Sport et complications ano-périnéales

Objectifs pédagogiques

  • Connaître les sports à risque ano-périnéal et les sujets à risque
  • Connaître les conséquences anatomiques de l’exercice physique
  • Connaître les complications en fonction du sport
  • Connaître la prise en charge des complications ano-périnéales liées à l’activité sportive
  • Savoir réduire le risque de complications anopérinéales lors de la pratique sportive

Les points forts

  1. Les bénéfices ou les risques de la pratique sportive sur les hémorroïdes ne sont pas clairement déterminés.
  2. La pratique à haute intensité des sports à fort impact est un facteur de risque d’incontinence anale chez les femmes.
  3. L’information sur les risques ano-périnéaux de l’activité physique améliore leur prévention et leur prise en charge.
  4. Lors de la pratique cycliste, une selle sans bec/nez et une housse de selle en gel diminuent le risque de neuropathie pudendale alors qu’une selle plate ou découpée diminue celui des indurations nodulaires périnéales.
  5. Lors de la pratique du jet-ski, l’utilisation de tenues en néoprène de plus de 2 mm est obligatoire en France pour éviter les traumatismes ano-périnéaux.

Vidéo

I’m visible only if js is disabled

LIENS D’INTÉRÊT

L’auteur déclare n’avoir aucun conflit d’intérêt en lien avec sa présentation.

MOTS-CLÉS

Sport ; Anus ; Hémorroïdes ; Incontinence anale ; Névralgie pudendale.

ABRÉVIATIONS

Pas d’abréviation.

Introduction

Si l’on en croit l’adage populaire, « le sport, c’est la santé ! ». Cette assertion est de plus en plus partagée puisque, selon une enquête réalisée en France en 2022, le sport est pratiqué plus souvent qu’auparavant pour améliorer la santé (52 %, + 6 points) et moins pour le plaisir et l’amusement (28 %) (1).) Cela rejoint les nouvelles notions de « sport-santé » et « d’activités physiques adaptées » qui peuvent être prescrites médicalement (2). A contrario de la sédentarité qui, selon l’Organisation Mondiale de la Santé, représente l’une des dix premières causes de mortalité dans le monde et est responsable de plus de deux millions de décès par an, l’activité physique a des bénéfices bien établis : amélioration de la condition physique (endurance, fonctions respiratoires et cardiaques, souplesse, force musculaire…), amélioration de la santé mentale, du bien-être et de la qualité de vie (amélioration de la qualité du sommeil, diminution du stress, de l’anxiété, prévention des états dépressifs…), prévention des maladies chroniques (diminution des maladies cardiovasculaires, diabète de type 2, cancer du sein, du colon, du poumon), prévention de l’ostéoporose… (3) Cependant, l’activité physique et sportive n’est pas exempte de risques et peut s’accompagner de complications de toutes sortes pouvant mettre en danger la santé: accidents cardiovasculaires ou neurologiques, complications orthopédiques diverses mais également anopérinéales. Selon les sports pratiqués, on peut voir survenir des pathologies anopérinéales cutanées et tégumentaires, neurologiques, des complications liées à une hyperpression intra-abdominale ou à des traumatismes.

Notre présentation s’intéressera uniquement aux complications anopérinéales, excluant les pathologies urologiques ou gynécologiques pourtant les plus décrites dans la littérature.

État de la pratique sportive en France

Selon le rapport publié en 2022 par l’INJEP et le CREDOC, 72 % des Français de plus de 15 ans ont pratiqué au moins une activité physique et sportive au cours des 12 derniers mois, 12 % de façon occasionnelle (moins de 52 séances par an) et 60 % de façon régulière (en moyenne une fois par semaine) (1).

Les taux de pratique sportive régulière selon les univers se répartissent de la façon suivante : course et marche (47 %), activités de la forme et de gymnastique (27 %), sports de cycles ou motorisés (21 %), sports aquatiques et nautiques (19 %), sports collectifs (15 %), sports de raquette (13 %), sports d’hiver ou de montagne (10 %). En 2022, les fédérations en charge du football, du tennis et de l’équitation ont été celles qui ont délivré le plus grand nombre de licences parmi les fédérations unisports ayant délivré au moins 100 000 licences (4).

Sachant que les pratiquants réguliers réalisent des séances de plus en plus intenses (16 % en 2022 contre 12 % en 2018), le risque de voir survenir des complications liées à ces pratiques augmente mécaniquement et devrait amener à une augmentation des consultations médicales dédiées.

Activité physique et complications hémorroïdaires

Alors que la pleine connaissance de la physiopathologie et des étiologies des thromboses hémorroïdaires externes ou de la maladie hémorroïdaire interne reste débattue, les efforts physiques sont classiquement accusés d’être responsables d’épisodes thrombotiques (5). L’étude française réalisée en 2005 auprès de 931 gastroentérologues français portant sur 1 033 patients a conclu au facteur favorisant d’une activité physique inhabituelle pratiquée dans les 15 jours précédant la crise thrombotique hémorroïdaire.

Une étude italienne (7) a analysé le lien entre activité physique et pathologie hémorroïdaire chez 312 participants répartis en 8 groupes :

  • groupe 1 : bodybuilding ;
  • groupe 2 : cyclisme/équitation ;
  • groupe 3 : escalade/danse/athlétisme ;
  • groupe 4 : course à pied ;
  • groupe 5 : padel/tennis/volleyball/basketball/rugby/football ;
  • groupe 6 : trekking/ski alpin/ski de fond ;
  • groupe 7 : sports multiples ;
  • groupe 8 : autres.

La prévalence de la maladie hémorroïdaire dans cet échantillon (34 %) est supérieure à celle de la population générale et les auteurs en concluent que l’activité sportive augmente le risque de maladie hémorroïdaire. Cette étude retient une prévalence significativement supérieure de maladie hémorroïdaire pour les groupes 1 et 2 chez les hommes. En analyse multivariée, seule la pratique du bodybuilding est associée à la survenue d’une maladie hémorroïdaire. En revanche, ce risque semble diminuer pour le groupe 6.

Alors que, d’après Mashbari et al, l’activité physique n’est pas retenue comme facteur de risque de maladie hémorroïdaire (8), une étude coréenne affirme au contraire que les symptômes hémorroïdaires sont plus fréquents à mesure que le nombre de séances d’exercice physique par semaine augmente. La fréquence du recours à la chirurgie hémorroïdaire est par ailleurs plus élevée dans le groupe pratiquant une activité physique (9).

Une étude se focalisant sur les modifications sphinctériennes chez les pratiquants de VTT montre, outre la survenue d’une hypertonie anale, une augmentation des saignements hémorroïdaires (et de fissure anale) chez ceux parcourant plus de 6 000 km par an comparés au groupe contrôle parcourant moins de 300 km par an (10).

Pour ne rien simplifier, une étude récente, a conclu au contraire que l’absence d’activité physique était un facteur de risque de récidive de symptômes hémorroïdaires après injections sclérosantes (11)…

Il est donc recommandé aux patients souffrant de problèmes hémorroïdaires de ne pas renoncer à l’exercice, mais de choisir le bon programme d’exercices en évitant ou en limitant les sports impliquant des efforts intenses (musculation, aérobic à fort impact, etc.) ou des traumatismes périnéaux (vélo, équitation, etc.) alors que des activités aérobies et modérées sont fréquemment recommandées pour leur efficacité dans la prévention d’autres facteurs de risque tels que la prise de poids, la sédentarité, la stase veineuse, la constipation… Ainsi, une activité physique modérée (20 à 60 minutes, 3 à 5 jours par semaine) pourrait être recommandée car elle améliore la qualité de vie et aide à gérer efficacement les symptômes hémorroïdaires (12). Cependant, il n’existe aucune recommandation officielle dans ce sens dans les recommandations françaises (13), américaines (14), italiennes (15), portugaises (16) ou japonaises (17) de prise en charge de la maladie hémorroïdaire. Seules les recommandations européennes (18) précisent de façon sibylline, selon un accord d’experts, qu’« il convient d’encourager l’adoption de modes de vie sains, tels que la consommation d’eau, une alimentation saine et l’activité physique ».

Activité physique et complications anopérinéales

Rappels anatomiques

Les muscles du périnée se déploient sur trois plans : un plan superficiel constitué de quatre muscles (bulbo-caverneux, ischio-caverneux, transverse superficiel et sphincter externe anal) impliqués dans la sexualité et la continence anale, un plan moyen comprenant le muscle transverse profond du périnée soutenant les organes du petit bassin, accessible à la rééducation et le sphincter strié de l’urètre jouant un rôle dans la continence urinaire et enfin un plan profond (muscle releveur de l’anus avec ses faisceaux ilio-pubien, pubo-coccygien et pubo-rectal et muscle coccygien) sur lequel porte la prévention et la rééducation (19).

Sports à risque anopérinéaux

Une classification des pratiques sportives est proposée en fonction de leur impact sur le périnée et est résumée dans le tableau 1.

Sports à « haut impact » à « composante dynamique forte »Sports à « haut impact » à « composante isométrique forte »Sports à « impact modéré » à « composante dynamique forte »Sports à « faible impact » à « composante isométrique forte »Sports à « faible impact » à « composante isométrique forte »
– Trampoline
– Gymnastique au sol
– Corde à sauter
– Athlétisme : saut en longueur, triple saut, saut de haies
– Cross-fit®
– Danse
– Football
– Volley-ball
– Handball
– Rugby
– Basketball
– Ski nautique
– Arts martiaux (lutte, judo, taekwondo…)
– Boxe
– Rugby
– Cross-fit®
– Haltérophilie
– Athlétisme : lancers (poids, marteau, disque, javelot)
– Grimper à la corde
– Equitation (trot)
– Athlétisme : courses
– Aérobic
– Natation artistique
– Sports de raquette (tennis, tennis de table, badminton, squash, padel)
– Sports de glace (patinage, ski…)
– Trekking
– Mountain bike
– Aviron, kayak
– Escrime
– Natation artistique
– Planche à voile
– Sports techniques (tir)
– Marche nordique
– Randonnée
– Natation
– Cyclisme
– Golf
Tableau 1 : Classification des sports selon les contraintes anopérinéales engendrées par leur pratique [à partir de Bourcier (20) et Maître (19)]

Effets généraux des pratiques sportives sur le périnée et le plancher pelvien

Il existe actuellement deux hypothèses opposées sur les conséquences de l’activité physique sur le plancher pelvien.

