Radioembolisation des tumeurs hépatiques
POST’U 2018
Cancérologie
Objectifs pédagogiques
- Connaître les principes de la radioembolisation
- Connaître les indications de la radioembolisation
- Connaître les résultats de la radioembolisation dans le traitement des CHC
- Connaître les résultats de la radioembolisation dans le traitement des métastases hépatiques des cancers colorectaux
Testez-vous
Nous vous invitons à tester vos connaissances sur l’ensemble des QCU tirés des exposés des différents POST'U. Les textes, diaporamas ainsi que les réponses aux QCM seront mis en ligne à l’issue des prochaines journées JFHOD.
Testez vos connaissances sur le sujet.
Les 5 points forts
- L’effet thérapeutique de la radioembolisation est lié à la radiothérapie interne et non à l’embolisation.
- Les contre-indications sont hépatiques (Child-Pugh >7, bilirubine >35mcmol/L, ascite clinique), anatomiques (shunt hépato-pulmonaire important) et techniques (difficulté de ciblage des lésions à traiter).
- Dans le carcinome hépatocellulaire, la thrombose des branches portales ou une thrombose partielle du tronc porte n’est pas une contre-indication à une radioembolisation.
- Dans les métastases hépatiques de cancer colorectal, les microsphères de résine ne sont prises en charge par l’Assurance maladie que pour les patients en échappement à tous les traitements systémiques validés, sans atteinte extra-hépatique, avec un envahissement hépatique < 25 %.
- Les premiers essais randomisés de phase 3 publiés dans le CHC et en première ligne des métastases hépatiques de cancer colorectal sont négatifs. D’autres essais sont en cours.
Conflits d’intérêt
Formations et interventions pour le compte de BTG, Royaume-Uni
Mots-clés : Radioembolisation ; SIRT ; Yttrium-90
Introduction
La radioembolisation est une modalité de traitement par voie intra-artérielle hépatique des tumeurs primitives et secondaires. Le terme « radioembolisation » devrait être remplacé par le terme « radiothérapie interne sélective », abrégé en SIRT en anglais (Selective Internal Radiation Therapy), car le principe thérapeutique est vraiment dominé ici par l’irradiation et non par l’embolisation. Cette stratégie de radiothérapie interne a été utilisée depuis plus de 30 ans, avec des développements techniques qui ont changé ses modalités d’administration. Du fait de sa caractéristique de dispositif médical, les essais cliniques ont été plus longs à se monter, et c’est seulement en 2016-2017 qu’ont été présentés les premiers résultats d’études de phase 3, dans les indications de carcinomes hépatocellulaires (CHC) et de métastases hépatiques des carcinomes colo-rectaux (CCRm). La technique a par ailleurs été étudiée dans d’autres tumeurs hépatiques primitives (cholangiocarcinome intra-hépatique) ou secondaires (métastases de tumeurs neuro-endocrines, de mélanomes choroïdiens, d’autres primitifs…).
Historique
L’approche anciennement développée a été l’utilisation de lipiodol marqué à l’Iode -131 (Lipiocis®, Cis Bio International, France) [1]. Cette technique consistait en une injection par voie intra-artérielle, dans l’indication du CHC. Ce type de traitement intra-artériel permettait une délivrance de la radioactivité directement au site tumoral, du fait de la vascularisation artérielle des CHC, associée au tropisme du lipiodol pour ces tumeurs. Cette méthode a été appelée à se développer d’autant plus que la radiothérapie externe des lésions hépatiques n’avait pas à l’époque les possibilités techniques de délivrer des doses tumoricides en épargnant le parenchyme sain, et était donc responsable du syndrome de maladie hépatique induit par les radiations (RILD pour Radiation Induced Liver Disease, en anglais).
