Syndrome de chevauchement (Overlaps syndrome) : quand l’évoquer ? comment le confirmer et le traiter ?
POST'U 2025
Hépatologie
Objectifs pédagogiques
- Savoir évoquer un syndrome de chevauchement
- Connaître l’histoire naturelle et le pronostic
- Connaître les indications de la ponction biopsie hépatique et les critères diagnostiques
- Savoir reconnaître une forme sévère
- Connaître les modalités des traitements et de surveillance
Testez-vous
Nous vous invitons à tester vos connaissances sur l’ensemble des QCU tirés des exposés des différents POST'U. Les textes, diaporamas ainsi que les réponses aux QCM seront mis en ligne à l’issue des prochaines journées JFHOD.
Testez vos connaissances sur le sujet.
Les 5 points forts
-
Chez les patients ayant une cholangite biliaire primitive (CBP) ou sclérosante primitive (CSP), la présence d’une cytolyse> 5N et/ou d’IgG> 2N doit faire suspecter un syndrome de chevauchement avec une hépatite auto-immune (HAI).
-
La biopsie hépatique est indispensable pour confirmer le syndrome de chevauchement avec une HAI.
-
Chez les patients ayant une HAI, la présence d’une cholestase ou d’une maladie inflammatoire chronique de l’intestin (MICI) doit faire rechercher une CSP par cholangio-IRM.
-
Chez les patients ayant une HAI, la présence d’une cholestase et d’anticorps anti-mitochondries doit faire rechercher des lésions biliaires en faveur d’une CBP à l’histologie.
- Le traitement d’un syndrome de chevauchement associant CBP et HAI ou CSP et HAI repose sur l’association d’acide urso-désoxy-cholique (AUDC) et d’un immunosuppresseur.
Vidéo
LIENS D’INTÉRÊT
Laboratoires MAYOLY, IPSEN, GILEAD
MOTS-CLÉS
Syndrome de chevauchement ; hépatite auto-immune ; cholangite biliaire primitive ; cholangite sclérosante primitive
ABRÉVIATIONS
CBP : Cholangite biliaire primitive
CSP : Cholangite sclérosante primitive
HAI : Hépatite auto-immune
IgG : Immunoglobulines G
AUDC : acide ursodésoxycholique
TH : Transplantation hépatique
MICI : Maladies inflammatoires chroniques de l’intestin
Introduction
La cholangite biliaire primitive (CBP), la cholangite sclérosante primitive (CSP) et l’hépatite auto-immune (HAI) sont les trois principales pathologies auto-immunes hépatiques. Leur physiopathologie reste mal connue et associe une prédisposition génétique à un facteur déclenchant le plus souvent environnemental induisant une perte de tolérance du soi à l’origine de lésions hépatiques immuno-médiées, prédominant au niveau des canaux biliaires pour la CBP et la CSP et du lobule pour l’HAI. Leur diagnostic repose sur l’association d’éléments cliniques, biologiques, cholangiographiques et histologiques ainsi que la positivité d’auto-anticorps (tableau 1). Certains patients peuvent présenter initialement ou au cours du suivi des éléments de différentes pathologies auto-immunes faisant alors évoquer l’association de plusieurs pathologies (figure 1). Ces formes frontières ou « syndrome de chevauchement » peuvent associer une CBP et une HAI ou une CSP et une HAI. L’association d’une CBP et d’une CSP est extrêmement rare. Il n’existe à ce jour pas de recommandation ou de consensus international pour définir le diagnostic de syndrome de chevauchement ; les définitions sont très hétérogènes dans les études disponibles. La pathogénie reste à ce jour débattue, et les avis d’experts divergent, pour savoir s’il s’agit de l’association de deux pathologies distinctes (HAI et CBP), d’une variante particulière d’une des deux pathologies (CBP à forme hépatitique), ou encore d’une pathologie à part entière (cholangite sclérosante auto-immune) (figure 1). La prévalence des syndromes de chevauchement reste faible et les études publiées portent sur de très faibles effectifs. Nous détaillerons les particularités des syndromes de chevauchement : CBP associée à une HAI (CBP+ HAI) et CSP associée à une HAI (CSP+ HAI).
Tableau 1 : Principales caractéristiques des maladies auto-immunes hépatiques (3, 10, 32)
| CBP | HAI | CSP | |
| Présentation | CHOLESTATIQUE Atteinte des petits canaux biliaires |
CYTOLYTIQUE Atteinte hépatocytaire |
CHOLESTATIQUE Atteinte des grosses voies biliaires |
| Démographie : – Age
– Sexe |
Age moyen : 62 ans Féminin > Masculin (9 :1) |
Age moyen : 54 ans Féminin > Masculin (3 :1) |
Age moyen : 44 ans Masculin = Féminin (1 :1) |
| MICI | Rare | Rare | MICI (80%) |
| Biologie | Cholestase : PAL et GGT
IgM |
Cytolyse : ASAT et ALAT
IgG |
Cholestase : PAL et et GGT
IgG (61%), IgM (45%) |
| Anticorps | Ac anti mitochondries
Ac anti nucléaires spécifiques : Anti gp210 et anti sp100 |
Type 1 :
Ac anti nucléaires Ac anti m lisses de type actine Ac anti SLA pANCA (50-96%) Type 2 (moins fréquent) : Ac anti LKM, Ac anti LC1 |
Ac anti nucléaires (8-77%) Ac anti m lisses (0-83%) pANCA (26-94%) |
| Cholangio IRM | Normale | Normale | Sténoses et dilatations multiples de l’arbre biliaire
Normale si CSP des petits canaux biliaires |
| Histologie | Lésions biliaires florides Granulomes péri biliaires Cholangite chronique Signes indirects de cholestase |
Hépatite d’interface Infiltrat lymphoplasmocytaire Activité nécroticoinflammatoire Rosette Emperipolèse |
cholangite fibro-oblitérante et fibrose concentrique péri-biliaire Réaction ductulaire Inflammation péri-biliaire |
Figure 1 : Syndrome de chevauchement : quelle représentation ?
