 cm, queue du pancréas > 2 cm d’épaisseur) caractéristique en TDM et IRM par sa prise de contraste retardée et encore plus lorsqu’existe l’anneau périphérique hypodense ou hypointense sous capsulaire qui est presque pathognomonique (Fig. 8). L’hypertrophie diffuse est retrouvée dans 40 à 50 % des cas. L’anneau est retrouvé dans 35 et 50 % des cas en IRM et TDM respectivement [14].

Figure 8. Aspect de la PAI en TDM : Pancréas saucisse et anneau hypodense périphérique (flèches blanches) Cet aspect est un critère d’imagerie parenchymateuse typique de niveau 1 dans la classification ICDC. On le qualifie de critère 1P
Figure 8. Aspect de la PAI en TDM : Pancréas saucisse et anneau hypodense périphérique (flèches blanches) Cet aspect est un critère d’imagerie parenchymateuse typique de niveau 1 dans la classification ICDC. On le qualifie de critère 1P

2) Moins typiques dits indéterminés : c’est l’hypertrophie focale avec sa prise de contraste retardée. Elle est retrouvée dans un peu moins de 50 % des cas.

3) Les signes parenchymateux rares : La présence de calcifications, de collections liquidiennes qui correspondent à des pseudo-kystes rétentionnels, d’une atrophie globale ou focale sont possible, retrouvés dans 5 à 10 % des cas et n’écartent pas le diagnostic de PAI comme on le pensait au cours des années 2000.

4) Des signes parenchymateux inquiétants dits atypiques qui en imposent pour un cancer sont malheureusement également possibles et compliquent encore le problème diagnostique : une masse hypodense et hypointense lors de l’injection de contraste est possible dans une authentique PAI. Lorsqu’il y a une dilatation du CPP (exceptionnellement > 5 mm) en amont ou une atrophie, ceci est très inquiétant. Il peut en résulter, en cas d’ictère, une double dilatation biliaire et pancréatique en amont d’une masse céphalique hypodense qui devient alors typique d’un cancer du pancréas, a priori résécable, et donc le plus souvent opéré. Une thrombose de la veine splénique ou du confluent mésentérico-portal est également possible mais moins gênante pour la prise en charge car elle conduit toujours à un prélèvement à visée cyto-histologique pour documenter le type de cancer et programmer une chimiothérapie permettant de redresser le plus souvent mais pas ­toujours le diagnostic.

Les signes canalaires

1) Typiques : c’est le rétrécissement, voir la disparition du CPP sur plus d’1/3 (> 5 cm de longueur) de la glande sans dilatation d’amont ou avec une dilatation modérée < 5 mm, ou bien des sténoses multiples sans dilatation d’amont. Les signes canalaires typiques sont retrouvés dans 40 à 50 % des cas (Fig. 9).

Figure 9. Aspect canalaire typique d’une PAI de type II sur une CP-IRM parfaitement techniquée. Critère 1D de la classification ICDC
Figure 9. Aspect canalaire typique d’une PAI de type II sur une CP-IRM parfaitement techniquée. Critère 1D de la classification ICDC

2) Moins typiques dits indéterminés : c’est le rétrécissement focal du CPP sans dilatation d’amont ou avec une dilatation modérée d’amont < 5 mm. Il est retrouvé dans 40 à 50 % des cas.

L’imagerie biliaire de la PAI de type I [19, 20]

Il y a 4 types d’obstacles biliaires en cholangiographie (CPRE ou cholangio-IRM) dans la cholangite sclérosante à IgG 4 (Fig. 10) :

1) Le type I d’atteinte biliaire : c’est la sténose intra-pancréatique. Cela représente 70 % de l’atteinte biliaire des PAI de type I. Les diagnostics différentiels sont le cancer du pancréas, le cholangiocarcinome intra-pancréatique et la pancréatite chronique. L’écho-endoscopie (voir plus loin) + prélèvements est le meilleur examen pour ce diagnostic différentiel si besoin.

2) Le type II d’atteinte biliaire : c’est la sténose bifocale, c’est-à-dire focale intra-pancréatique et focale ou diffuse intra-hépatique. Le type II est retrouvé dans 15 % des cholangites à IgG 4. C’est bien sûr également l’aspect de la cholangite sclérosante primitive (CSP) justifiant en cas de besoin une PBH pou discriminer les 2 entités.