Des études prospectives de faibles effectifs ont montré une efficacité du lipiodol marqué à l’Iode-131 comparable à celle de la chimio-embolisation, ainsi qu’une efficacité pertinente chez les patients atteints de thrombose portale, pour lesquels la chimio-embolisation est contre-indiquée. Par ailleurs, des résultats encourageants en situation adjuvante avaient conduits à lancer un essai randomisé prospectif de phase 3. Cependant, cette technique nécessitant une hospitalisation plusieurs jours en milieu protégé du fait de l’utilisation de l’Iode-131 était associée à une lourdeur de mise en place qui a limité sa diffusion. Surtout, l’absence de vérification du shunt hépato-pulmonaire a conduit à des passages du produit en intra-pulmonaire, responsable d’une irradiation délétère, se traduisant par des pneumopathies interstitielles. Certains cas ont été fatals. Ceci a conduit les autorités à demander de nouvelles études de tolérance au laboratoire, qui devant le manque de diffusion de la technique a arrêté le développement du produit. De cette antériorité, plusieurs éléments importants peuvent être dégagés :
- L’irradiation des CHC pouvaient conduire à des réponses objectives.
- La toxicité était liée d’une part à la tolérance hépatique, d’autre part au passage du produit en dehors du foie (ici particulièrement au niveau pulmonaire).
- Les patients avec thrombose portale pouvaient tirer bénéfice de la modalité.
S’est développée en parallèle une méthode alternative, la radioembolisation aux billes marquées à l’Yttrium-90, qui fera l’objet du reste de cette présentation.
Déroulement du traitement
Le développement actuel repose sur des microsphères de verre ou de résine (2 produits commercialisés) marqués à l’Yttrium-90. La différence essentielle entre les 2 produits est la plus forte activité (50 fois supérieure) associée à chaque microsphère de verre comparativement aux sphères de résine, le nombre de billes injectées étant par conséquent différent et la dosimétrie n’étant donc pas comparable (Tableau I). Le déroulement est semblable avec les 2 produits : le traitement nécessite 2 artériographies réalisées au maximum à 2 semaines d’intervalle. La première consiste en l’injection de macro-agrégats d’albumine marqués au technétium, avec scintigraphie au décours qui permet de vérifier l’absence de contre-indication (shunts digestifs, qu’on pourra tenter de corriger par embolisation, ou shunts pulmonaires, qui eux sont considérés comme non corrigeables) et de calculer l’activité à administrer. La méthode de calcul de la dose est différente selon les 2 produits.
| Verre – Therasphere®, BTG, Royaume Uni |
Résine – SIRSpheres®, SIRTEX, Australie |
|
|---|---|---|
| Taille | 20-30 µm | 20-60 µm |
| Isotope | 90Y dans le verre | 90Y à la surface de la résine |
| Activité / sphère | 2500 Bq | 50 Bq |
| Nb sphères / Dose de 3 GBq | 1.2 millions | 40-80 millions |
Tableau I. Les deux types de billes marquées à l’Yttrium-90
La deuxième artériographie va réaliser l’administration des microsphères marquées à l’Yttrium-90. Un élément mal reconnu est la nécessité absolue de se positionner d’une manière extrêmement reproductible entre les 2 artériographies, pour avoir une bonne concordance de résultats. L’Yttrium-90 va irradier à environ 1 cm autour des sphères, ce qui permet de limiter les mesures de radioprotection, le traitement pouvant théoriquement être réalisé en ambulatoire. Le traitement est actuellement administré la plupart du temps de manière lobaire ; si des tumeurs sont présentes dans les 2 lobes hépatiques, une deuxième injection controlatérale est réalisée 1 à 2 mois après la première. Les cures ne sont pas répétées, sauf en cas de progression secondaire d’une lésion qui avait bien répondu initialement, ou apparition à distance de nouvelles lésions.
Le calcul de la dose mérite une attention particulière. Ce calcul, différent selon les recommandations de chacun des 2 produits, est dépendant de la fixation des macro-agrégats dans le foie injecté, mais sans distinguer entre la fixation sur la tumeur et la fixation sur le foie non tumoral. Il est cependant évident que du point de vue clinique on souhaite une dose maximale sur la tumeur, en maintenant une dose acceptable sur le foie non tumoral. Il est maintenant bien démontré, par plusieurs équipes utilisant les 2 types de sphères, et dans différentes indications, qu’il existe un lien entre la dose délivrée à la tumeur et les résultats oncologiques [2], de même qu’il existe un lien entre dose délivrée au foie non tumoral et toxicité. L’étape ultérieure qui est en cours dans des études prospectives est de modifier le mode de calcul de la dose pour prendre en compte les doses absorbées par la tumeur et le foie non-tumoral.
