Intelligence artificielle (IA) et endoscopie : état actuel et perspectives

Objectifs pédagogiques

  • Connaître les applications actuelles de l’IA
  • Connaître le bénéfice et les limites en pratique clinique
  • Connaître les perspectives (amélioration de la qualité des images, automatisation de comptes rendus, réalité augmentée…)
  • Connaître les enjeux éthiques et médico-légaux de l’utilisation de l’IA

Les points forts

  1. L’intelligence artificielle (IA) améliore la détection des polypes coliques et augmente de plus de 8 % le taux de détection des adénomes (TDA), notamment pour les « polypes diminutifs ».
  2. Les systèmes de caractérisation (CADx) sont associés à une prédiction histologique fiable avec une VPN≥ 90 % au niveau du rectosigmoïde permettant d’envisager la stratégie de « diagnose-and-leave ».
  3. Lors de l’examen du grêle par vidéocapsule, les performances de l’IA pour la détection des lésions rares et sévères (tumeurs) ne sont pas connues, justifiant une lecture complète du film. Pour les lésions les plus fréquentes (vasculaires), l’IA améliore la détection et réduit fortement le temps de lecture.
  4. L’IA pourrait permettre à l’avenir une évaluation automatisée de la cicatrisation muqueuse et une prédiction du risque de rechute dans la RCH
  5. L’IA médicale est encadrée sur le plan éthique et réglementaire par l’AI Act (2024). La réglementation européenne impose une supervision humaine pour toutes les IA à haut risque médical. La décision est laissée au médecin.

Vidéo

I’m visible only if js is disabled

LIENS D’INTÉRÊT

Fujifilm ; Olympus ; Ambu ; Norgine ; AMGEN

MOTS-CLÉS

Intelligence artificielle ; Endoscopie ; CADe ; CADx ; AI Act européen.

ABRÉVIATIONS

IA : Intelligence Artificielle
CADe : Computer-Aided Detection CADx : Computer-Aided Diagnosis TDA : Taux de Détection des Adénomes
APC : Nombre d’adénomes par coloscopie TAM : Taux d’adénomes manqués
VPN / VPP : Valeur Prédictive Négative / Positive VCE : Vidéo-Capsule Endoscopique
RCH : Rectocolite Hémorragique EBO : Endobrachyœsophage
MICI : Maladies Inflammatoires Chroniques de l’Intestin
AI Act : Règlement européen sur l’Intelligence Artificielle (2024)
PIVI (ASGE) : Preservation and Incorporation of Valuable endoscopic Innovations

Introduction


L’intelligence artificielle (IA) fait rentrer la pratique de la médecine dans une nouvelle ère. L’endoscopie digestive n’échappe pas à cette mutation, offrant de nouvelles possibilités de détection et d’analyse en temps réel. Les algorithmes d’IA sont aujourd’hui capables de détecter automatiquement des anomalies muqueuses (Computer-Aided Detection, CADe), d’en prédire la nature histologique (Computer-Aided Diagnosis, CADx), et d’évaluer certains critères de qualité procédurale. En routine clinique, ces outils offrent un soutien décisionnel utile, en particulier pour les endoscopistes en formation ou exerçant hors des centres experts.

L’émergence récente des modèles de langage de grande taille (Large Language Models, LLM), fondés sur des architectures de type « transformers », a élargi encore le champ des applications de l’IA en santé, notamment en matière de documentation automatisée, d’interfaces homme-machine et d’aide à la synthèse clinique. En 2023, on estimait que plus de 100 millions d’utilisateurs dans le monde avaient recours chaque semaine à des systèmes d’IA générative, avec une adoption croissante y compris parmi les professionnels de santé.

En endoscopie digestive, les perspectives ouvertes par ces technologies sont vastes. Elles concernent l’ensemble du tractus digestif (œsophage, estomac, intestin grêle, côlon), et touchent aussi bien à la détection des lésions précoces qu’à leur caractérisation, aux scores des maladies inflammatoires chroniques, à l’assistance à la lecture de la vidéocapsule, ou encore à l’optimisation des prises de décisions thérapeutiques. Dans ce contexte, la Société Européenne d’Endoscopie Digestive (ESGE) a publié dès 2022 une position officielle soulignant les bénéfices attendus de l’IA en endoscopie, tout en appelant à une intégration encadrée et scientifiquement validée (1)1. Toutefois, les promesses de l’IA doivent s’accompagner d’un encadrement rigoureux. L’accès aux données de santé, la standardisation des bases d’entraînement, la validation multicentrique, la compréhension des algorithmes, la responsabilité médico-légale, et la protection des données personnelles constituent autant de défis à relever. L’adoption en 2024 de l’AI Act européen, qui classe les systèmes d’IA selon leur niveau de risque et impose une supervision humaine pour les usages médicaux à haut risque, marque une étape décisive vers une gouvernance plus éthique et plus transparente de l’IA en santé.
Cette mise au point vise à analyser de manière didactique l’état actuel des technologies d’IA en endoscopie digestive, leurs performances rapportées dans la littérature, leurs bénéfices potentiels, ainsi que leurs limites et les perspectives à court et moyen terme dans la pratique clinique.

Les applications actuelles de l’IA

Détection assistée par IA des polypes colorectaux : impact sur la prévention du cancer colorectal ?

La coloscopie constitue l’examen de référence pour la prévention du cancer colorectal, en grande partie grâce à la détection et la résection des polypes adénomateux/festonnés (2). Le taux de détection d’adénomes (TDA), défini comme la proportion de patients chez lesquels au moins un adénome est identifié au cours de l’examen, est un indicateur de qualité fondamental. Un TDA élevé est fortement corrélé à une réduction du risque de cancer d’intervalle (3).

Malgré les progrès réalisés, une proportion non négligeable de lésions échappe encore à la détection. On estime qu’environ 26 % des adénomes et 27 % des lésions sessiles festonnées sont manqués lors des coloscopies, en raison de facteurs anatomiques (localisation proximale, pli muqueux),
morphologiques (petite taille, lésion plane) ou humains (fatigue, variabilité inter-opérateur) (4). Ces limites ont motivé le développement de systèmes de détection assistée par ordinateur (Computer-Aided Detection, CADe), conçus pour analyser en temps réel le flux vidéo endoscopique et signaler visuellement les zones suspectes à l’opérateur.

