Dépistage de la dysplasie anale et du carcinome épidermoïde du canal anal
POST'U 2025
Colo-proctologie
Objectifs pédagogiques
- Connaître les populations à haut risque de carcinome épidermoïde du canal anal à dépister et l’incidence de la pathologie
- Connaître l’anuscopie haute résolution, son principe, ses modalités et ses limites
- Connaître les autres outils du dépistage
- Connaître les modalités du dépistage et ses résultats
- Connaître les nouvelles recommandations 2024 de suivi des patients vivant avec le VIH
Testez-vous
Nous vous invitons à tester vos connaissances sur l’ensemble des QCU tirés des exposés des différents POST'U. Les textes, diaporamas ainsi que les réponses aux QCM seront mis en ligne à l’issue des prochaines journées JFHOD.
Testez vos connaissances sur le sujet.
Les 5 points forts
- Les lésions anales intra épithéliales (AIN) de haut grade sont secondaires à une infection persistante par un HPV à haut risque (essentiellement HPV16) et sont le plus souvent infracliniques.
- L’histoire naturelle des AIN est mal connue : elles peuvent régresser spontanément ou évoluer vers un cancer (1 à 2 % par an).
- L’anuscopie de haute résolution est l’examen de référence pour la mise en évidence des AIN mais ne s’envisage qu’après avoir sélectionné les patients par cytologie et/ou recherche d’HPV au sein d’un parcours de soins coordonné.
- Les populations à risque très augmenté de cancer de l’anus sont : les hommes vivant avec le VIH ayant des relations sexuelles avec les hommes (risque relatif multiplié par 100), les femmes ayant des antécédents de lésions vulvaires de haut grade ou transplantées d’organe solide depuis plus de 10 ans et les femmes vivant avec le VIH ayant des antécédents de lésions cervicales de haut grade.
- Pour les populations à risque, un dépistage est recommandé par frottis anal à la recherche d’HPV16. En cas de positivité, il faut réaliser un examen clinique et une cytologie anale puis, en cas d’anomalie, une anuscopie de haute résolution.
Vidéo
Liens d’intérêts
MSD
Mots-clés
AIN ; cancer anal et dépistage
Abréviations
HPV : Papillomavirus Humain
HPV-HR : Papillomavirus Humain de haut risque oncogène
AIN: Anal intra epithelial neoplasia
HSIL: high-grade squamous intraepithelial lesion LSIL: low-grade squamous intraepithelial lesion
ASCUS: atypical squamous cells of undetermined significance
PVVIH : population vivant avec le VIH
HSH : homme ayant des rapports sexuels avec des hommes
AHR : anuscopie de haute résolution
Introduction
Selon la Haute Autorité de Santé « un dépistage vise à détecter la présence d’une maladie à un stade précoce chez des personnes a priori en bonne santé et qui ne présentent pas encore de symptômes apparents. L’objectif est de diagnostiquer la maladie le plus tôt possible afin de la traiter rapidement et ainsi freiner ou stopper sa progression » (1).
Plusieurs conditions doivent être réunies pour la mise en place d’un dépistage :
- la maladie doit être détectable précocement,
- un examen de dépistage adapté doit être disponible,
- des traitements efficaces doivent pouvoir être rapidement proposés et mis en œuvre,
- les personnes les plus à risque de la maladie doivent être facilement identifiables,
- le dépistage doit diminuer la mortalité,
- le dépistage doit présenter plus d’avantages que d’inconvénients.
L’accumulation de données ces dernières années a permis de proposer un dépistage de la dysplasie anale et du carcinome épidermoïde du canal anal. Il convient cependant de bien connaître l’histoire naturelle de cette pathologie et les performances de nos outils et stratégies de prise en charge pour comprendre les possibilités et les limites du dépistage.
Définitions
Le canal anal est recouvert selon sa hauteur de plusieurs épithéliums de natures différentes. Il est de fait une zone de jonction entre la muqueuse glandulaire rectale et la muqueuse malpighienne kératinisée. Le terme de dysplasie anale est utilisé pour désigner des lésions malpighiennes intra- épithéliales. La terminologie internationale, commune à toutes les muqueuses génitales (2), distingue deux grades selon la sévérité des atypies cellulaires, la hauteur de l’infiltration de l’épithélium et la sévérité de la désorganisation architecturale. Par définition, le caractère strictement intra-épithélial, c’est-à-dire respectant l’intégrité de la membrane basale, ne peut être affirmé que par l’étude histologique d’une pièce d’exérèse.