3) Le type III d’atteinte biliaire : c’est la sténose du canal hépatique commun qui peut se poursuivre sur la convergence biliaire supérieure, associée à une sténose du bas cholédoque qui est difficile à voir en cholangio-IRM en raison de la sténose sus jacente, alors qu’elle est aisément repérable en CPRE. Cet aspect est retrouvé dans 7 % des cholangites à IgG 4. Associé à une masse céphalique ou à un pancréas saucisse cet aspect est très évocateur de la PAI de type I. Là encore l’écho-endoscopie peut être utile si besoin. La CPRE avec brossage et si possible biopsie intra-canalaire peut être indiquée.

4) Le type IV d’atteinte biliaire : c’est la sténose du canal hépatique commun étendue aux canaux droits et gauches. Cet aspect est retrouvé dans 5 % des cas. Le diagnostic différentiel avec le cholangiocarcinome est très difficile si il n’y a pas d’anomalie pancréatique en imagerie en coupe. En revanche, en cas d’hypertrophie pancréatique cet aspect biliaire est évocateur de PAI à IgG 4.

Figure 10. Différents types cholangiographiques d’atteinte biliaire de la cholangite à IgG4
Figure 10. Différents types cholangiographiques d’atteinte biliaire de la cholangite à IgG4

Aspects échoendoscopiques de la PAI

Quels sont les signes écho-­endoscopiques évocateurs de PAI ? (Figs 11- 14)

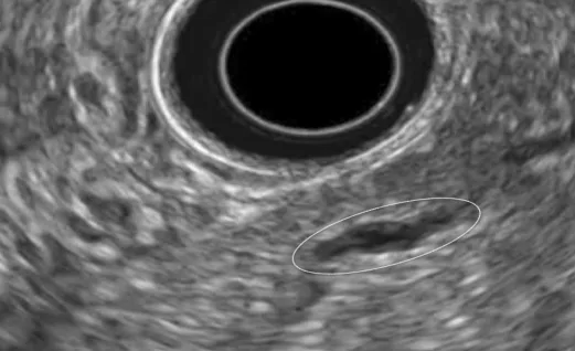
1) La ductite : c’est l’association d’un remaniement important du calibre du canal pancréatique principal (CPP), alternant des segments où il est sténosé (sténose longue) mais encore repérable, collabé, et des segments où il est normal voir dilaté (> 3 mm mais < 5 mm de diamètre), et d’un épaississement hyperéchogène ou hypoéchogène (comparé au parenchyme avoisinant) de sa paroi.

Point essentiel, cet aspect est retrouvé à la fois dans la forme diffuse (hypertrophiante classique ou atrophique plus rare) et dans la forme focale pseudo-tumorale, on parle alors de « penetrating sign » ce qui correspond à la mise en évidence du canal sténosé ou collabé, mais visible dans la pseudo tumeur, signe exceptionnellement retrouvé dans l’adénocarcinome pancréatique. Dans notre expérience, dans une étude cas/contrôle effectuée à l’hôpital Beaujon [21] comparant des PAI absolument certaines, des cancers du pancréas et des pancréatites chroniques classiques, la sensibilité et la spécificité de ce signe étaient très élevées (> 90 %). L’épaississement hyperéchogène de la paroi (Fig. 12) était plus souvent observé dans la PAI de type I, tandis que l’épaississement hypoéchogène (Fig. 13) était surtout observé dans la PAI de type II.

2) La cholangite : c’est l’épaississement supérieur à 1 mm de la paroi de la voie biliaire principale (Fig. 14). Elle était observée une fois sur deux (de manière quasi constante dans les pancréatites auto-immunes avec ictère), 7 fois sur 10 en cas de PAI de type I et une fois sur trois dans la PAI de type II. Lorsqu’il dépasse 2 mm cet épaississement est hautement évocateur d’une PAI de type I.

3) L’œdème hypoéchogène péri-glan­dulaire sous-capsulaire : il était observé dans 25 % des cas de PAI (surtout de type I). Il s’agit d’un signe très spécifique .

4) L’hétérogénéité du parenchyme pancréatique : elle était quasi constante. Le parenchyme était le plus souvent hypoéchogène, hétérogène, à contours bosselés. Il était très hypoéchogène dans la PAI de type I. Cette hétérogénéité hypoéchogène était soit diffuse, soit focale pseudo-tumorale. Elle n’était pas spécifique car également retrouvée dans d’autres types de pancréatite primitive et dans les pancréatites obstructives notamment de nature tumorale.

5) L’écho-endoscopie de contraste est très intéressante dans cette maladie lorsqu’elle est pseudo tumorale, car on observe le plus souvent (c’est moins vrai dans les vieilles PAI très fibreuses) une belle prise de contraste homogène de la masse parallèle au parenchyme avoisinant contrairement à l’adénocarcinome qui est hypo-vasculaire dans 95 % des cas.