Du fait de sa complexité de mise en œuvre, la technique nécessite une excellente coopération entre cliniciens (hépato-gastro-entérologues, oncologues, chirurgiens), médecins nucléaires et radiologues interventionnels, à la fois pour poser les bonnes indications, et pour la bonne organisation du traitement et de son suivi.
Résultats dans le CHC
Les modalités thérapeutiques du CHC sont fréquemment présentées par rapport à la classification de la Barcelona Clinic for Liver Cancer [BCLC] [3] (Figure 1). Les CHC de stade intermédiaire (BCLC B), multifocaux mais sans extension vasculaire ou extra-hépatique, ont pour traitement recommandé la chimioembolisation lipiodolée (CEL), tandis que les CHC avancés, métastatiques ou avec invasion vasculaire (BCLC C) ont pour traitement recommandé le sorafenib. La radioembolisation peut être amenée à trouver sa place dans les stades BCLC B et C. De nombreuses études rétrospectives, multicentriques de large effectif ont confirmé la faisabilité, la bonne tolérance et l’activité de la radioembolisation dans le CHC [1, 4].
Figure 1. Algorithme de traitement du CHC selon BCLC
Légende : CHC : carcinome hépatocellulaire ; PS : Performance Status ; CP : Child-Pugh ; HTP : Hypertension Portale ; TVP : Thrombose Veineuse Portale ;N1 : Envahissement ganglionnaire ; M1 : métastases viscérales ; RF : Radiofréquence ; TACE : Chimioembolisation
Dans les stades BCLC B, la tolérance semble meilleure que la CEL, avec moins de syndrome post-embolisation. La toxicité redoutée est le radioembolization-induced liver disease (REILD), dont la fréquence de grade 3 est inférieure à 10 %, et peut être prévenue par une bonne sélection des patients (notamment bilirubine < 35 µmol/L). Des données comparatives rétrospectives et une étude randomisée de faible effectif suggèrent une efficacité similaire en termes de survie, mais supérieure en termes de temps jusqu’à progression et de tolérance, par rapport à la CEL [5]. Par ailleurs, il a été suggéré dans des études rétrospectives que la technique apportait une meilleure probabilité de downstaging des tumeurs hors critères de transplantation, ainsi qu’un meilleur temps jusqu’à progression. Enfin, on constate après radioembolisation unilatérale une hypertrophie du foie contro-latéral. Ces éléments peuvent donner un avantage dans une situation pré-chirurgicale (résection ou transplantation). Cependant, ces indications doivent être confirmées dans des essais prospectifs randomisés.
La plupart des études prospectives actuelles s’intéressent à la situation du CHC avancé, BCLC C, en comparaison ou en association au sorafenib (Tableau II). Des données rétrospectives suggèrent que la radioembolisation pourrait être supérieure au sorafenib chez les patients avec thrombose de branche portale, cependant ces résultats doivent être confirmés dans des études prospectives randomisées dédiées à cette population. Un exemple de cas de patient avec thrombose est présenté sur la Figure 2. Les résultats de deux des études prospectives s’intéressant à la population avancée ont été présentés en 2017. L’étude française SARAH comparait le sorafenib à la radioembolisation aux microsphères de résine et cherchait à démontrer la supériorité de la radioembolisation [6]. Le critère principal, la survie globale, n’était pas améliorée : elle apparaissait semblable dans les 2 bras, mais l’étude n’était pas prévue pour étudier une non-infériorité. La tolérance et la qualité de vie étaient meilleures dans le bras radioembolisation. De manière similaire, l’étude asiatique SirVeNib ne montrait pas d’amélioration de la survie globale après radioembolisation aux sphères de résine, malgré une meilleure tolérance que celle du sorafenib. Les résultats des études SORAMIC et STOP-HCC, qui ont fini leur recrutement et qui avaient une stratégie différente d’association du sorafenib à la radioembolisation, sont encore en attente.