Qu’elles soient observées en cytologie sur un frottis anal et classées selon la classification de Bethesda ou en histologie sur une biopsie ou une pièce d’exérèse, les lésions sont souvent regroupées en deux grades (bas grade et haut grade). La corrélation imparfaite entre la cytologie et l’histologie fait souvent classer le patient dans le grade le plus péjoratif, qu’il soit diagnostiqué en histologie ou en cytologie (3). On distingue ainsi (figure1) :
- les lésions de bas grade (LSIL : low-grade squamous intraepithelial lesion, ou AIN1 anal intraepithelial neoplasia) dans lesquelles les atypies cellulaires sont modérées et localisées dans le tiers profond de l’épithélium ;
- les lésions de haut grade (HSIL : high-grade squamous intraepithelial lesion, ou AIN2 et 3 dans lesquelles les atypies cellulaires sont plus marquées et présentes dans les 2/3 profonds ou la totalité de l’épithélium.

Figure 1 : Représentation schématique des lésions intra-épithéliales et de leur histoire naturelle (adapté d’après Woodman C et al. Nat Rev Cancer 2007)
Quand les lésions ne remplissent pas tous les critères diagnostiques de lésions de bas grade, en cytologie, les lésions sont dites de signification indéterminée ou ASCUS (atypical squamous cells of undetermined significance). Ces lésions ne doivent pas être négligées car elles peuvent être associées à des lésions de haut grade en histologie (3). Il arrive également que des lésions soient difficiles à classer en cytologie, ne pouvant éliminer une lésion de haut grade. Elles sont alors classées ASC-H (atypical squamous cells cannot exclude HSIL).
Histoire naturelle
Les lésions intra-épithéliales sont secondaires à une infection par un papillomavirus humain (HPV) dont il existe près de 200 génotypes. Certains virus, notamment les HPV6 et 11, dits « à bas risque » sont à l’origine des lésions condylomateuses ou verrues cutanées qui peuvent avoir un aspect de lésion de bas grade en histologie. D’autres génotypes, particulièrement les HPV16, HPV18, HPV31, HPV33 et HPV39, sont dit « à haut risque » (HPV-HR) car associés aux cancers et lésions de haut grade, principalement du col utérin, de l’anus et de l’oropharynx, le génome de ces HPV s’intégrant à l’ADN chromosomique. Deux génotypes, les HPV16 et HPV18 sont associés à plus de 80 % des cas de cancers épidermoïdes du canal anal (4).
Cependant si l’infection par un HPV-HR est nécessaire au développement des lésions intra-épithéliales de haut grade, elle n’est pas suffisante. D’une part parce que cette infection peut être transitoire, d’autre part parce que des lésions de haut grade peuvent régresser (5-6). Les facteurs associés à la régression semblent être la petite taille des lésions, leur caractère unique (versus multifocal), l’âge inférieur à 45 ans mais aussi dans certaines études des lésions peu marquées (AIN2 plutôt qu’AIN3) et la clairance du virus HPV16 (5-6).
Données épidémiologiques et populations à risque
Si le carcinome épidermoïde du canal anal reste une tumeur peu fréquente représentant environ 2 % des cancers digestifs, sa prévalence a considérablement augmenté ces 25 dernières années et son incidence a augmenté de 56 % depuis 1990 (88 % chez la femme et 17 % chez l’homme) avec des projections à l’horizon de 2035 de 4/100 000 (7), soit 4 fois sa prévalence des années 90.
Cette augmentation est secondaire, en partie seulement à l’infection par le virus de l’immunodéficience humaine (VIH). Le risque de carcinome épidermoïde du canal anal est en effet multiplié par 30 dans la population vivant avec le VIH (8) et par 100 dans le sous-groupe des hommes ayant des rapports avec les hommes (HSH) vivant avec le VIH atteignant une incidence de 75 à 137/100 000 personnes-année, incidence plus élevée que celle du cancer du col utérin, voisine de 37/100 000 au début des campagnes de dépistage. De plus, dans la population vivant avec le VIH (PVVIH), l’âge au diagnostic paraît plus précoce avec un âge médian de 42,2 ans et sa prévalence ne diminue pas avec l’introduction des thérapies anti rétrovirales, mais augmente même avec l’allongement de l’espérance de vie des patients (8). Chez ces patients, un taux de CD4 bas, un nadir des CD4 inférieur à 200 c/µL et un tabagisme pourraient être associés à la survenue du cancer.
D’autres populations sont également à très haut risque de cancer épidermoïde anal : il s’agit des femmes ayant un antécédent de lésion vulvaire de haut grade (VIN 2-3) ou de cancer vulvaire et les femmes transplantées d’organes solides depuis plus de 10 ans ; dans ces deux populations la prévalence du cancer anal est voisine de 50/100 000 (9). D’autres populations ont un surrisque mais moindre, il s’agit des hommes hétérosexuels vivant avec le VIH, des HSH ne vivant pas avec le VIH et des femmes ayant un antécédent de lésion cervicale (figure 2) (9). Il existe peu de données quand les patients cumulent plusieurs facteurs de risque, notamment chez les femmes VVIH ayant des lésions cervicales de haut grade, un antécédent de cancer cervical ou transplantées et ces terrains invitent à une vigilance renforcée (10).