Le syndrome de chevauchement : Cholangite biliaire primitive et hépatite auto-immune
Quand l’évoquer ? Quels critères diagnostiques ?
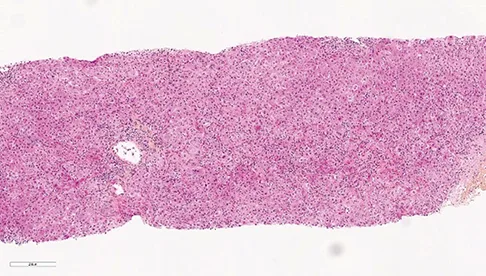
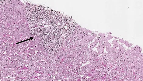
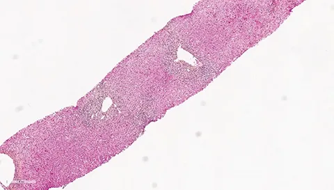
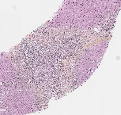
Les patients suivis pour une CBP peuvent présenter des degrés variables d’inflammation hépatique mais habituellement, dans la CBP, on retrouve très peu d’hépatite d’interface ou d’hépatite lobulaire. Environ 8 à 10 % des patients CBP vont présenter des lésions hépatiques faisant évoquer une HAI associée (1, 2). Le syndrome de chevauchement CBP+ HAI peut être présent d’emblée dès le diagnostic initial de la CBP dans 60 % des cas mais les patients CBP peuvent également, dans 30 % des cas, présenter une HAI dite secondaire apparaissant parfois plusieurs années après le diagnostic. Les patients HAI peuvent présenter dans 10 % des cas une CBP dite secondaire (figure 1) (3). Dans le cadre d’une CBP, une augmentation anormalement élevée des transaminases (> 5N) et des IgG (> 20 g/l) doit faire suspecter une HAI associée (4). Des anticorps anti- muscle lisse de spécificité anti-actine et des anticorps anti-ADN double-brin peuvent être présents dans 10 % des cas de CBP. Leur présence doit également faire suspecter l’existence d’un syndrome de chevauchement CBP+ HAI. Dans une étude s’intéressant aux anticorps anti-ADN double brin, ceux-ci étaient présents chez 60 % des patients CBP+ HAI, mais seulement chez 4 % des patients CBP et 26 % des patients HAI (p<0,0001 et 0,01 respectivement). La double positivité d’anticorps anti-ADN double brin et d’anticorps anti-mitochondries était présente chez 47 % des patients CBP+ HAI, mais seulement chez 2 % des pathologies contrôles (5). Dans une autre étude, la présence d’anticorps anti-ADN double brin, une augmentation des ALAT et des IgG étaient les trois facteurs significativement associés aux CBP+ HAI (6). De plus, chez les patients CBP non répondeurs à 12 mois à l’acide ursodésoxycholique (AUDC), une HAI doit être systématiquement recherchée. La présence d’un seul élément évocateur d’HAI n’est en revanche pas suffisant pour poser le diagnostic de syndrome de chevauchement. La réalisation d’une biopsie hépatique, en l’absence de contre-indication, est nécessaire pour confirmer le diagnostic de CBP+ HAI. La présence d’une hépatite d’interface et/ou d’une hépatite lobulaire, bien que non spécifiques, et son intensité permet de confirmer la présence d’une HAI. Le score histologique « modified HAI » (mHAI) développé par Ishak et al. permet de décrire l’activité hépatique inflammatoire et définit les indications de traitement (7, 8). Ce score décrit 4 catégories d’inflammation nécrotico-inflammatoire : l’hépatite d’interface périportale, la nécrose confluente, l’inflammation lobulaire et l’inflammation portale (figure 2). Un score mHAI> 4 est une indication de traitement immunosuppresseur. Les critères de Paris définis par Chazouillières et al. sont cependant les plus couramment utilisés et recommandés par la société européenne pour l’étude du foie (EASL) pour poser le diagnostic de syndrome de chevauchement CBP+ HAI. Ils reposent sur la présence d’au moins deux critères sur trois de CBP : PAL> 2N ou GGT> 5N ; anticorps anti mitochondries≥ 1/40 ; lésions biliaires florides à l’histologie et d’au moins deux critères sur trois d’HAI : ALAT> 5N ; IgG sériques> 2N ou présence d’anticorps anti muscle lisse ; une hépatite d’interface modérée à sévère en histologie (tableau 2, figure 2) (1). Dans une étude publiée en 2010, la sensibilité et la spécificité des critères de Paris pour diagnostiquer une CBP+ HAI étaient respectivement de 92 % et 97 % (9). Le score de Paris est un score différent de ceux utilisés pour faire le diagnostic de chaque pathologie propre CBP ou HAI. Le groupe de travail international de l’HAI ne recommande pas l’utilisation des scores diagnostiques habituels d’HAI (corrigés ou simplifiés) pour faire le diagnostic de CBP+ HAI du fait de leurs très faibles sensibilité et spécificité (9-12). L’objectif de poser un diagnostic de syndrome de chevauchement, et de manière précoce, est de pouvoir proposer un traitement adapté, notamment immunosuppresseur afin d’éviter la progression de la fibrose. Néanmoins, il est important de ne pas porter de diagnostic par excès afin d’éviter aux patients des effets secondaires d’une corticothérapie et/ou d’un traitement immunosuppresseur qui peuvent être sévères.