La première soutient que cette activité physique le renforce en raison d’éventuelles adaptations de l’entraînement aux impacts se produisant pendant l’effort et produisant des contractions simultanées des muscles du plancher pelvien. Cet effet d’entraînement indirect aigu peut provoquer dans la durée une hypertrophie et un raccourcissement musculaires soulevant le plancher pelvien et les organes internes. De fait, ces changements morphologiques pourraient réduire le risque d’incontinence urinaire, d’incontinence anale et de prolapsus utérin.

La deuxième hypothèse classique est celle que l’entraînement physique surcharge, étire et affaiblit le plancher pelvien par augmentation de la pression intra-abdominale (PIA). Deux modalités d’exercice peuvent augmenter la PIA plus que d’autres et donc affecter le plancher pelvien : l’entraînement musculaire intense, tel que le soulèvement de poids (musculation et haltérophilie) et les activités à fort impact, telles que le saut et la course à pied. Les activités à fort impact provoquent des augmentations de la PIA provenant des forces de réaction au sol d’intensité variable selon l’activité pratiquée. Ainsi, les forces maximales verticales réactionnelles aux impacts au sol sont 3 à 4 fois supérieures au poids du corps pendant

la course, 5 à 12 fois pendant le saut, 9 fois pendant la réception d’un saut périlleux avant, 14 fois pendant la réception d’un double saut périlleux arrière et 16 fois pendant le saut en longueur (21). Selon cette théorie, la surcharge du plancher pelvien peut augmenter le risque d’incontinence anale ou urinaire et de prolapsus utérin (22) (23). Il n’y a cependant pas d’études publiées portant spécifiquement sur le prolapsus rectal.

Activité physique et incontinence anale

L’incontinence anale (IA) est une donnée sous-représentée dans l’ensemble des études réalisées sur les désordres pelviens en relation avec l’activité physique (24) (25). Il existe essentiellement dans la littérature des études combinées où l’IA n’est que brièvement ou incomplètement rapportée. De plus, les résultats sont empreints d’une grande hétérogénéité du fait de définitions très différentes du terme « incontinence anale » allant de la simple incontinence aux gaz à la perte de selles liquides ou dures (incontinence fécale [IF]).

Données générales

L’activité physique rapide, la course à pied en particulier, peut prédisposer les femmes aux troubles pelvi-périnéaux. Les femmes ayant une activité physique régulière après l’adolescence ont un risque accru d’IF selon une étude finlandaise rétrospective. Les femmes d’âge moyen ayant débuté du sport de compétition en tant que jeunes adultes ont plus de risque d’incontinence urinaire mais pas d’IF alors que celles ayant débuté une activité physique régulière après l’adolescence ont un risque accru d’IF, d’autant plus que l’activité physique a été poursuivie en milieu de vie. On note comme facteurs associés un âge et un IMC plus élevés (26).

De même, selon Vitton et al., les femmes de 18 à 40 ans pratiquant un sport de haute intensité plus de 8 heures par semaine présentent un risque d’IA significativement plus élevé que les femmes moins actives (respectivement 15 % contre 5 % ; p= 0,001). Le risque d’IF est lié à la pratique d’une activité physique régulière dès le début de l’âge adulte et n’est pas retrouvé en cas de pratique d’un sport de compétition au début de l’âge adulte ou d’activité physique actuelle à l’âge moyen. Dans cette étude, on retrouve un IMC plus élevé et un niveau d’éducation plus faible chez les sportives souffrant d’IA. Chez les sportives pratiquant la natation, le cyclisme et l’athlétisme, l’IA était notée en cas de pratique intensive dans 21 % des cas, essentiellement par perte de gaz (84 % des cas), avec un besoin de protection dans 8 % des cas. Les fuites anales étaient quotidiennes dans 20 % des cas, hebdomadaires dans 36 % des cas et mensuelles dans 44 % des cas. Le soïling durait moins de 6 mois dans 52 % des cas, de 6 à 12 mois dans

8 % des cas, de 12 à 24 mois dans 24 % des cas et plus de 24 mois dans 16 % des cas. Les femmes atteintes d’IA étaient plus jeunes et pratiquaient plus fréquemment un sport de haut niveau. La pratique du sport intensif et l’IMC étaient les deux paramètres liés à l’IA (27).

Pour Almeida et al., sur 67 sportives (âge médian : 18 ans), celles pratiquant des activités à fort impact ou des activités à fort effort (volleyball, judo, gymnastique artistique, trampoline, natation) sont plus susceptibles de développer une incontinence aux gaz mais sans différence statistiquement significative (28).

Selon Drummond et al., il n‘existe aucune association significative entre l’exercice récréatif et les atteintes du plancher pelvien mais on note une augmentation du risque d’IA en cas d’exercice physique de plus de 10 heures par semaine. Il n’y a en revanche pas de différence sur divers marqueurs d’incontinence anale (perte de gaz ou de selles, souillures, urgences fécales) chez les femmes pratiquant plus ou moins de 2 h 30 d’exercice physique par semaine (29).

Bonaldi et al ont étudié la relation entre troubles fonctionnels pelvi-périnéaux et pratique sportive dans une population de moins de 40 ans sans comorbidités. Cette étude conclut qu’il s’agit d’un problème sous-estimé chez les hommes sportifs de moins de 40 ans. Parmi les activités sportives, la course à pied semble la plus à risque avec une prévalence élevée de fuites fécales pendant et en dehors de l’activité sportive. Cependant, il semble que le sport a un rôle protecteur s’il est pratiqué pendant un nombre modéré d’heures par semaine. Il existe également une dépendance statistiquement significative entre incontinence urinaire et IA, confirmant ainsi la continuité anatomique et fonctionnelle entre les structures du plancher pelvien (30).

L’IA ne semble en revanche pas plus fréquente chez les athlètes de haut niveau enceintes (31). Ceci pourrait être en lien avec un plancher pelvien des sportives régulières plus tonique en milieu de grossesse que chez celles ne pratiquant pas d’activité physique (32).

Données spécifiques en fonction de certaines activités sportives

Il existe quelques études s’intéressant spécifiquement à l’IA et certaines activités sportives.

Ainsi, les sportifs souffrent de façon variable mais parfois non négligeable d’IA (perte de gaz ou de selles) avec des taux de prévalence allant de 28 % chez les triathlètes à 80 % chez les haltérophiles ou les gymnastes. Un haltérophile sur quatre fait état de symptômes de prolapsus pelvien (33).

GYMNASTIQUE ET « CHEARLEADING »

Les « pom-pom girls » sont 2,3 fois plus susceptibles de signaler des symptômes d’IA que les femmes non sportives (34). Dans une autre étude, chez 319 femmes gymnastes ou « pom-pom girls », la prévalence de l’IA était de 84 %. L’âge, un entraînement plus de 4 jours par semaine et l’effort pour uriner étaient significativement associés à l’incontinence urinaire d’effort (IUE) et les années d’entraînement à l’IA. Si l’on étudie les accidents survenus pendant l’entraînement et/ou la compétition, 88 % d’entre elles ont eu une émission incontrôlée des gaz, 22 % des pertes de selles liquides et 18 % une incontinence aux selles. Cependant, l’IA ne semble pas les gêner pendant les activités quotidiennes ce qui sous-entend que l’impact pendant ces activités n’est pas suffisant pour induire une incontinence permanente et que les fuites peuvent être principalement liées aux activités sportives (35).

HALTÉROPHILIE

Une étude spécifique a été menée chez les haltérophiles norvégiens masculins et féminins olympiques. La prévalence de l’incontinence urinaire (IU), de l’incontinence anale (IA) et du prolapsus des organes pelviens (chez les femmes) était respectivement de 50 %, 80 % et 23 %. La prévalence de l’IA était de 62 % chez les hommes (contre 9 % seulement pour l’IU) et l’âge et les efforts de poussée pour uriner étaient significativement associés à l’IA. Chez les femmes, le niveau international de compétition et la pratique de l’haltérophilie plus de 4 jours par semaine étaient significativement associés à l’IA. Dans les deux sexes, la perte involontaire de gaz était la forme prédominante d’incontinence anale (77 % chez les femmes et 56 % chez les hommes) mais loin d’être exclusive, sous-tendant ainsi la présence de symptômes plus importants de fréquence non négligeable (36).

COURSE À PIED ET CROSSFIT®

Contrairement à la course en stade ou hors stade en contexte de sport encadré (fond et marathon), la course à pied hors stade a pris son essor dans les années 1980-1990. En 2020, 19 % des personnes âgées de 15 ans et plus en France déclarent avoir fait du jogging ou du running au moins une fois au cours des 12 derniers mois et 11 % au moins une fois par semaine (37). Selon le 7e Observatoire du running publié en avril 2024, 12.4 millions de personnes courent en France avec une progression dans tous les secteurs : fréquence de pratique, intensité, durée… Deux tiers des coureurs pratiquent au moins trois fois par semaine et 21 % sont des coureurs réguliers (> 1/semaine). Le temps moyen d’une sortie est de plus de 61 mn avec près de 10 km de course (38). La pratique de la course à pied hors stade est une activité plus régulière que les autres (60 %> 1 fois/semaine), s’exerçant plus souvent tout au long de l’année, avec assiduité et dans des volumes non négligeables (37). La course à pied sur route entraîne plus de contraintes périnéales que sur terrain naturel du fait des forces de rebond plus marquées.

Selon Sullivan et al., les coureurs de longues distances rapportent des accidents d’IA pendant ou après l’épreuve dans 7 % des cas ainsi que des saignements anorectaux dans la même proportion (39).

Une étude a comparé les différences d’atteintes pelvi-périnéales chez les femmes pratiquant deux sports à haut impact périnéal, la course à pied et le Crossfit®. Alors qu’il n’y avait pas de différence significative en termes d’incontinence urinaire entre les deux groupes, les symptômes en relation avec un prolapsus pelvien (POP) et une IA étaient significativement plus élevés chez les coureuses ayant eu des enfants que chez les pratiquantes de Crossfit® mais pas chez les nullipares (40). Cependant, cette étude n’indiquait pas l’ancienneté de la pratique sportive ni si elles avaient des troubles préalables ce qui ne permet pas de dire si la pratique du Crossfit® est finalement sans risque (41).