| Acronyme | Nombre de patients attendus | Population cible | Traitement expérimental | Résultats présentés ou attendus |
|---|---|---|---|---|
| PREMIÈRE | 258 (45 inclus) | BCLC B | Radioembolisation sphères de verre | 2016, arrêtée précocement |
| SIRvenib | 360 | BCLC B ou C non accessible à CEL | Radioembolisation
sphères de résine |
Présentée à l’ASCO 2017 |
| SARAH | 400 | BCLC B ou C non accessible à CEL | Radioembolisation sphères de résine | Présentée à l’EASL 2017 |
| STOP-HCC | 400 | BCLC B ou C non accessible à CEL | Radioembolisation sphères de verre + sorafenib | 2018 ? |
| SORAMIC | 430 | BCLC B ou C non accessible à CEL | Radioembolisation sphères de résine + sorafenib | 2018 ? |
| YES-P | 360 | Thrombose porte | Radioembolisation sphères de verre | Arrêt prématuré |
Tableau II. Principaux essais de radioembolisation en cours dans le CHC
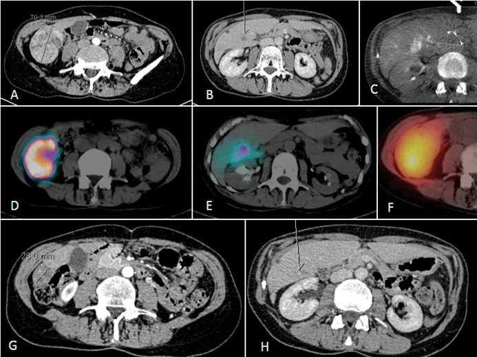
Figure 2. Exemple de traitement chez une patiente avec CHC et thrombose tumorale.
A. Scanner initial montrant un CHC de 7 cm.
B. Thrombose de la branche portale sectorielle postérieure.
C. Cone Beam CT pendant l’artériographie préparatoire montrant une hypervascularisation de la thrombose tumorale.
D et E. Scintigraphie après injection de macro-agrégats d’albumine marqués au technétium montrant une fixation tumorale et de la thrombose. La dose délivrée prévue à la tumeur était de 406Gy.
F. Scintigraphie après injectiondes microsphères marquées à l’Yttrium-90 confirmant la fixation tumorale.G et H. Réponse à 6 mois avec dévascularisation de la lésion,réponse objective, et revascularisation de la branche portale. La patiente a ensuite bénéficié d’une résection hépatique, avec nécrose complète de la lésion et de la thrombose. Elle est en rémission à 6 mois de la chirurgie.
La négativité de ces essais ne permet pas de positionner la technique dans les recommandations. Plusieurs aspects pouvant expliquer la négativité des essais malgré une activité peuvent être soulignés : principalement, les populations incluses étaient hétérogènes, ne se focalisant pas sur les situations à bénéfice plus probable (thrombose porte, même si cette population dans son ensemble ne semblait pas tirer plus bénéfice en analyse de sous-groupe des études de phase 3) et il n’y avait pas d’étude dosimétrique vérifiant la bonne dose reçue par la tumeur.
Résultats dans le CCRm
De nombreuses séries multicentriques démontrent une activité (réponses objectives) et une bonne tolérance de la radioembolisation dans le CCRm [7]. Les populations incluses sont cependant très hétérogènes en ce qui concerne les traitements reçus antérieurement ainsi que les profils de patients. Les résultats apparaissent évidemment meilleurs lorsque les patients ont été peu pré-traités, et quand les patients avec métastases extra-hépatiques étaient exclus.
Une étude randomisée ayant inclus 46 patients a comparé, à une époque précédant l’utilisation large des thérapies ciblées, chez des patients pouvant présenter une maladie extra-hépatique, en progression sous les schémas standards de chimiothérapie, l’administration du 5FU à la radioembolisation associé au 5FU. Le critère principal de survie sans récidive était atteint, en revanche sans bénéfice statistiquement significatif sur la survie globale (le faible effectif de l’étude ne permettant cependant pas de conclure) [8]. Cette étude est à l’origine de la seule indication remboursée de la radioembolisation en France à l’heure actuelle.