Plusieurs dispositifs de CADe ont obtenu une autorisation de mise sur le marché ces dernières années et sont désormais disponibles dans de nombreux centres endoscopiques européens et nord-américains. Leur efficacité a été évaluée dans de multiples essais cliniques randomisés. Une méta-analyse publiée en 2023, incluant 21 essais contrôlés randomisés, a montré une amélioration significative du TDA avec l’utilisation du CADe (44,0 % vs. 35,9 % ; RR 1,24 ; IC95 % 1,16-1,33) (5). Une autre méta-analyse recensant 20 études rapportait une augmentation absolue moyenne du TDA de 8,1 % (6). Ces résultats suggèrent un potentiel réel d’amélioration de la prévention du cancer colorectal via l’IA (7).

Le bénéfice du CADe se concentre principalement sur les adénomes de petite taille, en particulier les lésions polypoïdes de moins de 5 mm (en anglais «diminutive polyp»). En revanche, l’apport reste limité pour les lésions sessiles festonnées, souvent planes et localisées dans le côlon droit
(8). Le gain sur la détection des néoplasies avancées est plus modeste, avec une différence absolue de seulement 0,01 par coloscopie (8). De plus, l’utilisation des systèmes CADe est associée à certaines limites : notamment une augmentation du nombre de polypes non néoplasiques réséqués (0,52 vs. 0,34 par coloscopie) et un allongement moyen du temps de retrait d’environ une minute (8). Ainsi, pour 10 coloscopies assistées, environ 2 résections supplémentaires non justifiées peuvent être réalisées, soulevant des questions en termes de pertinence clinique et de consommation de ressources (8).

Les premiers essais contrôlés randomisés (RCT) menés dans des centres académiques ont rapporté un impact significatif du CADe sur l’amélioration du taux de détection d’adénomes (TDA). Ce bénéfice, bien que légèrement atténué, a été confirmé dans des contextes de pratique courante, y compris en centres non universitaires, comme le montrent les résultats de l’étude de Karsenti et al (9). Néanmoins, les données issues de la vie réelle apportent des nuances importantes à ces résultats. Dans une étude récente, on observe une baisse significative du TDA après une période d’exposition au CADe (28,4 % à 22,4 % ; p= 0,01) (10). Ce constat soulève la question d’une dépendance cognitive vis-à-vis de l’IA, avec un risque de relâchement de vigilance.

Enfin, l’impact du CADe sur la réduction effective du risque de cancer colorectal d’intervalle demeure incertain. Une étude de modélisation en population a évalué ce bénéfice potentiel à l’échelle d’un programme de dépistage national. Les auteurs rapportent une réduction absolue marginale du risque de cancer d’intervalle de seulement 0,11 % avec l’utilisation du CADe (11). Toutefois, cette technologie pourrait s’avérer coût-efficace dans le cadre du dépistage organisé. Extrapolé à l’échelle des États-Unis, l’implémentation du CADe en coloscopie de dépistage permettrait d’éviter chaque année environ 7 200 cas de cancer colorectal et 2 100 décès associés, tout en générant une économie annuelle estimée à 290 millions de dollars (7). Ces résultats suggèrent que, malgré un impact modeste sur les cancers d’intervalle à l’échelle individuelle, le recours au CADe pourrait avoir un bénéfice populationnel, tant en termes de santé publique que d’efficience économique.

En résumé, les systèmes de détection assistée par IA permettent une amélioration documentée du TDA, en particulier pour les adénomes non avancés de petite taille (tableau 1). Néanmoins, leur impact sur la prévention des cancers avancés reste limité, et leur intégration en pratique clinique doit s’accompagner d’une évaluation critique continue afin d’éviter une dérive vers le surdiagnostic ou le désengagement cognitif des opérateurs.

Auteur
(Année)
RevuePays / Type d’étudeCentresEffectif (N)Critère principalRésultat principalCommentaire
Glissen-Brown (2022)Clin Gastroenterol HepatolÉtats-Unis – étude en tandemMulti-centrique223TAM20,1 % vs 31,3 %; p = 0,0247Diminution significative du taux d’adénomes manqués.
Wallace (2022)Gastro-enterologyInternational – étude en tandemMulti-centrique230TAM15,5 % vs 32,4 %; p < 0,001Confirmation multicentrique internationale.
Shaukat (2022)Gastro-enterologyÉtats-Unis – essai contrôléMulti-centrique1359APC1,05 vs 0,83; p = 0,002Augmentation du nombre d’adénomes par coloscopie.
Rondonotti (2022)EndoscopyItalie – essai contrôléMulti-centrique800TDA53,6 % vs 45,3 %; RR 1,18 [1,03–1,36]Gain relatif de 18 % du taux de détection.
Gimeno-García (2023)Gastrointest EndoscEspagne – essai contrôléMono-centrique370TDA55,1 % vs 43,8 %; p = 0,029Étude européenne confirmant l’effet du CADe.
Wei (2023)Am J GastroenterolÉtats-Unis – essai contrôléMulti-centrique769APC0,73 vs 0,67; p = 0,496 (NS)Résultat non significatif ; haut niveau d’expérience opérateur.
Karsenti (2023)Lancet Gastroenterol HepatolFrance – essai contrôléMono-centrique2015TDA37,5 % vs 33,7 %; p = 0,051Tendance favorable ; étude la plus large en France.
Xu (2023)Clin Gastroenterol HepatolChine – essai contrôléMulti-centrique3059TDA39,2 % vs 32,4 %; p < 0,001Très large cohorte multicentrique ; gain absolu de 6,8 %.
Seager (2024)Lancet Gastroenterol HepatolRoyaume-Uni – essai contrôléMulti-centrique2032APC1,56 vs 1,21; p < 0,0001Première validation britannique multicentrique du CADe.
Lau (2024)GutInternational – essai contrôléMulti-centrique660TDA53,3 % vs 44,5 %; p < 0,01Confirmation internationale ; gain absolu 8,8 %.
Yao (2024)Gastrointest EndoscChine – étude en tandemMulti-centrique685TAM18,8 % vs 43,7 %; p < 0,001Réduction majeure du taux d’adénomes manqués avec IA.
Tableau 1 : Principaux essais randomisés (≥ 2022) évaluant la détection assistée par IA (CADe) des polypes colorectaux
Abréviations : TDA = taux de détection des adénomes ; APC = nombre d’adénomes par coloscopie ; TAM = taux d’adénomes manqués.
 