En résumé, le diagnostic de PAI doit être fortement évoqué en écho-endoscopie qu’il s’agisse d’une présentation tumorale ou d’une présentation pancréatitique diffuse, lorsqu’on observe une ductite et/ou une cholangite qui sont des signes clés. Malheureusement, ces aspects sont difficiles à objectiver et une certaine expérience est requise.

Figure 11. Aspect échoendoscopique caractéristique d’une PAI. Noter la tuméfaction de la région corporéo-caudale et les sténoses multiples du CPP, qui sont superposables à l’aspect macroscopique de la figure 4
Figure 11. Aspect échoendoscopique caractéristique d’une PAI. Noter la tuméfaction de la région corporéo-caudale et les sténoses multiples du CPP, qui sont superposables à l’aspect macroscopique de la figure 4
Figure 12. Aspect échoendoscopique de la PAI de type I. Noter l’épaississement hyperéchogène concentrique du CPP au centre de l’hypertrophie hétérogène de la glande
Figure 12. Aspect échoendoscopique de la PAI de type I. Noter l’épaississement hyperéchogène concentrique du CPP au centre de l’hypertrophie hétérogène de la glande
Figure 13. Aspect échoendoscopique de la PAI de type II. Noter l’épaississement hypoéchogène de la paroi du CPP responsable d’un aspect filiforme de la lumière du CPP
Figure 13. Aspect échoendoscopique de la PAI de type II. Noter l’épaississement hypoéchogène de la paroi du CPP responsable d’un aspect filiforme de la lumière du CPP
Figure 14. Aspect échoendoscopique de la cholangite sclérosante à IgG4. Noter l’épaississement régulier de 3 mm de la paroi de la VBP en zone sus sténotique, à limite externe nette, fait de 2 liserés hyperéchogènes encadrant un épaississement hypoéchogène dénommé « sandwich pattern »
Figure 14. Aspect échoendoscopique de la cholangite sclérosante à IgG4. Noter l’épaississement régulier de 3 mm de la paroi de la VBP en zone sus sténotique, à limite externe nette, fait de 2 liserés hyperéchogènes encadrant un épaississement hypoéchogène dénommé « sandwich pattern »

Place du prélèvement EE-guidé

C’est le diagnostic différentiel avec l’adénocarcinome pancréatique.

  1. Écarter le diagnostic d’adénocarcinome pancréatique. C’est indispensable en cas de suspicion de PAI ayant une présentation focale pseudo tumorale, c’est-à-dire lorsqu’il existe une dilatation du CPP (< 5 mm) en amont de la masse, ou bien des signes inquiétants comme une thrombose veineuse.
  2. A contrario, toute masse focale pancréatique sans critère formel de malignité (présence de métastases ou d’un envahissement artériel ou d’une dilatation importante du CPP en amont de la masse) doit être biopsiée si on veut éviter des résections pancréatiques inappropriées de PAI.
  3. Le problème se complique car il existe des cancers du pancréas associés à d’authentiques PAI. Toute PAI dont le diagnostic est certain mais qui se présente avec une dilatation du CPP > 5 mm et/ou qui ne répond pas parfaitement à la corticothérapie lorsque celle est indiquée est suspecte.

Modalités des prélèvements écho-endoscopiquement guidés

Lorsqu’il est indiqué, le prélèvement écho-endoscopiquement guidé doit systématiquement être associé aux prélèvements à la pince à biopsie pédiatrique de la région péri-papillaire à la recherche d’une surexpression des plasmocytes à IgG4 dans la muqueuse duodénale.

La seule manière d’obtenir le diagnostic histologique de PAI (critères 1H ou 2H des critères ICDC) est d’obtenir une « core biopsy ».

Jusqu’à une période récente, seules les aiguilles de 19G [22] et surtout les aiguilles de 19G coupantes étaient susceptibles de fournir ce type de recueil, mais il était difficile voir impossible de les utiliser à travers le duodénum, ce qui en limitait beaucoup l’intérêt dans cette maladie (diagnostic différentiel entre pancréatite pseudo tumorale ictérigène et adénocarcinome céphalique). Depuis 1 an nous disposons de nouvelles aiguilles capables de fournir des fragments pour étude histopathologique (20 G coupante flexible, 19 G avec gaine métallique flexible et 2 sortes d’aiguilles de 22 G coupantes).