Figure 2 : Échelle de risque du cancer anal (taux d’incidence pour 100 000 patients-années) [Clifford et al. (9)]
Prévalence des lésions de haut grade
La prévalence des lésions anales de haut grade dans les groupes à très haut risque varie selon les études et les outils utilisés pour les mettre en évidence. Ces lésions sont en effet très souvent infracliniques et détectées uniquement avec des techniques de coloration et magnification de l’image. Ainsi, la prévalence des lésions anales de haut grade est élevée, de l’ordre de 45 % chez les HSH VVIH dans les séries nord-américaines où l’anuscopie de haute résolution (AHR) était systématiquement utilisée et de 22,4 % dans une méta-analyse regroupant 64 études chez 29 900 hommes incluant des études où le diagnostic de lésion de haut grade était porté sur une cytologie anale isolée ou après une simple anuscopie
(11). Dans cette même méta-analyse la prévalence des lésions de haut grade était de 11,3 % chez les HSH ne vivant pas avec le VIH. Chez la femme VVIH, la prévalence des lésions de haut grade est de 13 % (12) et d’environ 5 % chez les transplantées.
Quand un suivi longitudinal existe, cette incidence augmente avec la durée de suivi, puisqu’un tiers des malades ayant une cytologie normale et la moitié de ceux ayant une cytologie initiale anormale développent des lésions de haut grade après un suivi moyen de quatre ans.
Risque de progression des lésions de haut grade
Il est intéressant de pouvoir identifier des lésions précancéreuses mais il est primordial pour organiser un dépistage et un suivi de connaître leur potentiel de dégénérescence, voire d’identifier des facteurs de progression, mais aussi de connaître leur vitesse de progression. Le risque théorique de progression d’une lésion de haut grade vers le carcinome invasif est évalué dans une méta-analyse à 1/400 chez les HSH VVIH à l’ère des traitements antirétroviraux (13). Ce risque est probablement inférieur au risque de progression des lésions cervicales de haut grade et, de fait, les taux observés de progression des lésions anales de haut grade vers le carcinome invasif varient selon le type et la période de prise en charge. Dans les séries publiées avant 2006, il varie entre 7,5 et 11,1 % et n’est que de 0,3 à 2 % dans les séries plus récentes ayant recours à l’AHR (tableau 1) (14). Récemment il a été montré dans une grande étude randomisée incluant 4 446 PVVIH que le traitement des lésions de haut grade diminuait de 57 % (IC95 % [6-80] p=0,03) le risque d’évolution vers le cancer ; 9 cas de cancer ont en effet été observés dans le groupe traitement (soit 173 pour 100 000 personnes-années IC95 % [90–332]) versus 21 cas dans le groupe surveillance semestrielle en AHR (402 pour 100 000 personnes-années ; IC95 % [262–616]). Dans cette étude, le risque de progression des lésions de haut grade était clairement lié à la taille de la lésion avec un taux de progression de 1 047/100 000 parmi les patients ayant des lésions occupant plus de 50 % du canal anal ou de la marge anale versus 185/100 000 PA si les lésions étaient moins étendues (15). Cette étude ne suffit pas à elle seule à démontrer que le diagnostic et le traitement précoce des lésions de haut grade diminue la mortalité par cancer. Elle montre cependant qu’un tiers des cancers étaient diagnostiqués à un stade très précoce dit micro invasif, c’est-à-dire avec un front d’invasion ne dépassant pas 3 mm de profondeur, sur une largeur maximale de 7 mm à l’histologie (2). Or, le pronostic est étroitement lié au stade tumoral au moment du diagnostic avec une médiane de survie à 5 ans de 80 % dans les formes localisées non métastasées contre 30 % dans les formes métastasées.
Tableau 1 : Récapitulatif des principales études étudiant le risque cumulé de progression des lésions de haut grade vers le cancer anal, avec ou sans recours à la cytologie anale et l’AHR [d’après Tomassi et al (14)]
| Auteur, Année | Nombre | % VIH+ | Cyto | AHR | Suivi en années | Risque cumulé |
| Scholefield et al. 2005 | 35 | 0 | oui | oui | 5,3 | 8,6 % |
| Deveraj et al. 2006 | 40 | 100 | oui | oui | 2,7 | 7,5 % |
| Watson et al. 2006 | 72 | 7 | non | non | 5,0 | 11,1 % |
| Pineda et al. 2008 | 246 | 79 | oui | oui | 3,4 | 1,2 % |
| Goldstone et al. 2014 | 727 | 62 | oui | oui | 2,2 | 2,0 % |
| Della Pria et al. 2014 | 268 | 100 | oui | oui | 4,2 | 0,3 % |
Les modalités de dépistage
Ainsi l’identification de populations à très haut risque de cancer épidermoïde anal, la meilleure compréhension de son histoire naturelle et la démonstration que le traitement des lésions de haut grade diminue l’apparition du cancer ont fait chercher des outils capables de détecter des lésions anales débutantes.
