Prise en charge des métastases atypiques des cancers digestifs – Partie 3 : les métastases cérébrales
Les points forts
Vidéo
Connaitre les indications et les modalités de traitement des métastases cérébrales (MC)
Delphine ANTONI
Lien d’intérêt
L’auteure déclare n’avoir aucun lien d’intérêt en rapport avec sa présentation
Mots-clés
Métastases cérébrales
Scores pronostiques
Exérèse chirurgicale
Radiothérapie en conditions stéréotaxiques
Abréviations
MC : métastase cérébrale GI : gastro-intestinal
RCS : radiothérapie en conditions stéréotaxiques IET : irradiation de l’encéphale en totalité
RN : radionécrose cérébrale
Introduction
La prise en charge des métastases cérébrales (MC) représente un challenge continu étant donné l’évolution des modalités thérapeutiques, l’amélioration constante du pronostic des patients atteints de MC et l’évolution des objectifs de traitement. Les traitements utilisés seuls ou combinés permettent un allongement de la survie et une amélioration de la qualité de vie des patients. La décision de prise en charge nécessite une réflexion pluridisciplinaire et doit être discutée au regard des facteurs pronostiques permettant d’appréhender l’espérance de vie des patients atteints de MC. En 2018, 320 000 cancers gastro-intestinaux (GI) invasifs ont été diagnostiqués, avec plus de 160 000 décès attribuables à ce type de cancer.
Chaque année, 300 000 patients développent des MC au cours de leur parcours cancérologique. Les patients atteints de MC présentent le plus fréquemment un cancer du poumon, du sein, un mélanome et un carcinome rénal. Les cancers gastro-intestinaux sont à l’origine d’environ 6 % de tous les cas de MC et, en raison entre autre de cette « rareté » relative, peu de données solides et spécifiques à cette population ont été publiées. Les modalités de prise en charge des MC incluent la chirurgie, la radiothérapie en condition stéréotaxique (radiochirurgie, radiothérapie stéréotaxique hypofractionnée), l’irradiation de l’encéphale en totalité, utilisées seules ou en association.
Bilan préthérapeutique
À l’exception du bilan d’extension des tumeurs neuroendocrines de grade 3, aucune imagerie cérébrale n’est recommandée dans le suivi des cancers colorectaux et œsogastriques. En fonction des symptômes neurologiques, une imagerie cérébrale sera réalisée lors du diagnostic de la tumeur primitive ou au cours de l’évolution. Il est préférable d’effectuer une IRM cérébrale plutôt qu’un scanner car la sensibilité de l’IRM est supérieure à celle du scanner cérébral notamment pour les lésions de moins de 5mm. Une tomodensitométrie cérébrale peut suffire en cas de métastases multiples en situation multi métastatique, si le délai d’obtention du scanner est plus rapide.
Scores pronostiques
Afin de retenir la stratégie thérapeutique la plus adaptée, plusieurs classifications pronostiques ont été proposées, initialement basées sur une population de patients pour la plupart atteints de MC secondaires à un cancer bronchique non à petites cellules. Plus récemment, ces classifications ont été révisées menant à la mise au point de classifications spécifiques de chaque type de cancer à l’origine des MC. Ces classifications constituent une aide à la décision thérapeutique permettant de faire bénéficier les patients atteints de MC du traitement le plus adapté.
L’index DS-GPA (disease specific-graded prognostic assessment) est l’index pronostique le plus robuste, tenant compte du type de tumeur primitive (1). Ce score permet d’identifier quatre groupes de patients avec des durées médianes de survie significativement différentes, variant de 3,1 à 16,7 mois. Pour les patients pour lesquels la classification DS-GPA n’est pas applicable, la classification RPA (Recursive Partionning Analysis) reste la référence, avec potentiellement l’adaptation proposée pour la classe II du RPA (2, 3).
Les patients atteints de cancers gastro-intestinaux et de MC représentant une population unique et hétérogène, l’actualisation de ce score sur une cohorte de 792 patients atteints de cancers gastro-intestinaux, avec MC a permis d’identifier quatre facteurs significatifs : l’indice de Karnofsky, l’âge, la présence ou l’absence de métastases extracrâniennes et le nombre de MC (score GI GPA) (4). La survie médiane de l’ensemble de la cohorte était de 8 mois. La survie médiane en fonction des scores GI-GPA était de 3, 7, 11 et 17 mois pour les scores GI-GPA 0-1, 1,5-2, 2,5-3,0 et 3,5-4,0, respectivement. Plus de 30 % des patients présentait le score GI-GPA de 1,0, c’est-à-dire de plus mauvais pronostic.