L’aiguille de 22 G standard ne donne que rarement le diagnostic histologique [23] et surtout elle peut faussement inquiéter en retrouvant d’importantes atypies cytologiques suspectes, dont on sait qu’elles sont particulièrement fréquentes en cas de PAI [24, 25], en imposant faussement pour un adénocarcinome. De ce fait, l’interprétation des résultats obtenus avec une aiguille de 22 G ne doit être considérée comme valide, que si le diagnostic d’adénocarcinome est histologiquement formellement établi, ou bien si à l’inverse, le prélèvement ramène du matériel non tumoral associé à des arguments en faveur d’un processus inflammatoire, alors que l’écho-endoscopie de contraste effectuée de manière concomitante est également en faveur du diagnostic de bénignité (prise de contraste de la masse comparable au parenchyme avoisinant). Dans notre expérience, l’association d’une core biopsy obtenue à l’aide d’une aiguille de 19 G, de 20 G coupante ou de 22 G coupante, et de biopsies péri-papillaire effectuées à l’aide d’une pince pédiatrique permet le diagnostic de PAI (critères 1H ou 2H) et de son sous-type 9  fois sur 10.

En conclusion, l’écho-endoscopie effectuée par un médecin expérimenté, grâce à des critères ayant une bonne fiabilité diagnostique, notamment :

  1. la mise en évidence d’une ductite et/ou d’une cholangite,
  2. la prise de contraste parallèle au parenchyme avoisinant,
  3. l’écho-endoscopie avec prélèvement histologique lorsqu’il y a une indication (40 % environ dans notre expérience),

constitue une avancée importante dans la prise en charge des patients atteints de pancréatite auto-immune.

Apport de la TEP-FDG au diagnostic de PAI

La TEP-FDG montre une hyperfixation pancréatique dans la PAI comme dans l’adénocarcinome pancréatique [26]. Cependant l’aspect de la fixation est évocateur de la PAI lorsqu’il est pan-glandulaire ou bien multifocal (Fig. 15), et/ou s’associe à une ou des fixations extra-pancréatiques [26].

Figure 15. Aspect PET-FDG caractéristique de PAI à IgG4. Noter la fixation des 2 glandes salivaires (Sd de Mikulicz), la fixation péri-aortique abdominale témoignant de la fibrose rétropéritonéale et la fixation diffuse de la glande pancréatique
Figure 15. Aspect PET-FDG caractéristique de PAI à IgG4. Noter la fixation des 2 glandes salivaires (Sd de Mikulicz), la fixation péri-aortique abdominale témoignant de la fibrose rétropéritonéale et la fixation diffuse de la glande pancréatique

Diagnostic de la PAI de type I

Grâce à l’imagerie pancréatique et biliaire, si elle est parfaitement réalisée, on peut évoquer plus ou moins facilement le diagnostic de PAI de type I :

1) Un gros pancréas saucisse (critère 1P) est à lui seul quasiment pathognomonique surtout si l’anneau hypodense sous capsulaire est présent. L’élévation du taux sérique des IgG4 > 1,35 g/ l (critère 2S) emporte alors ­complètement la conviction.

En l’absence de cette élévation il faut rechercher une atteinte des autres organes cliniquement et radiologiquement. C’est surtout le type d’atteinte biliaire qui va aider :

  • Les types II, III, et IV d’atteinte biliaire (critère 1 OOH) sont évocateurs de la cholangite sclérosante à IgG4 associée et affirment le diagnostic de PAI de type I.
  • Si c’est un type I d’atteinte biliaire, il faut un critère supplémentaire : biopsier la région péri-papillaire avec une pince pédiatrique (critère 2 OOH) à la recherche d’une sur­expression des plasmocytes à IgG4 dans la muqueuse duodénale fréquemment présente dans cette présentation de la maladie est facile à réaliser, et le diagnostic est alors formellement établi. En l’absence de ce critère une corticothérapie d’épreuve (critère Rt) est justifiée. Un nouveau bilan (clinique, biologique et d’imagerie) réalisé après 2 semaines de traitement est indiqué. Le diagnostic est for­mel­lement établi si une amélioration nette est observée (critère Rt).

2) En cas d’atteinte focale, tout dépend du CPP d’amont.