En effet, l’étude transversale de Pisani GK a montré une forte prévalence d’atteintes pelvi-périnéales chez les pratiquantes de CrossFit®, l’IA étant le symptôme le plus signalé (53 % dont 93 % d’incontinence aux gaz). La constipation et la fréquence d’entraînement hebdomadaire étaient significativement associées à l’incontinence aux gaz (42). Ces résultats sont cependant discordants de ceux de l’étude de High et al. qui note une prévalence de l’IF chez 6 % des 314 pratiquantes étudiées et une prévalence générale des troubles du plancher pelvien équivalente à celle de la population générale (43).

TRIATHLON

Une étude portant sur 311 triathlètes féminines âgées de 35 à 44 ans (course à pied 3,7 jours, vélo 2,9 jours et natation 2,4 jours par semaine) a montré une prévalence d’IA de 28 % sans augmentation du risque selon le kilométrage, l’intensité de l’entraînement ou la parité. Les personnes souffrant d’IA présentaient des niveaux plus élevés de douleurs lombaires et pelviennes (44).

ESCALADE

Une étude a été menée chez 343 femmes pratiquant l’escalade ou le grimper à la corde. Ces dernières ont significativement plus de prolapsus pelvien et d’incontinence anale que les grimpeuses de bloc (45).

RUGBY

Parmi 56 joueuses australiennes de rugby, 57 % d’entre elles avaient des troubles pelvi-périnéaux. La prévalence de l’IA pendant la pratique sportive a été estimée à 29 % contre 41 % pour l’incontinence urinaire (46). Cependant, dans une autre étude où la prévalence de l’IA est nettement plus importante, elle ne semble pas plus fréquente chez les joueuses de rugby que chez les témoins (47).

ÉQUITATION

Dans une étude polonaise réalisée chez des femmes, l’équitation récréative semble ne pas être un facteur de risque de dysfonction du plancher pelvien, notamment d’IA(48). Une autre étude réalisée sur des pratiquantes de saut d’obstacles n’a pas trouvé de surrisque d’IA, les impacts produits lors du saut à cheval étant différents de ceux produits pendant d’autres sports à haut impact. Dans les sports équins, les impacts sont en outre absorbés par les articulations du cheval et le positionnement variable du cavalier suivant le mouvement du cheval (49).

VTT(MOUNTAIN-BIKE)

Hors trouble du transit associé, l’IA ne fait pas partie des risques du VTT au vu de l’augmentation significative du tonus de base et de la contraction volontaire avec absence de modification de la compliance rectale (19 professionnels/groupe contrôle) (10).

Conséquences de l’incontinence anale sur la pratique d’une activité physique

De façon attendue, la survenue d’une incontinence anale est régulièrement retenue comme facteur de diminution ou d’arrêt de l’activité physique de celles et ceux qui en sont atteints.

Dans une étude sur 4 556 femmes se plaignant de troubles pelvi-périnéaux, 31 % estimaient qu’ils étaient une barrière à la pratique d’une activité physique. Parmi elles, 42 % ayant une IA la considéraient comme une limitation importante à cette pratique et un facteur d’arrêt une fois sur deux le cas échéant (50).

L’existence d’une IA a également un impact évident sur la performance sportive. Ainsi, chez les joueuses de rugby australiennes, les troubles pelvi-périnéaux dont l’IA, présents dans 53 % des cas, induisent une réduction de l’intensité de l’entraînement (34 %), un évitement de certains gestes techniques comme les sauts (25 %) ou une perte de concentration (9 %) (46).

Une étude qualitative confirme que ces troubles sont une cause d’arrêt des activités physiques à haut impact mais également à faible impact (33).

Prévention des troubles pelvi-périnéaux

La prévention des troubles pelvi-périnéaux, dont l’IA, liés à la pratique sportive repose à la fois sur l’information en luttant contre les tabous ou les idées reçues et sur un programme éducatif. Ainsi, par exemple, 41 % des gymnastes et « pom-pom girls » étudiées (22). n’avaient jamais entendu parler des muscles du périnée et 74 % ont déclaré être intéressées par une formation pour prévenir/traiter l’IU ou l’IA. Selon une autre étude, le risque d’IA est moins connu que celui d’IU chez les pratiquants d’athlétisme (51). Il est donc essentiel d’informer les sportifs et les sportives de la localisation et du rôle du périnée, du soutien apporté par le muscle transverse de l’abdomen…

La prévention comprend la compréhension et la répétition d’exercices de verrouillage du périnée dits « exercices de Kegel » (exercices de contractions pour renforcer le périnée suivis d’un temps de relâchement périnéal) et un travail de renforcement du muscle transverse de l’abdomen pour favoriser l’automatisation d’une co-contraction anticipatrice lors des activités sportives à risque. Il convient par ailleurs de favoriser l’apprentissage d’un travail de gainage hypopressif des muscles abdominaux avec étirements excentriques, en expiration, limitant la pression sur le plancher pelvien (19), (52).

Il est également recommandé de se concentrer sur la capacité de contraction rapide, la contraction soutenue, de favoriser l’entraînement sous-maximal, de surveiller les schémas de substitution des abdominaux, des fessiers, des adducteurs ou des manœuvres de Valsalva, de travailler dans plusieurs positions (accroupi, debout), d’ajouter les muscles synergiques du plancher pelvien si les participants sont incapables de coordonner les muscles, d’éviter les abdominaux croisés chez ceux souffrant de diastasis et de mettre l’accent sur le transverse, d’enseigner des schémas respiratoires appropriés seuls et en conjonction avec l’activité des muscles du plancher pelvien et d’utiliser les techniques d’éducation posturale et de stabilité du tronc (20).

Le yoga et le Pilates, pratiqués avec des adaptations si nécessaire, peuvent aider à renforcer en douceur les muscles du plancher pelvien, tout en améliorant la posture globale. Le vélo elliptique peut remplacer la course à pied ou le cyclisme.

Au cours et au décours de la grossesse chez la sportive, la prévention repose sur un ensemble de recommandations :

  • privilégier les sports à faible impact (vélo, natation) au-delà du 5e mois de grossesse,
  • pratiquer du Pilates adapté pouvant favorablement renforcer la musculature pelvienne (53),
  • éviter un excès de prise de poids par la pratique d’une activité sportive régulière, adaptée,
  • suivre une rééducation périnéale manuelle au cours de la grossesse,
  • reprendre le sport à six semaines du post-partum par une activité sans risque pour le périnée,
  • reporter la reprise de la course à pied après le 3e mois du post-partum,
  • faire une évaluation du périnée vers six à huit semaines après l’accouchement et pratiquer une rééducation périnéale si nécessaire (19).

La sensibilisation et la formation des professionnels du sport (entraîneurs sportifs, préparateurs physiques, professeurs de sport) font partie intégrante de l’obligation de prévention. Le médecin traitant, le médecin du sport et le colo-proctologue ont un rôle majeur à jouer, notamment lors de la réalisation du certificat de non contre-indication à la pratique sportive, en dépistant d’éventuels troubles de la statique pelvienne, en diffusant les bonnes pratiques et en évoquant les techniques de rééducation.

Un suivi médical lors de la pratique d’un sport de haut niveau ou intensif permet d’adapter la prévention en fonction des facteurs de risques individuels des pratiquants et en l’adaptant au sport pratiqué en en connaissant toutes ses contraintes. Des recommandations spécifiques peuvent ainsi être édictées, à l’instar de celles émises pour les joueuses de rugby ci-dessus (figure 2).

Figure 2 : Pelvis et rugby (54)
Figure 2 : Pelvis et rugby (54)

Cyclisme, sports assis et complications anopérinéales

Le cyclisme, sport « assis », est un facteur d’agressions de la région ano-périnéale, soit par frottements/cisaillements, soit par (micro)traumatismes, soit par compression.

Données générales sur la pratique du cyclisme en France

Après les années cinquante, le vélo, alors simple mode utilitaire de déplacement, devient un engin tourné vers le loisir. La recherche actuelle de mobilités alternatives, l’évitement des transports en commun après la pandémie de Covid 19 ont augmenté sa pratique. En France, la pratique du vélo figure parmi les cinq activités physiques et sportives préférées avec 18,8 millions d’adeptes, soit 34 % des Français de plus de 15 ans. Les cyclistes sont « omnivores » en termes de sports et gros consommateurs quelle que soit la modalité considérée (VTT, cyclisme sur route ou vélo de ville). Ils sont près de deux sur trois à avoir pratiqué plus de sept activités au cours des douze derniers mois contre un tiers de l’ensemble des pratiquants ayant déclaré au moins une activité physique ou sportive (37). Ils peuvent donc multiplier les risques de complications anopérinéales par les différents sports pratiqués.

Pathologies anopérinéales du cyclisme : peaux de chamois et selles

Aborder le sujet complications anopérinéales du cyclisme requiert un rappel sur les peaux de chamois et les selles de vélos pour comprendre les discussions interminables avec les pratiquants, certaines complications liées à la pratique du cyclisme et leur prévention.

De la peau de chamois…

Lors des premières courses cyclistes, les coureurs portaient des shorts en laine tricotée, plus souples que les pantalons en toile, de forme proche des cuissards actuels, sa couleur noire (toujours majoritairement utilisée) choisie pour masquer les tâches provoquées par les selles en cuir graissées pour l’assouplir. Une véritable peau de chamois, fine et souple, était alors utilisée à laquelle on rajoutait parfois, lors des longues étapes du Tour de France, des escalopes de veau (55) ! Actuellement, les « peaux de chamois », ou « inserts », sont des concentrés de technologies, les fabricants jouant sur la fermeté et la densité des mousses utilisées pour favoriser les appuis sur les ischions avec des matériaux respirant, capables de sécher rapidement pour évacuer la sueur. Il est indispensable de les adapter à l’anatomie personnelle et à la pratique, la position dépendant du type de vélo utilisé (figure 3).