La question centrale reste posée : l’IA peut-elle, au-delà de l’augmentation du TDA, réellement réduire la mortalité liée au cancer colorectal ?
Les données disponibles à ce jour n’apportent pas encore de réponse définitive. Cependant l’IA ne peut détecter que les lésions présentes sur la muqueuse effectivement exposée par l’opérateur(rice), rappelant que l’impact réel sur le CCR dépend avant tout de la qualité de la coloscopie et de la proportion de muqueuse correctement vue.

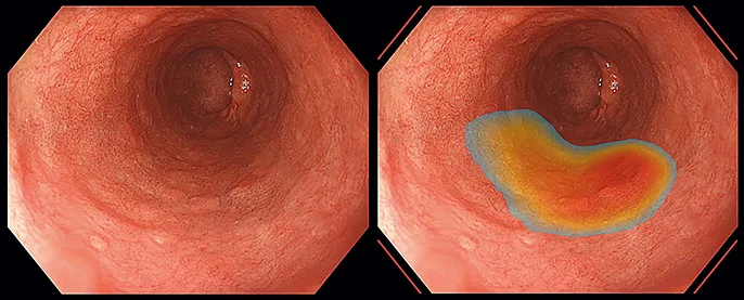
A, Image avec CAD EYE ; B, image avec ENDO-AID.
A, Image avec CAD EYE ; B, image avec ENDO-AID.

Caractérisation optique des polypes colorectaux : apport des systèmes CADx

À ce jour, la pratique standard en endoscopie colorectale repose sur la résection systématique des polypes détectés, suivie de leur analyse anatomopathologique. Cette stratégie, bien que sécuritaire, engendre un coût économique, écologique et organisationnel considérable, en grande partie lié au traitement histologique de lésions à faible potentiel malin. Dans cette perspective, des approches dites d’épargne histologique, basées sur le diagnostic optique en temps réel, ont été proposées.

Deux stratégies principales ont émergé :
• La stratégie «diagnose-and-leave», qui consiste à laisser en place les polypes rectosigmoïdiens de moins de 5 mm jugés non néoplasiques.
• La stratégie «resect-and-discard», qui vise à réséquer les polypes colorectaux de moins de 5 mm jugés néoplasiques, sans les adresser à l’anatomopathologie, et en déterminant l’intervalle de surveillance de la coloscopie en se basant uniquement sur la caractérisation endoscopique des polypes.

Ces approches sont encadrées par les critères PIVI de l’ASGE, qui fixent des seuils de qualité stricts pour leur mise en œuvre : une valeur prédictive négative (VPN)≥ 90 % concernant la stratégie du «diagnose-and-leave» et une concordance d’intervalle de surveillance≥ 90 % pour la stratégie «resect-and-discard».

Cependant, leur mise en œuvre reste limitée en pratique courante. Peu d’endoscopistes atteignent les seuils requis de performance en diagnostic optique, en raison d’un manque de formation, d’hétérogénéité inter-opérateur, et d’une crainte médico-légale en cas de diagnostic erroné (14).

Dans ce contexte, des systèmes d’IA dédiés à la caractérisation histologique des polypes (CADx) ont été développés, avec pour objectif d’assister les endoscopistes par une classification standardisée des polypes en lésions néoplasiques (Incluant les adénomes et les cancers) ou hyperplasique (incluant les polypes hyperplasiques, et les polypes festonnés, etc.). Pour l’instant les dispositifs d’IA ne permettent pas de distinguer les polypes hyperplasiques, des polypes festonnées et les adénomes des cancers. Ces outils visent à renforcer l’objectivité et la reproductibilité du diagnostic optique. Le CADx reste un soutien décisionnel, sans se substituer à la responsabilité médicale.

Les performances du CADx ont d’abord été évaluées dans des études rétrospectives, sur images ou vidéos. Plusieurs essais in vivo ont suivi, avec des résultats variables. Dans une étude comparative menée par Hassan et al., les systèmes GI Genius et CAD-EYE ont été testés pour la caractérisation de polypes< 5 mm du rectosigmoïde. Les performances rapportées étaient prometteuses : VPN de 97,7 % et 97,0 %, spécificité de 94,9 % et 92,4 %, et sensibilité de 81,8 % et 86,4 % respectivement, atteignant ainsi les critères requis pour la stratégie «diagnose-and-leave» (15). Une méta-analyse récente a compilé les résultats de 11 études cliniques totalisant 7 782 polypes coliques≤ 10 mm (16). Les auteurs rapportaient une sensibilité globale de 88 %, avec des performances similaires entre côlon distal et proximal. Cependant, la spécificité était significativement plus faible dans le côlon proximal (62 % vs. 85 %), conduisant à une VPN réduite (64 % vs. 93 %) et à une exactitude globale moindre (81 % vs. 86 %) (16). Ces résultats mettent en lumière les limites de performance du CADx dans les segments proximaux, probablement liées à des caractéristiques morphologiques moins typiques et à une moindre représentation de ces polypes dans les bases d’apprentissage.

Par ailleurs, l’analyse comparative des performances montre que les bénéfices du CADx sont plus marqués chez les opérateurs non experts, et que les performances optimales sont obtenues lorsque l’IA est utilisée en appui du jugement humain, plutôt qu’en mode autonome. Enfin, une limite importante des systèmes CADx actuellement disponibles est l’absence de classe spécifique pour les lésions sessiles festonnées (LSF). En somme, si les systèmes CADx constituent une avancée prometteuse pour favoriser une stratégie d’épargne histologique raisonnée et sécurisée, leur utilisation doit être contextualisée, validée localement, et accompagnée d’une formation des utilisateurs. Le tableau 2 résume les principales publications sur le CADx, et le tableau 3 les différentes solutions de CADe/CADx actuellement disponibles.