  1. Si il n’y a pas de dilatation du CPP au scanner et que la cinétique de la prise de contraste de la masse est compatible (critère 2P), le diagnostic doit être évoqué.
  • Si il y a des signes typiques sur le CPP (critère 1D), l’association à une atteinte des VBIH à la CP-IRM (critère 1 OOH) ou bien à un taux d’IgG4 > 2,70 g/l (critère 1 S), affirme le diagnostic de PAI de type I. Si aucun de ces 2 derniers critères n’est présent, il faut soit une élévation des IgG4 > 1,35 g/l (critère 2S), soit une biopsie péri-papillaire positive (critère 2 OOH), soit une biopsie pancréatique EE-guidée montrant au moins 2 critères histologiques (critère 2H) de PAI de type I (voir les critères histopathologiques de la PAI dans le chapitre I) et une réponse positive à la corticothérapie pour affirmer le diagnostic de PAI de type I (critère Rt).
  • Si il n’y a pas de signe canalaire typique (critère 2D), l’association d’un taux d’igG4 > 1,35 g/l (critère 2S) ou de biopsies péri-­papillaires positives (critère 2 OOH) ou d’une biopsie pancréatique EE-guidée montrant au moins 2 critères histologiques (critère 2H) de PAI de type I (voir les critères histopathologiques de la PAI dans le chapitre I) à une réponse positive à la corticothérapie (critère Rt) permet un diagnostic de PAI de type I vraisemblable.
  1. Si il y a une légère (< 5 mm) dilatation du CPP en amont, il faut absolument écarter le diagnostic de cancer du pancréas. L’aspect biliaire peut aider (critère 1 OOH), ainsi que le taux sérique d’IgG4 > 2,70 g/l (critère 1S), l’atteinte d’autres organes, les biopsies péri-papillaires. Si tout ceci n’est pas concordant, il faut faire réaliser une écho-endoscopie et des biopsies EE-guidées par un médecin habitué à cette pathologie.
  2. Si la masse est hypodense sur tous les temps de l’injection ou si il y a une thrombose veineuse sur le système porte, c’est un cancer du pancréas jusqu’à preuve du contraire. Il faut faire une EE avec biopsies. Un certain nombre d’éléments peuvent cependant évoquer la PAI : l’éventuel âge jeune du patient, le caractère fluctuant de la cholestase, une atteinte spécifique d’autres organes dans le cadre de la maladie à IgG4.
  3. Point essentiel de la prise en charge diagnostique : en cas de doute diagnostique (cf. sous-chapitres b et c sus-jacents) tous les auteurs et tous les consensus d’experts recomman­dent de ne pas utiliser la cortico­thérapie comme test diagnostique et de confier le patient à une équipe spécialisée.

Diagnostic de la PAI de type II

Le diagnostic de PAI de type II justifie une histologie ou une réponse à la corticothérapie (Tableaux IV et V) :

Le diagnostic n’est certain que si une histologie complète (1H) est recueillie en présence d’une tuméfaction diffuse ou focale du pancréas sans dilatation du CPP (critère 1P). Il est vraisemblable en présence de la même imagerie, si une MICI est présente (critère 2 OOH), et que le tableau clinique justifie une corticothérapie ce qui est rare, ou bien si une histologie de niveau 2 est observée. En l’absence de MICI, ou d’une histologie évocatrice, il faut à la fois une imagerie parenchymateuse et canalaire typique ou compatible, et une réponse à la corticothérapie, mais on parle alors de PAI non spécifiée.

En pratique

a) Devant un pancréas saucisse sans argument pour une PAI de type I, en cas d’évolution symptomatique favorable, ce qui est observé dans 80 % des cas, il faudrait biopsier pour affirmer le diagnostic de PAI de type II, ce qui ne paraît pas raisonnable, puisque cela ne déboucherait sur aucune prise en charge particulière, ce d’autant que le diagnostic différentiel avec un cancer du pancréas ne se pose pas dans cette configuration morphologique. On en reste donc là, ou bien on fait réaliser une écho-endoscopie sans biopsie, à la recherche de signes évocateurs, dans un centre référent.

En cas de symptômes invalidants qui perdurent, la réponse à la corticothérapie permettra de retenir le diagnostic sans recours à une biopsie.

b) Devant une hypertrophie focale et des signes canalaires compatibles, en l’absence de diagnostic de PAI de type I, Il faut biopsier, ou proposer une corticothérapie, si les symptômes perdurent, ou si la présentation est peu évocatrice de PAI de type II (pas de MICI, patient âgé), car le diagnostic différentiel avec l’adénocarcinome doit toujours être au premier plan de la réflexion diagnostique .

Modalités et indications thérapeutiques [10, 13, 28, 29]

Traitement de poussée initiale

a) La corticothérapie

Elle est presque constamment efficace (98,5 % des cas).