Figure 3 : exemples d’inserts (« peaux de chamois ») ou de cuissards
Figure 3 : exemples d’inserts (« peaux de chamois ») ou de cuissards

De la forme de la selle des vélos…

La recherche de la « selle idéale » reste un Graal chez la plupart des cyclistes et d’innombrables articles ont été publiés sur la forme de la selle et son incidence sur les symptômes anopérinéaux. Elle ne peut cependant régler seule tous les problèmes puisqu’intervient aussi l’inclinaison sur le vélo (angle d’assise de 80° à 90° en position vélo de ville, de 40° à 60° en VTT, de 35° à 50° en vélo de course et de 25° à 40° en triathlon/contre la montre) pouvant varier avec la hauteur du guidon.

On décrit schématiquement trois formes de selles : standard ou « traditionnelle », avec une découpe centrale ou « sans nez/bec » (figure 4).

Figure 4 : les différentes formes de selles de vélo
Figure 4 : les différentes formes de selles de vélo

Les selles « standards » ont l’avantage d’être plus larges et de répartir les pressions. L’utilisation de selles traditionnelles est associée à des pressions moyennes périnéales plus faibles que lors de l’utilisation de selles découpées mais les effets de la conception de la selle sur la fonction sensorielle du nerf pudendal ne sont pas toujours évidents (56). Les selles traditionnelles peuvent être conseillées chez les femmes en cas de gêne dans la région périnéale mais elles ne doivent pas être « trop » larges car elles augmenteraient la pression moyenne antérieure et diminuerait la pression moyenne postérieure, augmentant ainsi significativement la gêne au niveau de la tubérosité ischiatique. Une selle de largeur « moyenne » apparaît comme le meilleur compromis en évitant l’augmentation de la gêne à l’entrejambe et en redistribuant les pressions exercées par la selle (57).

Les selles découpées permettent de diminuer les risques cutanés périnéaux et de « 3e testicule » ou de nodule vulvaire mais augmentent la pression dans la zone des nerfs et des vaisseaux pudendaux (figure 5), avec un risque plus élevé de troubles érectiles ou de paresthésies périnéales par rapport à une selle de forme traditionnelle.


Figure 5 : comparaison des pressions en fonction de 2 formes de selles (56)
Figure 5 : comparaison des pressions en fonction de 2 formes de selles (56)
Reconstruction numérique des appuis chez des femmes avec des selles traditionnelles (1-3,5) +/- large (6) et des selles découpées (4-5).
1. Pression isolée sur les tubérosités ischiatiques bilatérales (n =5) ;
2. Pression plus largement répartie le long de la selle postérieure et des tubérosités ischiatiques (n=11) ;
3. Pression isolée sur le périnée (n=4) ;
4. Selle découpée avec pression dans la région périnéale, le long des bords de la découpe (n=15) ;
5. Selle découpée avec pression isolée sur les tubérosités ischiatiques bilatérales (n=4) ;
6. Selle simple et large présentant une faible pression uniformément répartie sur l’ensemble de la selle (n=1).

Les selles sans nez/bec apportent une solution validée pour réduire l’impact négatif du cyclisme sur le périnée chez les hommes (troubles neurologiques, impuissance…) et les femmes. Cependant, elles n’emportent pas forcément l’adhésion des cyclistes du fait d’une moins bonne maniabilité du vélo et de la crainte de glisser vers l’avant (58). Pour diminuer cet inconfort, certains fabricants ont conservé le bec de la selle mais de façon incurvée vers le bas.

Certaines études plaident par ailleurs pour l’utilisation de formes de selles différentes entre les hommes et les femmes sans preuve sur la prévention des troubles neurologiques (59).

Toutefois, l’essentiel des études publiées correspond à des études en laboratoire ou sur des essais de courte durée, sans corrélation avec la pratique habituelle du vélo.

Les critères de choix de la selle de vélo peuvent être résumés dans le tableau 2.

Neuropathie pudendaleIndurations nodulaires périnéales
Selle plate+
Selle découpée+
Selle sans bec/nez+
Housse de selle souple en gel+
Tableau 2 : selle à privilégier (+) en fonction des complications liées à la pratique du vélo

Lésions des parties molles du périnée

Atteintes tégumentaires

La pratique régulière du vélo provoque un massage progressif de la peau des tubérosités ischiatiques qui va peu à peu s’épaissir, se « tanner » (60). Cela peut aller d’un épaississement modéré des couches de kératine à une peau calleuse. Le frottement et la sueur peuvent engendrer une macération cutanée, altérer la peau et favoriser l’apparition d’une folliculite ou de furoncles sur le périnée, les cuisses, l’aine et les fesses, voire de rares ulcérations cutanées aux points de pression avec la selle, des ecchymoses (61) ou des hématomes, notamment vulvaires (62), en cas de chutes.

Les mycoses des plis ou tinea cruris (figures 6 et 7) se développent préférentiellement sur des intertrigos (inflammation des plis par le frottement, la chaleur et l’humidité). Il s’agit d’infections de la peau génitale, pubienne, périnéale et péri-anale causées par des dermatophytes (Trichophyton, Epidermophyton et Microsporum) (63).

Figure 6 : intertrigo du pli inguinal (63)
Figure 6 : intertrigo du pli inguinal (63)
Figure 7 : intertrigo inguino-scrotal (64)
Figure 7 : intertrigo inguino-scrotal (64)

On décrit également l’« acné mécanique » (figure 8) désignant les éruptions papulo-pustuleuses provoquées par la pression, la tension, la friction, l’étirement, le frottement, le pincement, la traction et presque tous les types de contraintes mécaniques sur la peau. La transpiration accrue est un cofacteur (65). Le traitement de ces modifications généralement peu douloureuses consiste généralement à attendre et à surveiller ou éventuellement à appliquer des stéroïdes.

Figure 8 : « acné mécanique » (65)
Figure 8 : « acné mécanique » (65)

Les mesures préventives les plus souvent citées sont un entretien systématique de la peau de chamois après chaque utilisation, la crème pour les peaux de chamois, un équipement cycliste de haute qualité et bien ajusté et une bonne hygiène personnelle (66).

Indurations nodulaires périnéales (INP)

Communément appelées « troisième testicule » des cyclistes, ces indurations nodulaires bénignes peuvent également se voir exceptionnellement au niveau des grandes lèvres ou des tubérosités ischiatiques chez la femme (67). Ces lésions se rencontrent non seulement chez les cyclistes professionnels, mais aussi chez les cyclistes amateurs et les cyclotouristes qui parcourent généralement de longues distances.

Il s’agit d’hypodermites fibreuses avec œdème induré du périnée et éventuellement jusqu’au scrotum. Le plus souvent, ces indurations sont bilatérales, mesurant 1 à 2 cm, de part et d’autre du raphé, en arrière des bourses testiculaires, souvent au contact des tubérosités ischiatiques. La for-me classique de « 3e testicule » est une forme unique, latérale, mesurant 2 à 5 cm de diamètre (figure 9).

Figure 9 : « 3e testicule »
d’un cycliste (© Coll JM Didelot)
Figure 9 : « 3e testicule »
d’un cycliste (© Coll JM Didelot)

Ces nodules sont fermes et rénitents à la palpation avec une peau normale en regard. Ils peuvent être douloureux et compromettre la poursuite du cyclisme.

La physiopathologie reste débattue et plusieurs hypothèses sont évoquées :

les traumatismes répétés du collagène et de la graisse sous-cutanée par la pression, les vibrations et les forces de frottements entraînent des microtraumatismes chroniques du fascia superficiel du périnée comprimé entre la selle et les tubérosités ischiatiques induisant en retour une prolifération réparatrice des fibroblastes et des myofibroblastes. Le lymphœdème chronique entraînant le développement d’un tissu fibreux a également été suggéré comme mécanisme causal. Les résultats histopathologiques varient mais tendent à montrer une nécrose aseptique du fascia périnéal superficiel avec une dégénérescence myxoïde des fibres de collagène et du tissu adipeux, ainsi que la formation occasionnelle d’un pseudo-kyste central (68). Il ne s’agit ni d’hygromas ni de bursites.

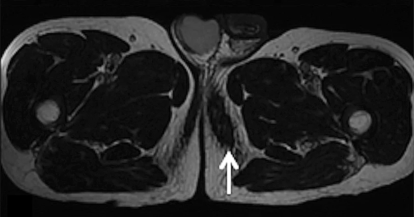
Une échographie ou une IRM peuvent aider à la confirmation du diagnostic en cas de doute [figure 10 (69)]. L‘échographie montre une masse hypoéchogène bien délimitée avec aspect hétérogène et un ombrage par réfraction (« edge shadow »), sans flux Doppler. En IRM, on observe le plus souvent un hyposignal T1 et un hypersignal T2 dans le périnée, juste sous la tubérosité ischiatique et un respect du tissu musculaire environnant (70). Les diagnostics différentiels cliniques varient en fonction de l’âge et du sexe du patient : kystes sébacés ou épidermiques, hydrocèles, varicocèles, adénopathies, hernies, anévrismes, lésions urétrales, syringocèles et diverses tumeurs (angiomyofibroblastomes, pseudosarcomes, tumeurs fibroblastiques…).

Figure 10 : aspect IRM axiale en T2 d’un « 3e testicule » chez un cycliste (69) (flèche)
Figure 10 : aspect IRM axiale en T2 d’un « 3e testicule » chez un cycliste (69) (flèche)

Le traitement de l’INP implique le repos avec arrêt de la pratique du vélo. Un avis en médecine du sport est judicieux pour une évaluation ergonomique. Afin d’éliminer la pression inégale de la selle, il est souhaitable de modifier la selle et le vélo pour charger sélectivement les tubérosités ischiatiques et décharger le périnée (71). Des selles plus plates, en association avec un cuissard rembourré et à une crème d’assise, plutôt que des selles en forme de dôme, permettent de créer un « pont » ischiatique au-dessus de la selle et de décharger ainsi le périnée. Les coussins de gel souples font descendre le bassin plus profondément et peuvent paradoxalement augmenter la pression périnéale, alors que les selles plus dures devraient soulager les symptômes. Une découpe ou un canal au milieu de la selle peuvent également aider. Une selle « sans nez/bec », recommandée pour diminuer le risque de neuropathie, augmente en revanche la pression d’assise postérieure et le risque de survenue d’INP (58). La pratique du vélo « en danseuse » a un intérêt pratique débattu.