Chez les patients présentant une HAI, la présence isolée d’anticorps anti-mitochondries a été rapportée (13). Dans deux études, le suivi de patients HAI avec présence d’anticorps anti-mitochondries comparés aux patients HAI sans anticorps n’a pas démontré l’apparition de lésions biliaires faisant suspecter l’apparition d’une CBP ou une évolution différente de l’HAI (13, 14). Par contre, dans une récente étude multicentrique, les patients HAI avec anticorps anti-mitochondries (prévalence 5 %), avaient plus de risque de développer des lésions histologiques biliaires que les patients HAI sans anticorps. En présence de lésions biliaires à l’histologie, les patients HAI avec anticorps anti-mitochondries avaient plus de progression vers la cirrhose. Les patients HAI avec anticorps anti-mitochondries étaient comparables aux patients HAI+ CBP (15). La présence d’anticorps anti-mitochondries chez les patients HAI, doit donc faire rechercher un syndrome de chevauchement au diagnostic ou en cas de mauvaise réponse thérapeutique mais leur seule présence ne permet pas de poser le diagnostic de syndrome de chevauchement. Chez les patients HAI, une augmentation isolée des PAL, doit faire évoquer une cause osseuse et faire rechercher une ostéoporose chez ces patients traités par corticoïdes au long cours (16). En cas de suspicion de syndrome de chevauchement chez les patients CBP ou HAI un bilan complet doit être proposé : clinique, biologique, sérologique et histologique afin de confirmer le diagnostic et d’éliminer des diagnostics différentiels (MASH, hépatites virales, consommation excessive d’alcool, toxicité médicamenteuse). La biopsie hépatique est nécessaire et reste l’examen clé pour confirmer le diagnostic et le pronostic (stade de fibrose et ductopénie).
Tableau 2 : Critères diagnostiques des syndromes de chevauchement
| Pathologie | Critères : au moins 2 sur 3 |
| Hépatite auto immune (HAI) | – ALAT > 5 N – IgG > 2N ou Ac anti m. lisses ≥ 1/80 – Histologie : Hépatite d’interface modérée à sévère |
| Cholangite biliaire primitive (CBP) | – PAL > 2N ou GGT > 5N – Ac anti mitochondries ≥ 1/40 – Histologie : Lésions florides des canaux biliaires |
| Cholangite sclérosante primitive (CSP) | – PAL > 1,5N ou GGT > 3N – Anomalies cholangiographiques (CholangioIRM) ou cholangite fibreuse oblitérante en histologie – Association à une autre pathologie : MICI |
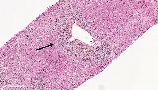
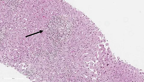
Figure 2 : Lésions histologiques biliaires évocatrices de CBP (A, B, C), lésions histologiques d’hépatite d’interface et d’hépatite lobulaire évocatrices d’HAI (D, E, F).
Histoire naturelle et pronostic
Du fait d’une prévalence faible du syndrome de chevauchement, les études rapportant l’évolution naturelle sont de petits effectifs avec des critères diagnostiques hétérogènes, aussi les données sont limitées voire parfois contradictoires. Les études rapportent un âge au diagnostic plus jeune chez les patients CBP+ HAI et une évolution plus rapide de la fibrose avec plus de complications de cirrhose et de décès de cause hépatique (8, 17-19). Dans une large et récente étude de registre américain ayant comparé 3 478 CBP+ HAI à 56 369 patients CBP et 82 747 HAI, les patients CBP+HAI étaient plus jeunes comparés aux patients CBP et pris en charge plus fréquemment dans des centres hospitaliers universitaires. Comparés aux patients CBP ou HAI, les patients CBP+ HAI présentait plus de cirrhose décompensée (d’hypertension portale, d’ascite, de rupture de varices œsophagiennes et de syndrome hépato rénal) et plus de choc septique lors des hospitalisations (20). Dans une autre étude, la survie sans évènement hépatique à 5 ans était de 58 % chez les patients CBP+ HAI vs. 81 % chez les patients CBP. En analyse multivariée, la bilirubine totale> 2,7N était associée à un mauvais pronostic avec un risque relatif de 8,39 de présenter un décès de cause hépatique, une transplantation ou une décompensation de la cirrhose (21). Les patients suivis pour un syndrome de chevauchement ont donc un moins bon pronostic comparé à ceux suivis pour une seule pathologie auto-immune.