Récemment, ont été publiés les résultats combinés des études SIRFLOX, FOXFIRE et FOXFIRE global, dont le design était similaire et prévu pour l’analyse combinée [9]. Dans ces études, les patients en première ligne de traitement pour CCRm métastatiques hépatiques (faible charge extra-hépatique acceptée) étaient randomisés entre chimiothérapie FOLFOX + anticorps monoclonal et la même chimiothérapie plus la radioembolisation. Le critère principal de l’analyse combinée était la survie globale et il n’a pas été atteint, malgré l’amélioration significative et importante du temps jusqu’à progression intra-hépatique, du fait d’une progression extra-hépatique plus rapide dans le bras radioembolisation. Ces résultats indiquent que, malgré un excellent contrôle de la maladie hépatique par la radioembolisation, l’effet sur la maladie systémique n’était pas suffisant pour améliorer le pronostic de ces patients. Une analyse de sous-groupe retrouvant un bénéfice dans les cancers du côlon droit peut générer des hypothèses pour des études ultérieures. Une étude est en cours en 2e ligne.
Résultats dans les autres indications
D’autres indications ont été étudiées, majoritairement dans des études rétrospectives. Parmi les résultats les plus significatifs, les cholangiocarcinomes intra-hépatiques non résécables semblent très sensibles à la technique, avec des cas rapportés d’exérèse secondaire. Les séries rapportées sont là aussi hétérogènes, intéressant des patients en 1re ligne ou en échappement, des lésions uniques ou multiples, rendant l’interprétation délicate [7]. Une étude de phase 3 comparant la chimiothérapie seule à la radioembolisation suivie de chimiothérapie a débuté en 2017. Des réponses cliniques ont été notées dans les métastases hépatiques de tumeurs neuro-endocrines. Les métastases hépatiques d’autres tumeurs, tels que les mélanomes choroïdiens (ayant un tropisme particulier pour donner des métastases hépatiques) et les cancers du sein, ont également été rapportées comme pouvant répondre, mais les données sont également difficiles à interpréter.
Contre-indications
Les critères de sélection des patients pour la radioembolisation vont être extrêmement importants pour diminuer les risques de toxicité et améliorer les probabilités de bénéfice. Plusieurs types de contre-indications ressortent :
- Les contre-indications en lien avec la fonction hépatique : on exclura les patients avec score de Child-Pugh > 7 (voire on se limitera prudemment aux patients Child-Pugh A), les patients avec hyperbilirubinémie > 35 µmol/L (qui est le facteur prédictif le plus puissant de REILD), les patients avec ascite clinique. Il convient de renouveler le bilan biologique juste avant l’administration, les parcours des patients pouvant être longs.
- Les contre-indications en lien avec la technique : il s’agit d’un shunt digestif que l’on n’aurait pas pu emboliser. Un shunt vers le tube digestif entraînerait un ulcère. Un shunt vers la vésicule biliaire peut parfois être toléré, à l’origine d’un tableau de cholécystite qui est en général contrôlé médicalement. Un shunt excessif hépato-pulmonaire (> 20 %) est une contre-indication absolue, du fait du risque de pneumopathie radique.
- Les mauvaises indications : Un envahissement hépatique majeur (> 50 % du foie si cirrhose, > 70 % du foie sans cirrhose) conduirait à un risque de toxicité hépatique trop important. Les patients avec maladie extra-hépatique significative ne semblent pas tirer bénéfice. Les patients avec absence de fixation des tumeurs lors de l’artériographie de préparation, les patients dont une particularité anatomique artérielle (vascularisation tumorale par l’artère phrénique…) ne permet pas de traiter l’ensemble de l’atteinte tumorale sont également des mauvaises indications par absence de ciblage satisfaisant.
Indications
Il convient de noter tout d’abord qu’en tant que dispositif médical, les processus d’autorisation sont différents de ceux des médicaments. La radioembolisation avec les 2 types de sphères est ainsi autorisée en France pour les tumeurs hépatiques, qu’elles soient primitives ou secondaires. Cependant, cette autorisation ne s’appuie pas comme pour les médicaments sur des études de phase 3. Par contre, le remboursement n’est obtenu que lorsque la technique a été démontrée comme apportant un bénéfice par rapport aux thérapeutiques standard dans le cadre d’essais randomisés.
Actuellement la seule indication remboursée de la radioembolisation (ici avec sphères de résine) concerne le CCRm hépatique, dans une indication précise :
- envahissement hépatique < 25 %
- Performance Status ≤ 2
- absence de maladie extra-hépatique
- en échappement ou intolérants à toutes les chimiothérapies et thérapies ciblées indiquées disponibles, y compris orales.