Modalités thérapeutiques
Exérèse chirurgicale
Malgré des progrès majeurs dans les traitements systémiques et les techniques de radiothérapie, la résection neurochirurgicale demeure une option incontournable dans le traitement des MC, en particulier pour les MC uniques, accessibles, et à distance des zones fonctionnelles (5).
La chirurgie sera particulièrement indiquée :
- En cas de métastase cérébrale unique ;
- Lorsqu’un diagnostic histologique est nécessaire (souvent dans les situations de maladie inaugurale par MC) ;
- Pour les métastases de grande taille pour lesquelles un traitement combiné par chirurgie + radiothérapie stéréotaxique peut être proposé ;
- Pour une métastase cérébrale menaçante sur le plan neurologique (œdème, syndrome d’hypertension intracrânienne), qu’elle soit accompagnée ou non d’autres MC ;
- Pour les lésions de la fosse cérébrale postérieure, a fortiori en cas de lésion symptomatique avec hypertension intracrânienne ;
- En cas de situation de maladie oligométastatique (synchrone, metachrone, ou oligopersistance) (6)
Radiothérapie
Radiothérapie en conditions stéréotaxiques (RCS) exclusive
La radiothérapie en conditions stéréotaxiques est une technique d’irradiation permettant de délivrer de fortes doses de radiothérapie en peu de fractions avec un important gradient de dose, sur un petit volume et avec une précision inframillimétrique, afin de limiter l’irradiation des tissus sains à proximité de la cible thérapeutique.
La RCS peut être réalisée (7) :
- Soit en 1 séance : radiothérapie mono fractionnée aussi appelée « radiochirurgie »,
- Soit en plusieurs séances (2 à 10) : radiothérapie hypo fractionnée en conditions stéréotaxiques.
La radiothérapie hypo fractionnée sera privilégiée par rapport à la radiothérapie mono fractionnée en cas de métastase volumineuse (> 3 cm), en cas de proximité d’organe à risque, d’irradiation antérieure, et/ou si terrain particulier (comorbidités associées, notamment vasculaires).
Une surveillance remnographique rapprochée est préconisée après une RCS.
Dans une étude récente, Singh et al. (8) ont évalué le devenir de 263 patients atteints de tumeurs primitives d’origine digestive avec 543 MC. Les patients présentaient un cancer du rectum (31,2 %), un cancer du côlon (31,2 %) ou une tumeur de l’œsophage (25,5 %). Les patients ont bénéficié d’une RCS. Le taux de contrôle local à 1 et 2 ans étaient respectivement de 83,5 % (95 % CI : 78,9 %-87,1 %) et de 73,0 % (95 % CI : 66,4 %-78,5 %). L’âge et le KPS étaient associés à la fois au contrôle local et à la survie globale, tandis que le volume traité et la présence de métastases extracrâniennes étaient corrélés au contrôle local et à la survie globale, respectivement.
RCS du lit opératoire
Historiquement, le traitement postopératoire de référence après exérèse chirurgicale consistait en une irradiation de l’encéphale en totalité (IET) permettant une diminution du nombre de rechutes locales, allant de 10 à 27 %, et de rechutes intracérébrales. Un premier essai randomisé a démontré le bénéfice de la RCS postopératoire en termes de préservation neurocognitive par rapport à l’IET (à 6 mois, 48 % versus 15 %, P<0,001) (9). Un deuxième essai randomisé a montré un meilleur contrôle local (à 1 an, 72 % contre 43 %) avec le recours à la RCS postopératoire vs. surveillance (10). Ainsi, la RCS postopératoire s’est progressivement imposée comme traitement de référence après une chirurgie de MC (11). Cependant, la RCS postopératoire présente plusieurs inconvénients : des difficultés à délimiter le volume cible, un volume d’irradiation augmentant le risque de radionécrose, un taux élevé de maladie leptoméningée (LMD) et une durée globale de traitement longue (intervalle de 3 à 6 semaines entre la chirurgie et la RCS). Ainsi une alternative envisagée à la RCS postopératoire pourrait être une RCS préopératoire (12). Plusieurs études sont en cours dont l’étude française STEP.
Irradiation de l’encéphale en totalité
Le traitement historique de référence des métastases cérébrales était l’irradiation de l’encéphale en totalité (IET) (permettant de traiter les métastases en place et d’éventuelles lésions microscopiques) (7). Cependant, depuis plusieurs années, la RCS permettant d’améliorer le taux de contrôle local des MC traitées et d’éviter les toxicités cognitives imputables à l’IET a pris une place croissante. Les recommandations s’accordent pour recommander l’IET en première intention en présence de plus de 5 MC ou en cas de volume cumulé> 30 cc. Toutefois la faisabilité et l’absence de différence de survie démontrée dans plusieurs séries sont des facteurs favorables au développement de la RCS en cas de MC multiples. Dans le cadre du cancer du rein et du mélanome, le bénéfice de l’IET en termes de taux de contrôle local ou de survie sans récidive ou globale n’ayant pas été démontré amène à privilégier la RCS. De même pour les MC avec une tumeur primitive d’origine digestive, une RCS sera privilégiée en raison notamment du caractère radiorésistant de ces MC.