Traitement et surveillance
Le traitement repose sur l’association du traitement de l’HAI (1re ligne : corticoïdes et azathioprine) et du traitement de la CBP (1re ligne : AUDC). Il est recommandé de commencer le traitement par celui de la pathologie « dominante ». Dans une étude ayant étudié 17 patients avec CBP+ HAI avec un long suivi de 7,5 ans, 3/11 des patients traités par AUDC seul ont présenté une réponse biochimique, vs. 6/6 des patients traités par une combinaison AUDC et traitement immunosuppresseur (traitement combiné). Parmi les patients traités par AUDC seul, 6/7 patients secondairement traités par un traitement combiné ont répondu. Seuls les patients traités par AUDC seul ont présentés une progression de leur fibrose (22). Dans une large étude internationale portant sur 88 patients avec CBP+ HAI dont 45 % étaient F3-F4 : 75 (85 %) ont présenté une rémission biochimique de la CBP et de l’HAI dont 19 (21 %) des patients ayant reçu de l’AUDC seul et 49 (56 %) ayant reçu une association d’AUDC et de traitement immunosuppresseur, et 7 (8 %) ayant reçu un traitement immunosuppresseur de deuxième ligne. La présence d’une hépatite d’interface sévère était associée à une moins bonne réponse à l’AUDC seul vs. le traitement combiné (14 vs. 71 %). La réponse au traitement était similaire (80 %) chez les patients ayant une hépatite d’interface modérée. Chez les patients traités par un traitement combiné, la présence d’une fibrose extensive était associée à une moins bonne réponse. Chez les patients non répondeurs à une association AUDC et traitement immunosuppresseur, un traitement immunosuppresseur de deuxième ligne a permis l’obtention d’une rémission chez 50 % des patients. Cette étude suggère qu’il est fortement recommandé de proposer un traitement combiné chez les patients avec hépatite d’interface sévère et qu’un traitement immunosuppresseur de deuxième ligne doit être proposé en l’absence de réponse biochimique. Une autre étude récente a également rapporté le bénéfice d’un traitement combiné chez les patients CBP avec hépatite d’interface même s’il ne répondait pas aux critères diagnostic de Paris. La survie sans transplantation hépatique (TH) des patients CBP avec hépatite d’interface traités par AUDC seul vs. des patients CBP+ HAI avec traitement combiné était significativement impactée (65 % vs. 87 %). En revanche, les résultats de deux métanalyses comparant un traitement par AUDC seul vs. un traitement combiné sont discordantes. Zhang et al. en 2015, ont rapporté une meilleure réponse biochimique, moins de progression de la fibrose et une meilleure survie sans TH dans le groupe traitement combiné vs. AUDC seul (23). Dans une métanalyse plus récente portant sur 349 patients, les patients dans le groupe traitement combiné ne présentaient pas plus de réponse biochimique que les patients sous AUDC seul suggérant que chez certains patients un traitement par AUDC seul pourrait être suffisant. Les critères de selection des patients à qui on pourrait proposer un traitement par AUDC seul restent à définir (24). Dans une étude portant sur un petit effectif de patients CBP+HAI avec cirrhose décompensée, le traitement combiné vs. AUDC seul a permis plus de réponse biochimique et une meilleure survie sans TH (25). Chez les patients CBP+ HAI avec cirrhose décompensée, les indications de transplantation hépatique (TH) sont identiques aux indications de TH des patients présentant une seule pathologie. Dans une récente étude portant sur le registre américain des patients TH (UNOS), les patients CBP+ HAI comparés aux patients HAI avait significativement une moins bonne survie du patient et du greffon avec plus de mortalité de cause respiratoire et de récidive de la maladie initiale sur le greffon (26). Dans une autre étude monocentrique canadienne, les patients TH pour CBP+ HAI présentaient plus de récidive sur le greffon, et dans un délai après TH plus court comparés aux patients TH pour une maladie auto-immune seule (27). Les objectifs du traitement du syndrome de chevauchement CBP+ HAI sont les mêmes que ceux définis pour la CBP (critères de Paris II à 12 mois de traitement : PAL< 1.5N, ASAT< 1.5N et bilirubine normale) et l’HAI seule (à 6 mois de traitement : ALAT, ASAT< N, IgG < N) (28, 29). Les patients doivent être surveillés tous les 6 mois avec un examen clinique et un bilan biologique. Le suivi de la fibrose par élastométrie doit être adapté à la fibrose initiale (annuelle en cas de fibrose avancée et de non réponse biochimique). Une non réponse au traitement doit faire recherche d’autres causes (sous dosage thérapeutique pour l’azathioprine avec dosage des 6TGN mais aussi toxicité de cette molécule avec dosage des dérivés méthylés, évaluation de l’observance, diagnostic différentiels, autres toxiques) et discuter d’un traitement de deuxième ligne. Les patients cirrhotiques doivent être surveillés par échographie tous les 6 mois pour le dépistage du CHC.