Auteur (année)RevuePays / Type d’étudeEffectif (polypes)Sensibilité(%)Spécificité(%)Précision(%)Précision(%)
García-Rodríguez (2022)Endosc Int OpenEspagne (monocentrique)9091,357,183,366
Hassan (2022)Clin Gastroenterol HepatolItalie (multicentrique)544 (295 PDRS)8293,287,897,6
Minegishi (2022)GastroenterologyJapon (multicentrique, temps réel)465 (395 PDRS)95,27685,794
Dos Santos (2023)Saudi J GastroenterolBrésil (monocentrique)11076,396,781,860,4
Houwen (2023)EndoscopyPays-Bas, Espagne (multicentrique)42389,491,784,478,8
Baumer (2023)Endosc Int OpenAllemagne (monocentrique)262 (≤10 mm)89,775,384,481,1
Li (2023)Am J GastroenterolSingapour (4 centres)661 (188 DRSP)61,887,471,680,6
Rondonotti (2023)EndoscopyItalie (multicentrique)1031 (596 DRSP)81,988,785,886,7
Rondonotti (2024)Endosc Int OpenItalie (multicentrique)480 (PCD)9738,180,583,3
Djinbachian (2024)GastroenterologyCanada (2 centres)33784,864,477,292,6
Tableau 2 : Principaux essais prospectifs évaluant la performance des systèmes d’intelligence artificielle (IA) pour la caractérisa-tion optique (CADx) des polypes colorectaux
* Précision = (vrai positif + vrai négatif) / total.
** Valeur conforme aux critères PIVI (ASGE) pour la stratégie leave-in-situ (VPN ≥ 90 % pour les PDRS).
Abréviations : PDRS = polype diminutif du rectosigmoïde ; DRSP = diminutive right-sided polyp ; PCD = polype colique diminutif ; VPN = valeur prédictive négative.
Nom du moduleMarque / FabricantIndication (tube haut/bas ; fonction)CompatibilitéNiveau AI Act
GI Genius™Medtronic / Cosmo PharmaceuticalsBas (CADe et prochainement CADx)Multi-marqueHaut risque
ENDO-AID CADe / OLYSENSEOlympusBas (CADe) Prochainement CADx, EBO & RCH)Mono-marque (système EVIS X1) – Prochainement systeme Cloud – OLYSENSEHaut risque
CAD EYE™FUJIFILMBas (CADe + CADx)Mono-marque (système ELUXEO)Haut risque
DISCOVERY™PENTAX Medical (HOYA)Bas (CADe)Mono-marque (intégration PENTAX)Haut risque
WISE VISION® EndoscopyNEC CorporationBas (CADe)Multi-marqueHaut risque
PolypAId™ SystemAugere MedicalBas (coloscopie) ; CADeMulti-marqueHaut risque
Tableau 3 : Modules d’intelligence artificielle (IA) marqués CE disponibles en endoscopie digestive
Abréviations : CADe = computer-aided detection ; CADx = computer-aided diagnosis/characterization ; CE = Conformité Européenne.

Applications dans l’intestin grêle

La vidéocapsule endoscopique (VCE) est aujourd’hui l’examen de référence pour l’étude de la muqueuse de l’intestin grêle, notamment en cas de saignement digestif inexpliqué ou pour la détection de lésions spécifiques telles que les ulcères, polypes ou tumeurs. L’interprétation des enregistrements reste toutefois fastidieuse, nécessitant un temps de lecture important et une vigilance prolongée.

L’intelligence artificielle appliquée à la VCE se distingue des approches classiques du CADe/CADx en supprimant la majorité des images non pertinentes avant relecture humaine. Ce fonctionnement, implique une sensibilité quasi absolue pour garantir la sécurité diagnostique (Pour rappel le médecin est responsable de l’interprétation et l’IA n’est qu’une aide). Un point de prudence s’impose : à ce jour, l’IA est principalement performante pour les lésions fréquentes, tandis que ses performances pour le dépistage des lésions rares, telles que les tumeurs, restent à établir.

Une méta-analyse incluant 14 études a montré que l’IA présente une sensibilité supérieure à la lecture conventionnelle (92,4 % vs. 86,0 %), mais une spécificité plus faible (53,7 % vs. 99,8 %), ce qui suggère un risque accru de faux positifs, mais une meilleure capacité à ne pas manquer de lésions (17). Bien qu’une telle sensibilité puisse théoriquement générer un excès d’images à vérifier, Aoki et al. ont montré que le temps de lecture était significativement réduit grâce à cette technologie, sans diminution du taux de détection. Plus récemment, une étude prospective multicentrique
européenne (14 centres, n= 133) a validé l’intérêt de l’IA dans la recherche de saignement de l’intestin grêle. Les auteurs rapportent une amélioration du rendement diagnostique pour les lésions à imputabilité intermédiaire à forte (73,7 % vs. 62,4 %, p= 0,02), une augmentation du taux de détection par lésion (87,9 % vs. 64,8 %, p< 0,0001) ainsi qu’une réduction très marquée du temps d’analyse (33,7 minutes à 3,8 minutes) (18). Le tableau 4 résume les algorithmes d’IA actuellement disponibles en VCE.

Figure 2 : Caractérisation de diminutive polypes par CADx
A, polype hyperplasique avec CAD EYE ; B, polype adénomateux avec CAD EYE ; C et D, polypes adénomateux avec GENIUS.
Système (Nom / Marque)FabricantIndication principaleCompatibilitéStatut CERésultats (Se / Sp / temps de lecture)
PillCam™ SB3 + Reader v9MedtronicVidéo-capsule intestin grêle (anémie ferriprive, Crohn, saignement occulte) ; IA de tri d’images (TOP100)Mono-marque (PillCam + logiciel Reader v9)CE (système complet ; module IA intégré)Se ≈ 94 % ; réduction du temps de lecture de 30 à ~5 min (études internes et validation clinique)
NaviCam® SB + ProScan™AnX Robotica / AnkonVidéo-capsule intestin grêle (suspicion de saignement) ; IA de détection hémorragique et tri automatiqueMono-marque (ProScan intégré NaviCam)CE (depuis 2018, FDA-cleared)Se ≈ 93 %, Sp ≈ 90 % ; temps de lecture réduit à 6 min (vs ~30 min)
OMOM™ HD + SmartScanJinshanVidéo-capsule intestin grêle (lésions multiples) ; IA de tri et détection automatiqueMono-marque (système OMOM)CE (logiciel IA intégré au pack)Se = 96 %, Sp = 92 %, temps moyen 3,8 min
AXAROLite®Axaro (France)Vidéo-capsule grêleMulti-marque (compatible PillCam, MiroCam, CapsoCam, etc.)CESe = 96–97 %, Sp = 90– 93 %, temps médian 3 min ; réduction >95 % du volume d’images à analyser
Tableau 4 : Systèmes d’intelligence artificielle (IA) appliqués à la vidéo-capsule endoscopique (VCE) du grêle – marquage CE et performances

Les applications émergeantes de l’IA

Maladies inflammatoires chroniques de l’intestin (MICI) : vers une évaluation endoscopique assistée par IA

Les maladies inflammatoires chroniques de l’intestin (MICI), incluant la rectocolite hémorragique (RCH) et la maladie de Crohn, représentent un enjeu de santé publique croissant, avec une incidence et une prévalence en augmentation constante au cours des dernières décennies, notamment dans les pays industrialisés. L’endoscopie joue un rôle central dans le diagnostic, l’évaluation de l’activité inflammatoire, la surveillance thérapeutique et le dépistage de la dysplasie.