Les injections intralésionnelles de corticostéroïdes peuvent apporter un soulagement mais sont recommandées pour les petites lésions en raison du risque d’atrophie sous-cutanée. Les injections de hyaluronidase ont également été utilisées dans certains pays. Enfin, l’excision chirurgicale et le lambeau cutané peuvent être envisagés pour les cas graves réfractaires au traitement (68). L’athlète doit être informé du risque de cicatrice gênante et de récidive après l’opération.

Nodules acquis de la région coccygienne

Une discrète hyperkératose associée à une prolifération marquée de fibres collagènes peut engendrer des nodules cutanés au contact de la selle et de la région coccygienne. Ils semblent associés à une flexion antérieure du tronc lors de la pratique du vélo (72), (73).

Bursites ischiatiques

Entre la face postérieure de la tubérosité ischiatique et le bord inférieur du grand fessier se trouve une bourse de petite taille, adventitielle (c’est-à-dire non constante, se développant en réaction à des frottements), profonde (figure 11). Cette bourse réduit la friction entre la tubérosité ischiatique et le muscle grand fessier pendant la flexion et l’extension de la hanche, ce qui facilite considérablement le glissement latéral du grand fessier et du tissu adipeux qui l’entoure pendant la flexion de la hanche (74). Elle n’a pas de revêtement endothélial et ne produit ni ne contient donc de liquide synovial ; le liquide de la bursite adventitielle apparaît après une blessure répétitive, ce qui entraîne une vasodilatation et une perméabilité vasculaire accrue, avec extravasation de protéines sériques et de liquide extracellulaire dans la bourse.

Figure 11 : coupe axiale montrant les différentes bourses de la ceinture pelvienne (dont la bourse ischiatique) (75)
Figure 11 : coupe axiale montrant les différentes bourses de la ceinture pelvienne (dont la bourse ischiatique) (75)

Le traumatisme de cette bourse par le contact prolongé entre la selle et les tubérosités ischiatiques peut engendrer une inflammation responsable d’une douleur aiguë de la partie inférieure de la fesse et crurale postérieure augmentant en position assise. Une autre étiologie est l’application d’une force de cisaillement chronique ou aiguë après une chute impliquant la tubérosité ischiatique, notamment chez les sportifs qui tombent fréquemment sur la tubérosité ischiatique, comme les cavaliers, les canoéistes et les sportifs en fauteuil.

On peut la repérer cliniquement. En décubitus dorsal, talon posé sur le genou du côté indemne, la douleur est exacerbée par l’appui sur le genou du côté atteint. En décubitus ventral, la palpation de la tubérosité ischiatique est douloureuse. Au toucher rectal, on note une « zone inflammatoire » douloureuse latéro-rectale.

Les cyclistes professionnels, devant l’impossibilité de l’arrêt prolongé de l’activité, peuvent opter pour des traitements médicaux dans la mesure où ils ont habituellement déjà optimisé l’ajustement de leur vélo et de leur selle. Le traitement repose sur le repos, les antalgiques et anti-inflammatoires non stéroïdiens, l’apposition de glace, la physiothérapie, voire des infiltrations cortisoniques (60). La prévention repose sur la kinésithérapie (étirement et renforcement des muscles de la hanche et des ischio-jambiers) et les ajustements ergonomiques dans les activités quotidiennes et sportives.

Symptômes neurologiques

Neuropathie pudendale : généralités

Le nerf pudendal (figure 12), issu des racines S3 +/- S2 et S4, est un nerf mixte sensitivo-moteur possédant des contingents sympathiques et parasympathiques. Il comprend une branche à destinée anale (nerf anal ou rectal inférieur) donnant des branches motrices pour le sphincter anal externe et sensitives pour la peau de la région anale. À la sortie du canal d’Alcock, le nerf pudendal se divise à la partie antérieure de la fosse ischio-anale en deux branches terminales : le rameau périnéal, destiné à la peau du périnée, au sphincter strié urétral et aux muscles ischio- et bulbocaverneux et le nerf dorsal de la verge qui, parvenu au-dessous du pubis, passe au clitoris ou à la face dorsale de la verge en donnant un rameau pour le gland et un rameau pour les corps caverneux et les téguments de la verge.

Figure 12 : schéma anatomique du nerf pudendal et de ses branches (76)
Figure 12 : schéma anatomique du nerf pudendal et de ses branches (76)

Il existe 4 principales zones de conflit :

  • type I : sous le muscle piriforme, au moment où le nerf pudendal sort de la grande échancrure sciatique ;
  • type II : entre les ligaments sacro-épineux et sacro-tubéreux ; le site le plus courant de compression du nerf pudendal ;
  • type III : dans le canal d’Alcock ;
  • type IV : branches nerveuses terminales uniquement (nerfs rectaux inférieurs, nerfs périnéaux superficiels et profonds, et nerf dorsal du pénis ou du clitoris).

La névralgie pudendale aiguë, causée par la compression du nerf pudendal, se caractérise par une douleur aiguë et intense le long du nerf pudendal, un engourdissement génital, une sensation de corps étranger profond intra-rectal ou une pesanteur interne, un dysfonctionnement érectile et une impuissance chez l’homme.

Sur un plan proctologique, une atteinte pudendale se traduit par une douleur péri-anale (figure 13) dans le territoire du nerf pudendal (région anale et vulvovaginale incluant le clitoris et le pénis, la peau du scrotum mais pas les testicules). La prédominance unilatérale est évocatrice. La douleur peut déborder un peu, mais elle doit exister dans le territoire principal. Une douleur fessière pure est plus évocatrice d’un conflit myo-fascial au niveau des muscles obturateur interne ou piriforme. Un syndrome du canal d’Alcock « pur » comprend une douleur exclusive en position assise selon les critères de Nantes (77).

Figure 13 : zones ano-périnéales d’innervation du nerf pudendal d’après Pigot F (78)
Figure 13 : zones ano-périnéales d’innervation du nerf pudendal d’après Pigot F (78)

Mécanismes des troubles sensitifs anopérinéaux

La compression du nerf pudendal sur le vélo pourrait être liée à la posture penchée en avant qui presse le périnée en avant de l’épine ischiatique ou à sa hauteur (dans le triathlon) mais peut également avoir lieu directement dans le canal d’Alcock.

Si l’ischémie du nerf par la « posture de compression » dure moins de 6 heures, le bloc de conduction nerveuse est rapidement réversible, alors que si la période d’ischémie persiste au-delà de 8 heures, la récupération prend des semaines ou mois. Il pourrait être lié à un bloc démyélinisant provoqué par une pression directe sur le périnée (79).

Recommandations préventives pratiques des complications neurologiques liées à la pratique du cyclisme

L’utilisation de selles découpées pourrait augmenter la pression dans la zone des nerfs et des vaisseaux pudendaux, avec un risque plus élevé de troubles érectiles par rapport à une forme de selle traditionnelle, en particulier chez les personnes souffrant de paresthésies périnéales. Comme évoqué, il n’existe pas de preuve sur l’intérêt de l’utilisation de selles de formes différentes entre les hommes et les femmes sur la prévention des troubles neurologiques. L’utilisation d’une selle sans bec, le fait de se tenir régulièrement debout (toutes les dix minutes) sur les pédales et l’utilisation d’un vélo couché sont efficaces pour protéger le périnée pendant la pratique du cyclisme. Cependant, une fois de plus, ces recommandations peuvent difficilement être mises en œuvre et sont mal acceptées par les cyclistes (58).

Au final, c’est avec une conjonction de mesures (du repos, une selle adaptée et une modification de l’ajustement du vélo) que la plupart des cyclistes sont en mesure de reprendre leur activité. Le tableau 3 résume les mesures les plus couramment proposées en prévention primaire ou secondaire.

Recommandations pratiquesCaractéristiques du vélo et conseils de pratique
Eléments du vélo : la selleSouple et large
Selle horizontale et non inclinée
Nez de selle absent ou flexible (chez les hommes)
Selle sans découpe
Eléments du vélo : le guidonHauteur du guidon inférieure à la selle
Eviter les guidons de triathlon
Vêtement de sportCuissard de vélo rembourré (peau de chamois)
ReposDiminution de l’activité physique
Conseils diversPauses fréquentes
Passer à la vitesse supérieure et se tenir périodiquement debout sur les pédales ( ?)* (en danseuse)
Programme de réhabilitationExercices spécifiques d’ajustement de la technique et de la posture du corps pour une position plus droite, étirements
Tableau 3 : recommandations pratiques (adapté d’après Chiaramonte et al (79))
(* « ? » signifie une proposition débattue)

Syndromes myo-fasciaux

Les syndromes myo-fasciaux peuvent être associés à une névralgie pudendale (inflammation des muscles obturateur interne et syndrome du piriforme notamment) et donner des symptômes quasi identiques.

Le syndrome du piriforme est particulièrement documenté dans le cyclisme et la course à pied. Ce muscle pelvi-trochantérien, rotateur externe de la cuisse (hanche en extension) et abducteur en position assise, peut être traumatisé par des chocs au contact de la selle du vélo ou par la pratique de la course à pied. Son hypertrophie isolée peut entraîner des douleurs glutéales basses unilatérales, profondes, basses, augmentant en position assise. Cette augmentation de volume peut comprimer le nerf pudendal contre la partie postérieure du ligament sacro-épineux et provoquer les douleurs classiques de neuropathie pudendale. Elle peut également comprimer les nerfs situés dans le canal infra-piriforme avec une atteinte du nerf fémoral cutané postérieur provoquant des paresthésies glutéales basses et de la face postérieure de la cuisse.

La prise en charge thérapeutique repose sur une modification de l’activité physique (correction de posture, réduction des séances) et sur une prise en charge en kinésithérapie (« rééducation pelvi-périnéale avec massages à visée décontracturante pour syndrome myo-fascial obturateur interne et syndrome du piriforme »).

Équitation et complications anopérinéales

L’équitation est un autre « sport assis ». Elle peut donc avoir les mêmes complications cutanéo-tégumentaires que la pratique du cyclisme (80). Outre les chutes pouvant être responsables de lésions sacro-coccygiennes, la démarche du cheval et les chocs pelviens induits chez les cavalières peuvent être un facteur de risque de névralgie pudendale. Des tests révèlent que l’équitation provoque des pics de pression élevés dans la région périnéale pouvant induire ou aggraver une neuropathie pudendale. Cependant, les sollicitations mécaniques (niveaux de pression et fréquence de pratique) responsables de l’apparition de neuropathie pudendale en équitation restent peu claires (figure 14).