L’histoire naturelle des lésions HPV-induites étant assez similaire sur le col de l’utérus et le canal anal, le proctologue s’est ainsi doté de deux outils empruntés au gynécologue.
L’étude cytologique d’un frottis anal est réalisée après recueil des cellules par une brosse en dacron introduite dans le canal anal sans désinfection préalable ni pose d’écarteur. Le frottis est réalisé avant l’examen et avant l’utilisation de lubrifiant. La brosse est introduite au-delà de la jonction anorectale afin de recueillir des cellules sur toute la hauteur du canal anal et surtout de la zone transitionnelle sur laquelle se développent volontiers les lésions intra-épithéliales. La brosse est tournée plusieurs fois dans le canal anal avant d’être plongée et remuée dans le liquide conservateur de cytologie à base de méthanol ou d’éthanol afin de libérer les cellules recueillies. Après agitation, sédimentation en couche mince, le frottis est coloré par la méthode de Papanicolaou et le résultat est exprimé selon la classification de Bethesda (2). La qualité des frottis semble similaire lors d’un auto-prélèvement et son coût est modeste (28 euros). Les performances de la cytologie varient selon les groupes à risques, la taille et le nombre des lésions (16). La sensibilité est plus élevée chez les PVVIH, de l’ordre de 85 %. Les performances diagnostiques varient également en fonction du seuil choisi (ASCUS, LSIL ou HSIL) pour détecter des lésions de haut grade. Si le grade des anomalies cytologiques est mal corrélé au grade des anomalies histologiques, une cytologie HSIL est hautement prédictive d’une lésion histologique de haut grade. La présence d’une cytologie anormale ne permet pas de localiser la lésion, mais seulement de sélectionner les patients pouvant bénéficier d’une anuscopie de haute résolution (AHR) pour repérage et traitement des lésions intra épithéliales.
L’anuscopie de haute résolution (AHR)
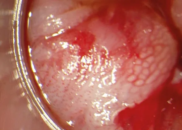
Il s’agit d’un examen de la muqueuse anale sous microscope à faible grossissement à travers un anuscope après application successive d’acide acétique dilué à 3 ou 5 % et de solution de Lugol à 2 %, dans le but de repérer les lésions intra-épithéliales. La combinaison de l’analyse de différents items (aspect, limites, surface, rapidité de la réaction acidophile, anomalies vasculaires et coloration lors de l’application de Lugol…) permet de prédire le grade des anomalies observées et de diriger les biopsies (17-19). Les lésions de haut grade sont volontiers lisses et planes, blanchissent rapidement sous acide acétique, sont associées à des anomalies vasculaires à type de ponctuations et de mosaïques et ont un aspect jaune clair après application de Lugol (photos) (17). Il est essentiel de rechercher des lésions marginales et intracanalaires, notamment en zone transitionnelle. Ces lésions peuvent être multifocales en particulier chez les PVVIH, cette dernière caractéristique étant liée à la persistance des lésions (6). L’examen est plus difficile sur un anus cicatriciel ou radique avec une sémiologie lésionnelle plus difficile à interpréter. L’examen est généralement bien toléré mais peut être vécu comme fastidieux. Enfin, il est parfois impossible en cas de sténose anale ne permettant pas d’introduire un anuscope.
L’AHR reste l’examen de référence pour le diagnostic et la détection des lésions intra-épithéliales, elle n’est pratiquée qu’en deuxième ligne après un test de triage positif, dans un parcours de soins élaboré et un environnement de qualité. La première condition impérative est d’être équipé d’un très bon outil de magnification optique de l’image avec une bonne définition et une mise au point progressive car destinée à étudier un organe creux en fuite. La seconde condition est que le praticien et le patient soient confortablement installés, de manière à minimiser les mouvements du patient qui pourraient augmenter les mises au point itératives et la durée de l’examen. La dernière condition est de disposer de tout le matériel à portée de main et d’une aide infirmière car les lésions, repérées avec une coloration transitoire, doivent pouvoir être prélevées immédiatement, répertoriées et éventuellement traitées dans le même temps en cas de certitude de lésion de haut grade.
Enfin, l’AHR nécessite un apprentissage long et rigoureux avec une pratique recommandée d’au moins 50 à 100 examens annuels (18). La formation et l’expérience de l’opérateur, mais probablement aussi l’équipement et l’organisation du centre, sont cruciaux pour la qualité de l’examen et la prise en charge des patients, le taux de détection des lésions de haut grade pouvant varier d’un opérateur ou d’un centre à l’autre (20-21). Des standards internationaux de qualité existent (18) et une formation théorique en ligne en français est accessible sur le site de la Société Nationale Française de Colo-Proctologie (SNFCP). La formation pratique est organisée dans différents centres et des séminaires de formation semestriels ont lieu à Paris.