La grande majorité des équipes occidentales l’utilise à la dose de 0,6 mg/kg/jour durant 4 semaines. La décroissance est classique : 10 mg tous les 10 jours jusqu’à 20 mg/j puis 5 mg tous les 10 jours jusqu’à l’arrêt. La durée du traitement est de 3 mois.

La surveillance est clinique (ictère, douleurs, tuméfactions des glandes sous-maxillaires ), biologique (tests hépatiques, glycémie, la lipasémie est inutile) et par IRM avec CP-IRM. La biologie est réalisée une fois par semaine les 2 premières semaines, puis une fois tous les 15 jours jusqu’à l’arrêt du traitement, puis tous les 3 mois durant 6 mois puis tous les 6 mois. Le taux d’IgG4 s‘il était élevé est contrôlé à 1 mois, 2 mois, 3 mois, 6 mois puis tous les 6 mois. L’IRM est contrôlée à 2 semaines, 3 mois et 6 mois.

Au Japon, dans la PAI de type I, la plupart des équipes maintiennent une corticothérapie à faible dose entre 5 mg et 7,5 mg/j, durant 3 ans afin de diminuer le risque de rechutes de la maladie. Celles-ci sont en effet fréquentes à l’arrêt du traitement (30 à 50 % à 2 ans) dans la PAI de type I alors qu’elles sont rares (< 10 %) dans la PAI de type II. Cette cortico­thérapie de maintenance diminue par 2 (23 %/58 %) le taux de rechute à 3 ans [30].

b) Les immunosuppresseurs n’ont pas d’indication en traitement d’attaque.

c) Le Rituximab à la dose de 1 000 mg en perfusion, répétée une fois 15 jours plus tard, est une alternative sérieuse à la corticothérapie car elle a la même efficacité, est de plus efficace dans les rares cas de PAI de type I réfractaires à la corticothérapie, et surtout n’a pas les complications de celle-ci, notamment en terme de diabète et de fractures osseuses.

En cas de rechute

Les rechutes sont particulièrement fréquentes après la fin de la corticothérapie en cas de PAI de type I : 58 % dans une étude japonaise récente [30]. 50 % de ces rechutes sont observées à 1 an, 75 % à 2 ans, 90 % à 3 ans [31]. Le taux de rechute n’était que de 31 % dans une étude multicentrique occidentale [10]. Pour les équipes japonaises, le taux de rechute serait corrélé au taux d’IgG4, d’autant plus important que celui-ci serait initialement élevé (> 4N). Tou­jours au Japon, la lenteur de décroissance du taux d’IgG4 sérique était corrélée au risque de rechute [32]. Le caractère diffus de l’atteinte pancréatique est considéré comme un facteur de risque de rechute dans le dernier consensus international de 2016 [33]. L’ictère est également un facteur de risque de rechute établi, puisque celle-ci est observée deux fois plus souvent (56 % versus 25 %), lorsqu’il est présent au moment du diagnostic [35]. Seuls les types II, III et IV de l’atteinte biliaire de la cholangite sclérosante à IgG4 sont prédictifs du risque de rechute [33]. Plus de 2 autres organes touchés par la maladie à IgG4 est également prédictif du risque de rechute [33].

Lors de la première rechute la plupart des équipes utilisent les immunosuppresseurs en association avec une corticothérapie identique à celle utilisée la phase initiale. Il en est de même en cas de rechute précoce au cours de la décroissance de la corticothérapie initiale. C’est l’azathioprime qui est le plus utilisé, mais la preuve de son efficacité comme celle des autres molécules immunosuppressives (méthotrexate, mycophénolate mofetil, cyclophosphamide) n’est pas démontrée pour diminuer le taux de rechute ultérieure après l’arrêt de la corticothérapie.

Le Rituximab apparaît dans cette situation comme le meilleur candidat pour prendre en charge cette rechute, en évitant une nouvelle corticothérapie dont les effets délétères ne sont pas négligeables sur cette population souvent masculine âgée et diabétique. Un certain nombre d’équipes propose ensuite une perfusion semestrielle ou annuelle pour éviter les rechutes ultérieures.

Conclusion

La pancréatite autoimmune est une maladie rare, mais non exceptionnelle. Elle constitue un vrai challenge pour les gastroentérologues et les chirurgiens, car il faut à la fois éviter les pancréatectomies inutiles, et à l’inverse ne pas retarder une chirurgie salvatrice par une corticothérapie inutile, dont l’inefficacité est masquée par la pose d’une prothèse biliaire. Son diagnostic est difficile. Seule une imagerie parfaitement interprétée permet de l’évoquer. Il faut ensuite recueillir les éléments du diagnostic en s’appuyant sur les critères du consensus international et savoir demander une échoendoscopie avec contraste et éventuel prélèvement dans un centre spécialisé lorsque c’est nécessaire. L’indication d’une corticothérapie d’épreuve est rare et est au mieux posée par un centre spécialisé.