Bien que plusieurs scores endoscopiques standardisés aient été développés — tels que le Mayo Endoscopic Subscore (MES) ou le UCEIS pour la RCH — leur reproductibilité inter-observateur demeure limitée, en particulier dans les stades d’activité intermédiaire. Cette variabilité nuit à la précision du suivi et à la standardisation des essais thérapeutiques.

Une étude prospective récente conduite au Japon chez 135 patients atteints de RCH en rémission clinique a évalué l’intérêt d’un algorithme d’IA en temps réel pour la caractérisation vasculaire de la muqueuse (19). L’outil permettait de prédire avec une bonne performance le risque de rechute clinique à 12 mois, sans recours à l’analyse histologique, suggérant un potentiel d’optimisation du suivi par une évaluation purement optique et automatisée.

En revanche, les données restent très limitées en ce qui concerne l’utilisation de l’IA pour la détection des lésions dysplasiques chez les patients suivis au long cours. La faible prévalence des dysplasies visibles en endoscopie, couplée à la rareté des images de haute qualité annotées, constitue un frein majeur à l’entraînement d’algorithmes fiables dans ce domaine (20). Le recours à l’IA pour la détection ciblée ou l’optimisation de la chromoendoscopie reste aujourd’hui à l’état exploratoire.

Par ailleurs, la maladie de Crohn pose des défis supplémentaires en raison de la grande hétérogénéité des localisations, des phénotypes lésionnels (ulcérations, sténoses, aspect pseudopolypoïde), et des techniques d’exploration. À ce jour, aucun algorithme validé n’est disponible pour la classification endoscopique assistée de la maladie de Crohn, que ce soit en coloscopie ou en vidéocapsule grêlique, les données demeurant essentiellement expérimentales (21).

Figure 3 : Détection par IA en vidéo-capsule grêlique
A et B, angiodysplasie grêlique avec OMOM ; C, Polype de type harmatome du jéjunum avec assistance par AxaroLite, Augmented Endoscopy, Paris (Remerciement au Pr Xavier Dray).

Applications dans le tractus digestif haut
Détection de zones non explorées en endoscopie œso-gastro-duodénal

Une endoscopie œso-gastro-duodénale (EOGD) complète est indispensable pour assurer un dépistage optimal des néoplasies du tractus digestif haut. Pourtant, le taux de lésions non détectées reste élevé, estimé entre 9,4 % et 18 % (22). Pour y remédier, plusieurs systèmes d’IA sont en développement, comme WISENSE/ENDOANGEL (Chine), capable d’alerter en temps réel lorsqu’une zone n’a pas été visualisée. Dans une étude comparative, ce dispositif a permis une réduction significative de 15 % des zones manquées, par rapport à l’endoscopiste seul. Testé sur 107 vidéos de FOGD, l’algorithme seul atteignait une sensibilité moyenne de 87,6 % et une spécificité de 95,0 % (23).

Figure 4 : Exemple de score Mayo automatisée per endoscopie avec le système « Smart IBD Olysense, Olympus »
Figure 4 : Exemple de score Mayo automatisée per endoscopie avec le système « Smart IBD Olysense, Olympus »

Applications spécifiques à l’œsophage Carcinome épidermoïde

Des systèmes d’IA ont été développés pour détecter les stades précoces du carcinome épidermoïde. En lumière blanche (LB), ce système a correctement identifié 89 des 91 lésions, avec une sensibilité de 97,8 %, une spécificité de 85,4 % et une précision globale de 91,4 %. Ces performances sont comparables à celles d’endoscopistes experts, et supérieures à celles de médecins non spécialisés (24). Des outils d’IA visant à délimiter les contours de ces lésions sont également en développement.

En parallèle, plusieurs études s’intéressent à la prédiction de la profondeur d’invasion. Nakagawa et al. ont montré qu’un système d’IA distinguait efficacement les lésions sm1 des sm2/3 avec une précision comparable à celle des experts, sur images LB ou NBI, avec ou sans zoom. Ces approches en temps réel pourraient orienter les patients, en particulier dans les centres non experts, vers la stratégie thérapeutique la plus adaptée

Endobrachyœsophage (EBO)

La surveillance de l’EBO reste un défi, les biopsies étagées selon le protocole de Seattle étant rarement appliquées en pratique courante. L’IA offre une alternative prometteuse grâce à une détection ciblée des zones dysplasiques. Les performances rapportées sont élevées : sensibilité 89 %,
spécificité 88 %, VPP 88 %, VPN 89 % (26). Des systèmes en temps réel permettent par ailleurs de délimiter l’EBO et ses zones dysplasiques avec des sensibilités et spécificités atteignant respectivement 95 % et 94 % en WLI (28). De plus, une étude pilote allemande (25) a montré que l’IA pouvait différencier les adénocarcinomes T1a des T1b avec une précision similaire à celle des spécialistes.

Figure 5 : Exemple de détection automatisée de zone suspect sur endobrachyœsophage
Figure 5 : Exemple de détection automatisée de zone suspect sur endobrachyœsophage
Images données par BONSAI consortium, Department of Gastroenterology and Hepatology, Amsterdam UMC, Amsterdam, the Netherland.

Applications dans l’estomac

La détection précoce des néoplasies gastriques constitue un enjeu majeur en endoscopie digestive.