Chez les patients avec réponse biochimique complète, 90 % ont présenté une stabilité, voire une régression de la fibrose sur la biopsie hépatique de contrôle réalisée à distance. L’arrêt du traitement immunosuppresseur chez les patients en réponse biochimique complète, était paradoxalement associé à peu de récidive, puisque dans deux études 75 % et 100 % n’ont pas présenté de récidive au cours du suivi et ce de manière plus importante que les patients avec HAI seule (22, 30). Il est conseillé d’attendre au moins deux ans de rémission complète (IgG normales et transaminases normales) avant d’envisager un arrêt du traitement immunosuppresseur. Il est conseillé de réaliser une biopsie hépatique pour s’assurer de l’absence d’inflammation histologique avant l’arret du traitement. En cas de CBP+ HAI, il est neanmoins recommandé de maintenir un traitement par AUDC au long cours.
Syndrome de chevauchement : Cholangite sclérosante primitive et hépatite auto-immune
Quand l’évoquer ? Quels critères diagnostiques ?
La CSP est caractérisée par une cholestase symptomatique ou asymptomatique et est dans 80 % des cas associée à une MICI (tableau 1) (31). Le diagnostic de CSP est confirmé en cas d’anomalies des gros canaux biliaires de types dilatations et sténoses sur la cholangio-IRM. La réalisation d’une biopsie hépatique n’est plus recommandée systématiquement pour en confirmer le diagnostic (31). Chez les patients adultes suivis pour une CSP, 7 à 14 % vont présenter des lésions d’HAI au diagnostic ou au cours du suivi (10). Chez les adultes, le diagnostic de CSP+ HAI peut être fait de manière séquentielle avec typiquement l’HAI initiale, et l’apparition progressive d’une cholestase qui est résistante au traitement immunosuppresseur. Chez les patients présentant une CSP, l’HAI est plus rarement diagnostiquée secondairement (32). La suspicion d’un syndrome de chevauchement CSP+ HAI chez les patients CSP, repose sur l’augmentation anormalement élevée des transaminases (> 5N) et des IgG (> 20 g/L) avec ou sans anticorps anti-muscle lisse. La réalisation d’une biopsie hépatique permet de rechercher une hépatite d’interface et des lésions histologiques d’HAI permettant de confirmer le diagnostic (tableau 2) (33). De manière similaire à la CBP, chez les patients avec une CSP, la présence d’une hépatite d’interface modérée à sévère reste l’élément probablement le plus important pour confirmer le diagnostic de CSP+ HAI (34). Il n’existe à ce jour pas de score défini spécifiquement pour cette indication, et l’utilisation des scores développés pour le diagnostic d’HAI seule reste débattue et leur utilisation n’est pas recommandée (34). Il n’en reste pas moins important de faire le diagnostic de CSP+ HAI, puisqu’il a un impact thérapeutique pour le patient, avec une bonne réponse au traitement immunosuppresseur (35). Chez les patients HAI, la présence d’un prurit, d’une cholestase, d’anomalies biliaires à l’histologie, d’une mauvaise réponse au traitement immunosuppresseur et d’une MICI doit faire rechercher une CSP par la réalisation d’une cholangio-IRM (10). Chez les patients HAI adultes, il n’est en revanche pas recommandé de réaliser systématiquement une cholangio-IRM au diagnostic de HAI (36). Les patients suivis pour une CSP+ HAI présentent très fréquemment une MICI associée, et ce de manière plus importante que les patients avec HAI seule et de manière équivalente aux patients avec CSP seule. Chez les patients CSP+ HAI, la CSP est le plus souvent la pathologie dominante. Le pronostic et l’histoire naturelle est également le plus souvent en lien avec la CSP (10).
Chez l’enfant, la prévalence du syndrome de chevauchement CSP+ HAI est beaucoup plus fréquente (environ 50 %) et est aussi appelée cholangite sclérosante auto-immune. Il s’agit d’un variant de CSP inflammatoire qui répond au traitement immunosuppresseur (37-39). Du fait de sa forte prévalence et ce dès le diagnostic de CSP chez l’enfant, il est recommandé de rechercher des marqueurs d’auto-immunité (auto-anticorps et dosage des IgG sériques) et de réaliser une biopsie hépatique si ceux-ci sont positifs à la recherche de signes histologiques en faveur d’une HAI associée. Sauf dans les formes caricaturales, les critères diagnostiques de ces formes mixtes ne sont pas encore bien établis et les données histologiques avec la mise en évidence d’une hépatite d’interface d’intensité moyenne ou sévère sont indispensables. Chez l’enfant, il est également recommandé de réaliser systématiquement une cholangio-IRM lors du diagnostic de l’HAI à la recherche de lésions biliaires et de la répéter au cours du suivi (31). Au cours du suivi, une non-réponse au traitement immunosuppresseur doit également faire rechercher une CSP associée.
Histoire naturelle et pronostic
Comparés aux patients avec une CSP seule, les patients suivis pour une CSP+ HAI ont une meilleure survie globale et une meilleure réponse biochimique au traitement (40). En revanche leur survie est moins bonne que les patients avec une HAI seule ou que les patients CBP+ HAI (41). Dans une large étude multicentrique internationale ayant suivi 7 121 patients CSP, 1 696 (23,8 %) ont été transplantés et 920 (12,9 %) sont décédés avec un délai médian de 14,5 ans) dont 470 (6,6 %) CSP+ HAI. Le taux de survie sans TH était identique entre les deux groupes. Les patients CSP+ HAI présentaient en revanche moins de néoplasies que les patients avec une CSP seule (42). Cette étude remet en question le fait que les patients suivis pour une CSP+ HAI présentent une histoire naturelle plus favorable que les patients suivis pour une CSP seule, suggérant que la CSP évolue pour son propre compte, quel que soit le mode de présentation initial de la maladie, CSP+ HAI ou CSP.