Réirradiation
La radiothérapie de rattrapage ou situation de réirradiation en croissance constante peut s’envisager dans plusieurs situations :
- en cas de reprise évolutive de MC ayant précédemment répondu à une IET ou une RCS ;
- lors d’une poursuite évolutive de MC n’ayant pas répondu à une IET ou première RCS (séquences de RCS itératives) (13) ;
- lors de l’apparition de nouvelles MC après une IET ou une
Une vigilance accrue doit être apporter après une RCS, en effet une suspicion de reprise évolutive ou de poursuite évolutive ne doit pas être confondue avec un aspect de majoration morphologique transitoire de la lésion ou une radionécrose (« fausse progression »).
Radionécrose / Récidive
La radionécrose cérébrale (RN) est un effet secondaire complexe de la RCS, représentant un challenge diagnostique et thérapeutique, d’autant plus que la tumeur primitive est contrôlée (14). Différencier la RN de la récidive tumorale locale est fondamental et impose des modalités diagnostiques spécifiques et avancées ainsi qu’une approche multidisciplinaire. Le délai d’apparition de la RN varie entre quelques mois à quelques années après le traitement, elle se manifeste par des modifications radiologiques à l’IRM et parfois des symptômes neurologiques, lesquels peuvent correspondre à ceux d’une véritable récidive. Les principaux facteurs de risque identifiés sont le volume de cerveau irradié, la dose délivrée et les antécédents d’irradiation. Le recours à l’imagerie multimodale a démontré son intérêt en termes de précision diagnostique et aide au diagnostic différentiel. La prise en charge thérapeutique varie en fonction des symptômes. La RN asymptomatique peut relever d’une simple surveillance par une imagerie régulière, tandis que la RN symptomatique nécessite souvent une corticothérapie. Les thérapies ciblées comme le bévacizumab ont montré des résultats prometteurs dans les essais cliniques, avec une amélioration radiographique et symptomatique significative. Cette option thérapeutique fait encore à ce jour l’objet d’investigation (étude BRADI). De plus une intervention chirurgicale peut être nécessaire afin de lever des symptômes résistants au traitement d’autant plus qu’elle permet une confirmation histologique.
Annexe 1 : Scores pronostiques
| Score GI-GPA (Sperduto et al. Clin Transl Radiat Oncol. 2019) | ||||||
| Facteur pronostique | Critères GI-GPA | Score patient | ||||
| 0 | 0,5 | 1,0 | 1,5 | 2,0 | ||
| IK | <80 | – | 80 | – | 90-100 | * |
| Age | ≥60 | <60 | – | – | – | * |
| MEC | présent | absent | – | – | – | * |
| Nb de MC | >3 | 2-3 | 1 | – | – | * |
IK : Indice de Karnofsky ; MEC : métastases extracrâniennes ; MC : métastases cérébrales ; Age (années)
Médiane de survie globale en fonction du score GI-GPA : 0-1,0 : 3 mois ; 1,5-2,0 : 9 mois ; 2,5-3,0 : 12 mois ; 3,5-4,0 : 17 mois
| Score RPA (Gaspar et al. IJROBP 1997) | |||
| Score RPA | 1 | 2 | 3 |
| Age | <65 |
Ni RPA 1 Ni RPA 3 | – |
| IK | ≥ 70 | < 70 | |
| Maladie primitive | contrôlée | – | |
| MEC | absentes | – | |
IK : Indice de Karnofsky ; MEC : métastases extracrâniennes ; Age (années)
Médiane de survie globale en fonction du score RPA : RPA I : 7,7 mois ; RPA II : 4,5 mois ; RPA III : 2,3 mois
| Score RPA II modifié (Yamamoto et al. IJROBP 2012) | |||
| Facteur pronostique | Critères RPA II | Score patient | |
| 0 | 1 | ||
| IK | 90-100 | 70-80 | * |
| Maladie primitive | contrôlée | non contrôlée | * |
| MEC | non | oui | * |
| Nombre de MC | 1 | >1 | * |
| Somme critères RPA II | 0-1 | 2 | 3-4 |
| Score RPA II | RPA II-a | RPA II-b | RPA II-c |
IK : Indice de Karnofsky ; MEC : métastases extracrâniennes ; MC : métastases cérébrales
Médiane de survie globale en fonction du score RPA II : RPA II-a : 15,4 mois ; RPA II-b : 8,4 mois ; RPA II-c : 4,7 mois
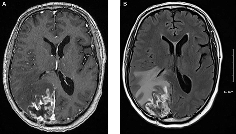
Annexe 2 : Radionécrose cérébrale
D’après Keller et al. Cancer Radiothérapie 21 (2017) 377–388

Conclusion
La prise en charge des métastases cérébrales demeure complexe, elle doit être envisagée au regard du contexte clinique et du pronostic. L’objectif du traitement doit être clairement défini, autorisant le choix de la stratégie thérapeutique la plus adaptée, discutée obligatoirement de façon multidisciplinaire.