En 2019, Wu et al. ont développé un système d’IA capable d’identifier ces lésions avec une sensibilité de 94 %, une spécificité de 91 % et une précision globale de 92,5 %. Ces performances surpassaient celles des endoscopistes, y compris des experts (28). Toutefois, la présence de résidus muqueux insuffisamment nettoyés était responsable de faux positifs. Zhu et al. ont proposé un système permettant de prédire la profondeur d’invasion des lésions gastriques. Il distinguait les lésions sm1 des lésions sm2 ou plus profondes avec une sensibilité de 76,5 %, une spécificité de 95,6 % et une précision de 89,2 %, des résultats nettement supérieurs à ceux des endoscopistes, quel que soit leur niveau d’expérience (29). L’IA s’est également révélée utile dans la reconnaissance des lésions pré-néoplasiques comme la métaplasie intestinale avec une précision diagnostic 88 %,(30). Enfin, plusieurs études ont exploré la détection de l’infection à Helicobacter pylori par IA, avec des performances diagnostiques équivalentes à celles obtenues par des endoscopistes experts japonais en chromo-endoscopie virtuelle.

Autres utilisations : écho-endoscopie et CPRE

En écho-endoscopie (EE), l’IA a montré des résultats prometteurs pour la caractérisation des lésions sous-muqueuses et pancréatiques. Le système développé par Hirai et al. distinguait les GIST, léiomyomes, schwannomes, TNE et pancréas ectopique avec une précision de 86,1 %, supérieure à celle des endoscopistes. Une méta-analyse récente regroupant 21 études, rapporte une sensibilité de 94 % et une spécificité de 93 % pour différencier adénocarcinomes, et lésions bénignes pancréatiques (31). En cholangiopancréatographie rétrograde endoscopique (CPRE), l’IA est pourrait faciliter la canulation, la reconnaissance des structures biliaires et réduisant de près de 20 % la durée de la procédure (32).

L’intelligence artificielle dans l’orientation pré-diagnostique, le reporting automatisé et le suivi post-opératoire

L’orientation pré-diagnostique : vers une médecine proactive et connectée

L’essor d’Internet et des outils numériques a profondément modifié la relation patient-médecin, les patients recherchant désormais eux-mêmes des informations médicales avant consultation. Cette évolution a favorisé l’émergence de plateformes d’orientation pré-diagnostique fondées sur des questionnaires ou chatbots utilisant l’IA pour analyser les symptômes et orienter vers le professionnel adapté. En 2024, Microsoft a présenté un modèle d’IA générative capable de résoudre 8 cas cliniques sur 10 issus du NEJM, surpassant les cliniciens testés. En Chine, le modèle open-source DeepSeek est déjà déployé dans des centaines d’hôpitaux pour l’aide au diagnostic et la gestion médicale.

En endoscopie, l’IA peut aussi contribuer à l’information pré-examen, notamment avant une coloscopie. Plusieurs travaux ont montré qu’un assistant conversationnel IA fournit des informations claires, personnalisées et compréhensibles pour le patient, avec un haut taux de satisfaction et une amélioration de l’adhésion à la préparation colique, tout en libérant du temps soignant (33).

Le rapport automatique d’endoscopie : standardisation et efficience

Le rapport automatique d’endoscopie assisté par IA est capable d’analyser les images et vidéos en temps réel pour générer un compte rendu structuré de l’examen. Ces systèmes identifient les structures anatomiques, localisent les lésions, proposent des descriptions normalisées, et intègrent automatiquement les photos pertinentes dans le rapport final.

Des systèmes comme AI-EARS ont démontré une amélioration significative de la complétude et de la précision des rapports endoscopiques, associée à une réduction du temps de rédaction et une meilleure standardisation entre opérateurs.

L’intégration de tels outils permet également (34) :

• D’optimiser le flux de travail et la traçabilité des données cliniques,
• De réduire la variabilité inter-observateur,
• Et de favoriser la conformité aux standards de qualité.

Ces dispositifs demeurent pour l’instant complémentaires de l’expertise humaine. Leur intégration en routine clinique nécessitera une validation multicentrique rigoureuse, un cadre réglementaire clair (marquage CE, traçabilité des données) et une évaluation médico-économique démontrant un bénéfice clinique réel.

L’IA dans le suivi post-opératoire et la télésurveillance

L’intelligence artificielle s’impose également comme un outil de suivi post-opératoire et de télésurveillance personnalisée. Plusieurs dispositifs automatisés exploitent des SMS intelligents ou des chatbots interactifs pour assurer le suivi à domicile après une intervention chirurgicale ou endoscopique.

Ces outils permettent de :

• Surveiller les symptômes post-opératoires,
• Détecter précocement des complications,
• Rappeler les rendez-vous ou consignes de traitement,
• Et favoriser la continuité du lien soignant-soigné.

Dans le champ de l’endoscopie digestive, l’évaluation récente de ChatGPT-4 pour la recommandation de suivi colonoscopique après dépistage du cancer colorectal est particulièrement illustrative.

Comparée aux recommandations officielles américaines (US Multi-Society Task Force on Colorectal Cancer, USMSTF) et à la pratique réelle de 505 patients, l’IA a obtenu une concordance de 85,7 % avec les directives, supérieure à celle des gastro-entérologues (75,4 %), avec une bonne reproductibilité inter-juges (35).

Ces résultats soulignent le potentiel des modèles de langage pour le support décisionnel, tout en rappelant la nécessité d’une formation complémentaire et d’une supervision médicale avant toute généralisation en pratique clinique.

Enjeux éthiques et médico-légaux de l’utilisation de l’IA

L’intelligence artificielle en médecine : entre promesses, défis et enjeux éthiques
L’IA suscite aujourd’hui un engouement sans précédent, tant auprès du grand public que des professionnels de santé. Perçue comme une solution miracle, elle est souvent présentée comme un levier pour réduire les erreurs médicales, allégeant la charge administrative des soignants et améliorant la qualité et la pertinence des soins. Cette vision optimiste repose sur l’idée que l’IA, en tant qu’outil d’assistance, permettrait de compenser les limites humaines, transformant le médecin en un « médecin augmenté » tout en préservant son libre arbitre.