Si l’AHR n’est pas disponible, l’examen clinique associant toucher rectal et anuscopie permet de dépister des cancers invasifs y compris de petite taille et des lésions macroscopiques d’AIN3 notamment cutanées. Son apport ne peut être envisagé que dans une stratégie de dépistage de stades précoces de cancer de l’anus, mais pas dans une stratégie de recherche de lésions intra-épithéliales car il méconnait la majorité des lésions intra- épithéliales (19,22) : 65,7 % des lésions de haut grade diagnostiquées en AHR n’étaient en effet pas visibles à l’œil nu sur une série de 165 patients
(19). Dans une étude prospective allemande regroupant 441 PVVIH, les 11 cas de cancers avaient tous été détectés par l’examen clinique mais aucune des lésions de dysplasies de haut grade, retrouvées chez 156 patients (soit 38 % des patients), n’avait été dépistée par le toucher rectal (23). De même en France, sur 212 hommes ayant des rapports sexuels avec des hommes VVIH et naïfs de tout dépistage, l’anuscopie standard avait permis le diagnostic de lésions de dysplasie de haut grade chez seulement 3,3 % des patients (7/212) quand la combinaison à la cytologie anale et au génotypage HPV16 suivi par une biopsie diagnostique au cours d’une AHR, avait conduit au diagnostic de lésions de haut grade chez 12,7 % des patients (27/212) p<0.001 (22).

Photo 1 : Aspect de la muqueuse anale en anuscopie et zone transitionnelle

Photo 2 : Séquence de colorations d’une lésion de haut grade en anuscopie de haute résolution (AHR) (A : avant coloration, B : après acide acétique, C : après Lugol)

Photo 3 : Aspect d’une lésion de haut grade avec mosaïques et ponctuations larges

Photo 4 : Aspect d’une lésion de bas grade papillaire avec des vaisseaux tubulisés rigides

Photo 5
Recherche d’HPV
La recherche d’HPV anal repose sur l’amplification d’une cible du génome viral par réaction de polymérisation en chaîne (PCR). Des écouvillons en dacron ou des brosses spécifiques sont utilisés pour recueillir les cellules sur toute la hauteur du canal anal. Celles-ci sont ensuite mises en suspension dans un milieu de conservation pour la biologie moléculaire ou dans un milieu de cytologie liquide compatible, ce qui permet dans ce cas d’utiliser le même prélèvement pour la cytologie et la recherche d’HPV. En routine, le laboratoire utilise une trousse commerciale pour la détection des HPV et il en existe quatre grands types.
- les trousses de détection groupée des HPV-HR. Elles détectent seulement les HPV responsables des lésions précancéreuses et des cancers du col de l’utérus : HPV16, HPV18, HPV31, HPV33, HPV35, HPV39, HPV45, HPV51, HPV52, HPV56, HPV58 et Ces trousses ne permettent pas la distinction individuelle des types d’HPV présents dans l’échantillon. Certaines techniques détectent en plus l’HPV68 et l’HPV66.
- les trousses de détection des HPV-HR dites à « génotypage partiel » permettant l’identification spécifique individuelle des HPV16, HPV18 et HPV45. Les autres HPV-HR sont eux identifiés de façon groupée.
- les trousses de détection des HPV-HR avec typage individuel étendu des génotypes HPV 16/18/45 et également d’autres types d’HPV-HR en groupe.
- les trousses de « génotypage complet » : elles permettent la détection individuelle de chaque type de haut risque voire de bas risque choisis par le fabricant de la trousse.
Parler de performance de ces tests nécessite de bien savoir ce que l’on cherche. La performance analytique décrit la capacité du test à détecter la plus petite quantité de virus présent. Elle est intéressante sur le plan épidémiologique, mais n’a pas forcément de valeur clinique car ne reflète pas une infection persistante ou significative, à la différence de la performance clinique et notamment de la sensibilité clinique qui est la probabilité que le test soit positif en présence d’une lésion de haut grade ou d’un cancer. La sensibilité clinique doit être maximale pour identifier tous les patients à risque. L’intérêt d’un test HPV avec une forte sensibilité clinique est qu’il présente une excellente valeur prédictive négative ce qui est rassurant en cas de test négatif.
La spécificité clinique est la probabilité qu’un test soit négatif lorsqu’il n’y a pas de lésion. La spécificité clinique doit être suffisante pour limiter les examens complémentaires et des coûts inutiles (16).