Cette indication est d’ailleurs validée dans des recommandations internationales [10], en attendant une mise à jour dans notre Thésaurus National de Cancérologie Digestive.
Les autres indications préférentielles, basées sur des études non randomisées voire rétrospectives et donc non remboursées, ne peuvent faire à l’heure actuelle l’objet de recommandations. Ces indications préférentielles, pour lesquelles il faut donc réfléchir à la participation à un essai dédié, semblent être le CHC avec thrombose de branche portale, le CHC en attente de transplantation ou en downstaging vers la transplantation ou la résection, le cholangiocarcinome unifocal non résécable, notamment en intention de downstaging.
Conclusions
La radioembolisation est une technique émergente de traitement des tumeurs hépatiques primitives et secondaires. Une seule indication est actuellement remboursée, le cancer colorectal en échappement aux autres traitements, reflétant la seule étude randomisée positive. La négativité des études de phase 3 récentes ne permet pas d’étendre ces indications dans l’immédiat. Des études dédiées aux situations les plus à même de montrer un bénéfice de la technique sont en attente de résultats.
Références
-
Edeline J, Gilabert M, Garin E, Boucher E, Raoul J-L. Yttrium-90 microsphere radioembolization for hepatocellular carcinoma. Liver Cancer. mars 2015;4(1):16-25.
-
Garin E, Edeline J, Rolland Y. High Impact of Preferential Flow on 99mTc-MAA and 90Y-Loaded Microsphere Uptake Correlation. J Nucl Med Off Publ Soc Nucl Med. nov 2016;57(11):1829-30.
-
EASL, EORTC, others. EASL–EORTC Clinical Practice Guidelines: management of hepatocellular carcinoma. J Hepatol. 2012;56(4):908–43.
-
Edeline J. Chimioembolisation et radioembolisation dans le carcinome… [Internet]. Lettre Hépato gastro entérologue. 2017 [cité 28 sept 2017]. Disponible sur: http://www.edimark.fr/lettre-hepato-gastroenterologue/chimioembolisation-radioembolisation-carcinome-hepatocellulaire
-
Salem R, Lewandowski RJ, Kulik L, Wang E, Riaz A, Ryu RK, et al. Radioembolization results in longer time-to-progression and reduced toxicity compared with chemoembolization in patients with hepatocellular carcinoma. Gastroenterology. févr 2011;140(2):497-507.e2.
-
Vilgrain V, Pereira H, Assenat E, Guiu B, Ilonca AD, Pageaux G-P, et al. Efficacy and safety of selective internal radiotherapy with yttrium-90 resin microspheres compared with sorafenib in locally advanced and inoperable hepatocellular carcinoma (SARAH): an open-label randomised controlled phase 3 trial. Lancet Oncol. déc 2017;18(12):1624-36.
-
Pracht M, Sourd SL, Rohou T, Lenoir L, Rolland Y, Garin É, et al. Radioembolisation des cholangiocarcinomes intrahépatiques et des métastases des cancers colorectaux : données actuelles. Hépato-Gastro Oncol Dig. 1 févr 2017;24(2):121-8.
-
Hendlisz A, Van den Eynde M, Peeters M, Maleux G, Lambert B, Vannoote J, et al. Phase III trial comparing protracted intravenous fluorouracil infusion alone or with yttrium-90 resin microspheres radioembolization for liver-limited metastatic colorectal cancer refractory to standard chemotherapy. J Clin Oncol Off J Am Soc Clin Oncol. 10 août 2010;28(23):3687-94.
-
Wasan HS, Gibbs P, Sharma NK, Taieb J, Heinemann V, Ricke J, et al. First-line selective internal radiotherapy plus chemotherapy versus chemotherapy alone in patients with liver metastases from colorectal cancer (FOXFIRE, SIRFLOX, and FOXFIRE-Global): a combined analysis of three multicentre, randomised, phase 3 trials. Lancet Oncol. sept 2017;18(9):1159-71.
-
Van Cutsem E, Cervantes A, Nordlinger B, Arnold D. Metastatic colorectal cancer: ESMO Clinical Practice Guidelines for diagnosis, treatment and follow-up. Ann Oncol. 1 sept 2014;25(suppl_3):iii1-iii9.
FMC HGE : Organisme certifié Qualiopi pour la catégorie ACTIONS DE FORMATION