Figure 14 : répartitions des pressions sur le périnée féminin sur une selle (81)
Figure 14 : répartitions des pressions sur le périnée féminin sur une selle (81)

Sports nautiques et complications anopérinéales

Jet-ski et ski nautique

Les accidents de ski nautique sont décrits depuis les années 1950 et se sont complétés avec l’essor d’engins motorisés puissants comme les jet-skis. Alors que les accidents périnéaux étaient décrits à grande vitesse en ski nautique, le développement des engins motorisés comme le jet-ski a vu survenir d’autres accidents, affectant essentiellement le passager tombant en arrière lors d’une accélération brusque, le plus souvent au démarrage alors que l’engin est à l’arrêt exposant le périnée à l’insufflation brutale d’eau dans le vagin et l’anus (figure 15) (82).

Figure 15 : mécanisme des traumatismes rectaux et vaginaux en jet-ski (82)
Figure 15 : mécanisme des traumatismes rectaux et vaginaux en jet-ski (82)

Sur le plan ano-rectal, on décrit deux types de lésions :

  • soit des recto-sigmoïdites liées à des « lavements » rectaux brutaux dans un phénomène d’écopage (« syndrome du Canadair ») lors de la pratique du ski nautique ou du wake-board. L’atteinte inflammatoire de la muqueuse recto-sigmoïdienne se manifeste 1 à 36 heures après la chute avec des douleurs abdominales, des selles diarrhéiques puis des rectorragies. Les lésions sont de type colite ulcéreuse, continues, situées entre 12 et 25 cm de la marge anale respectant la muqueuse rectale basse. L’histologie est non spécifique. La guérison est habituellement spontanée.
  • soit des plaies anales, périnéales ou rectales (figures 16 et 17) pouvant intéresser toute l’épaisseur de la paroi rectale et l’appareil sphinctérien anal ou provoquer des hématomes pelviens ou rétropéritonéaux. Lors de la pratique du jet-ski, les lésions sont plus sévères, pouvant atteindre le sphincter externe (83),(84).
Figure 16 : perforation ano-rectale lors d’un accident de jet-ski (83)
Figure 16 : perforation ano-rectale lors d’un accident de jet-ski (83)
Figure 17 : vue per-opératoire d’une plaie périnéale postérieure chez une patiente de 19 ans suite à une chute en jet-ski (84)
Figure 17 : vue per-opératoire d’une plaie périnéale postérieure chez une patiente de 19 ans suite à une chute en jet-ski (84)

Dans l’étude TP-JET multicentrique française portant sur 14 patientes ayant eu un accident de jet-ski, l’atteinte ano-rectale était isolée dans 30 % des cas. Les séquelles fonctionnelles sont majeures avec 2 stomies définitives, incontinence fécale (18 %) ou aux gaz (36 %), constipation (45 %), dysfonctions sexuelles sévères et vessies neurologiques (84).

Afin de limiter ces risques, la loi française a rendu obligatoire en octobre 2023 le port, pour la pratique du jet-ski, d’un « équipement néoprène (short, shorty ou combinaison intégrale) d’une épaisseur minimale de 2 mm ». Le conducteur est, lui, protégé en cas de chute par le coupe-circuit également rendu obligatoire sur ces engins (85).

Aviron, canoë et kayak

Le revêtement cutané des fesses des rameurs peut subir une lichénification chronique résultant de la pratique de l’aviron en étant assis pendant de longues périodes. Le traitement consiste à privilégier un siège rembourré et à utiliser des liniments ou des crèmes à base de cortisone sur la lésion lichénifiée (86). En cas de station assise prolongée, des complications infectieuses par macération peuvent s’observer.

Les coups de pagaie en kayak entraînant des forces de frottements avec une pression importante sur les tubérosités ischiatiques peuvent provoquer des bursites ischiatiques (87).

Natation

Hormis d’exceptionnelles complications en plongeon de haut vol à type d’ecchymoses ou de plaies rectales comme dans la physiopathologie des accidents de ski nautique, on décrit en natation des lésions cutanées « en maillot de bain » de mycoses, d’infections bactériennes favorisées par la macération ou par eczéma de contact avec les vêtements de bain (86).

Activité physique et complications coccygiennes

La pratique de sports assis peut se compliquer de coccygodynies par les traumatismes répétés (88).

Les sports à risque de chutes sur les fesses peuvent provoquer des fractures coccygiennes (figure 18) dont l’évolution à long terme est variable après une période initiale douloureuse : chute de vélo ou de cheval, ski et snow-board (89) ou patinage sur glace, gymnastique (cheval d’arçon), chute du pilote de jet-ski… Il est même cité un cas de contusion du coccyx chez une footballeuse ayant sauté au sol lors d’une « célébration » d’un but (90) ! L’atteinte neurologique est rarement associée aux luxations de la partie terminale du sacrum ou de la jonction sacro-coccygienne et peut survenir lorsque la fracture luxation est plus proximale dans le sacrum (91).

Figure 18 : fracture sacro-coccygienne (91)
Figure 18 : fracture sacro-coccygienne (91)

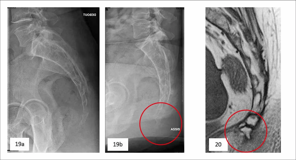
Outre les fractures, l’activité sportive peut être responsable de coccygodynies liées à une instabilité coccygienne par luxation (figures 19a et 19b), nécessitant un examen radiologique de profil en position debout puis assise, à une arthrose coccygienne ou à une épine coccygienne (92) pouvant engendrer une bursite (figure 20).

Figures 19a, 19b et 20 : luxation postérieure du coccyx [19a et 19b] (© Coll JM Didelot) et épine coccygienne [20] (92)
Figures 19a, 19b et 20 : luxation postérieure du coccyx [19a et 19b] (© Coll JM Didelot) et épine coccygienne [20] (92)

Activité physique et effets secondaires esthétiques sur la région anopérinéale et fessière

La pratique sportive peut induire des modifications esthétiques par asymétrie de la taille et du volume des muscles de la fesse. Ainsi, chez le tennisman professionnel, l’hypertrophie des muscles fessiers est asymétrique, le côté non dominant est 20 % plus grand (la fesse gauche d’un joueur de tennis droitier contient plus de muscles que sa fesse droite et inversement) tandis que le côté dominant est similaire aux témoins. La même étude a conclu que cette asymétrie n’est pas constatée dans le football (93).

Conclusion

Au moment où la pratique sportive, globalement bénéfique sur la santé des pratiquants, se développe et où l’activité physique à des fins de santé peut être prescrite par les médecins (94), il est utile d’en connaître les conséquences éventuelles.

Elle peut engendrer des complications notamment anopérinéales dont la plupart peuvent être évitées avec des précautions simples.

Le colo-proctologue peut être en première ligne dans leur prise en charge. Il doit pouvoir identifier ou suspecter des « technopathies » liées à l’activité physique qui doivent faire éventuellement orienter les patients vers des consultations spécialisées de médecine du sport.