Chez des enfants suivis pour une HAI, 20 % ont présenté au cours du suivi l’apparition d’une CSP, et 43 % des patients transplantés présentaient des lésions biliaires sur l’analyse histologique de l’explant. Les patients qui présentaient des lésions biliaires dans le suivi ont également développé une MICI pour la majorité d’entre eux (45). Le phénotype initial de la maladie auto-immune chez l’enfant peut donc évoluer dans le temps avec un fort impact sur le pronostic et la nécessité de TH. Dans une étude pédiatrique de cohorte avec 16 ans de suivi, la présence d’une CSP+ HAI comparés aux patients CSP n’était pas associée à une moins bonne survie (43). Dans une autre étude ayant suivi 781 enfants avec CSP dont 33 % CSP+ HAI, la présence d’un syndrome de chevauchement n’impactait pas le pronostic à long terme avec une survie sans évènement de 53 % à 10 ans (44). Chez les patients CSP+ HAI adulte ou enfant le pronostic est comparable aux patients CSP seule suggérant que le pronostic est en lien avec l’évolution de la CSP pour laquelle il n’y a à ce jour pas de traitement efficace.
Traitement et surveillance
Le traitement repose sur l’association du traitement de la CSP (AUDC à la posologie de 15-20 mg/kg) et du traitement de l’HAI (1re ligne : corticoïdes et azathioprine). Depuis 1996, 8 études rétrospectives de petits effectifs ont comparé les patients CSP traités par AUDC seul et CSP+ HAI avec un traitement combiné. La réponse biochimique chez les patients CSP+ HAI était supérieure à 70 % avec une amélioration histologique des paramètres inflammatoires. En revanche le traitement combiné n’avait aucune efficacité sur les lésions biliaires qui progressaient pour leur propre compte (35). Il n’y a à ce jour aucune étude contrôlée randomisée chez les patients CSP+ HAI. Le bénéfice du traitement immunosuppresseur a été largement rapporté pour la partie inflammatoire hépatique de l’HAI, mais aucun bénéfice en terme de survie n’a été rapporté pour l’AUDC dans la CSP, malgré une amélioration des paramètres biochimiques. La société européenne pour l’étude du foie recommande l’utilisation d’un traitement combiné AUDC associé à un traitement immunosuppresseur chez les patients CSP avec des lésions d’HAI (31). Les indications de TH sont identiques aux indications pour pathologie auto-immune seule. Les études après TH portant sur les syndromes de chevauchement sont très rares du fait d’une prévalence très faible (10 patients TH pour cette indication en 10 ans au Canada) et sont probablement difficiles à retrouver rétrospectivement puisque les patients sont étiquetés uniquement avec l’indication principale de TH (ex : angiocholites à répétition pour CSP). Dans une récente étude, les patients transplantés pour une CSP+ HAI présentaient plus souvent une MICI et plus de risque de décès en lien avec des infections du greffon (26). Les objectifs de traitement pour la CSP ne sont pas clairement définis : des objectifs raisonnables seraient donc un contrôle des symptômes (prurit), l’absence d’angiocholites, une bilirubine totale normale et des PAL< 1,5N qui sont associés à un meilleur pronostic sans TH (46). Les objectifs de traitement pour l’HAI ont été récemment définis par un panel d’expert avec une normalisation des transaminases et des IgG à 6 mois de traitement (29). La surveillance de la CSP+ HAI est celle à la fois de la CSP et de l’HAI comprenant un suivi tous les 6 mois avec un examen clinique et un bilan biologique simple et annuellement une imagerie hépatique (au mieux cholangio-IRM), une coloscopie annuelle en cas de MICI associée. Il est important de dépister une progression de la fibrose par une élastométrie hépatique tous les 1 à 2 ans et de dépister l’ostéoporose.
Références
- Chazouillères O, Wendum D, Serfaty L, Montembault S, Rosmorduc O, Poupon Primary biliary cirrhosis-autoimmune hepatitis overlap syndrome: clinical features and response to therapy. Hepatology. 1998;28:296–301.
- Heurgué A, Vitry F, Diebold M-D, Yaziji N, Bernard-Chabert B, Pennaforte J-L, et Overlap syndrome of primary biliary cirrhosis and autoimmune hepatitis: a retrospective study of 115 cases of autoimmune liver disease. Gastroentérologie Clinique et Biologique. 2007;31:17–25.
- Schulz L, Sebode M, Weidemann SA, Lohse Variant syndromes of primary biliary cholangitis. Best Pract Res Clin Gastroenterol. 2018;34– 35:55–61.
- Cholangite Biliaire Primitive [Internet]. Haute Autorité de Santé. [cited 2024 Dec 15];Available from: https://www.has-sante.fr/ jcms/p_3300344/fr/cholangite-biliaire-primitive
- Muratori P, Granito A, Pappas G, Pendino GM, Quarneti C, Cicola R, et al. The serological profile of the autoimmune hepatitis/primary biliary cirrhosis overlap syndrome. Am J Gastroenterol. 2009;104:1420–1425.