Des critères de performances cliniques stricts des tests HPV ont été établis pour le dépistage du cancer du col de l’utérus et, à ce jour, seule une douzaine de trousses répondent à des critères de performances cliniques stricts et sont utilisables pour le dépistage du cancer du col de l’utérus. Aucune donnée n’existe à ce jour sur les performances de ces tests pour le diagnostic des lésions anales.
D’autres outils, comme les marqueurs d’intégration virale (ARNm des protéines E6 et E7) ou d’activité cellulaire (p16, Ki67) mais aussi de reflet de l’activation des onco-protéines E6 et E7 comme la méthylation sont en cours d’évaluation car ils pourraient permettre d’identifier les patients plus à risque de développer des lésions invasives.
Stratégies et propositions de dépistage
Rappelons qu’un dépistage ne s’adresse par définition qu’à une population asymptomatique et qu’un examen clinique proctologique avec anuscopie s’impose en cas de symptômes proctologiques.
Dans le cadre du dépistage, si l’examen clinique avec toucher rectal peut détecter des petits cancers, il ne suffit pas au dépistage des lésions anales de haut grade.
Des recommandations de dépistage en France ont été publiées sous l’égide de la SNFCP en janvier 2024 et proposent de dépister les lésions intra- épithéliales dans les trois groupes les plus à risque dans lesquels la prévalence du cancer épidermoïde anal est supérieure à 50/100 000, à savoir les HSH VVIH de plus de 30 ans, les femmes ayant un antécédent de lésion vulvaire de haut grade, ou les femmes transplantées d’un organe solide depuis plus de 10 ans (24). Dans ces populations, il est proposé un test de dépistage HPV16 suivi en cas de positivité d’un examen clinique avec cytologie anale (figure 3). L’AHR est réalisée en deuxième ligne en cas de cytologie anormale ou de lésion évocatrice à l’examen clinique. Si la recherche d’HPV16 est négative, le test sera refait 5 ans plus tard. Une prise en charge des lésions et un suivi est proposé après l’AHR et adapté au grade des lésions détectées (figure 3). Ces recommandations ont été reprises dans le dernier rapport de prise en charge des PVVIH en proposant d’ajouter les femmes VVIH ayant un antécédent de lésions cervicale intra épithéliale de haut grade ou de lésion cancéreuse du col (10).

Figure 3 ; Algorithme de dépistage des lésions anales proposé en France par la SNFCP [d’après Spindler et al (24)]
- L’examen clinique est indispensable en cas de symptôme. L’examen clinique est constitué d’une analyse visuelle et palpatoire de la région périanale, d’un toucher anal et rectal bas et d’une anuscopie La présence de lésions suspectes doit faire l’objet de biopsies. La palpation des aires inguinales fait partie de l’examen clinique. Cette exploration doit être réalisée après l’identification d’HPV16.
- La recherche de stigmates viraux d’infection HPV 16 est au cœur des tests de triage car ce type viral est associé au carcinome épidermoïde du canal anal avec une prévalence très élevée. Cette stratégie limite le recours à une consultation spécialisée. L’histoire naturelle de l’infection HPV16 et la clairance autorisent un espacement des tests de surveillance à 5 ans en l’absence de stigmate HPV 16. L’incidence cumulée d’infection HPV 16 est de 16 % à 3 ans dans les populations à risque n’ayant pas d’HPV 16
- Dans l’état actuel des connaissances, la normalité de l’examen cytologique rend très peu probable la présence de lésions d’HSIL (4%).
- En présence de stigmates d’infection HPV 16, lorsque l’examen clinique est normal, la clairance du virus se fait lentement et elle n’est observée que chez un peu plus d’un tiers des patients après 3 ans de suivi. Il ne semble donc pas opportun de répéter le test de façon trop rapprochée dans cette population, a fortiori lorsque l’examen clinique est La normalité répétée d’un examen cytologique rend peu probable la survenue d’HSIL dans les 3 ans qui suivent.
- La présence d’anomalies cytologiques est associée à une HSIL une fois sur trois, et plus de deux fois sur trois lorsque les lésions cytologiques sont de haut grade. Dans l’attente de tests non invasifs plus discriminants (test de méthylation, P16 Ki-67), une anuscopie haute résolution doit être réalisée dans des conditions optimales avec biopsies orientées. En l’absence d’anuscopie haute résolution accessible, l’examen clinique avec anuscopie doit être répété au minimum annuellement.
L’International Anal Neoplasia Society a également publié des recommandations en décembre 2023, proposant un dépistage dans les groupes dans lesquels la prévalence est supérieure à 10 fois le taux de la population générale américaine, soit un seuil de 17/100 000. Le dépistage concerne ainsi les HSH VVIH et femmes transgenres VVIH à partir de 35 ans mais également toute la population VVIH, HSH et trans genre à partir de 45 ans.