Il existe des bénéfices indéniables, mais aussi des limites à ne pas négliger, si l’IA peut effectivement apporter une aide précieuse dans de nombreux cas, elle n’est pas infaillible : elle peut parfois s’avérer inefficace, voire source d’erreurs. Cette réalité soulève des questions cruciales : comment le médecin évaluera-t-il la pertinence des suggestions algorithmiques ? Quel sera l’impact de l’interaction homme-machine sur la prise de décision clinique ? Cette interaction, loin d’être neutre, pourrait en effet induire un désapprentissage progressif des compétences médicales, comme le soulignent Budzyń et al. (10). Une dépendance accrue à l’IA risquerait de fragiliser les capacités de jugement des praticiens, notamment en l’absence de support algorithmique. Cette problématique concerne aussi la formation des futurs médecins : leur exposition précoce à l’IA pourrait-elle altérer leur autonomie de raisonnement et leur esprit critique ?

Responsabilité et déshumanisation : les écueils à éviter au-delà de la question de la dépendance, se pose celle de la responsabilité en cas d’erreur : si la décision finale revient au clinicien, comment imputer les fautes liées à une suggestion algorithmique erronée ? Par ailleurs, le risque majeur identifié reste celui d’une déshumanisation du soin. La confiance du patient repose en effet sur la responsabilité, l’écoute et l’explication – des éléments centraux de la relation thérapeutique. L’automatisation complète du diagnostic, incarnée par le fantasme du « robot-médecin », constituerait un scénario à proscrire : elle déplacerait la responsabilité hors du champ humain et fragiliserait le lien essentiel entre soignant et soigné.

Vers un modèle de « soignant augmenté »

Face à ces enjeux, le modèle à privilégier est celui du « soignant augmenté », où l’IA agit comme un outil d’aide à la décision : elle éclaire l’analyse, hiérarchise l’information, mais laisse la décision et la responsabilité au praticien. Cette approche est d’ailleurs celle retenue par les guidelines
de l’ESGE en endoscopie digestive, qui insistent sur le caractère « assistif » des systèmes d’IA (CADe/CADx), avec une supervision humaine obligatoire (1). Le rapport commun du CCNE et du CNPEN (Avis 141/4, 2022) va dans le même sens : l’IA doit renforcer, et non affaiblir, la qualité du jugement médical. Dans le cadre de la relation médecin–patient, l’utilisation d’une intelligence artificielle comme dispositif médical numérique d’aide à la décision impose, selon les recommandations de la Haute Autorité de Santé (novembre 2025), une information explicite du patient et le maintien d’une décision médicale humaine. Une traçabilité minimale des recommandations de l’IA et des décisions du médecin, en particulier en cas de divergence, est requise pour garantir la responsabilité des soins. En pratique toutefois, ces principes restent très largement inappliqués, tant sur le plan de l’information que de la gouvernance et de la formation institutionnelles.

Souveraineté et impact environnemental

Enfin, l’intégration de l’IA en médecine soulève des questions de souveraineté et d’impact environnemental. Les modèles les plus avancés sont aujourd’hui majoritairement développés aux États-Unis et en Chine, ce qui pose la question d’une dépendance accrue de nos systèmes de santé et de nos institutions. À terme, cette dépendance pourrait influencer nos orientations thérapeutiques et peser sur le coût de la santé. Par ailleurs, l’IA, souvent utilisée pour des gains marginaux, a un impact environnemental non négligeable : plus d’un milliard de requêtes sont réalisées chaque jour sur des plateformes comme ChatGPT, équivalant à 400 tours du monde en voiture (Shift project et ADEM). Les besoins énergétiques croissants de l’IA imposeront bientôt des choix stratégiques et géopolitiques pour l’accès aux ressources nécessaires.
Conclusion : L’IA représente une opportunité majeure pour la médecine, à condition de l’intégrer de manière réfléchie et responsable. Le défi consiste à exploiter son potentiel tout en préservant l’autonomie du jugement médical, la qualité de la relation soignant-soigné et la souveraineté de nos systèmes de santé. L’enjeu est donc moins technologique que sociétal : comment concilier innovation et humanisme, efficacité et éthique, dans un monde où l’IA devient omniprésente ?

Remerciements :

  • Pr Xavier Dray et Dr Marie Maigne : Pour leurs aides, relectures et illustrations dans l’élaboration de ce travail.
  • Pr Jeroen de Groof, Dr Rixta van Eijck van Heslinga et BONSAI consortium, pour les illustrations sur l’EBO ; Department of Gastroenterology and Hepatology, Amsterdam UMC, Amsterdam, the Netherlands
  • La SFED pour les illustrations sur le score de Mayo