- Nguyen HH, Shaheen AA, Baeza N, Lytvyak E, Urbanski SJ, Mason AL, et Evaluation of classical and novel autoantibodies for the diagnosis of Primary Biliary Cholangitis-Autoimmune Hepatitis Overlap Syndrome (PBC-AIH OS). PLoS One. 2018;13:e0193960.
- Ishak K, Baptista A, Bianchi L, Callea F, De Groote J, Gudat F, et al. Histological grading and staging of chronic J Hepatol. 1995;22:696–699.
- EASL Clinical Practice Guidelines: Autoimmune Journal of Hepatology. 2015;63:971–1004.
- Kuiper EMM, Zondervan PE, van Buuren Paris criteria are effective in diagnosis of primary biliary cirrhosis and autoimmune hepatitis overlap syndrome. Clin Gastroenterol Hepatol. 2010;8:530–534.
- Boberg KM, Chapman RW, Hirschfield GM, Lohse AW, Manns MP, Schrumpf E, et Overlap syndromes: the International Autoimmune Hepatitis Group (IAIHG) position statement on a controversial issue. J Hepatol. 2011;54:374–385.
- Hennes EM, Zeniya M, Czaja AJ, Parés A, Dalekos GN, Krawitt EL, et Simplified criteria for the diagnosis of autoimmune hepatitis. Hepatology. 2008;48:169–176.
- Gatselis NK, Zachou K, Papamichalis P, Koukoulis GK, Gabeta S, Dalekos GN, et Comparison of simplified score with the revised original score for the diagnosis of autoimmune hepatitis: A new or a complementary diagnostic score? Digestive and Liver Disease. 2010;42:807–812.
- O’Brien C, Joshi S, Feld JJ, Guindi M, Dienes HP, Heathcote Long-term follow-up of antimitochondrial antibody-positive autoimmune hepatitis. Hepatology. 2008;48:550–556.
- Muratori P, Efe C, Muratori L, Ozaslan E, Schiano T, Yoshida EM, et al. Clinical implications of antimitochondrial antibody seropositivity in autoimmune hepatitis: a multicentre study. Eur J Gastroenterol Hepatol. 2017;29:777–780.
- Gatselis NK, Zachou K, Loza AJM, Cançado ELR, Arinaga-Hino T, Muratori P, et Prevalence and significance of antimitochondrial antibodies in autoimmune hepatitis (AIH): Results from a large multicentre study of the International AIH Group. Eur J Intern Med. 2023;116:43–50.
- Haute Autorité de Santé – Hépatite Auto-Immunes (HAI) [Internet]. [cited 2024 Dec 24];Available from: https://www.has-sante.fr/ jcms/p_3291664/fr/hepatite-auto-immunes-hai
- Neuhauser M, Bjornsson E, Treeprasertsuk S, Enders F, Silveira M, Talwalkar J, et al. Autoimmune Hepatitis–PBC Overlap Syndrome: A Simplified Scoring System May Assist in the Official journal of the American College of Gastroenterology | ACG. 2010;105:345.
- Park Y, Cho Y, Cho EJ, Kim Retrospective analysis of autoimmune hepatitis-primary biliary cirrhosis overlap syndrome in Korea: characteristics, treatments, and outcomes. Clin Mol Hepatol. 2015;21:150–157.
- European Association for the Study of the Electronic address: [email protected], European Association for the Study of the Liver. EASL Clinical Practice Guidelines: The diagnosis and management of patients with primary biliary cholangitis. J Hepatol. 2017;67:145–172.
- Jiang Y, Xu B-H, Rodgers B, Pyrsopoulos Characteristics and Inpatient Outcomes of Primary Biliary Cholangitis and Autoimmune Hepatitis Overlap Syndrome. J Clin Transl Hepatol. 2021;9:392–398.
- Yang F, Wang Q, Wang Z, Miao Q, Xiao X, Tang R, et al. The Natural History and Prognosis of Primary Biliary Cirrhosis with Clinical Features of Autoimmune Hepatitis. Clin Rev Allergy Immunol. 2016;50:114–123.
- Chazouillères O, Wendum D, Serfaty L, Rosmorduc O, Poupon Long term outcome and response to therapy of primary biliary cirrhosis- autoimmune hepatitis overlap syndrome. J Hepatol. 2006;44:400–406.
- Zhang H, Li S, Yang J, Zheng Y, Wang J, Lu W, et al. A meta-analysis of ursodeoxycholic acid therapy versus combination therapy with corticosteroids for PBC-AIH-overlap syndrome: evidence from 97 monotherapy and 117 Prz Gastroenterol. 2015;10:148–155.
- Freedman BL, Danford CJ, Patwardhan V, Bonder Treatment of Overlap Syndromes in Autoimmune Liver Disease: A Systematic Review and Meta-Analysis. J Clin Med. 2020;9:1449.
- Fan X, Zhu Y, Men R, Wen M, Shen Y, Lu C, et Efficacy and Safety of Immunosuppressive Therapy for PBC-AIH Overlap Syndrome Accompanied by Decompensated Cirrhosis: A Real-World Study. Can J Gastroenterol Hepatol. 2018;2018:1965492.