Références

  1. Müller J. Baromètre national des pratiques sportives 2022 [Internet]. Paris: Institut National de la Jeunesse et de l’Education Populaire (INJEP); 2023 mars. Report No.: INJEPR-2023/02. Disponible sur: https://injep.fr/wp-content/uploads/2023/04/rapport-2023-02-Barometre-pratiques-sportives-2022.pdf
  2. HAS. Guide des connaissances sur l’activité physique et la sédentarité [Internet]. 2022 juill. Disponible sur: https://www.has-sante.fr/upload/ docs/application/pdf/2022-08/guide_connaissance_ap_sedentarite_vf.pdf
  3. Ministère du Travail, de la Santé; des Solidarités et des familles. Activité physique, sédentarité et santé [Internet]. Paris; 2025 févr. Disponible sur: https://sante.gouv.fr/prevention-en-sante/preserver-sa-sante/article/activite-physique-sedentarite-et-sante#:~:text=Actuellement%20les%20recommandations%20sont%20les%20suivantes.
  4. Institut National de la Jeunesse et de l’Education Populaire (INJEP). Les chiffres clés du sport 2023 – Pratiques sportives des Français [Internet]. Paris: Institut National de la Jeunesse et de l’Education Populaire (INJEP); 2022. Disponible sur: https://injep.fr/tableau_bord/les-chiffres-cles-du-sport-2023-pratiques-sportives-des-francais/
  5. Gebbensleben O, Hilger Y, Rohde H. Aetiology of thrombosed external haemorrhoids: a questionnaire study. BMC Res Notes. 2009;2(1):216.
  6. Pigot F, Siproudhis L, Allaert FA. Risk factors associated with hemorrhoidal symptoms in specialized consultation. Gastroentérologie Clinique et Biologique. déc 2005;29(12):1270-4.
  7. Romano L, Giuliani A, Paniccia F, Masedu F, Tersigni L, Padula M, et al. Sport practice and hemorrhoidal disease: results from a self-assessment questionnaire among athletes. Int J Colorectal Dis. 8 janv 2025;40(1):8.
  8. Mashbari H, Iskander O, Alyahyawi K, AlMarei SO, Maashi AQ, Mahnashi MS, et al. Prevalence and risk factors of hemorrhoids in Jazan Region, Saudi Arabia: A cross-sectional study. Journal of Family Medicine and Primary Care. févr 2025;14(2):662-6.
  9. Hong J, Kim I, Song J, Ahn BK. Socio-demographic factors and lifestyle associated with symptomatic hemorrhoids: Big data analysis using the National Health insurance Service-National Health screening cohort (NHIS-HEALS) database in Korea. Asian Journal of Surgery. janv 2022;45(1):353-9.
  10. Sauper T, Lanthaler M, Biebl M, Weiss H, Nehoda H. Impaired anal sphincter function in professional cyclists. Wien Klin Wochenschr. avr 2007;119(5-6):170-3.
  11. Zhu Y, Yang Y, Xu W, Bao X. Multicenter analysis of the efficacy and factors related to recurrence of endoscopic sclerotherapy for internal hemorrhoids: a large-sample, retrospective cohort study. Surg Endosc. 26 août 2025;
  12. De Marco S, Tiso D. Lifestyle and Risk Factors in Hemorrhoidal Disease. Front Surg. 18 août 2021;8.
  13. Higuero T, Abramowitz L, Castinel A, Fathallah N, Hemery P, Laclotte Duhoux C, et al. Guidelines for the treatment of hemorrhoids (short report). Journal of Visceral Surgery. juin 2016;153(3):213-8.
  14. Hawkins AT, Davis BR, Bhama AR, Fang SH, Dawes AJ, Feingold DL, et al. The American Society of Colon and Rectal Surgeons Clinical Practice Guidelines for the Management of Hemorrhoids. Diseases of the Colon & Rectum. mai 2024;67(5):614-23.
  15. Gallo G, Martellucci J, Sturiale A, Clerico G, Milito G, Marino F, et al. Consensus statement of the Italian society of colorectal surgery (SICCR): management and treatment of hemorrhoidal disease. Tech Coloproctol. févr 2020;24(2):145-64.
  16. Salgueiro P, Caetano AC, Oliveira AM, Rosa B, Mascarenhas-Saraiva M, Ministro P, et al. Portuguese Society of Gastroenterology Consensus on the Diagnosis and Management of Hemorrhoidal Disease. GE Port J Gastroenterol. 2020;27(2):90-102.
  17. Yamana T. Japanese Practice Guidelines for Anal Disorders I. Hemorrhoids. J Anus Rectum Colon. 27 juill 2017;1(3):89-99.
  18. Van Tol RR, Kleijnen J, Watson AJM, Jongen J, Altomare DF, Qvist N, et al. European Society of ColoProctology: guideline for haemorrhoidal disease. Colorectal Disease. juin 2020;22(6):650-62.
  19. Maître C. Incontinence urinaire d’effort chez les sportives : un tabou. Revue du Praticien. juin 2024;74(6):612-6.
  20. P Bourcier A, Haab F, A Juras J. Physical Activities, Sports and Female Pelvic Floor: From Causes to Management-A Review. Act Scie Medic. 12 mai 2020;4(6):55-65.
  21. Hay JG. Citius, altius, longius (faster, higher, longer): The biomechanics of jumping for distance. Journal of Biomechanics. janv 1993;26:7-21.
  22. Skaug KL, Engh ME, Bø K. Acute Effect of Heavy Weightlifting on the Pelvic Floor Muscles in Strength-Trained Women: An Experimental Crossover Study. Medicine & Science in Sports & Exercise. janv 2024;56(1):37-43.
  23. Bø K, Anglès-Acedo S, Batra A, Brækken IH, Chan YL, Jorge CH, et al. Strenuous physical activity, exercise, and pelvic organ prolapse: a narrative scoping review. Int Urogynecol J. juin 2023;34(6):1153-64.
  24. Bø K, Nygaard IE. Is Physical Activity Good or Bad for the Female Pelvic Floor? A Narrative Review. Sports Med. mars 2020;50(3):471-84.
  25. Giagio S, Salvioli S, Pillastrini P, Innocenti T. Sport and pelvic floor dysfunction in male and female athletes: A scoping review. Neurourology and Urodynamics. janv 2021;40(1):55-64.
  26. Kuutti MA, Hyvärinen M, Kauppinen M, Sipilä S, Aukee P, Laakkonen EK. Early adulthood and current physical activity and their association with symptoms of pelvic floor disorders in middle-aged women: An observational study with retrospective physical activity assessment. BJOG. mai 2023;130(6):664-73.
  27. Vitton V, Baumstarck-Barrau K, Brardjanian S, Caballe I, Bouvier M, Grimaud JC. Impact of High-Level Sport Practice on Anal Incontinence in a Healthy Young Female Population. Journal of Women’s Health. mai 2011;20(5):757-63.
  28. Almeida MBA, Barra AA, Saltiel F, Silva-Filho AL, Fonseca AMRM, Figueiredo EM. Urinary incontinence and other pelvic floor dysfunctions in femaleathletes in Brazil: A cross-sectional study. Scandinavian Med Sci Sports. sept 2016;26(9):1109-16.
  29. Campbell KG, Batt ME, Drummond A. Prevalence of pelvic floor dysfunction in recreational athletes: a cross-sectional survey. Int Urogynecol J. oct 2023;34(10):2429-37.
  30. Bonaldi L, Mascolini MV, Todesco M, Zara A, Rossato C, Fede C, et al. Urinary Incontinence and Other Pelvic Floor Dysfunctions as Underestimated Problems in People under Forty Years: What Is Their Relationship with Sport? Life. 30 déc 2023;14(1):67.
  31. Bø K, Backe-Hansen KL. Do elite athletes experience low back, pelvic girdle and pelvic floor complaints during and after pregnancy? Scandinavian Med Sci Sports. oct 2007;17(5):480-7.
  32. Bø K, Ellstrøm Engh M, Hilde G. Regular exercisers have stronger pelvic floor muscles than nonregular exercisers at midpregnancy. American Journal of Obstetrics and Gynecology. avr 2018;218(4):427.e1-427.e5.
  33. Dakic JG, Hay-Smith J, Lin KY, Cook J, Frawley HC. Experience of Playing Sport or Exercising for Women with Pelvic Floor Symptoms: A Qualitative Study. Sports Med – Open. 25 avr 2023;9(1):25.
  34. Carvalho C, Da Silva Serrão PRM, Beleza ACS, Driusso P. Pelvic floor dysfunctions in female cheerleaders: a cross-sectional study. Int Urogynecol J. mai 2020;31(5):999-1006.
  35. Skaug KL, Engh ME, Frawley H, Bø K. Urinary and anal incontinence among female gymnasts and cheerleaders—bother and associated factors. A cross-sectional study. Int Urogynecol J. avr 2022;33(4):955-64.
  36. Skaug KL, Engh ME, Frawley H, Bø K. Prevalence of Pelvic Floor Dysfunction, Bother, and Risk Factors and Knowledge of the Pelvic Floor Muscles in Norwegian Male and Female Powerlifters and Olympic Weightlifters. Journal of Strength and Conditioning Research. oct 2022;36(10):2800-7.
  37. Institut National de la Jeunesse et de l’Education Populaire (INJEP). Les pratiques physiques et sportives en France [Internet]. Paris: Institut National de la Jeunesse et de l’Education Populaire (INJEP); 2023 mars. Disponible sur: https://injep.fr/wp-content/uploads/2023/03/ouvrage-ENPPS.pdf
  38. Petit C. Ils courent, ils courent les Français : les chiffres fous de la pratique du running. Ouest-France [Internet]. 11 avr 2025; Disponible sur: https://www.ouest-france.fr/sport/running/ils-courent-ils-courent-les-francais-voici-les-chiffres-fous-de-la-pratique-du-running-9a3fc5b4-15cc-11f0-9759-9654df6b878b
  39. Sullivan SN, Wong C. Runners’ Diarrhea. Different Patterns and Associated Factors. Journal of Clinical Gastroenterology. mars 1992;14(2):101-4.
  40. Forner LB, Beckman EM, Smith MD. Do women runners report more pelvic floor symptoms than women in CrossFit®? A cross-sectional survey. Int Urogynecol J. févr 2021;32(2):295-302.
  41. Koch M. Commentary on “Do women runners report more pelvic floor symptoms than women in CrossFit? A cross-sectional survey” by Forner et al. Int Urogynecol J. févr 2021;32(2):303-303.
  42. Pisani GK, De Oliveira Sato T, Carvalho C. Pelvic floor dysfunctions and associated factors in female CrossFit practitioners: a cross-sectional study. Int Urogynecol J. nov 2021;32(11):2975-84.
  43. High R, Thai K, Virani H, Kuehl T, Danford J. Prevalence of Pelvic Floor Disorders in Female CrossFit Athletes. Female Pelvic Med Reconstr Surg. août 2020;26(8):498-502.
  44. Yi J, Tenfelde S, Tell D, Brincat C, Fitzgerald C. Triathlete Risk of Pelvic Floor Disorders, Pelvic Girdle Pain and the Female Athlete Triad. Female Pelvic Medicine & Reconstructive Surgery. 9 oct 2016;22(5):373-6.
  45. Altshuler PC, Burgard IM, Poling JK, Muffly T. Scaling the Heights: Rates of Pelvic Floor Dysfunction in Female Rock-Climbing Enthusiasts. Wilderness & Environmental Medicine. 25 nov 2024;10806032241290804.