Références

  1. Shimosegawa T, Chari ST, Frulloni L, et al. International consensus diagnostic criteria for autoimmune pancreatitis: guidelines of the International Association of Pancrea­tology. Pancreas. 2011;40:352-8.
  2. Hamano H, Kawa S, Horiuchi A, et al. High serum IgG 4 concentrations in patients with sclerosing pancreatitis. New Engl J Med. 2001;344:1328.
  3. Kamisawa T, Funata H, Hayashi Y, Eishi Y Koike M, Tsuruta K, et al. A new clinicopathological entity of IgG4-related autoimmune disease. J Gastroenterol. 2003;38:982-4.
  4. Stone JH, Khosroshahi A, Deshpande V, et al. Recommandations for the nomenclature of IgG 4-related disease and its individual organ system manifestations. Arthritis Rheum. 2012;64:3061-7.
  5. Stone JH, Zen Y, Deshpande V. IgG4-related disease. N Engl J Med. 2012;366:539-51.
  6. Maehara T, Matoo H, Ohta M, et al. Lesional CD4+ IFN-gamma+ cytotoxic T lymphocytes in IgG4 related dacryoadenitis and sialoadenitis. Ann Rheum Dis. 2016;0:1-9.
  7. Mattoo H, Mahajan VS, Maehara T, et al. Clonal expansion of CD4(+) cytotoxic T lymphocytes in patients with IgG4-related disease. J Allergy Clin Immunol. 2016 Sep;
    138(3):825-38.
  8. Notohara K, Burgart LJ, Yadav D, et al. Idiopathic chronic pancreatitis with periductal lymphoplasmacytic infiltration: clinicopathologic features of 35 cases. Am J Surg Pathol. 2003;27:1119-27.
  9. Zamboni G, Luttges J, Capelli P, et al. Histopathological features of diagnostic and clinical relevance in autoimmune pancreatitis: a study on 53 resection specimens and 9 biopsy specimens. Virchows Arch. 2004;
    445:552-63.
  10. Hart PA, Kamisawa T, Brugge WR, et al. Long-term outcomes of autoimmune pancreatitis: a multicentre, international analysis. Gut. 2013;62:1771-6.
  11. Hart PA, Levy MJ, Smyrt TC, et al. Clinical profiles and outcomes in idiopathic duct-centric chronic pancreatitis (type II autoimmune pancreatitis): the Mayo Clinic experience. Gut. 2016;65:1702-9.
  12. Notohara K, Nishimori I, Mizuno N, et al. Clinicopathological Features of Type II Autoimmune Pancreatitis in Japan: Results of Multicenter Survey. Pancreas. 2015;
    44:1072-7.
  13. Okazaki K, Uchida K. Autoimmune Pancreatitis: The Past, Present, and Future. Pancreas. 2015;44:1006-16.
  14. Okazaki K, Kawa S, Kamisawa T, et al. Amendment of the Japanese Consensus Guidelines for Autoimmune Pancreatitis 2013 I. Concept and diagnosis of autoimmune pancreatitis. J Gastroenterol. 2014;
    49:567-88.
  15. Kanai K, Maruyama M, Kameko F, et al. Autoimmune Pancreatitis Can Transform Into Chronic Features Similar to Advanced Chronic Pancreatitis With Functional Insufficiency Following Severe Calcification. Pancreas. 2016;45:1189-95.
  16. Ghazale A, Chari ST, Smyrk TC, et al. Value of serum IgG4 in the diagnosis of autoimmune pancreatitis and in distinguishing it from pancreatic cancer. Am J Gastroenterol. 2007;102:1646-53.
  17. Kennedy T, Preczewski L, Stocker SJ, Rao SM, Parsons WG, Wayne JD, et al. Incidence of benign inflammatory disease in patients undergoing Whipple procedure for clinically suspected carcinoma: a single-institution experience. Am J Surg. 2006 Mar;191(3):
    437-41.
  18. Sumimoto K, Uchida K, Mitsuyama T, et al. A proposal of a diagnostic algorithm with validation of ICDC for AIP in a Japonese cohort. Pancreatology 2013;13:230-37.
  19. Ohara H, Okazaki K, Tsubouchi H, et al. Clinical diagnostic criteria of IgG4-related sclerosing cholangitis 2012. J Hepatobiliary Pancreat Sci. 2012;19:536-42.
  20. Ohara H, Nakazawa T, Kawa S, et al. Establishment of a serum IgG4 cut-off value for the differential diagnosis of IgG4-related sclerosing cholangitis: a Japonese cohort. J Gastroenterol Hepatol. 2013;28:1247-51.