Références

  1. Messmann H, Bisschops R, Antonelli G, et al. Expected value of artificial intelligence in gastrointestinal endoscopy: European Society of Gastrointestinal Endoscopy (ESGE) Position Statement. Endoscopy 2022;54:1211-1231.
  2. Bretthauer M, Løberg M, Wieszczy P, et al. Effect of Colonoscopy Screening on Risks of Colorectal Cancer and Related Death. N Engl J Med 2022;387:1547-1556.
  3. Pilonis ND, Spychalski P, Kalager M, et al. Adenoma Detection Rates by Physicians and Subsequent Colorectal Cancer Risk. JAMA 2025;333:400-407.
  4. Zhao S, Wang S, Pan P, et al. Magnitude, Risk Factors, and Factors Associated With Adenoma Miss Rate of Tandem Colonoscopy: A Systematic Review and Meta-analysis. Gastroenterology 2019;156:1661-1674.e11.
  5. Hassan C, Spadaccini M, Mori Y, et al. Real-Time Computer-Aided Detection of Colorectal Neoplasia During Colonoscopy : A Systematic Review and Meta-analysis. Ann Intern Med 2023;176:1209-1220.
  6. Hassan C, Misawa M, Rizkala T, et al. Computer-Aided Diagnosis for Leaving Colorectal Polyps In Situ : A Systematic Review and Meta-analysis. Ann Intern Med 2024;177:919-928.
  7. Areia M, Mori Y, Correale L, et al. Cost-effectiveness of artificial intelligence for screening colonoscopy: a modelling study. Lancet Digit Health 2022;4:e436-e444.
  8. Soleymanjahi S, Huebner J, Elmansy L, et al. Artificial Intelligence-Assisted Colonoscopy for Polyp Detection : A Systematic Review and Meta-analysis. Ann Intern Med 2024;177:1652-1663.
  9. Karsenti D, Tharsis G, Perrot B, et al. Effect of real-time computer-aided detection of colorectal adenoma in routine colonoscopy (COLO-GENIUS): a single-centre randomised controlled trial. The Lancet Gastroenterology & Hepatology 2023;8:726-734.
  10. Budzyń K, Romańczyk M, Kitala D, et al. Endoscopist deskilling risk after exposure to artificial intelligence in colonoscopy: a multicentre, observational study. Lancet Gastroenterol Hepatol 2025;10:896-903.
  11. Halvorsen N, Hassan C, Correale L, et al. Benefits, burden, and harms of computer aided polyp detection with artificial intelligence in colorectal cancer screening: microsimulation modelling study. bmjmed 2025;4:e001446.
  12. Rex DK, Kahi C, O’Brien M, et al. The American Society for Gastrointestinal Endoscopy PIVI (Preservation and Incorporation of Valuable Endoscopic Innovations) on real-time endoscopic assessment of the histology of diminutive colorectal polyps. Gastrointest Endosc 2011;73:419-422.
  13. Hassan C, Pickhardt PJ, Rex DK. A resect and discard strategy would improve cost-effectiveness of colorectal cancer screening. Clin Gastroenterol Hepatol 2010;8:865-869, 869.e1-3.
  14. Willems P, Djinbachian R, Ditisheim S, et al. Uptake and barriers for implementation of the resect and discard strategy: an international survey. Endosc Int Open 2020;8:E684-E692.
  15. Hassan C, Sharma P, Mori Y, et al. Comparative Performance of Artificial Intelligence Optical Diagnosis Systems for Leaving in Situ Colorectal Polyps. Gastroenterology 2023;164:467-469.e4.
  16. Rizkala T, Hassan C, Mori Y, et al. Accuracy of Computer-aided Diagnosis in Colonoscopy Varies According to Polyp Location: A Systematic Review and Meta-analysis. Clin Gastroenterol Hepatol 2025;23:531-541.
  17. Dhali A, Kipkorir V, Maity R, et al. Artificial Intelligence-Assisted Capsule Endoscopy Versus Conventional Capsule Endoscopy for Detection of Small Bowel Lesions: A Systematic Review and Meta-Analysis. J Gastroenterol Hepatol 2025;40:1105-1118.
  18. Spada C, Piccirelli S, Hassan C, et al. AI-assisted capsule endoscopy reading in suspected small bowel bleeding: a multicentre prospective study. Lancet Digit Health 2024;6:e345-e353.
  19. Maeda Y, Kudo S-E, Ogata N, et al. Evaluation in real-time use of artificial intelligence during colonoscopy to predict relapse of ulcerative colitis: a prospective study. Gastrointest Endosc 2022;95:747-756.e2.
  20. Yang LS, Perry E, Shan L, et al. Clinical application and diagnostic accuracy of artificial intelligence in colonoscopy for inflammatory bowel disease: systematic review. Endosc Int Open 2022;10:E1004-E1013.
  21. Brodersen JB, Jensen MD, Leenhardt R, et al. Artificial intelligence-assisted analysis of pan-enteric capsule endoscopy in patients with suspected Crohn’s disease: A study on diagnostic performance. Journal of Crohn’s and Colitis 2024;18:75-81.
  22. Pimenta-Melo AR, Monteiro-Soares M, Libânio D, et al. Missing rate for gastric cancer during upper gastrointestinal endoscopy: a systematic review and meta-analysis. European Journal of Gastroenterology & Hepatology 2016;28:1041.
  23. Wu L, Zhang J, Zhou W, et al. Randomised controlled trial of WISENSE, a real-time quality improving system for monitoring blind spots during esophagogastroduodenoscopy. Gut 2019;68:2161-2169.
  24. Cai S-L, Li B, Tan W-M, et al. Using a deep learning system in endoscopy for screening of early esophageal squamous cell carcinoma (with video). Gastrointestinal Endoscopy 2019;90:745-753.e2.
  25. Ebigbo A, Mendel R, Rückert T, et al. Endoscopic prediction of submucosal invasion in Barrett’s cancer with the use of artificial intelligence: a pilot study. Endoscopy 2021;53:878-883.
  26. Arribas J, Antonelli G, Frazzoni L, et al. Standalone performance of artificial intelligence for upper GI neoplasia: a meta-analysis. Gut 2021;70:1458-1468.
  27. Ebigbo A, Mendel R, Probst A, et al. Real-time use of artificial intelligence in the evaluation of cancer in Barrett’s oesophagus. Gut 2020;69:615-616.
  28. Wu L, Zhou W, Wan X, et al. A deep neural network improves endoscopic detection of early gastric cancer without blind spots. Endoscopy 2019;51:522-531.
  29. Zhu Y, Wang Q-C, Xu M-D, et al. Application of convolutional neural network in the diagnosis of the invasion depth of gastric cancer based on conventional endoscopy. Gastrointestinal Endoscopy 2019;89:806-815.e1.
  30. Almeida E, Martins ML, Marques D, et al. Artificial intelligence for endoscopic grading of gastric intestinal metaplasia: advancing risk stratification for gastric cancer. Endoscopy 2025;57:1254-1260.
  31. Dhali A, Kipkorir V, Srichawla BS, et al. Artificial intelligence assisted endoscopic ultrasound for detection of pancreatic space-occupying lesion: a systematic review and meta-analysis. Int J Surg 2023;109:4298-4308.
  32. Kim T, Kim J, Choi HS, et al. Artificial intelligence-assisted analysis of endoscopic retrograde cholangiopancreatography image for identifying ampulla and difficulty of selective cannulation. Sci Rep 2021;11:8381.
  33. Maida M, Ramai D, Mori Y, et al. The role of generative language systems in increasing patient awareness of colon cancer screening. Endoscopy 2025;57:262-268.
  34. Zhang L, Lu Z, Yao L, et al. Effect of a deep learning-based automatic upper GI endoscopic reporting system: a randomized crossover study (with video). Gastrointest Endosc 2023;98:181-190.e10.
  35. Chang PW, Amini MM, Davis RO, et al. ChatGPT4 Outperforms Endoscopists for Determination of Postcolonoscopy Rescreening and Surveillance Recommendations. Clin Gastroenterol Hepatol 2024;22:1917-1925.e17.

Toute reproduction ou réécriture, totale ou partielle, sans l’accord préalable écrit de la FMC HGE est interdite.

FMC HGE : Organisme certifié Qualiopi pour la catégorie ACTIONS DE FORMATION.