  46. Dakic J, Perraton L, Lindstrom J, Hain E, Chuah S, Stay S. Pelvic floor symptoms in elite female rugby players: prevalence and impact on performance. Journal of Science and Medicine in Sport. oct 2024;27:S83-4.
  47. Dakic J, Perraton L, Lindstrom J, Hain E, Chuah S, Stay S. The Hidden Challenge: Pelvic Floor Symptoms and Their Impact on Performance and Well-Being in Elite Female Rugby Players. European Journal of Sport Science. août 2025;25(8).
  48. Urbowicz M, Saulicz M, Saulicz A, Saulicz E. Self-Assessment of the Pelvic Floor by Women Practicing Recreational Horseback Riding. IJERPH. 13 févr 2022;19(4):2108.
  49. Cygańska AK, Giżewska B, Zdunek K. Evaluating Pelvic Floor Dysfunction in Female Horse Show Jumpers Using the Australian Pelvic Floor Questionnaire. Med Sci Monit. 6 févr 2025;31.
  50. Dakic JG, Cook J, Hay-Smith J, Lin KY, Ekegren C, Frawley HC. Pelvic Floor Symptoms Are an Overlooked Barrier to Exercise Participation: A Cross-Sectional Online Survey of 4556 Women Who Are Symptomatic. Physical Therapy. 1 mars 2022;102(3).
  51. Bosch-Donate E, Vico-Moreno E, Fernández-Domínguez JC, González-Trujillo A, Sastre-Munar A, Romero-Franco N. Symptomatology and knowledge regarding pelvic floor dysfunctions and influence of gender stereotypes in female athletes. Sci Rep. 14 mai 2024;14(1).
  52. Navarro-Brazález B, Prieto-Gómez V, Prieto-Merino D, Sánchez-Sánchez B, McLean L, Torres-Lacomba M. Effectiveness of Hypopressive Exercises in Women with Pelvic Floor Dysfunction: A Randomised Controlled Trial. JCM. 17 avr 2020;9(4):1149.
  53. Turan Alagöz A, Gercek H, Unuvar BS, Findik FY, Ozgul S. The effects of pilates method in pregnant women: scoping review. BMC Pregnancy Childbirth. 24 avr 2025;25(1):485.
  54. Donnelly GM, Bø K, Forner LB, Rankin A, Moore IS. Up for the tackle? The pelvic floor and rugby. A review. European Journal of Sport Science. déc 2024;24(12):1719-34.
  55. Laborde C. Dictionnaire amoureux du Tour de France. Plon. Paris; 2007. (Dictionnaire amoureux).
  56. Guess MK, Partin SN, Schrader S, Lowe B, LaCombe J, Reutman S, et al. Women’s Bike Seats: A Pressing Matter for Competitive Female Cyclists. The Journal of Sexual Medicine. 1 nov 2011;8(11):3144-53.
  57. Larsen AS, Larsen FG, Sørensen FF, Hedegaard M, Støttrup N, Hansen EA, et al. The effect of saddle nose width and cutout on saddle pressure distribution and perceived discomfort in women during ergometer cycling. Applied Ergonomics. juill 2018;70:175-81.
  58. Litwinowicz K, Choroszy M, Wróbel A. Strategies for Reducing the Impact of Cycling on the Perineum in Healthy Males: Systematic Review and Meta-analysis. Sports Med. févr 2021;51(2):275-87.
  59. Potter JJ, Sauer JL, Weisshaar CL, Thelen DG, Ploeg HL. Gender Differences in Bicycle Saddle Pressure Distribution during Seated Cycling. Medicine & Science in Sports & Exercise. juin 2008;40(6):1126-34.
  60. Bauer P, Etienney I. Affections périnéales liées au sport. GCB. nov 2003;27(11):999-1007.
  61. Bury K, Leavy JE, Lan C, O’Connor A, Jancey J. A Saddle sores among female competitive cyclists: A systematic scoping review. Journal of Science and Medicine in Sport. avr 2021;24(4):357-67.
  62. Virgili A, Bianchi A, Mollica G, Corazza M. Serious hematoma of the vulva from a bicycle accident. A case report. J Reprod Med. août 2000;45(8):662-4.
  63. Pippin MM, Madden ML, Das M. Tinea Cruris. In: StatPearls [Internet]. Treasure Island (FL): StatPearls Publishing; 2025. Disponible sur: https://www.ncbi.nlm.nih.gov/books/NBK554602/
  64. Ely JW, Rosenfeld S, Stone MS. Diagnosis and Management of Tinea Infections. American Family Physician. 15 nov 2014;90(15):702-10.
  65. Köhler AT, Stolle H, Hartmann R, Zimmerlinkat A. Acne mechanica der Perinealregion beim Sportler. Coloproctol. avr 2002;24(2):96-100.
  66. Napier D, Heron N. Getting to the Bottom of Saddle Sores: A Scoping Review of the Definition, Prevalence, Management and Prevention of Saddle Sores in Cycling. IJERPH. 30 juin 2022;19(13):8073.
  67. Egli H, Totschnig L, Samartzis N, Kalaitzopoulos DR. Biker’s nodule in women: A case report and review of the literature. Case Reports in Women’s Health. sept 2023;39:e00539.
  68. Mayer JM, Spies SI, Mayer CK, Zubler C, Loucas R, Holzbach T. How to Treat a Cyclist’s Nodule?—Introduction of a Novel, ICG-Assisted Approach. JCM. 16 févr 2024;13(4):1124.
  69. Stoneham A, Thway K, Messiou C, Smith M. Cyclist’s nodule: no smooth ride. BMJ Case Reports. 10 mars 2016;2016:bcr2015213087.
  70. Norman M, Vitale K. “Bumpy” ride for the female cyclist: A rare case of perineal nodular induration, the ischial hygroma. International Journal of Surgery Case Reports. 2020;73:277-80.
  71. Vicari DSS, Patti A, Giustino V, Figlioli F, Zangla D, Maksimovic N, et al. Saddle pressures distribution at different pedaling intensities in young off-road cyclists: focus on sex. Annals of Medicine. 31 déc 2025;57(1):2495764.
  72. Bauer P, Etienney I. [Perineal lesions related to sport activities]. Gastroenterol Clin Biol. nov 2003;27(11):999-1007.
  73. Nakamura A, Inoue Y, Ishihara T, Matsunaga W, Ono T. Acquired Coccygeal Nodule Due to Repeated Stimulation by a Bicycle Saddle. The Journal of Dermatology. mai 1995;22(5):365-9.
  74. Johnson DB, Varacallo MA. Ischial Bursitis. In: StatPearls [Internet]. Treasure Island (FL): StatPearls Publishing; 2025. Disponible sur: http://www.ncbi.nlm.nih.gov/books/NBK482285/
  75. Noel L, Gilg C. La bursopathie ischiatique. Journal de Traumatologie du Sport. mars 2007;24(1):46-9.
  76. Puget J, Kastler B, Aubry S, Laborie L, Fergane B, Delabrousse E, et al. Infiltration scano-guidée en deux sites dans la névralgie pudendale. Journal de Radiologie. mai 2009;90(5):577-82.
  77. Labat JJ, Riant T, Robert R, Amarenco G, Lefaucheur JP, Rigaud J. Diagnostic criteria for pudendal neuralgia by pudendal nerve entrapment (Nantes criteria). Neurourol Urodyn. 2008;27(4):306-10.
  78. Pigot F. Neurpathie pudendale et syndromes apparentés. Connaître pour soulager. Post’U 2022 [Internet]. mars 2022;289-93. Disponible sur: https://www.fmcgastro.org/texte-postu/postu-2022/neuropathie-pudendale-et-syndromes-apparentes-connaitre-pour-soulager/#:~:text=La%20n%C3%A9vralgie%20pudendale%20est%20un%20syndrome%20douloureux%20de%20diagnostic%20clinique.
  79. Chiaramonte R, Pavone P, Vecchio M. Diagnosis, Rehabilitation and Preventive Strategies for Pudendal Neuropathy in Cyclists, A Systematic Review. JFMK. 10 mai 2021;6(2):42.
  80. Devers KG, Heckman SR, Muller C, Joste NE. Perineal Nodular Induration: A Trauma-induced Mass in a Female Equestrian. International Journal of Gynecological Pathology. juill 2010;29(4):398-401.
  81. Murer S, Polidori G, Beaumont F, Bogard F, Hakim H, Legrand F. Could Horse Gait and Induced Pelvic Dynamic Loads in Female Equestrians Be a Risk Factor in Pudendal Neuralgia? Sports. 10 janv 2023;11(1):16.
  82. Katano K, Furutani Y, Hiranuma C, Hattori M, Doden K, Hashidume Y. Anorectal injury related to a personal watercraft: a case report and literature review. surg case rep. déc 2020;6(1):226.
  83. Bronstein JA, Caumes JL, Richecœur M, Lipovac AS, Viot E, Garcin JM. Pathologies digestives dues au sport. EMC – Hépato-Gastroenterologie. févr 2005;2(1):28-34.
  84. Giraud P. Évaluation des répercussions fonctionnelles digestives, urologiques et sexuelles après traumatisme ano-périnéal suite à un accident de Jet-Ski. [Internet]. [Montpellier]: Université de Montpellier – Faculté de Médecine; 2024. Disponible sur: https://dumas.ccsd.cnrs.fr/dumas-04741729v1
  85. Ministère de la Transition Ecologique et de la Biodiversité, de la Forêt, de la Mer et de la Pêche. Arrêté du 1er octobre 2023 portant modification de l’arrêté du 23 novembre 1987 relatif à la sécurité des navires (division 240 –Articles 240-1-02 II-3 (définition) et article 240-2.12 (conditions d’utilisation des véhicules nautiques à moteur) [Internet]. Sect. 240-2.12, Journal Officiel de la République Française N°288 déc 13, 2023. Disponible sur: https://www.legifrance.gouv.fr/download/file/Pammo_sFqcJCBpsKYZ986azJjClAdyVclT8YLRvUK-g=/JOE_TEXTE
  86. Pharis DB, Teller C, Wolf JE. Cutaneous manifestations of sports participation. Journal of the American Academy of Dermatology. mars 1997;36(3):448-59.
  87. Spittler J, Gillum R, DeSanto K. Common Injuries in Whitewater Rafting, Kayaking, Canoeing, and Stand-Up Paddle Boarding. Curr Sports Med Rep. oct 2020;19(10):422-9.
  88. Dampc B, Słowiński K. Coccygodynia – pathogenesis, diagnostics and therapy. Review of the writing. Pol Przegl Chir. 31 août 2017;89(4):33-40.
  89. Huffman WH, Jia L, Pirruccio K, Li X, Hecht AC, Parisien RL. Acute Vertebral Fractures in Skiing and Snowboarding: A 20-Year Sex-Specific Analysis of National Injury Data. Orthopaedic Journal of Sports Medicine. 1 juill 2022;10(7).
  90. Zeren B, Öztekin HH. Score-Celebration Injuries among Soccer Players: A Report of 9 Cases. Am J Sports Med. août 2005;33(8):1237-40.
  91. Hamoud K, Abbas J. Fracture dislocation of the sacro-coccygeal joint in a 12-year-old boy. A case report and literature review. Orthopaedics & Traumatology: Surgery & Research. nov 2015;101(7):871-3.
  92. Doursounian L, Maigne JY, Jacquot F. Coccygectomy for coccygeal spicule: a study of 33 cases. Eur Spine J. mai 2015;24(5):1102-8.
  93. Sanchis-Moysi J, Idoate F, Izquierdo M, Calbet JAL, Dorado C. Iliopsoas and Gluteal Muscles Are Asymmetric in Tennis Players but Not in Soccer Players. Konigsberg L, éditeur. PLoS ONE. 29 juill 2011;6(7):e22858.
  94. HAS. Guide Consultation et prescription médicale d’activité physique à des fins de santé chez l’adulte [Internet]. 2022 juill. Disponible sur: https://www.has-sante.fr/upload/docs/application/pdf/2018-10/guide_aps_vf.pdf

Toute reproduction ou réécriture, totale ou partielle, sans l’accord préalable écrit de la FMC HGE est interdite.

FMC HGE : Organisme certifié Qualiopi pour la catégorie ACTIONS DE FORMATION.