- Lee DU, Ponder R, Lee K, Menegas S, Fan GH, Chou H, et The differences in post-liver transplant outcomes of patients with autoimmune hepatitis who present with overlapping autoimmune liver diseases. Hepatol Int. 2023;17:720–734.
- Bhanji RA, Mason AL, Girgis S, Montano-Loza Liver transplantation for overlap syndromes of autoimmune liver diseases. Liver Int. 2013;33:210–219.
- Corpechot C, Abenavoli L, Rabahi N, Chrétien Y, Andréani T, Johanet C, et al. Biochemical response to ursodeoxycholic acid and long-term prognosis in primary biliary cirrhosis. Hepatology. 2008;48:871–877.
- Pape S, Snijders RJALM, Gevers TJG, Chazouilleres O, Dalekos GN, Hirschfield GM, et al. Systematic review of response criteria and endpoints in autoimmune hepatitis by the International Autoimmune Hepatitis Group. J Hepatol. 2022;76:841–849.
- Ozaslan E, Efe C, Heurgué-Berlot A, Kav T, Masi C, Purnak T, et al. Factors associated with response to therapy and outcome of patients with primary biliary cirrhosis with features of autoimmune hepatitis. Clin Gastroenterol Hepatol. 2014;12:863–869.
- European Association for the Study of the EASL Clinical Practice Guidelines on sclerosing cholangitis. J Hepatol. 2022;77:761–806.
- Chazouillères Overlap Syndromes. Dig Dis. 2015;33 Suppl 2:181–187.
- Haute Autorité de Santé – Cholangite Sclérosante Primitive [Internet]. [cited 2024 Dec 19];Available from: https://www.has-sante.fr/ jcms/p_3392249/fr/cholangite-sclerosante-primitive
- Chazouillères Diagnosis of primary sclerosing cholangitis – autoimmune hepatitis overlap syndrome: to score or not to score? Journal of Hepatology. 2000;33:661–663.
- Ricciuto A, Kamath BM, Hirschfield GM, Trivedi Primary sclerosing cholangitis and overlap features of autoimmune hepatitis: A coming of age or an age-ist problem? J Hepatol. 2023;79:567–575.
- Lewin M, Vilgrain V, Ozenne V, Lemoine M, Wendum D, Paradis V, et Prevalence of sclerosing cholangitis in adults with autoimmune hepatitis: a prospective magnetic resonance imaging and histological study. Hepatology. 2009;50:528–537.
- Gregorio GV, Portmann B, Karani J, Harrison P, Donaldson PT, Vergani D, et Autoimmune hepatitis/sclerosing cholangitis overlap syndrome in childhood: a 16-year prospective study. Hepatology. 2001;33:544–553.
- Mieli-Vergani G, Vergani D, Baumann U, Czubkowski P, Debray D, Dezsofi A, et Diagnosis and Management of Pediatric Autoimmune Liver Disease: ESPGHAN Hepatology Committee Position Statement. J Pediatr Gastroenterol Nutr. 2018;66:345–360.
- Abdalian R, Dhar P, Jhaveri K, Haider M, Guindi M, Heathcote Prevalence of sclerosing cholangitis in adults with autoimmune hepatitis: evaluating the role of routine magnetic resonance imaging. Hepatology. 2008;47:949–957.
- Floreani A, Rizzotto ER, Ferrara F, Carderi I, Caroli D, Blasone L, et Clinical Course and Outcome of Autoimmune Hepatitis/Primary Sclerosing Cholangitis Overlap Syndrome. Official journal of the American College of Gastroenterology | ACG. 2005;100:1516.
- Al-Chalabi T, Portmann BC, Bernal W, McFarlane IG, Heneghan Autoimmune hepatitis overlap syndromes: an evaluation of treatment response, long-term outcome and survival. Aliment Pharmacol Ther. 2008;28:209–220.
- Weismüller TJ, Trivedi PJ, Bergquist A, Imam M, Lenzen H, Ponsioen CY, et Patient Age, Sex, and Inflammatory Bowel Disease Phenotype Associate With Course of Primary Sclerosing Cholangitis. Gastroenterology. 2017;152:1975-1984.e8.
- Feldstein AE, Perrault J, El-Youssif M, Lindor KD, Freese DK, Angulo Primary sclerosing cholangitis in children: a long-term follow-up study. Hepatology. 2003;38:210–217.
- Deneau MR, El-Matary W, Valentino PL, Abdou R, Alqoaer K, Amin M, et The natural history of primary sclerosing cholangitis in 781 children: A multicenter, international collaboration. Hepatology. 2017;66:518–527.
- Warner S, Rajanayagam J, Russell E, Lloyd C, Ferguson J, Kelly DA, et Biliary disease progression in childhood onset autoimmune liver disease: A 30-year follow-up into adulthood. JHEP Rep. 2024;6:100901.
- Al Mamari S, Djordjevic J, Halliday JS, Chapman Improvement of serum alkaline phosphatase to <1.5 upper limit of normal predicts better outcome and reduced risk of cholangiocarcinoma in primary sclerosing cholangitis. J Hepatol. 2013;58:329–334.
FMC HGE : Organisme certifié Qualiopi pour la catégorie ACTIONS DE FORMATION