Pour les transplantés, le dépistage commence 10 ans après la greffe et dans l’année en cas de cancer vulvaire. Trois stratégies de triage avant l’AHR sont proposées (cytologie seule, génotypage HPV16 ou les deux) avec un recours à l’AHR en cas d’anomalie et une procédure modifiée en cas de moindre disponibilité de l’AHR (figure 4) (24).
Figure 4 : Récapitulatif des stratégies de dépistage des lésions anales de haut grade proposées par le consensus de la société internationale de la néoplasie anale basée sur la cytologie ou la recherche d’HPV-HR [Stier et al (25)] :

1) Stratégie basée sur la cytologie Note * AHR si HSIL quel que soit le résultat de la recherche HPV

2) Stratégie basée sur la recherche HPV- HR
Difficultés et limites du dépistage
De nombreuses interrogations demeurent sur la mise en place et l’efficacité du dépistage dans la vraie vie, en grande partie car nos outils sont imparfaits ou mal adaptés : la recherche d’HPV anale n’est pas encore prise en charge, les tests utilisés en pratique clinique ne sont pas validés dans cette indication et leurs performances ne sont pas évaluées. De nombreux laboratoires utilisent les mêmes tests que pour le dépistage cervical et ne détectent pas l’HPV16 seul mais un panel d’HPV-HR. La cytologie est mal corrélée à l’histologie et le seuil ASCUS choisi pour référer en AHR, adresse un grand nombre de patients en AHR. Alors même que l’AHR est la technique de référence pour la détection des lésions de haut grade, cet examen n’est pas encore remboursé, sa diffusion reste très limitée et il s’agit d’un examen difficile, long, centre-dépendant. Le traitement des lésions de haut grade reste mal codifié et potentiellement délétère, notamment pour des lésions étendues. Des études de coût-efficacité d’un dépistage à grande échelle manquent et surtout la majorité des cancers survient encore dans des populations qui auraient été écartées du dépistage à savoir les femmes d’âge mûr ne vivant pas avec le VIH, sans antécédent de pathologies HPV induites (14).
Pour toutes ces raisons, la meilleure stratégie reste de se placer avant même l’infection HPV afin d’éviter les infections persistantes à l’origine des lésions de haut grade. Assurer une meilleure couverture vaccinale et développer la vaccination large des garçons et les filles avant l’âge des premiers rapports permettront pour les générations vaccinées de diminuer drastiquement les taux de cancers cervicaux, anaux mais aussi ORL (26).
Conclusion
Les lésions anales intra-épithéliales de haut grade sont des lésions précancéreuses dont le dépistage repose idéalement en France dans les populations à très haut risque sur la recherche d’HPV16 suivie en cas de positivité d’un examen clinique avec cytologie anale puis d’une anuscopie de haute résolution en cas d’anomalie. L’absence de disponibilité locale de ces outils doit faire plaider pour leur mise en place concertée avec les professionnels concernés au niveau local ou régional et n’affranchit pas en attendant d’un examen clinique annuel dans les populations à risque.
Références
- Haute Autorité de Santé – Dépistage : objectif et conditions (has-fr)
- Darragh TM, Colgan TJ, Cox JT, et Members of LAST Project Work Groups. The Lower Anogenital Squamous Terminology Standardization Project for HPV-Associated Lesions: background and consensus recommendations from the College of American Pathologists and the American Society for Colposcopy and Cervical Pathology. J Low Genit Tract Dis. 2012;16:205-42.
- Roberts JR, Siekas LL, Kaz Anal intraepithelial neoplasia: A review of diagnosis and management World J Gastrointest Oncol. 2017 Feb 15;9(2):50-61.
- de Vuyst H, Clifford GM, Nascimento MC, Madeleine MM, Franceschi Prevalence and type distribution of human papillomavirus in carcinoma and intraepithelial neoplasia of the vulva, vagina and anus: a meta-analysis. Int JCancer. 2009;124:1626-36..
- Poynten IM, Jin F, Roberts JM, Templeton DJ, Law C, Cornall AM, et The Natural History of Anal High-grade Squamous Intraepithelial Lesions in Gay and Bisexual Men. Clin Infect Dis. 2021;72:853-61.
- Etienney I, Combes JD, Didelot JM, Radenne S, Zaegel-Faucher O, Lesage AC, et Persistance et clairance des lésions anales intra épithéliales malpighiennes de haut grade dans une population d’homosexuels masculins vivant avec le VIH. JFHOD 2024
- Smittenaar CR, Petersen KA, Stewart K, Moitt Cancer incidence and mortality projections in the UK until 2035. Br J Cancer. 2016;115:1147-1155.
- Shiels MS, Pfeiffer RM, Gail MH, Hall HI, Li J, Chaturvedi AK, et al. Cancer burden in the HIV-infected population in the United J Natl Cancer Inst. 2011;103:753-62.