Références
- Sperduto PW, Kased N, Roberge D, et Summary report on the graded prognostic assessment: an accurate and facile diagnosis-specific tool to estimate survival for patients with brain metastases. J Clin Onc 2012;30:419–25
- Gaspar L, Scott C, Rotman M, Asbell S, Phillips T, Wasserman T, et al. Recursive partitioning analysis (RPA) of prognostic factors in three Radiation Therapy Oncology Group (RTOG) brain metastases trials. Int J Radiat Oncol Biol Phys 1997;37:745–51
- Yamamoto M, Sato Y, Serizawa T, Kawabe T, Higuchi Y, Nagano O, et al. Subclassification of recursive partitioning analysis class II patients with brain metastases treated radiosurgically. Int J Radiat Oncol Biol Phys 2012;83:1399–405
- Sperduto PW et Estimating survival in patients with gastrointestinal cancers and brain metastases: An update of the graded prognostic assessment for gastrointestinal cancers (GI-GPA). Clin Transl Radiat Oncol. 2019 Jun 27;18:39-45.
- Cebula H, Todeschi J, Le Fèvre C, Antoni D, Ollivier I, Chibbaro S, et al. Quelle est la place de la chirurgie dans la prise en charge des métastases cérébrales en 2020 ? [What is the place of surgery in the management of brain metastases in 2020?]. Cancer 2020 Oct;24(6-7):470-476. French.
- Antoni D, Mesny E, El Kabbaj O, Josset S, Noël G, Biau J, et Role of radiotherapy in the management of brain oligometastases. Cancer Radiother. 2024 Feb;28(1):103-110.
- Latorzeff I, Antoni D, Josset S, Noël G, Tallet-Richard Radiation therapy for brain metastases. Cancer Radiother. 2022 Feb-Apr;26(1-2):129- 136.
- Singh R, Bowden G, Mathieu D, Perlow HK, Palmer JD, Elhamdani S, et Local Control and Survival Outcomes After Stereotactic Radiosurgery for Brain Metastases From Gastrointestinal Primaries: An International Multicenter Analysis. Neurosurgery. 2023 Sep 1;93(3):592-598.
- Brown PD, Ballman KV, Cerhan JH, Anderson SK, Carrero XW, Whitton AC, et al. Postoperative stereotactic radiosurgery compared with whole brain radiotherapy for resected metastatic brain disease (NCCTG N107C/CEC·3): a multicentre, randomised, controlled, phase 3 Lancet Oncol 2017;18:1049–60
- Mahajan A, Ahmed S, McAleer MF, Weinberg JS, Li J, Brown P, et Postoperative stereotactic radiosurgery versus observation for completely resected brain metastases: a single-centre, randomised, controlled, phase 3 trial. Lancet Oncol 2017;18:1040–8
- Keller A, Doré M, Cebula H, Thillays F, Proust F, Darié I, et Hypofractionated Stereotactic Radiation Therapy to the Resection Bed for Intracranial Metastases. Int J Radiat Oncol Biol Phys. 2017 Dec 1;99(5):1179-1189.
- Biau J, Guillemin F, Ginzac A, Villa J, Truc G, Antoni D, et al. Preoperative stereotactic radiotherapy for the management of brain Cancer Radiother. 2024 Oct 1:S1278-3218(24)00131-8.
- Kuntz L, Le Fèvre C, Jarnet D, Keller A, Meyer P, Mazzara C, et Repeated Stereotactic Radiotherapy for Local Brain Metastases Failure or Distant Brain Recurrent: A Retrospective Study of 184 Patients. Cancers (Basel). 2023 Oct 11;15(20):4948.
- Bourbonne V, Ollivier L, Antoni D, Pradier O, Cailleteau A, Schick U, et al. Diagnosis and management of brain radiation Cancer Radiother. 2024 Oct 3:S1278-3218(24)00141-0.
Toute reproduction ou réécriture, totale ou partielle, sans l’accord préalable écrit de la FMC HGE est interdite.