  21. Palazzo M, Palazzo L, Aubert A, et al. Irregular narrowing of the main pancreatic duct in association with a wall thickening is a key sign at endoscopic ultrasonography. for the diagnosis of Auto-immune pancreatitis. Pancreas. 2015;44(2):211-5.
  22. Iwashita T, Yasuda I, Doi S, et al. Use of samples from endoscopic ultrasound-guided 19-Gauge fine-needle aspiration in diagnosis of autoimmune pancreatitis. Clin Gastroenterol Hepatol. 2012;10(3):316-22.
  23. Mizuno N, Bhatia V, Hosoda W, et al. Histological diagnosis of autoimmune pancreatitis using EUS-guided trucut biopsy: a comparison study with EUS-FNA. J Gastro­enterol. 2009;44 (7):742-50.
  24. Learn PA, Grossman EB, Do RK, et al. Pitfalls in avoiding operation for autoimmune pancreatitis. Surgery. 2011;50(5):968-74.
  25. Holmes BJ, Hruban RH, Wolfgang CL, et al. Fine needle aspirate of autoimmune pancreatitis (lymphoplasmacytic sclerosing pancreatitis): cytomorphologic characteristics and clinical correlates. Acta Cytol. 2012;56(3):228-32.
  26. Ozaki Y, Oguchi K, Hamano H, et al. Differentiation of auto- immune pancreatitis from suspected pancreatic cancer by fluorine-18 fluorodeoxyglucose positron emission tomography. J Gastroenterol. 2008;
    43:144–51.
  27. Sato M, Okumura T, Shioyama Y, et al. Extrapancreatic F-18 FDG accumulation in autoimmune pancreatitis. Ann Nucl Med. 2008;22:215-9.
  28. Brito-Zeron P, Kostov B, Bosch X, et al. Therapeutic approach to IgG4-related disease. A systematic review. Medicine. 2016;95, june:1-10.
  29. Brito-Zeron P, Bosch X, Ramos-Casals M, Stone JH. IgG4-related disease: Advances in the diagnosis and treatment. Best Practice & Research Clinical Rheumatology. 2016;
    30:261-278.
  30. Masamune A, Nishimori I, Kikuta K, et al. Randomised controlled trial of long-term maintenance corticosteroid therapy in patients with autoimmune pancreatitis. Gut. doi:10.1136/gutjnl-2016-312049.
  31. Kamisawa T, Shimosegawa T, Okazaki K, et al. Standard steroid therapy for autoimmune pancreatitis. Gut. 2009;58:1504–7.
  32. Shimizu K, Tahara J, Takayama Y, et al. Assessment of the rate of decrease in serum IgG4 level of autoimmune pancreatitis patients in response to initial steroïd therapy as a predictor of a subsequent relapse. Pancreas. 2016;45:1341-6.
  33. Okazaki K, Chari ST, Frulloni L, et al. International consensus for the treatment of autoimmune pancreatitis. Pancreatology 2016 in press.

Les Six points forts

  1. Il existe 2 types de PAI :
    • La PAI de type 1 qui est la manifestation pancréatique d’une maladie systémique, la maladie à IgG4. Elle est souvent révélée par un ictère pseudo néoplasique.
    • La PAI de type 2, plus rare, révélée le plus souvent par une pancréatite aiguë ou subaiguë est associée à une MICI dans 30 % des cas.
  2. Le diagnostic différentiel principal est l’adénocarcinome pancréatique.
  3. Une imagerie en coupe parfaitement réalisée est indispensable au diagnostic.
  4. L’échoendoscopie, avec séquence de contraste et parfois prélèvement, est utile dans les cas difficiles.
  5. La corticothérapie est le plus souvent nécessaire dans la PAI de type I ictérigène ou douloureuse mais les rechutes sont fréquentes, contrairement à la PAI de type II qui est souvent spontanément résolutive et rechute peu.
  6. La corticothérapie d’épreuve doit être utilisée avec parcimonie, au mieux en centre spécialisé.

Toute reproduction ou réécriture, totale ou partielle, sans l’accord préalable écrit de la FMC HGE est interdite.

FMC HGE : Organisme certifié Qualiopi pour la catégorie ACTIONS DE FORMATION.