- Clifford GM, Georges D, Shiels MS, Engels E, Albuquerque A, Poyten I, et A meta-analysis of anal cancer incidence by risk group: Toward a unified anal cancer risk scale. Int J Cancer 2021;148:38-47.
- VIH et cancer : nouvelles recommandations de bonne pratique – ANRS MIE cancer,VIH (https://anrs.fr/wp-content/uploads/2024/06/ vih-cancer-recommandation-rapport-dexperts–20240521.pdf)
- Wei F, Gaisa MM, D’Souza G, Xia N, Giuliano AR, Hawes SE, et al. Epidemiology of anal human papillomavirus infection and high-grade squamous intraepithelial lesions in 29 900 men according to HIV status, sexuality, and age: a collaborative pooled analysis of 64 Lancet HIV. 2021;8:e531-e543.
- Heard I, Poizot-Martin I, Potard V, Etienney I, Crenn-Hebert C, Moore C, et al. Prevalence of and Risk Factors for Anal Oncogenic Human Papillomavirus Infection Among HIV-Infected Women in France in the Combination Antiretroviral Therapy J Infect Dis. 2016;213:1455-61.suivi long
- Machalek DA, Poynten M, Jin F, Fairley CK, Farnsworth A, Garland SM, et Anal human papillomavirus infection and associated neoplastic lesions in men who have sex with men: a systematic review and meta-analysis. Lancet Oncol. 2012;13:487-500.
- Tomassi MJ, Abbas MA, Klaristenfeld Expectant management surveillance for patients at risk for invasive squamous cell carcinoma of the anus: a large US healthcare system experience. Int J Colorectal Dis. 2019;34:47-54.
- Palefsky JM, Lee JY, Jay N, Goldstone SE, Darragh TM, Dunlevy HA, et Treatment of Anal High-Grade Squamous Intraepithelial Lesions to Prevent Anal Cancer. N Engl J Med. 2022;386:2273-82.
- Clarke MA, Deshmukh, Suk R, Roberts J, Gilson R, Jay N, et al. A systematic review and meta-analysis of cytology and HPV-related biomarkers for anal cancer screening among different risk groups.
- Jay N, Berry JM, Hogeboom CJ, Holly EA, Darragh TM, Palefsky Colposcopic appearance of anal squamous intraepithelial lesions: relationship to histopathology. Dis Colon Rectum. 1997 ;40:919-28
- Hillman RJ, Cuming T, Darragh T, Nathan M, Berry-Lawthorn M, Goldstone S, et 2016 IANS International Guidelines for Practice Standards in the Detection of Anal Cancer Precursors. J Low Genit Tract Dis. 2016 ;20:283-91.
- Camus M, Lesage AC, Fléjou JF, Hoyeau N, Atienza P, Etienney Which lesions should be biopsied during high-resolution anoscopy? Prospective descriptive study of simple morphological criteria. J Low Genit Tract Dis. 2015;19:156-60.
- Clifford GM, Siproudhis L, Piroth L, Poizot-Martin I, Radenne S, Reynes J, et Determinants of high garde anal intraepithelial lesions in HIV-positive MSM. AIDS 2018; 32:2363-71.
- Siegenbeek van Heukelom ML, Marra E, Cairo I, Van Eeden A, Schim van der Loeff MF, De Vries HJC, et al. Detection Rate of High-Grade Squamous Intraepithelial Lesions as a Quality Assurance Metric for High-Resolution Anoscopy in HIV-Positive Dis Colon Rectum. 2018 Jul;61(7):780-786.
- Pernot S, Boucheron P, Péré H, Lucas ML, Veyer Da, Fathallah N, et Comparison of anal cancer screening strategies including standard anoscopy, anal cytology, and HPV genotyping in HIV-positive men who have sex with men. Br J Cancer. 2018;119:381-386
- Kreuter A, Potthoff A, Brockmeyer NH, Gamblicher T, Swoboda J, Stücker M, et Anal carcinoma in human immunodeficiency virus-positive men: results of a prospective study from Germany. Br J Dermatol. 2010 Jun;162:1269-77.
- Spindler L, Etienney I, Abramowitz L, de Parades V, Pigot F, Siproudhis L, et al. Screening for precancerous anal lesions linked to human papillomaviruses: French recommendations for clinical practice.Tech Coloproctol. 2024 10;28:23.
- Stier EA, Clarke MA, Deshmukh, Wentzensen N, Liu Y, Poynten IM, et International Anal Neoplasia Society’s consensus guidelines for anal cancer screening. Int J Cancer 2024;154:1694-1702.
- Garland SM, Kjaer SK, Muñoz N, et al Impact and Effectiveness of the Quadrivalent Human Papillomavirus Vaccine: A Systematic Review of 10 Years of Real-world Experience.Clin Infect Dis. 2016;63:519-27.
FMC HGE : Organisme certifié Qualiopi pour la catégorie ACTIONS DE FORMATION